JavaScript is disabled in your browser. Please enable JavaScript to view this website.
AB204914

Anti-TEM1 antibody [EPR17081]

Be the first to review this product! Submit a review

|

(8 Publications)

Rabbit Recombinant Monoclonal TEM1 antibody. Suitable for IHC-P and reacts with Human samples. Cited in 8 publications.

View Alternative Names

CD248, CD164L1, TEM1, Endosialin, Tumor endothelial marker 1

5 Images
Immunohistochemistry (Formalin/PFA-fixed paraffin-embedded sections) - Anti-TEM1 antibody [EPR17081] (AB204914)
  • IHC-P

Supplier Data

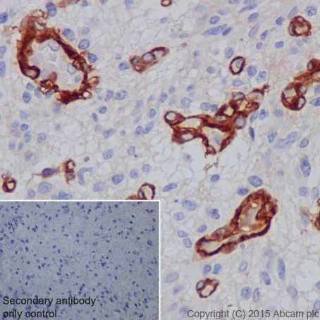
Immunohistochemistry (Formalin/PFA-fixed paraffin-embedded sections) - Anti-TEM1 antibody [EPR17081] (AB204914)

Immunohistochemical analysis of paraffin-embedded Human hemanyiopericytoma tissue labeling TEM1 with ab204914 at 1/2000 dilution followed by Goat Anti-Rabbit IgG H&L (HRP) (ab97051) at 1/500 dilution.

Membrane staining on Human hemanyiopericytoma tissue is observed.

Counter stained with Hematoxylin.

Secondary antibody only control : Used PBS instead of primary antibody secondary antibody is Goat Anti-Rabbit IgG H&L (HRP) (ab97051) at 1/500 dilution.

Perform heat mediated antigen retrieval with Tris/EDTA buffer pH 9.0 before commencing with IHC staining protocol.

Immunohistochemistry (Formalin/PFA-fixed paraffin-embedded sections) - Anti-TEM1 antibody [EPR17081] (AB204914)
  • IHC-P

Supplier Data

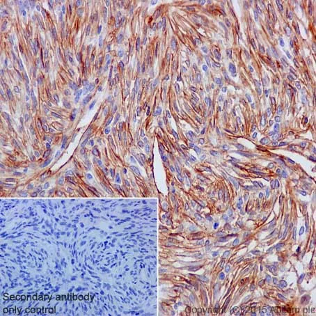
Immunohistochemistry (Formalin/PFA-fixed paraffin-embedded sections) - Anti-TEM1 antibody [EPR17081] (AB204914)

Immunohistochemical analysis of paraffin-embedded Human glioma tissue labeling TEM1 with ab204914 at 1/2000 dilution followed by Goat Anti-Rabbit IgG H&L (HRP) (ab97051) at 1/500 dilution.

Cytoplasm staining on the pericytes of Human glioma is observed.

Counter stained with Hematoxylin.

Secondary antibody only control : Used PBS instead of primary antibody secondary antibody is Goat Anti-Rabbit IgG H&L (HRP) (ab97051) at 1/500 dilution.

Perform heat mediated antigen retrieval with Tris/EDTA buffer pH 9.0 before commencing with IHC staining protocol.

Immunohistochemistry (Formalin/PFA-fixed paraffin-embedded sections) - Anti-TEM1 antibody [EPR17081] (AB204914)
  • IHC-P

Supplier Data

Immunohistochemistry (Formalin/PFA-fixed paraffin-embedded sections) - Anti-TEM1 antibody [EPR17081] (AB204914)

Immunohistochemical analysis of paraffin-embedded Human cerebral cortex tissue labeling TEM1 with ab204914 at 1/2000 dilution followed by Goat Anti-Rabbit IgG H&L (HRP) (ab97051) at 1/500 dilution.

No staining on Human cerebral cortex tissue is observed.

Counter stained with Hematoxylin.

Perform heat mediated antigen retrieval with Tris/EDTA buffer pH 9.0 before commencing with IHC staining protocol.

Immunohistochemistry (Formalin/PFA-fixed paraffin-embedded sections) - Anti-TEM1 antibody [EPR17081] (AB204914)
  • IHC-P

Supplier Data

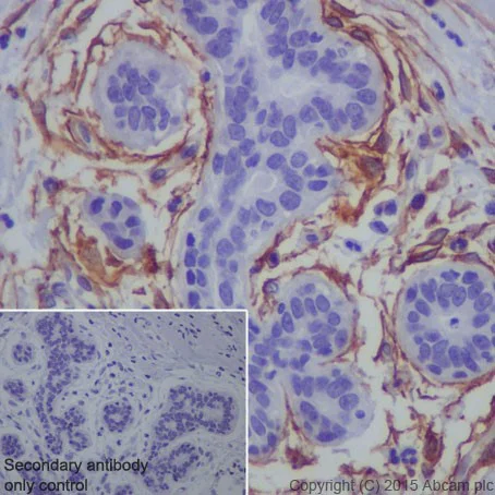
Immunohistochemistry (Formalin/PFA-fixed paraffin-embedded sections) - Anti-TEM1 antibody [EPR17081] (AB204914)

Immunohistochemical analysis of paraffin-embedded Human breast tissue labeling TEM1 with ab204914 at 1/2000 dilution followed by Goat Anti-Rabbit IgG H&L (HRP) (ab97051) at 1/500 dilution.

Cytoplasm staining on the Human breast pericytes is observed.

Counter stained with Hematoxylin.

Secondary antibody only control : Used PBS instead of primary antibody secondary antibody is Goat Anti-Rabbit IgG H&L (HRP) (ab97051) at 1/500 dilution.

Perform heat mediated antigen retrieval with Tris/EDTA buffer pH 9.0 before commencing with IHC staining protocol.

Immunohistochemistry (Formalin/PFA-fixed paraffin-embedded sections) - Anti-TEM1 antibody [EPR17081] (AB204914)
  • IHC-P

Supplier Data

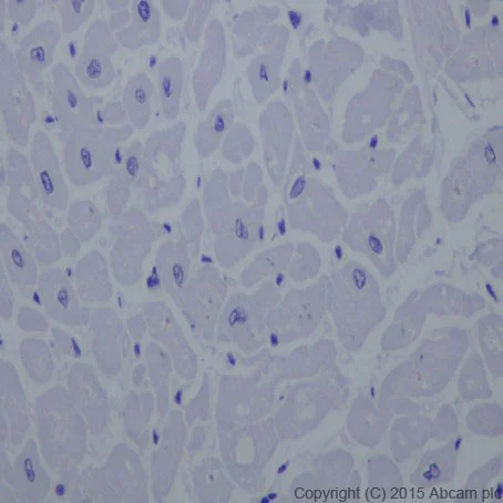
Immunohistochemistry (Formalin/PFA-fixed paraffin-embedded sections) - Anti-TEM1 antibody [EPR17081] (AB204914)

Immunohistochemical analysis of paraffin-embedded Human cardiac muscle tissue labeling TEM1 with ab204914 at 1/2000 dilution followed by Goat Anti-Rabbit IgG H&L (HRP) (ab97051) at 1/500 dilution.

Negative staining on the Human cardiac muscle is observed.

Counter stained with Hematoxylin.

Perform heat mediated antigen retrieval with Tris/EDTA buffer pH 9.0 before commencing with IHC staining protocol.

  • Carrier free

    Anti-TEM1 antibody [EPR17081] - BSA and Azide free

Key facts

Host species

Rabbit

Clonality

Monoclonal

Clone number

EPR17081

Isotype

IgG

Carrier free

No

Reacts with

Human

Applications

IHC-P

applications

Immunogen

The exact immunogen used to generate this antibody is proprietary information.

Specificity

Mouse & Rat: We have preliminary internal testing data to indicate this antibody may not react with these species. Please contact us for more information.

Reactivity data

{ "title": "Reactivity Data", "filters": { "stats": ["", "Species", "Dilution Info", "Notes"], "tabs": { "all-applications": {"fullname" : "All Applications", "shortname": "All Applications"}, "IHCP" : {"fullname" : "Immunohistochemistry (Formalin/PFA-fixed paraffin-embedded sections)", "shortname":"IHC-P"} }, "product-promise": { "all": "all", "testedAndGuaranteed": "tested", "guaranteed": "expected", "predicted": "predicted", "notRecommended": "not-recommended" } }, "values": { "Human": { "IHCP-species-checked": "testedAndGuaranteed", "IHCP-species-dilution-info": "1/2000", "IHCP-species-notes": "<p></p> Perform heat-mediated antigen retrieval with Tris/EDTA buffer pH 9.0 before commencing with IHC staining protocol." } } }

Product details

Patented technology
Our RabMAb® technology is a patented hybridoma-based technology for making rabbit monoclonal antibodies. For details on our patents, please refer to RabMAb® patents.

What are the advantages of a recombinant monoclonal antibody?
This product is a recombinant monoclonal antibody, which offers several advantages including:

  • - High batch-to-batch consistency and reproducibility
  • - Improved sensitivity and specificity
  • - Long-term security of supply
  • - Animal-free batch production

For more information, read more on recombinant antibodies.

Properties and storage information

Form
Liquid
Purification technique
Affinity purification Protein A
Storage buffer
pH: 7.2 - 7.4 Preservative: 0.01% Sodium azide Constituents: 59% PBS, 40% Glycerol (glycerin, glycerine), 0.05% BSA
Shipped at conditions
Blue Ice
Appropriate short-term storage duration
1-2 weeks
Appropriate short-term storage conditions
+4°C
Appropriate long-term storage conditions
-20°C
Aliquoting information
Upon delivery aliquot
Storage information
Avoid freeze / thaw cycle

Product protocols

For this product, it's our understanding that no specific protocols are required. You can visit:

Target data

Cell surface glycoprotein involved in various biological processes including angiogenesis, immune response modulation, and tissue remodeling and repair. Participates in pericyte proliferation through positive modulation of the PDGF receptor signaling pathway (PubMed : 20484976). Acts as a scaffold for factor X, triggering allosteric changes and the spatial re-alignment of factor X with the TF-factor VIIa complex, thereby enhancing coagulation activation. Modulates the insulin signaling pathway by interacting with insulin receptor/INSR and by diminishing its capacity to be autophosphorylated in response to insulin. Also regulates LPS-induced inflammatory response in macrophages by favoring the production of proinflammatory cytokines. In human, negatively regulates T-cell proliferation compared with stromal cells where it increases proliferation (PubMed : 21466550).
See full target information CD248

Publications (8)

Recent publications for all applications. Explore the full list and refine your search

BMC cancer 23:290 PubMed36997926

2023

CD248 promotes migration and metastasis of osteosarcoma through ITGB1-mediated FAK-paxillin pathway activation.

Applications

Unspecified application

Species

Unspecified reactive species

Shiqi Lu,Tong Lu,Jiayu Zhang,Lunbiao Gan,Xinjie Wu,Donghui Han,Keying Zhang,Chao Xu,Shaojie Liu,Weijun Qin,Fa Yang,Weihong Wen

Cancer immunology, immunotherapy : CII 72:1739-1750 PubMed36646951

2023

Endosialin-positive tumor-derived pericytes promote tumor progression through impeding the infiltration of CD8 T cells in clear cell renal cell carcinoma.

Applications

Unspecified application

Species

Unspecified reactive species

Tong Lu,Jiayu Zhang,Shiqi Lu,Fa Yang,Lunbiao Gan,Xinjie Wu,Hongtao Song,Shaojie Liu,Chao Xu,Donghui Han,Bo Yang,Weihong Wen,Weijun Qin,Lijun Yang

Annals of translational medicine 9:1741 PubMed35071435

2022

CD248 as a bridge between angiogenesis and immunosuppression: a promising prognostic and therapeutic target for renal cell carcinoma.

Applications

Unspecified application

Species

Unspecified reactive species

Shaojie Liu,Chao Xu,Keying Zhang,Donghui Han,Fa Yang,Yu Li,Xiaolong Zhao,Shanjin Ma,Hongji Li,Shiqi Lu,Tong Lu,Jiayu Zhang,Weijun Qin,Weihong Wen,Bo Yang

Frontiers in oncology 11:773063 PubMed34970489

2021

CD248 Cancer-Associated Fibroblasts: A Novel Prognostic and Therapeutic Target for Renal Cell Carcinoma.

Applications

Unspecified application

Species

Unspecified reactive species

Chao Xu,Keying Zhang,Fa Yang,Xiang Zhou,Shaojie Liu,Yu Li,Shanjin Ma,Xiaolong Zhao,Tong Lu,Shiqi Lu,JiaYu Zhang,Hongji Li,Donghui Han,Weihong Wen,Weijun Qin

Frontiers in oncology 11:771036 PubMed34869004

2021

Prognostic Value of Vascular-Expressed PSMA and CD248 in Urothelial Carcinoma of the Bladder.

Applications

Unspecified application

Species

Unspecified reactive species

Yu Li,Keying Zhang,Fa Yang,Dian Jiao,Mingyang Li,Xiaolong Zhao,Chao Xu,Shaojie Liu,Hongji Li,Shengjia Shi,Bo Yang,Lijun Yang,Donghui Han,Weihong Wen,Weijun Qin

Frontiers in oncology 11:644612 PubMed33791227

2021

The Diagnostic and Immunotherapeutic Value of CD248 in Renal Cell Carcinoma.

Applications

Unspecified application

Species

Unspecified reactive species

Keying Zhang,Chao Xu,Shaojie Liu,Yao Jiang,Xiaolong Zhao,Shanjin Ma,Yu Li,Fa Yang,Yan Wang,Ping Meng,Changhong Shi,Donghui Han,Weihong Wen,Weijun Qin

Breast cancer research : BCR 22:102 PubMed32993755

2020

Fibroblasts direct differentiation of human breast epithelial progenitors.

Applications

Unspecified application

Species

Unspecified reactive species

Mikkel Morsing,Jiyoung Kim,René Villadsen,Nadine Goldhammer,Abbas Jafari,Moustapha Kassem,Ole William Petersen,Lone Rønnov-Jessen

Arthritis research & therapy 19:16 PubMed28122639

2017

Persistent stromal fibroblast activation is present in chronic tendinopathy.

Applications

Unspecified application

Species

Unspecified reactive species

Stephanie G Dakin,Christopher D Buckley,Mohammad Hussein Al-Mossawi,Robert Hedley,Fernando O Martinez,Kim Wheway,Bridget Watkins,Andrew J Carr
View all publications

Product promise

We are committed to supporting your work with high-quality reagents, and we're here for you every step of the way. In the unlikely event that one of our products does not perform as expected, you're protected by our Product Promise.
For full details, please see our Terms & Conditions

Associated Products

Select an associated product type
Alternative Product
Primary Antibodies

AB217535

Anti-TEM1 antibody

primary-antibodies

tem1-antibody-ab217535

0

(0 reviews)

Alternative Product
Primary Antibodies

AB67273

Anti-TEM1 antibody

primary-antibodies

tem1-antibody-ab67273

4

(1 reviews)

Please note: All products are 'FOR RESEARCH USE ONLY. NOT FOR USE IN DIAGNOSTIC OR THERAPEUTIC PROCEDURES'.

For licensing inquiries, please contact partnerships@abcam.com