JavaScript is disabled in your browser. Please enable JavaScript to view this website.
AB217912

Anti-Testosterone antibody [4E1G2]

5

(1 Review)

|

(3 Publications)

Mouse Monoclonal Testosterone antibody. Suitable for IHC-P and reacts with Human samples. Cited in 3 publications. Immunogen corresponding to Chemical / Small Molecule corresponding to Testosterone.

View Alternative Names

17b hydroxy 4 androsten 3 one, 17鑴-hydroxyandrost-4-ene-3-one

1 Images
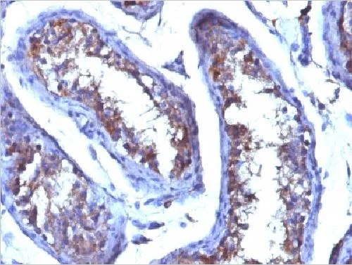
Immunohistochemistry (Formalin/PFA-fixed paraffin-embedded sections) - Anti-Testosterone antibody [4E1G2] (AB217912)
  • IHC-P

Supplier Data

Immunohistochemistry (Formalin/PFA-fixed paraffin-embedded sections) - Anti-Testosterone antibody [4E1G2] (AB217912)

Immunohistochemical analysis of formalin-fixed and paraffin-embedded human testicular carcinoma tissue labeling Testosterone with ab217912 at 0.5 μg/mL dilution.

Key facts

Host species

Mouse

Clonality

Monoclonal

Clone number

4E1G2

Isotype

IgG1

Light chain type

kappa

Carrier free

No

Reacts with

Human

Applications

IHC-P

applications

Reactivity data

{ "title": "Reactivity Data", "filters": { "stats": ["", "Species", "Dilution Info", "Notes"], "tabs": { "all-applications": {"fullname" : "All Applications", "shortname": "All Applications"}, "IHCP" : {"fullname" : "Immunohistochemistry (Formalin/PFA-fixed paraffin-embedded sections)", "shortname":"IHC-P"} }, "product-promise": { "all": "all", "testedAndGuaranteed": "tested", "guaranteed": "expected", "predicted": "predicted", "notRecommended": "not-recommended" } }, "values": { "Human": { "IHCP-species-checked": "testedAndGuaranteed", "IHCP-species-dilution-info": "0.25-0.5 µg/mL", "IHCP-species-notes": "<p></p> Perform heat-mediated antigen retrieval with Tris/EDTA buffer pH 9.0 before commencing with IHC staining protocol." } } }

Properties and storage information

Form
Liquid
Purification technique
Affinity purification Protein G
Storage buffer
pH: 7.2 - 7.4 Preservative: 0.05% Sodium azide Constituents: PBS, 0.05% BSA
Shipped at conditions
Blue Ice
Appropriate short-term storage duration
1-2 weeks
Appropriate short-term storage conditions
+4°C
Appropriate long-term storage conditions
-20°C
Aliquoting information
Upon delivery aliquot
Storage information
Avoid freeze / thaw cycle

Supplementary information

This supplementary information is collated from multiple sources and compiled automatically.

Testosterone also known as 17β-hydroxyandrost-4-en-3-one is a steroid hormone with a molecular mass of approximately 288.42 Da. It is primarily synthesized in the testes but also in smaller amounts in the ovaries and adrenal glands. Mechanically testosterone operates by binding to the androgen receptor a member of the nuclear receptor family which then modulates gene expression. Its synthesis is stimulated by luteinizing hormone (LH) which is released from the anterior pituitary gland.
Biological function summary

Testosterone plays an important role in the development of male secondary sexual characteristics such as increased muscle and bone mass and the growth of body hair. It's also part of the steroid hormone biosynthesis pathway influencing the production of estradiol through the aromatase enzyme. Testosterone contributes to the maintenance of reproductive tissues and is important for the modulation of mood and cognitive functions.

Pathways

Testosterone is integral to the HPG (hypothalamic-pituitary-gonadal) axis where it exerts feedback control by inhibiting the secretion of gonadotropin-releasing hormone (GnRH) and LH. Moreover testosterone is essential in the androgen receptor signaling pathway. This pathway involves other proteins like dihydrotestosterone (DHT) a potent androgen converted from testosterone via the 5α-reductase enzyme.

Low levels of testosterone commonly known as 'Low T' are linked to conditions like hypogonadism and certain metabolic syndromes. Testosterone levels can influence the risk of osteoporosis as sustained low levels reduce bone density. Additionally increased or decreased testosterone levels can pose risks to cardiovascular health with the target interacting with proteins such as sex hormone-binding globulin (SHBG) in these contexts.

Product protocols

For this product, it's our understanding that no specific protocols are required. You can visit:

Publications (3)

Recent publications for all applications. Explore the full list and refine your search

Frontiers in cellular and infection microbiology 15:1538461 PubMed40496014

2025

SARS-CoV-2 exploits steroidogenic machinery, triggers lipid metabolism for viral replication and induces immune response in Leydig cells of K18-hACE2 mice.

Applications

Unspecified application

Species

Unspecified reactive species

Salmo Azambuja de Oliveira,André Acácio Souza da Silva,Barry T Hinton,Giovanni Freitas Gomes,Thiago Mattar Cunha,Paulo Sérgio Cerri,Estela Sasso-Cerri

Oncology letters 27:130 PubMed38348386

2024

Two tumor types in a unilateral testis in a patient with severe oligozoospermia and a history of cryptorchidism surgery: A case report.

Applications

Unspecified application

Species

Unspecified reactive species

Hiroki Tsujioka,Kei-Ichiro Uemura,Akiyoshi Osaka,Toshiyuki Iwahata,Akiko Fujii,Shinichi Ban,Hiroshi Okada,Kazutaka Saito

Sensors (Basel, Switzerland) 22: PubMed35336553

2022

A Low-Cost, 3D-Printed Biosensor for Rapid Detection of .

Applications

Unspecified application

Species

Unspecified reactive species

Samir Malhotra,Dang Song Pham,Michael P H Lau,Anh H Nguyen,Hung Cao
View all publications

Product promise

We are committed to supporting your work with high-quality reagents, and we're here for you every step of the way. In the unlikely event that one of our products does not perform as expected, you're protected by our Product Promise.
For full details, please see our Terms & Conditions

Please note: All products are 'FOR RESEARCH USE ONLY. NOT FOR USE IN DIAGNOSTIC OR THERAPEUTIC PROCEDURES'.

For licensing inquiries, please contact partnerships@abcam.com