JavaScript is disabled in your browser. Please enable JavaScript to view this website.
AB217535

Anti-TEM1 antibody

Be the first to review this product! Submit a review

|

(3 Publications)

Rabbit Polyclonal TEM1 antibody. Suitable for Flow Cyt, IHC-P and reacts with Human samples. Cited in 3 publications. Immunogen corresponding to Synthetic Peptide within Human CD248 aa 250-350 conjugated to Keyhole Limpet Haemocyanin.

View Alternative Names

CD248, CD164L1, TEM1, Endosialin, Tumor endothelial marker 1

3 Images
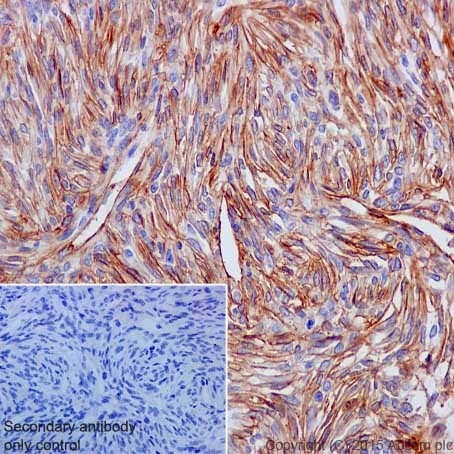
Immunohistochemistry (Formalin/PFA-fixed paraffin-embedded sections) - Anti-TEM1 antibody (AB217535)
  • IHC-P

Supplier Data

Immunohistochemistry (Formalin/PFA-fixed paraffin-embedded sections) - Anti-TEM1 antibody (AB217535)

Immunohistochemical analysis of formalin-fixed, paraffin-embedded human colon carcinoma tissue labeling TEM1 with ab217535 at 1/200 dilution, followed by conjugation to the secondary antibody and DAB staining.

Flow Cytometry - Anti-TEM1 antibody (AB217535)
  • Flow Cyt

Supplier Data

Flow Cytometry - Anti-TEM1 antibody (AB217535)

Flow cytometric analysis of 293T cells labeling TEM1 with ab217535 at 1/50 dilution for 40 minutes followed by a conjugated secondary (green), compared to control cells (blue).

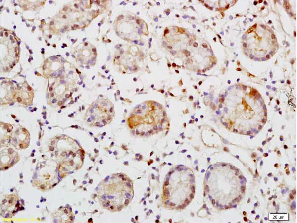
Immunohistochemistry (Formalin/PFA-fixed paraffin-embedded sections) - Anti-TEM1 antibody (AB217535)
  • IHC-P

Supplier Data

Immunohistochemistry (Formalin/PFA-fixed paraffin-embedded sections) - Anti-TEM1 antibody (AB217535)

Immunohistochemical analysis of formalin-fixed, paraffin-embedded human colon carcinoma tissue labeling TEM1 with ab217535 at 1/200 dilution, followed by conjugation to the secondary antibody and DAB staining.

Key facts

Host species

Rabbit

Clonality

Polyclonal

Isotype

IgG

Carrier free

No

Reacts with

Human

Applications

IHC-P, Flow Cyt

applications

Immunogen

Synthetic Peptide within Human CD248 aa 250-350 conjugated to Keyhole Limpet Haemocyanin. The exact immunogen used to generate this antibody is proprietary information.

Q9HCU0

Reactivity data

{ "title": "Reactivity Data", "filters": { "stats": ["", "Species", "Dilution Info", "Notes"], "tabs": { "all-applications": {"fullname" : "All Applications", "shortname": "All Applications"}, "FlowCyt" : {"fullname" : "Flow Cytometry", "shortname":"Flow Cyt"}, "IHCP" : {"fullname" : "Immunohistochemistry (Formalin/PFA-fixed paraffin-embedded sections)", "shortname":"IHC-P"} }, "product-promise": { "all": "all", "testedAndGuaranteed": "tested", "guaranteed": "expected", "predicted": "predicted", "notRecommended": "not-recommended" } }, "values": { "Human": { "FlowCyt-species-checked": "testedAndGuaranteed", "FlowCyt-species-dilution-info": "1/20 - 1/100", "FlowCyt-species-notes": "<p></p>", "IHCP-species-checked": "testedAndGuaranteed", "IHCP-species-dilution-info": "1/100 - 1/500", "IHCP-species-notes": "<p></p>" }, "Mouse": { "FlowCyt-species-checked": "predicted", "FlowCyt-species-dilution-info": "", "FlowCyt-species-notes": "", "IHCP-species-checked": "predicted", "IHCP-species-dilution-info": "", "IHCP-species-notes": "" }, "Rat": { "FlowCyt-species-checked": "predicted", "FlowCyt-species-dilution-info": "", "FlowCyt-species-notes": "", "IHCP-species-checked": "predicted", "IHCP-species-dilution-info": "", "IHCP-species-notes": "" } } }

Properties and storage information

Form
Liquid
Purification technique
Affinity purification Protein A
Storage buffer
pH: 7.4 Preservative: 0.02% Proclin 300 Constituents: 50% Glycerol (glycerin, glycerine), 48.98% TBS, 1X, 1% BSA
Shipped at conditions
Blue Ice
Appropriate short-term storage duration
1-2 weeks
Appropriate short-term storage conditions
+4°C
Appropriate long-term storage conditions
-20°C
Aliquoting information
Upon delivery aliquot
Storage information
Avoid freeze / thaw cycle

Product protocols

For this product, it's our understanding that no specific protocols are required. You can visit:

Target data

Cell surface glycoprotein involved in various biological processes including angiogenesis, immune response modulation, and tissue remodeling and repair. Participates in pericyte proliferation through positive modulation of the PDGF receptor signaling pathway (PubMed : 20484976). Acts as a scaffold for factor X, triggering allosteric changes and the spatial re-alignment of factor X with the TF-factor VIIa complex, thereby enhancing coagulation activation. Modulates the insulin signaling pathway by interacting with insulin receptor/INSR and by diminishing its capacity to be autophosphorylated in response to insulin. Also regulates LPS-induced inflammatory response in macrophages by favoring the production of proinflammatory cytokines. In human, negatively regulates T-cell proliferation compared with stromal cells where it increases proliferation (PubMed : 21466550).
See full target information CD248

Publications (3)

Recent publications for all applications. Explore the full list and refine your search

International journal of molecular sciences 25: PubMed38791314

2024

Puerarin Modulates Hepatic Farnesoid X Receptor and Gut Microbiota in High-Fat Diet-Induced Obese Mice.

Applications

Unspecified application

Species

Unspecified reactive species

Ching-Wei Yang,Hsuan-Miao Liu,Zi-Yu Chang,Geng-Hao Liu,Hen-Hong Chang,Po-Yu Huang,Tzung-Yan Lee

Molecular medicine (Cambridge, Mass.) 28:37 PubMed35317721

2022

Antibody-drug conjugates targeting CD248 inhibits liver fibrosis through specific killing on myofibroblasts.

Applications

Unspecified application

Species

Unspecified reactive species

Shaojie Liu,Donghui Han,Chao Xu,Fa Yang,Yu Li,Keying Zhang,Xiaolong Zhao,Jiayu Zhang,Tong Lu,Shiqi Lu,Changhong Shi,Rui Zhang,An-Gang Yang,Aizhi Zhao,Weijun Qin,Bo Yang,Weihong Wen

Nature communications 13:676 PubMed35115492

2022

TNF antagonist sensitizes synovial fibroblasts to ferroptotic cell death in collagen-induced arthritis mouse models.

Applications

Unspecified application

Species

Unspecified reactive species

Jiao Wu,Zhuan Feng,Liang Chen,Yong Li,Huijie Bian,Jiejie Geng,Zhao-Hui Zheng,Xianghui Fu,Zhuo Pei,Yifei Qin,Liu Yang,Yilin Zhao,Ke Wang,Ruo Chen,Qian He,Gang Nan,Xuejun Jiang,Zhi-Nan Chen,Ping Zhu
View all publications

Product promise

We are committed to supporting your work with high-quality reagents, and we're here for you every step of the way. In the unlikely event that one of our products does not perform as expected, you're protected by our Product Promise.
For full details, please see our Terms & Conditions

Please note: All products are 'FOR RESEARCH USE ONLY. NOT FOR USE IN DIAGNOSTIC OR THERAPEUTIC PROCEDURES'.

For licensing inquiries, please contact partnerships@abcam.com