JavaScript is disabled in your browser. Please enable JavaScript to view this website.
AB325134

Anti-Teneurin-2 (C-terminal) antibody [EPR29568-575]

Be the first to review this product! Submit a review

|

(0 Publication)

Rabbit Recombinant Monoclonal TEN2 antibody. Suitable for WB, IHC-P and reacts with Recombinant fragment - Human, Human, Mouse samples.

View Alternative Names

KIAA1127, ODZ2, TNM2, Teneurin-2, Ten-2, Protein Odd Oz/ten-m homolog 2, Tenascin-M2, Teneurin transmembrane protein 2, Ten-m2

7 Images
Immunohistochemistry (Formalin/PFA-fixed paraffin-embedded sections) - Anti-Teneurin-2 (C-terminal) antibody [EPR29568-575] (AB325134)
  • IHC-P

Supplier Data

Immunohistochemistry (Formalin/PFA-fixed paraffin-embedded sections) - Anti-Teneurin-2 (C-terminal) antibody [EPR29568-575] (AB325134)

Immunohistochemical analysis of paraffin-embedded Mouse cerebrum tissue labeling Teneurin-2 with ab325134 at 1/500 (1.006 ug/ml) dilution, followed by a ready to use LeicaDS9800 (Bond™ Polymer Refine Detection).

Positive staining in mouse cerebrum.
The primary antibody was incubated for 30 mins at room temperature.
The immunostaining was performed on a Leica Biosystems BOND® RX instrument

Counterstained with Hematoxylin.

Secondary antibody only control : Secondary antibody is a ready to use LeicaDS9800 (Bond™ Polymer Refine Detection).

Heat mediated antigen retrieval was performed with Tris-EDTA buffer (pH 9.0, Epitope Retrieval Solution2) for 20 mins.

Immunohistochemistry (Formalin/PFA-fixed paraffin-embedded sections) - Anti-Teneurin-2 (C-terminal) antibody [EPR29568-575] (AB325134)
  • IHC-P

Supplier Data

Immunohistochemistry (Formalin/PFA-fixed paraffin-embedded sections) - Anti-Teneurin-2 (C-terminal) antibody [EPR29568-575] (AB325134)

Immunohistochemical analysis of paraffin-embedded Mouse hippocampus tissue labeling Teneurin-2 with ab325134 at 1/500 (1.006 ug/ml) dilution, followed by a ready to use LeicaDS9800 (Bond™ Polymer Refine Detection).

Positive staining in mouse hippocampus.
The primary antibody was incubated for 30 mins at room temperature.
The immunostaining was performed on a Leica Biosystems BOND® RX instrument

Counterstained with Hematoxylin.

Secondary antibody only control : Secondary antibody is a ready to use LeicaDS9800 (Bond™ Polymer Refine Detection).

Heat mediated antigen retrieval was performed with Tris-EDTA buffer (pH 9.0, Epitope Retrieval Solution2) for 20 mins.

Immunohistochemistry (Formalin/PFA-fixed paraffin-embedded sections) - Anti-Teneurin-2 (C-terminal) antibody [EPR29568-575] (AB325134)
  • IHC-P

Supplier Data

Immunohistochemistry (Formalin/PFA-fixed paraffin-embedded sections) - Anti-Teneurin-2 (C-terminal) antibody [EPR29568-575] (AB325134)

Immunohistochemical analysis of paraffin-embedded Mouse whole brain tissue labeling Teneurin-2 with ab325134 at 1/500 (1.006 ug/ml) dilution, followed by a ready to use LeicaDS9800 (Bond™ Polymer Refine Detection).

Positive staining in mouse whole brain.
The primary antibody was incubated for 30 mins at room temperature.
The immunostaining was performed on a Leica Biosystems BOND® RX instrument

Counterstained with Hematoxylin.

Secondary antibody only control : Secondary antibody is a ready to use LeicaDS9800 (Bond™ Polymer Refine Detection).

Heat mediated antigen retrieval was performed with Tris-EDTA buffer (pH 9.0, Epitope Retrieval Solution2) for 20 mins.

Western blot - Anti-Teneurin-2 (C-terminal) antibody [EPR29568-575] (AB325134)
  • WB

Supplier Data

Western blot - Anti-Teneurin-2 (C-terminal) antibody [EPR29568-575] (AB325134)

Blocking and diluting buffer and concentration : 5% NFDM/TBST.

Negative control : THP-1, HeLa.

The band pattern observed is consistent with what has been described in the literature (PMID : 27499734).

In Western blot, Anti-Vinculin antibody [EPR8185] (ab129002) staining at 1/10000 dilution.

Exposure time : Lane 1 : 180 seconds; Lanes 2-6 : 3 seconds.

All lanes:

Western blot - Anti-Teneurin-2 (C-terminal) antibody [EPR29568-575] (ab325134) at 1/1000 dilution

Lane 1:

Human cerebellum tissue lysate at 20 µg

Lane 2:

U-2 OS (human bone osteosarcoma epithelial cell) whole cell lysate at 20 µg

Lane 3:

THP-1 (human monocytic leukemia monocyte) whole cell lysate at 20 µg

Lane 4:

HeLa (human cervical adenocarcinoma epithelial cell) whole cell lysate at 20 µg

Lane 5:

Saos-2 (human osteosarcoma epithelial cell) whole cell lysate at 20 µg

Lane 6:

TT (human thyroid carcinoma epithelial cell) whole cell lysate at 20 µg

Secondary

All lanes:

Western blot - Goat Anti-Rabbit IgG H&L (HRP) (<a href='/en-us/products/secondary-antibodies/goat-rabbit-igg-h-l-hrp-ab97051'>ab97051</a>) at 1/20000 dilution

Observed band size: 290 kDa,270 kDa,200 kDa,124 kDa

false

Western blot - Anti-Teneurin-2 (C-terminal) antibody [EPR29568-575] (AB325134)
  • WB

Supplier Data

Western blot - Anti-Teneurin-2 (C-terminal) antibody [EPR29568-575] (AB325134)

Blocking and diluting buffer and concentration : 5% NFDM/TBST.

Low expression : spleen, skeletal muscle, lung, testis (PMID : 10574461).

In Western blot, Anti-Vinculin antibody [EPR8185] (ab129002) staining at 1/10000 dilution.

All lanes:

Western blot - Anti-Teneurin-2 (C-terminal) antibody [EPR29568-575] (ab325134) at 1/1000 dilution

Lane 1:

Mouse brain tissue lysate at 20 µg

Lane 2:

Mouse E14 brain tissue lysate at 20 µg

Lane 3:

Mouse spleen tissue lysate at 20 µg

Lane 4:

Mouse skeletal muscle tissue lysate at 20 µg

Lane 5:

Mouse lung tissue lysate at 20 µg

Lane 6:

Mouse testis tissue lysate at 20 µg

Secondary

All lanes:

Western blot - Goat Anti-Rabbit IgG H&L (HRP) (<a href='/en-us/products/secondary-antibodies/goat-rabbit-igg-h-l-hrp-ab97051'>ab97051</a>) at 1/20000 dilution

Observed band size: 290 kDa,270 kDa,200 kDa,124 kDa

false

Exposure time: 15s

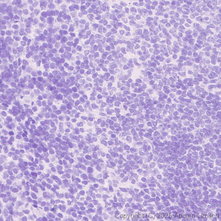
Immunohistochemistry (Formalin/PFA-fixed paraffin-embedded sections) - Anti-Teneurin-2 (C-terminal) antibody [EPR29568-575] (AB325134)
  • IHC-P

Supplier Data

Immunohistochemistry (Formalin/PFA-fixed paraffin-embedded sections) - Anti-Teneurin-2 (C-terminal) antibody [EPR29568-575] (AB325134)

Immunohistochemical analysis of paraffin-embedded Mouse spleen tissue labeling Teneurin-2 with ab325134 at 1/500 (1.006 ug/ml) dilution, followed by a ready to use LeicaDS9800 (Bond™ Polymer Refine Detection).

Negative control : No staining in mouse spleen.
The primary antibody was incubated for 30 mins at room temperature.
The immunostaining was performed on a Leica Biosystems BOND® RX instrument

Counterstained with Hematoxylin.

Secondary antibody only control : Secondary antibody is a ready to use LeicaDS9800 (Bond™ Polymer Refine Detection).

Heat mediated antigen retrieval was performed with Tris-EDTA buffer (pH 9.0, Epitope Retrieval Solution2) for 20 mins.

Western blot - Anti-Teneurin-2 (C-terminal) antibody [EPR29568-575] (AB325134)
  • WB

Supplier Data

Western blot - Anti-Teneurin-2 (C-terminal) antibody [EPR29568-575] (AB325134)

Blocking and diluting buffer and concentration : 5% NFDM/TBST.

This antibody does not cross-react with recombinant human Teneurin-1, Teneurin-3 or Teneurin-4 by western blot.

In Western blot, Anti-6X His tag® antibody [EPR20547] - ChIP Grade (ab213204) staining at 1/5000 dilution.

In Western blot, Anti-LIF antibody [EPR21713-25] - (ab244795) staining at 1/1000 dilution.

All lanes:

Western blot - Anti-Teneurin-2 (C-terminal) antibody [EPR29568-575] (ab325134) at 1/1000 dilution

Lane 1:

LIF-tagged human Teneurin-1 fragment at 10 ng

Lane 2:

LIF-tagged human Teneurin-2 fragment at 10 ng

Lane 3:

His-tagged human Teneurin-3 fragment at 10 ng

Lane 4:

LIF-tagged human Teneurin-4 fragment at 10 ng

Secondary

All lanes:

Western blot - Goat Anti-Rabbit IgG H&L (HRP) (<a href='/en-us/products/secondary-antibodies/goat-rabbit-igg-h-l-hrp-ab97051'>ab97051</a>) at 1/20000 dilution

Observed band size: 46 kDa,60 kDa,45 kDa

false

Exposure time: 103s

Key facts

Host species

Rabbit

Clonality

Monoclonal

Clone number

EPR29568-575

Isotype

IgG

Carrier free

No

Reacts with

Mouse, Human

Applications

WB, IHC-P

applications

Immunogen

The exact immunogen used to generate this antibody is proprietary information.

Specificity

Unsuitable for human IHC-P.

Reactivity data

{ "title": "Reactivity Data", "filters": { "stats": ["", "Species", "Dilution Info", "Notes"], "tabs": { "all-applications": {"fullname" : "All Applications", "shortname": "All Applications"}, "WB" : {"fullname" : "Western blot", "shortname":"WB"}, "IHCP" : {"fullname" : "Immunohistochemistry (Formalin/PFA-fixed paraffin-embedded sections)", "shortname":"IHC-P"}, "IHCFr" : {"fullname" : "Immunohistochemistry (Frozen sections)", "shortname":"IHC-Fr"}, "ICCIF" : {"fullname" : "Immunocytochemistry/ Immunofluorescence", "shortname":"ICC/IF"} }, "product-promise": { "all": "all", "testedAndGuaranteed": "tested", "guaranteed": "expected", "predicted": "predicted", "notRecommended": "not-recommended" } }, "values": { "Human": { "WB-species-checked": "testedAndGuaranteed", "WB-species-dilution-info": "1/1000", "WB-species-notes": "<p></p>", "IHCP-species-checked": "notRecommended", "IHCP-species-dilution-info": "", "IHCP-species-notes": "<p></p>", "IHCFr-species-checked": "notRecommended", "IHCFr-species-dilution-info": "", "IHCFr-species-notes": "", "ICCIF-species-checked": "notRecommended", "ICCIF-species-dilution-info": "", "ICCIF-species-notes": "<p></p>" }, "Mouse": { "WB-species-checked": "testedAndGuaranteed", "WB-species-dilution-info": "1/1000", "WB-species-notes": "<p></p>", "IHCP-species-checked": "testedAndGuaranteed", "IHCP-species-dilution-info": "1/500", "IHCP-species-notes": "<p></p> Perform heat-mediated antigen retrieval with Tris/EDTA buffer pH 9.0 before commencing with IHC staining protocol.", "IHCFr-species-checked": "notRecommended", "IHCFr-species-dilution-info": "", "IHCFr-species-notes": "<p></p>", "ICCIF-species-checked": "notRecommended", "ICCIF-species-dilution-info": "", "ICCIF-species-notes": "<p></p>" }, "Recombinant fragment - Human": { "WB-species-checked": "testedAndGuaranteed", "WB-species-dilution-info": "1/1000", "WB-species-notes": "<p></p>", "IHCP-species-checked": "notRecommended", "IHCP-species-dilution-info": "", "IHCP-species-notes": "", "IHCFr-species-checked": "notRecommended", "IHCFr-species-dilution-info": "", "IHCFr-species-notes": "", "ICCIF-species-checked": "notRecommended", "ICCIF-species-dilution-info": "", "ICCIF-species-notes": "" } } }

Product details

Patented technology
Our RabMAb® technology is a patented hybridoma-based technology for making rabbit monoclonal antibodies. For details on our patents, please refer to RabMAb® patents.

What are the advantages of a recombinant monoclonal antibody?
This product is a recombinant monoclonal antibody, which offers several advantages including:

  • - High batch-to-batch consistency and reproducibility
  • - Improved sensitivity and specificity
  • - Long-term security of supply
  • - Animal-free batch production

For more information, read more on recombinant antibodies.

Properties and storage information

Form
Liquid
Purification technique
Affinity purification Protein A
Storage buffer
pH: 7.2 - 7.4 Preservative: 0.01% Sodium azide Constituents: PBS, 40% Glycerol (glycerin, glycerine), 0.05% BSA
Shipped at conditions
Blue Ice
Appropriate short-term storage duration
1-2 weeks
Appropriate short-term storage conditions
+4°C
Appropriate long-term storage conditions
-20°C
Aliquoting information
Upon delivery aliquot
Storage information
Avoid freeze / thaw cycle

Product protocols

For this product, it's our understanding that no specific protocols are required. You can visit:

Target data

Involved in neural development, regulating the establishment of proper connectivity within the nervous system (PubMed : 21724987). Acts as a ligand of the ADGRL1 and ADGRL3 receptors that are expressed at the surface of adjacent cells (PubMed : 21724987). Promotes the formation of filopodia and enlarged growth cone in neuronal cells (PubMed : 21724987). Mediates axon guidance and homophilic and heterophilic cell-cell adhesion (PubMed : 21724987). May function as a cellular signal transducer (PubMed : 21724987).. Isoform 2. Acts as a ligand of the ADGRL1 receptor. Mediates axon guidance and heterophilic cell-cell adhesion.. Ten-2 intracellular domain. Induces gene transcription inhibition.
See full target information TENM2

Product promise

We are committed to supporting your work with high-quality reagents, and we're here for you every step of the way. In the unlikely event that one of our products does not perform as expected, you're protected by our Product Promise.
For full details, please see our Terms & Conditions

Please note: All products are 'FOR RESEARCH USE ONLY. NOT FOR USE IN DIAGNOSTIC OR THERAPEUTIC PROCEDURES'.

For licensing inquiries, please contact partnerships@abcam.com