JavaScript is disabled in your browser. Please enable JavaScript to view this website.
AB251416

Anti-TEM1 antibody [EPR17081] - BSA and Azide free

Be the first to review this product! Submit a review

|

(1 Publication)

Rabbit Recombinant Monoclonal TEM1 antibody. Carrier free. Suitable for IHC-P and reacts with Human samples. Cited in 1 publication.

View Alternative Names

CD248, CD164L1, TEM1, Endosialin, Tumor endothelial marker 1

5 Images
Immunohistochemistry (Formalin/PFA-fixed paraffin-embedded sections) - Anti-TEM1 antibody [EPR17081] - BSA and Azide free (AB251416)
  • IHC-P

Supplier Data

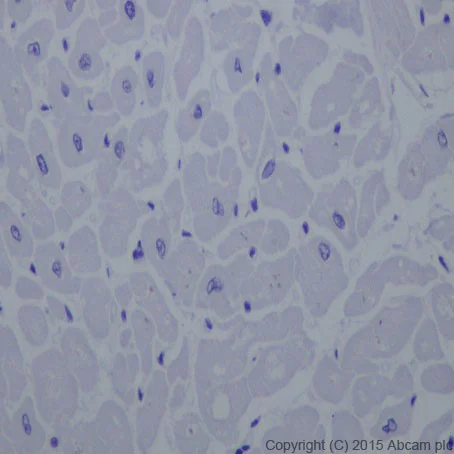
Immunohistochemistry (Formalin/PFA-fixed paraffin-embedded sections) - Anti-TEM1 antibody [EPR17081] - BSA and Azide free (AB251416)

This data was developed using ab204914, the same antibody clone in a different buffer formulation.

Immunohistochemical analysis of paraffin-embedded Human cardiac muscle tissue labeling TEM1 with ab204914 at 1/2000 dilution, followed by Goat Anti-Rabbit IgG H&L (HRP) (ab97051) at 1/500 dilution.

Negative staining on the Human cardiac muscle is observed.

Counter stained with Hematoxylin.

Perform heat mediated antigen retrieval with Tris/EDTA buffer pH 9.0 before commencing with IHC staining protocol.

Immunohistochemistry (Formalin/PFA-fixed paraffin-embedded sections) - Anti-TEM1 antibody [EPR17081] - BSA and Azide free (AB251416)
  • IHC-P

Supplier Data

Immunohistochemistry (Formalin/PFA-fixed paraffin-embedded sections) - Anti-TEM1 antibody [EPR17081] - BSA and Azide free (AB251416)

This data was developed using ab204914, the same antibody clone in a different buffer formulation.

Immunohistochemical analysis of paraffin-embedded Human hemanyiopericytoma tissue labeling TEM1 with ab204914 at 1/2000 dilution, followed by Goat Anti-Rabbit IgG H&L (HRP) (ab97051) at 1/500 dilution.

Membrane staining on Human hemanyiopericytoma tissue is observed.

Counter stained with Hematoxylin.

Secondary antibody only control : Used PBS instead of primary antibody, secondary antibody is Goat Anti-Rabbit IgG H&L (HRP) (ab97051) at 1/500 dilution.

Perform heat mediated antigen retrieval with Tris/EDTA buffer pH 9.0 before commencing with IHC staining protocol.

Immunohistochemistry (Formalin/PFA-fixed paraffin-embedded sections) - Anti-TEM1 antibody [EPR17081] - BSA and Azide free (AB251416)
  • IHC-P

Supplier Data

Immunohistochemistry (Formalin/PFA-fixed paraffin-embedded sections) - Anti-TEM1 antibody [EPR17081] - BSA and Azide free (AB251416)

This data was developed using ab204914, the same antibody clone in a different buffer formulation.

Immunohistochemical analysis of paraffin-embedded Human cerebral cortex tissue labeling TEM1 with ab204914 at 1/2000 dilution, followed by Goat Anti-Rabbit IgG H&L (HRP) (ab97051) at 1/500 dilution.

No staining on Human cerebral cortex tissue is observed.

Counter stained with Hematoxylin.

Perform heat mediated antigen retrieval with Tris/EDTA buffer pH 9.0 before commencing with IHC staining protocol.

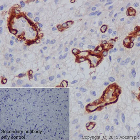
Immunohistochemistry (Formalin/PFA-fixed paraffin-embedded sections) - Anti-TEM1 antibody [EPR17081] - BSA and Azide free (AB251416)
  • IHC-P

Supplier Data

Immunohistochemistry (Formalin/PFA-fixed paraffin-embedded sections) - Anti-TEM1 antibody [EPR17081] - BSA and Azide free (AB251416)

This data was developed using ab204914, the same antibody clone in a different buffer formulation.

Immunohistochemical analysis of paraffin-embedded Human glioma tissue labeling TEM1 with ab204914 at 1/2000 dilution, followed by Goat Anti-Rabbit IgG H&L (HRP) (ab97051) at 1/500 dilution.

Cytoplasm staining on the pericytes of Human glioma is observed.

Counter stained with Hematoxylin.

Secondary antibody only control : Used PBS instead of primary antibody, secondary antibody is Goat Anti-Rabbit IgG H&L (HRP) (ab97051) at 1/500 dilution.

Perform heat mediated antigen retrieval with Tris/EDTA buffer pH 9.0 before commencing with IHC staining protocol.

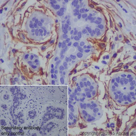
Immunohistochemistry (Formalin/PFA-fixed paraffin-embedded sections) - Anti-TEM1 antibody [EPR17081] - BSA and Azide free (AB251416)
  • IHC-P

Supplier Data

Immunohistochemistry (Formalin/PFA-fixed paraffin-embedded sections) - Anti-TEM1 antibody [EPR17081] - BSA and Azide free (AB251416)

This data was developed using ab204914, the same antibody clone in a different buffer formulation.

Immunohistochemical analysis of paraffin-embedded Human breast tissue labeling TEM1 with ab204914 at 1/2000 dilution, followed by Goat Anti-Rabbit IgG H&L (HRP) (ab97051) at 1/500 dilution.

Cytoplasm staining on the Human breast pericytes is observed.

Counter stained with Hematoxylin.

Secondary antibody only control : Used PBS instead of primary antibody, secondary antibody is Goat Anti-Rabbit IgG H&L (HRP) (ab97051) at 1/500 dilution.

Perform heat mediated antigen retrieval with Tris/EDTA buffer pH 9.0 before commencing with IHC staining protocol.

Key facts

Host species

Rabbit

Clonality

Monoclonal

Clone number

EPR17081

Isotype

IgG

Carrier free

Yes

Reacts with

Human

Applications

IHC-P

applications

Immunogen

The exact immunogen used to generate this antibody is proprietary information.

Specificity

Mouse & Rat: We have preliminary internal testing data to indicate this antibody may not react with these species. Please contact us for more information.

Reactivity data

{ "title": "Reactivity Data", "filters": { "stats": ["", "Species", "Dilution Info", "Notes"], "tabs": { "all-applications": {"fullname" : "All Applications", "shortname": "All Applications"}, "IHCP" : {"fullname" : "Immunohistochemistry (Formalin/PFA-fixed paraffin-embedded sections)", "shortname":"IHC-P"} }, "product-promise": { "all": "all", "testedAndGuaranteed": "tested", "guaranteed": "expected", "predicted": "predicted", "notRecommended": "not-recommended" } }, "values": { "Human": { "IHCP-species-checked": "testedAndGuaranteed", "IHCP-species-dilution-info": "", "IHCP-species-notes": "<p></p>" } } }

Product details

ab251416 is the carrier-free version of ab204914.

Patented technology
Our RabMAb® technology is a patented hybridoma-based technology for making rabbit monoclonal antibodies. For details on our patents, please refer to RabMAb® patents.

What are the advantages of a recombinant monoclonal antibody?
This product is a recombinant monoclonal antibody, which offers several advantages including:

  • - High batch-to-batch consistency and reproducibility
  • - Improved sensitivity and specificity
  • - Long-term security of supply
  • - Animal-free batch production

For more information, read more on recombinant antibodies.

Conjugation ready
Our carrier-free antibodies are typically supplied in a PBS-only formulation, purified and free of BSA, sodium azide and glycerol. This conjugation-ready format is designed for use with fluorochromes, metal isotopes, oligonucleotides, and enzymes, which makes them ideal for antibody labelling, functional and cell-based assays, flow-based assays (e.g. mass cytometry) and Multiplex Imaging applications.

Use our conjugation kits for antibody conjugates that are ready-to-use in as little as 20 minutes with 1 minute hands-on-time and 100% antibody recovery: available for fluorescent dyes, HRP, biotin and gold.

Compatibility
This product is compatible with the Maxpar® Antibody Labeling Kit from Fluidigm, without the need for antibody preparation. Maxpar® is a trademark of Fluidigm Canada Inc.

Properties and storage information

Form
Liquid
Purification technique
Affinity purification Protein A
Storage buffer
pH: 7.2 - 7.4 Constituents: PBS
Shipped at conditions
Blue Ice
Appropriate short-term storage conditions
+4°C
Appropriate long-term storage conditions
+4°C
Storage information
Do Not Freeze

Product protocols

For this product, it's our understanding that no specific protocols are required. You can visit:

Target data

Cell surface glycoprotein involved in various biological processes including angiogenesis, immune response modulation, and tissue remodeling and repair. Participates in pericyte proliferation through positive modulation of the PDGF receptor signaling pathway (PubMed : 20484976). Acts as a scaffold for factor X, triggering allosteric changes and the spatial re-alignment of factor X with the TF-factor VIIa complex, thereby enhancing coagulation activation. Modulates the insulin signaling pathway by interacting with insulin receptor/INSR and by diminishing its capacity to be autophosphorylated in response to insulin. Also regulates LPS-induced inflammatory response in macrophages by favoring the production of proinflammatory cytokines. In human, negatively regulates T-cell proliferation compared with stromal cells where it increases proliferation (PubMed : 21466550).
See full target information CD248

Publications (1)

Recent publications for all applications. Explore the full list and refine your search

Nature communications 12:3596 PubMed34155205

2021

ERRγ enhances cardiac maturation with T-tubule formation in human iPSC-derived cardiomyocytes.

Applications

Unspecified application

Species

Unspecified reactive species

Kenji Miki,Kohei Deguchi,Misato Nakanishi-Koakutsu,Antonio Lucena-Cacace,Shigeru Kondo,Yuya Fujiwara,Takeshi Hatani,Masako Sasaki,Yuki Naka,Chikako Okubo,Megumi Narita,Ikue Takei,Stephanie C Napier,Tsukasa Sugo,Sachiko Imaichi,Taku Monjo,Tatsuya Ando,Norihisa Tamura,Kenichi Imahashi,Tomoyuki Nishimoto,Yoshinori Yoshida
View all publications

Product promise

We are committed to supporting your work with high-quality reagents, and we're here for you every step of the way. In the unlikely event that one of our products does not perform as expected, you're protected by our Product Promise.
For full details, please see our Terms & Conditions

Please note: All products are 'FOR RESEARCH USE ONLY. NOT FOR USE IN DIAGNOSTIC OR THERAPEUTIC PROCEDURES'.

For licensing inquiries, please contact partnerships@abcam.com