JavaScript is disabled in your browser. Please enable JavaScript to view this website.
AB325683

Anti-Teneurin-4 antibody [EPR29569-564] - C-terminal

Be the first to review this product! Submit a review

|

(0 Publication)

Rabbit Recombinant Monoclonal Teneurin-4 antibody. Suitable for I-ELISA, WB and reacts with Recombinant fragment - Human, Human, Mouse samples.

View Alternative Names

KIAA1302, ODZ4, TNM4, TENM4, Teneurin-4, Ten-4, Protein Odd Oz/ten-m homolog 4, Tenascin-M4, Teneurin transmembrane protein 4, Ten-m4

3 Images
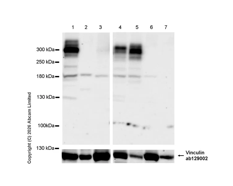
Western blot - Anti-Teneurin-4 antibody [EPR29569-564] - C-terminal (AB325683)
  • WB

Lab

Western blot - Anti-Teneurin-4 antibody [EPR29569-564] - C-terminal (AB325683)

Blocking and diluting buffer and concentration : 5% NFDM/TBST.

Low expression : RAW 264.7, mIMCD3, HeLa, HepG2.

The bands beneath the target band (260 kDa) are likely to be degraded target fragments.

In Western blot, Anti-Vinculin antibody [EPR8185] (ab129002) (1 : 10000) (124KDa).

All lanes:

Western blot - Anti-Teneurin-4 antibody [EPR29569-564] - C-terminal (ab325683) at 1/1000 dilution

Lane 1:

L-929 (mouse connective tissue fibroblast) whole cell lysate at 40 µg

Lane 2:

RAW 264.7 (mouse Abelson murine leukemia virus-induced tumor macrophage) whole cell lysate at 40 µg

Lane 3:

mIMCD3 (mouse inner medullary collecting duct epithelial cell) whole cell lysate at 40 µg

Lane 4:

SK-N-BE(2) (human neuroblastoma neuroblast) whole cell lysate at 40 µg

Lane 5:

SR (human pleural effusion lymphoblast) whole cell lysate at 40 µg

Lane 6:

HeLa (human cervical adenocarcinoma epithelial cell) whole cell lysate at 40 µg

Lane 7:

HepG2 (human hepatocellular carcinoma epithelial cell) whole cell lysate at 40 µg

Secondary

All lanes:

Western blot - Goat Anti-Rabbit IgG H&L (HRP) (<a href='/en-us/products/secondary-antibodies/goat-rabbit-igg-h-l-hrp-ab97051'>ab97051</a>) at 1/100000 dilution

Observed band size: 307 kDa,124 kDa

false

Exposure time: 180s

Western blot - Anti-Teneurin-4 antibody [EPR29569-564] - C-terminal (AB325683)
  • WB

Lab

Western blot - Anti-Teneurin-4 antibody [EPR29569-564] - C-terminal (AB325683)

Blocking and diluting buffer and concentration : 5% NFDM/TBST.

Low expression : spleen, lung, skeletal muscle.

The band beneath the target band (307 kDa) is likely to be cleaved form (PMID : 30618567).

In Western blot, Anti-Vinculin antibody [EPR8185] (ab129002) (1 : 10000) (124KDa).

All lanes:

Western blot - Anti-Teneurin-4 antibody [EPR29569-564] - C-terminal (ab325683) at 1/1000 dilution

Lane 1:

Mouse brain tissue lysate at 40 µg

Lane 2:

Mouse cerebral cortex tissue lysate at 40 µg

Lane 3:

Mouse hippocampus tissue lysate at 40 µg

Lane 4:

Mouse spleen tissue lysate at 40 µg

Lane 5:

Mouse lung tissue lysate at 40 µg

Lane 6:

Mouse skeletal muscle tissue lysate at 40 µg

Secondary

All lanes:

Western blot - Goat Anti-Rabbit IgG H&L (HRP) (<a href='/en-us/products/secondary-antibodies/goat-rabbit-igg-h-l-hrp-ab97051'>ab97051</a>) at 1/100000 dilution

Observed band size: 260-307 kDa,124 kDa

false

Exposure time: 180s

Indirect ELISA - Anti-Teneurin-4 antibody [EPR29569-564] - C-terminal (AB325683)
  • I-ELISA

Lab

Indirect ELISA - Anti-Teneurin-4 antibody [EPR29569-564] - C-terminal (AB325683)

Indirect ELISA analysis of ab325683 at 1000-0 ng/ml. The Secondary antibody used was Alkaline Phosphatase-conjugated AffiniPure Goat Anti-Rabbit IgG (H+L) at 1 : 2500 dilution dilution.

Antigen : Human TENM1 protein;Human TENM2 protein;Human TENM3 protein;Human TENM4 protein.

Antigen concentration : 1000 ng/ml

This antibody does not cross-react with human TENM1, human TENM2 and human TENM3.

Key facts

Host species

Rabbit

Clonality

Monoclonal

Clone number

EPR29569-564

Isotype

IgG

Carrier free

No

Reacts with

Human, Mouse

Applications

WB, I-ELISA

applications

Immunogen

The exact immunogen used to generate this antibody is proprietary information.

Reactivity data

{ "title": "Reactivity Data", "filters": { "stats": ["", "Species", "Dilution Info", "Notes"], "tabs": { "all-applications": {"fullname" : "All Applications", "shortname": "All Applications"}, "IELISA" : {"fullname" : "Indirect ELISA", "shortname":"I-ELISA"}, "WB" : {"fullname" : "Western blot", "shortname":"WB"}, "IHCFr" : {"fullname" : "Immunohistochemistry (Frozen sections)", "shortname":"IHC-Fr"}, "ICCIF" : {"fullname" : "Immunocytochemistry/ Immunofluorescence", "shortname":"ICC/IF"}, "IHCP" : {"fullname" : "Immunohistochemistry (Formalin/PFA-fixed paraffin-embedded sections)", "shortname":"IHC-P"} }, "product-promise": { "all": "all", "testedAndGuaranteed": "tested", "guaranteed": "expected", "predicted": "predicted", "notRecommended": "not-recommended" } }, "values": { "Human": { "IELISA-species-checked": "guaranteed", "IELISA-species-dilution-info": "", "IELISA-species-notes": "", "WB-species-checked": "testedAndGuaranteed", "WB-species-dilution-info": "1/1000", "WB-species-notes": "<p></p>", "IHCFr-species-checked": "notRecommended", "IHCFr-species-dilution-info": "", "IHCFr-species-notes": "", "ICCIF-species-checked": "notRecommended", "ICCIF-species-dilution-info": "", "ICCIF-species-notes": "<p></p>", "IHCP-species-checked": "notRecommended", "IHCP-species-dilution-info": "", "IHCP-species-notes": "<p></p>" }, "Mouse": { "IELISA-species-checked": "guaranteed", "IELISA-species-dilution-info": "", "IELISA-species-notes": "", "WB-species-checked": "testedAndGuaranteed", "WB-species-dilution-info": "1/1000", "WB-species-notes": "<p></p>", "IHCFr-species-checked": "notRecommended", "IHCFr-species-dilution-info": "", "IHCFr-species-notes": "<p></p>", "ICCIF-species-checked": "notRecommended", "ICCIF-species-dilution-info": "", "ICCIF-species-notes": "<p></p>", "IHCP-species-checked": "notRecommended", "IHCP-species-dilution-info": "", "IHCP-species-notes": "<p></p>" }, "Recombinant fragment - Human": { "IELISA-species-checked": "testedAndGuaranteed", "IELISA-species-dilution-info": "31.25 ng/mL", "IELISA-species-notes": "<p></p>", "WB-species-checked": "notRecommended", "WB-species-dilution-info": "", "WB-species-notes": "", "IHCFr-species-checked": "notRecommended", "IHCFr-species-dilution-info": "", "IHCFr-species-notes": "", "ICCIF-species-checked": "notRecommended", "ICCIF-species-dilution-info": "", "ICCIF-species-notes": "", "IHCP-species-checked": "notRecommended", "IHCP-species-dilution-info": "", "IHCP-species-notes": "" } } }

Product details

Patented technology
Our RabMAb® technology is a patented hybridoma-based technology for making rabbit monoclonal antibodies. For details on our patents, please refer to RabMAb® patents.

What are the advantages of a recombinant monoclonal antibody?
This product is a recombinant monoclonal antibody, which offers several advantages including:

  • - High batch-to-batch consistency and reproducibility
  • - Improved sensitivity and specificity
  • - Long-term security of supply
  • - Animal-free batch production

For more information, read more on recombinant antibodies.

Properties and storage information

Form
Liquid
Purification technique
Affinity purification Protein A
Storage buffer
pH: 7.2 - 7.4 Preservative: 0.01% Sodium azide Constituents: PBS, 40% Glycerol (glycerin, glycerine), 0.05% BSA
Shipped at conditions
Blue Ice
Appropriate short-term storage duration
1-2 weeks
Appropriate short-term storage conditions
+4°C
Appropriate long-term storage conditions
-20°C
Aliquoting information
Upon delivery aliquot
Storage information
Avoid freeze / thaw cycle

Product protocols

For this product, it's our understanding that no specific protocols are required. You can visit:

Target data

Involved in neural development, regulating the establishment of proper connectivity within the nervous system. Plays a role in the establishment of the anterior-posterior axis during gastrulation. Regulates the differentiation and cellular process formation of oligodendrocytes and myelination of small-diameter axons in the central nervous system (CNS) (PubMed : 26188006). Promotes activation of focal adhesion kinase. May function as a cellular signal transducer (By similarity).
See full target information TENM4

Product promise

We are committed to supporting your work with high-quality reagents, and we're here for you every step of the way. In the unlikely event that one of our products does not perform as expected, you're protected by our Product Promise.
For full details, please see our Terms & Conditions

Please note: All products are 'FOR RESEARCH USE ONLY. NOT FOR USE IN DIAGNOSTIC OR THERAPEUTIC PROCEDURES'.

For licensing inquiries, please contact partnerships@abcam.com