JavaScript is disabled in your browser. Please enable JavaScript to view this website.
AB64189

Anti-TEP1 antibody

5

(2 Reviews)

|

(2 Publications)

Rabbit Polyclonal TEP1 antibody. Suitable for IHC-P and reacts with Human samples. Cited in 2 publications. Immunogen corresponding to Synthetic Peptide within Human TEP1.

View Alternative Names

TLP1, TP1, TEP1, Telomerase protein component 1, Telomerase-associated protein 1, p240, p80 telomerase homolog, Telomerase protein 1

2 Images
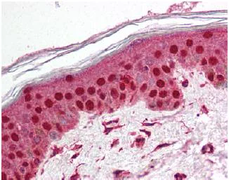
Immunohistochemistry (Formalin/PFA-fixed paraffin-embedded sections) - Anti-TEP1 antibody (AB64189)
  • IHC-P

Unknown

Immunohistochemistry (Formalin/PFA-fixed paraffin-embedded sections) - Anti-TEP1 antibody (AB64189)

ab64189 (5ug/ml) staining TEP1 in human skin tissue by immunohistochemistry using formalin-fixed, paraffin-embedded tissue.

Immunohistochemistry (Formalin/PFA-fixed paraffin-embedded sections) - Anti-TEP1 antibody (AB64189)
  • IHC-P

Unknown

Immunohistochemistry (Formalin/PFA-fixed paraffin-embedded sections) - Anti-TEP1 antibody (AB64189)

ab64189 (5ug/ml) staining TEP1 in human breast tissue by immunohistochemistry using formalin-fixed, paraffin embedded tissue.

Key facts

Host species

Rabbit

Clonality

Polyclonal

Isotype

IgG

Carrier free

No

Reacts with

Human

Applications

IHC-P

applications

Immunogen

Synthetic Peptide within Human TEP1. The exact immunogen used to generate this antibody is proprietary information.

Q99973

Reactivity data

{ "title": "Reactivity Data", "filters": { "stats": ["", "Species", "Dilution Info", "Notes"], "tabs": { "all-applications": {"fullname" : "All Applications", "shortname": "All Applications"}, "IHCP" : {"fullname" : "Immunohistochemistry (Formalin/PFA-fixed paraffin-embedded sections)", "shortname":"IHC-P"} }, "product-promise": { "all": "all", "testedAndGuaranteed": "tested", "guaranteed": "expected", "predicted": "predicted", "notRecommended": "not-recommended" } }, "values": { "Human": { "IHCP-species-checked": "testedAndGuaranteed", "IHCP-species-dilution-info": "5 µg/mL", "IHCP-species-notes": "<p></p>" } } }

Properties and storage information

Form
Liquid
Purification technique
Affinity purification Immunogen
Storage buffer
pH: 7.4 Preservative: 0.02% Sodium azide Constituents: PBS
Shipped at conditions
Blue Ice
Appropriate short-term storage duration
1-2 weeks
Appropriate short-term storage conditions
+4°C
Appropriate long-term storage conditions
-20°C
Storage information
Avoid freeze / thaw cycle

Product protocols

For this product, it's our understanding that no specific protocols are required. You can visit:

Target data

Component of the telomerase ribonucleoprotein complex that is essential for the replication of chromosome termini (PubMed : 19179534). Also a component of the ribonucleoprotein vaults particle, a multi-subunit structure involved in nucleo-cytoplasmic transport (By similarity). Responsible for the localizing and stabilizing vault RNA (vRNA) association in the vault ribonucleoprotein particle. Binds to TERC (By similarity).
See full target information TEP1

Publications (2)

Recent publications for all applications. Explore the full list and refine your search

Aging 12:11517-11529 PubMed32584784

2020

hsa_circ_0004018 suppresses the progression of liver fibrosis through regulating the hsa-miR-660-3p/TEP1 axis.

Applications

Unspecified application

Species

Unspecified reactive species

Shan Li,Fangmin Song,Xu Lei,Jingtao Li,Fang Li,Huabing Tan

Proceedings of the National Academy of Sciences of 109:1667-72 PubMed22307628

2012

Glycerolipid signals alter mTOR complex 2 (mTORC2) to diminish insulin signaling.

Applications

Unspecified application

Species

Unspecified reactive species

Chongben Zhang,Angela A Wendel,Matthew R Keogh,Thurl E Harris,Jie Chen,Rosalind A Coleman
View all publications

Product promise

We are committed to supporting your work with high-quality reagents, and we're here for you every step of the way. In the unlikely event that one of our products does not perform as expected, you're protected by our Product Promise.
For full details, please see our Terms & Conditions

Please note: All products are 'FOR RESEARCH USE ONLY. NOT FOR USE IN DIAGNOSTIC OR THERAPEUTIC PROCEDURES'.

For licensing inquiries, please contact partnerships@abcam.com