JavaScript is disabled in your browser. Please enable JavaScript to view this website.
AB191698

Anti-TET1 antibody - C-terminal

4

(2 Reviews)

|

(48 Publications)

Rabbit Polyclonal TET1 antibody. C-terminal. Suitable for IHC-P, WB, ICC/IF and reacts with Mouse, Human, Rat samples. Cited in 48 publications. Immunogen corresponding to Synthetic Peptide within Human TET1.

View Alternative Names

CXXC6, KIAA1676, LCX, TET1, Methylcytosine dioxygenase TET1, CXXC-type zinc finger protein 6, Leukemia-associated protein with a CXXC domain, Ten-eleven translocation 1 gene protein

11 Images
Immunohistochemistry (Formalin/PFA-fixed paraffin-embedded sections) - Anti-TET1 antibody - C-terminal (AB191698)
  • IHC-P

Supplier Data

Immunohistochemistry (Formalin/PFA-fixed paraffin-embedded sections) - Anti-TET1 antibody - C-terminal (AB191698)

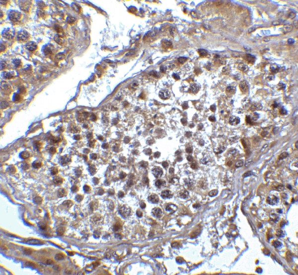
Immunohistochemical analysis of paraffin-embedded human testis tissue labeling TET1 with ab191698 at 1 μg/mL (4°C overnight), followed by Streptavidin-HRP Kit (Rabbit IgG) (Room temperature, 1 hour). DAB staining.

Antigen Retrieval : Citrate buffer, pH 6.0, microwave, 20 minutes.

Endogenous peroxidase blocking : 3% H2O2, Room temperature, 10 minutes.

Blocking condition : 5% BSA, Room temperature, 1 hour.

Washing condition : PBS, 2 X 5 minutes.

Immunocytochemistry/ Immunofluorescence - Anti-TET1 antibody - C-terminal (AB191698)
  • ICC/IF

Supplier Data

Immunocytochemistry/ Immunofluorescence - Anti-TET1 antibody - C-terminal (AB191698)

Immunofluorescent analysis of 4% paraformaldehyde-fixed (room temperature, 10 minutes), 0.1% Triton X-100 in PBS permeabilized (room temperature, 5 minutes) HeLa cells labeling TET1 with ab191698 at 20 μg/mL (incubation at 4°C overnight), followed by Rabbit IgG antibody (Alexa Fluor 488) secondary antibody at 1/2000 dilution (green) (Incubation at room temperature for 1 hour). Confocal image showing nuclear staining on HeLa cell line. The nuclear counter stain is DAPI (blue).

Blocking condition : 5% BSA, room temperature, 1 hour.

Washing condition : PBS, 3 x 3 minutes.

Immunohistochemistry (Formalin/PFA-fixed paraffin-embedded sections) - Anti-TET1 antibody - C-terminal (AB191698)
  • IHC-P

Supplier Data

Immunohistochemistry (Formalin/PFA-fixed paraffin-embedded sections) - Anti-TET1 antibody - C-terminal (AB191698)

Immunohistochemical analysis of paraffin-embedded human testis tissue labeling TET1 with ab191698 at 1 μg/mL (4°C overnight), followed by Streptavidin-HRP Kit (Rabbit IgG) (Room temperature, 1 hour). Nuclear staining on human testis is observed. DAB staining.

Antigen Retrieval : Citrate buffer, pH 6.0, microwave, 20 minutes.

Endogenous peroxidase blocking : 3% H2O2, Room temperature, 10 minutes.

Blocking condition : 5% BSA, room temperature, 1 hour.

Washing condition : PBS, 2 X 5 minutes.

Immunohistochemistry (Formalin/PFA-fixed paraffin-embedded sections) - Anti-TET1 antibody - C-terminal (AB191698)
  • IHC-P

Supplier Data

Immunohistochemistry (Formalin/PFA-fixed paraffin-embedded sections) - Anti-TET1 antibody - C-terminal (AB191698)

Immunohistochemical analysis of paraffin-embedded mouse testis tissue labeling TET1 with ab191698 at 1 μg/mL (4°C overnight), followed by Streptavidin-HRP Kit (Rabbit IgG) (Room temperature, 1 hour). Nuclear staining on mouse testis is observed. DAB staining.

Antigen Retrieval : Citrate buffer, pH 6.0, microwave, 20 minutes.

Endogenous peroxidase blocking : 3% H2O2, Room temperature, 10 minutes.

Blocking condition : 5% BSA, room temperature, 1 hour.

Washing condition : PBS, 2 X 5 minutes.

Immunohistochemistry (Formalin/PFA-fixed paraffin-embedded sections) - Anti-TET1 antibody - C-terminal (AB191698)
  • IHC-P

Supplier Data

Immunohistochemistry (Formalin/PFA-fixed paraffin-embedded sections) - Anti-TET1 antibody - C-terminal (AB191698)

Immunohistochemical analysis of paraffin-embedded mouse kidney tissue labeling TET1 with ab191698 at 1 μg/mL (4°C overnight), followed by Streptavidin-HRP Kit (Rabbit IgG) (Room temperature, 1 hour). DAB staining.

Antigen Retrieval : Citrate buffer, pH 6.0, microwave, 20 minutes.

Endogenous peroxidase blocking : 3% H2O2, Room temperature, 10 minutes.

Blocking condition : 5% BSA, Room temperature, 1 hour.

Washing condition : PBS, 2 X 5 minutes.

Immunocytochemistry/ Immunofluorescence - Anti-TET1 antibody - C-terminal (AB191698)
  • ICC/IF

Supplier Data

Immunocytochemistry/ Immunofluorescence - Anti-TET1 antibody - C-terminal (AB191698)

Immunofluorescent analysis of 4% paraformaldehyde-fixed (room temperature, 10 minutes), 0.1% Triton X-100 in PBS permeabilized (room temperature, 5 minutes) EL4 cells (mouse T-lymphocyte cell line) labeling TET1 with ab191698 at 20 μg/mL (incubation at 4°C overnight), followed by Rabbit IgG antibody (Alexa Fluor 488) secondary antibody at 1/2000 dilution (green) (Incubation at room temperature for 1 hour). Confocal image showing nuclear staining on EL4 cell line. The nuclear counter stain is DAPI (blue).

Blocking condition : 5% BSA, room temperature, 1 hour.

Washing condition : PBS, 3 x 3 minutes.

Immunohistochemistry (Formalin/PFA-fixed paraffin-embedded sections) - Anti-TET1 antibody - C-terminal (AB191698)
  • IHC-P

Supplier Data

Immunohistochemistry (Formalin/PFA-fixed paraffin-embedded sections) - Anti-TET1 antibody - C-terminal (AB191698)

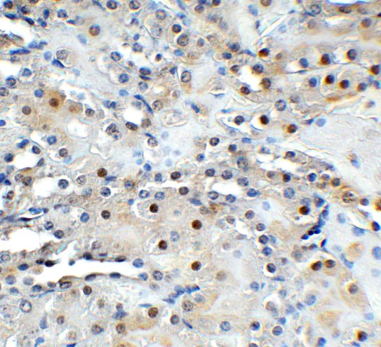
Immunohistochemical analysis of paraffin-embedded rat liver tissue labeling TET1 with ab191698 at 1 μg/mL (4°C overnight), followed by Streptavidin-HRP Kit (Rabbit IgG) (Room temperature, 1 hour). DAB staining.

Antigen Retrieval : Citrate buffer, pH 6.0, microwave, 20 minutes.

Endogenous peroxidase blocking : 3% H2O2, Room temperature, 10 minutes.

Blocking condition : 5% BSA, Room temperature, 1 hour.

Washing condition : PBS, 2 X 5 minutes.

Western blot - Anti-TET1 antibody - C-terminal (AB191698)
  • WB

Supplier Data

Western blot - Anti-TET1 antibody - C-terminal (AB191698)

8% SDS gel

Running condition : 130V, 1.5 hours.

Transfer condition : Wet, 250mA, 2 hrs (Nitrocellulose membrane)

Blocking condition : 5% non-fat milk in TBS at 4 overnight.

Primary antibody incubation : room temperature for 1 hour in 5% NFDM/TBST.

Secondary antibody incubation : room temperature for 1 hour.

Washing condition : 5 mL TBST, 4 x 5 minutes.

All lanes:

Western blot - Anti-TET1 antibody - C-terminal (ab191698) at 1 µg/mL

Lane 1:

Mouse testis at 15 µg

Lane 2:

Rat testis at 15 µg

Lane 3:

Human testis at 15 µg

Lane 4:

Human bladder at 15 µg

Secondary

All lanes:

Goat anti-rabbit IgG HRP conjugate at 1/10000 dilution

Predicted band size: 235 kDa

Observed band size: 55-72 kDa

true

Exposure time: 1min

Western blot - Anti-TET1 antibody - C-terminal (AB191698)
  • WB

Supplier Data

Western blot - Anti-TET1 antibody - C-terminal (AB191698)

Western blot analysis labeling TET1 with ab191698 at 1 μg/mL in 5% NFDM/TBST, followed by secondary antibody, incubated at room temperature for 1hr.

Running condition : 8% gel, 130V for 1.5 hrs.

Transfer condition : Wet, 250mA, 2 hrs (NC membrane).

Blocking condition : 5% non-fat milk in TBS at 4°C overnight.

Washing condition : 5ml TBST, 4 x 5 min.

Exposure system : GE ECL 1 min.

All lanes:

Western blot - Anti-TET1 antibody - C-terminal (ab191698) at 1 µg/mL

Lane 1:

K562 (Human chronic myelogenous leukemia lymphoblast cell line ) whole cell lysate at 15 µg

Lane 2:

A431 (Human epidermoid carcinoma cell line) whole cell lysate at 15 µg

Secondary

All lanes:

abbit IgG antibody (HRP) at 1/10000 dilution

Predicted band size: 235 kDa

Observed band size: 235 kDa

false

Western blot - Anti-TET1 antibody - C-terminal (AB191698)
  • WB

Supplier Data

Western blot - Anti-TET1 antibody - C-terminal (AB191698)

Western blot analysis labeling TET1 with ab191698 at 1 μg/mL in 5% NFDM/TBST, followed by secondary antibody, incubated at room temperature for 1hr.

Running condition : 8% gel, 130V for 1.5 hrs.

Transfer condition : Wet, 250mA, 2 hrs (NC membrane).

Blocking condition : 5% non-fat milk in TBS at 4°C overnight.

Washing condition : 5ml TBST, 4 x 5 min.

Exposure system : GE ECL 10 sec.

All lanes:

Western blot - Anti-TET1 antibody - C-terminal (ab191698) at 1 µg/mL

Lane 1:

Rat kidney at 15 µg

Lane 2:

Rat thymus at 15 µg

Secondary

All lanes:

Rabbit IgG antibody (HRP) at 1/10000 dilution

Predicted band size: 235 kDa

Observed band size: 235 kDa

false

Western blot - Anti-TET1 antibody - C-terminal (AB191698)
  • WB

Supplier Data

Western blot - Anti-TET1 antibody - C-terminal (AB191698)

Western blot analysis labeling TET1 with ab191698 at 1 μg/mL in 5% NFDM/TBST, followed by secondary antibody, incubated at room temperature for 1hr.

Running condition : 8% gel, 130V for 1.5 hrs.

Transfer condition : Wet, 250mA, 2 hrs (NC membrane).

Blocking condition : 5% non-fat milk in TBS at 4°C overnight.

Washing condition : 5ml TBST, 4 x 5 min.

Exposure system : GE ECL 1 min.

All lanes:

Western blot - Anti-TET1 antibody - C-terminal (ab191698) at 1 µg/mL

Lane 1:

Mouse kidney at 15 µg

Lane 2:

Mouse thymus at 15 µg

Lane 3:

Mouse stomach at 15 µg

Secondary

All lanes:

Rabbit IgG antibody (HRP) at 1/10000 dilution

Predicted band size: 235 kDa

Observed band size: 235 kDa

false

Key facts

Host species

Rabbit

Clonality

Polyclonal

Isotype

IgG

Carrier free

No

Reacts with

Mouse, Rat, Human

Applications

ICC/IF, WB, IHC-P

applications

Immunogen

Synthetic Peptide within Human TET1. The exact immunogen used to generate this antibody is proprietary information.

Q8NFU7

Reactivity data

{ "title": "Reactivity Data", "filters": { "stats": ["", "Species", "Dilution Info", "Notes"], "tabs": { "all-applications": {"fullname" : "All Applications", "shortname": "All Applications"}, "IHCP" : {"fullname" : "Immunohistochemistry (Formalin/PFA-fixed paraffin-embedded sections)", "shortname":"IHC-P"}, "WB" : {"fullname" : "Western blot", "shortname":"WB"}, "ICCIF" : {"fullname" : "Immunocytochemistry/ Immunofluorescence", "shortname":"ICC/IF"} }, "product-promise": { "all": "all", "testedAndGuaranteed": "tested", "guaranteed": "expected", "predicted": "predicted", "notRecommended": "not-recommended" } }, "values": { "Human": { "IHCP-species-checked": "testedAndGuaranteed", "IHCP-species-dilution-info": "1 µg/mL", "IHCP-species-notes": "<p>Recommend for human and mouse. Please see image legends for more protocol details.</p> Perform heat-mediated antigen retrieval with citrate buffer pH 6 before commencing with IHC staining protocol.", "WB-species-checked": "testedAndGuaranteed", "WB-species-dilution-info": "1 µg/mL", "WB-species-notes": "<p>Recommend for human and mouse and rat. Please see image legend for details of the Western blot protocol. Blocking in milk and incubation of ab191698 for 1 hour at room temperature.</p>", "ICCIF-species-checked": "testedAndGuaranteed", "ICCIF-species-dilution-info": "20 µg/mL", "ICCIF-species-notes": "<p>Recommend for human and mouse. Please see image legends for more protocol details.</p>" }, "Mouse": { "IHCP-species-checked": "testedAndGuaranteed", "IHCP-species-dilution-info": "1 µg/mL", "IHCP-species-notes": "<p>Recommend for human and mouse. Please see image legends for more protocol details.</p> Perform heat-mediated antigen retrieval with citrate buffer pH 6 before commencing with IHC staining protocol.", "WB-species-checked": "testedAndGuaranteed", "WB-species-dilution-info": "1 µg/mL", "WB-species-notes": "<p>Recommend for human and mouse and rat. Please see image legend for details of the Western blot protocol. Blocking in milk and incubation of ab191698 for 1 hour at room temperature.</p>", "ICCIF-species-checked": "testedAndGuaranteed", "ICCIF-species-dilution-info": "20 µg/mL", "ICCIF-species-notes": "<p>Recommend for human and mouse. Please see image legends for more protocol details.</p>" }, "Rat": { "IHCP-species-checked": "guaranteed", "IHCP-species-dilution-info": "", "IHCP-species-notes": "", "WB-species-checked": "testedAndGuaranteed", "WB-species-dilution-info": "1 µg/mL", "WB-species-notes": "<p>Recommend for human and mouse and rat. Please see image legend for details of the Western blot protocol. Blocking in milk and incubation of ab191698 for 1 hour at room temperature.</p>", "ICCIF-species-checked": "guaranteed", "ICCIF-species-dilution-info": "", "ICCIF-species-notes": "" } } }

Properties and storage information

Form
Liquid
Purification technique
Affinity purification Immunogen
Storage buffer
pH: 7.2 Preservative: 0.02% Sodium azide Constituents: PBS
Shipped at conditions
Blue Ice
Appropriate short-term storage duration
1-2 weeks
Appropriate short-term storage conditions
+4°C
Appropriate long-term storage conditions
-20°C
Aliquoting information
Upon delivery aliquot
Storage information
Avoid freeze / thaw cycle

Product protocols

For this product, it's our understanding that no specific protocols are required. You can visit:

Target data

Dioxygenase that plays a key role in active DNA demethylation, by catalyzing the sequential oxidation of the modified genomic base 5-methylcytosine (5mC) into 5-hydroxymethylcytosine (5hmC), 5-formylcytosine (5fC), and 5-carboxylcytosine (5caC) (PubMed : 19372391, PubMed : 21496894, PubMed : 21778364, PubMed : 35798741). In addition to its role in DNA demethylation, plays a more general role in chromatin regulation by recruiting histone modifying protein complexes to alter histone marks and chromatin accessibility, leading to both activation and repression of gene expression (PubMed : 33833093). Plays therefore a role in many biological processes, including stem cell maintenance, T- and B-cell development, inflammation regulation, genomic imprinting, neural activity or DNA repair (PubMed : 31278917). Involved in the balance between pluripotency and lineage commitment of cells and plays a role in embryonic stem cells maintenance and inner cell mass cell specification. Together with QSER1, plays an essential role in the protection and maintenance of transcriptional and developmental programs to inhibit the binding of DNMT3A/3B and therefore de novo methylation (PubMed : 33833093). May play a role in pancreatic beta-cell specification during development. In this context, may function as an upstream epigenetic regulator of PAX4 presumably through direct recruitment by FOXA2 to a PAX4 enhancer to preserve its unmethylated status, thereby potentiating PAX4 expression to adopt beta-cell fate during endocrine lineage commitment (PubMed : 35798741). Under DNA hypomethylation conditions, such as in female meiotic germ cells, may induce epigenetic reprogramming of pericentromeric heterochromatin (PCH), the constitutive heterochromatin of pericentromeric regions. PCH forms chromocenters in the interphase nucleus and chromocenters cluster at the prophase of meiosis. In this context, may also be essential for chromocenter clustering in a catalytic activity-independent manner, possibly through the recruitment polycomb repressive complex 1 (PRC1) to the chromocenters (By similarity). During embryonic development, may be required for normal meiotic progression in oocytes and meiotic gene activation (By similarity). Binds preferentially to DNA containing cytidine-phosphate-guanosine (CpG) dinucleotides over CpH (H=A, T, and C), hemimethylated-CpG and hemimethylated-hydroxymethyl-CpG (PubMed : 29276034).. Isoform 1. Dioxygenase that plays a key role in active DNA demethylation (PubMed : 28531272). Binds to promoters, particularly to those with high CG content (By similarity). In hippocampal neurons, isoform 1 regulates the expression of a unique subset of genes compared to isoform 2, although some overlap exists between both isoforms, hence differentially regulates excitatory synaptic transmission (By similarity). In hippocampal neuron cell cultures, isoform 1 controls both miniature excitatory postsynaptic current amplitude and frequency (By similarity). Isoform 1 may regulate genes involved in hippocampal-dependent memory, leading to positive regulation of memory, contrary to isoform 2 that may decrease memory (By similarity).. Isoform 2. Dioxygenase that plays a key role in active DNA demethylation (PubMed : 28531272). As isoform 1, binds to promoters, particularly to those with high CG content, however displays reduced global chromatin affinity compared with isoform 1, leading to decreased global DNA demethylation compared with isoform 1 (By similarity). Contrary to isoform 1, isoform 2 localizes during S phase to sites of ongoing DNA replication in heterochromatin, causing a significant de novo 5hmC formation, globally, and more so in heterochromatin, including LINE 1 interspersed DNA repeats leading to their activation (By similarity). In hippocampal neurons, isoform 2 regulates the expression of a unique subset of genes compared to isoform 1, although some overlap between both isoforms, hence differentially regulates excitatory synaptic transmission (By similarity). In hippocampal neuron cell cultures, isoform 2 controls miniature excitatory postsynaptic current frequency, but not amplitude (By similarity). Isoform 2 may regulate genes involved in hippocampal-dependent memory, leading to negative regulation of memory, contrary to isoform 1 that may improve memory (By similarity). In immature and partially differentiated gonadotrope cells, directly represses luteinizing hormone gene LHB expression and does not catalyze 5hmC at the gene promoter (By similarity).
See full target information TET1

Publications (48)

Recent publications for all applications. Explore the full list and refine your search

JCI insight 9: PubMed39388288

2024

TET2 promotes tumor antigen presentation and T cell IFN-γ, which is enhanced by vitamin C.

Applications

Unspecified application

Species

Unspecified reactive species

Meng Cheng,Angel Ka Yan Chu,Zhijun Li,Shiyue Yang,Matthew D Smith,Qi Zhang,Nicholas G Brown,William F Marzluff,Nabeel Bardeesy,J Justin Milner,Joshua D Welch,Yue Xiong,Albert S Baldwin

International journal of molecular sciences 24: PubMed36768508

2023

Endometriosis of the Cervix: A Rare Clinical Case with the Possibility of Comparing the Eutopic and Ectopic Endometrium at the Cellular Level.

Applications

Unspecified application

Species

Unspecified reactive species

Konstantin A Toniyan,Elena Yu Gorbacheva,Valery V Boyarintsev,Irina V Ogneva

Molecular pain 18:17448069221143671 PubMed36411533

2022

Increased ten-eleven translocation methylcytosine dioxygenase one in dorsal root ganglion contributes to inflammatory pain in CFA rats.

Applications

Unspecified application

Species

Unspecified reactive species

Yun Liu,Ling Zhang,Zhen-Hua Xu,Jie Zhu,Jia-Ling Ma,Yan-Ping Gao,Guang-Yin Xu

iScience 25:105611 PubMed36465132

2022

α5 integrin regulates hepatic tight junctions through SRC-TET1-mediated DNA hydroxymethylation.

Applications

Unspecified application

Species

Unspecified reactive species

Yuejiao Ma,Weitao Zhang,Weihong Li,Xin Lu,Yaqiong Li,Xueya Han,Ping Wang,Haiyan Zhang

Cellular & molecular biology letters 27:91 PubMed36221069

2022

LARRPM restricts lung adenocarcinoma progression and M2 macrophage polarization through epigenetically regulating LINC00240 and CSF1.

Applications

Unspecified application

Species

Unspecified reactive species

Yue Li,Chen Chen,Hai-Lin Liu,Zhen-Fa Zhang,Chang-Li Wang

Neural regeneration research 18:863-868 PubMed36204855

2022

DNA hypomethylation promotes learning and memory recovery in a rat model of cerebral ischemia/reperfusion injury.

Applications

Unspecified application

Species

Unspecified reactive species

Guang Shi,Juan Feng,Ling-Yan Jian,Xin-Yu Fan

Frontiers in oncology 12:957511 PubMed35978806

2022

MiR-27a-3p binds to TET1 mediated DNA demethylation of ADCY6 regulates breast cancer progression epithelial-mesenchymal transition.

Applications

Unspecified application

Species

Unspecified reactive species

Hao Wu,Juanjuan Qiu,Zhenru Wu,Tao He,Chen Zhou,Qing Lv

Cell 185:3169-3185.e20 PubMed35908548

2022

The intrinsic and extrinsic effects of TET proteins during gastrulation.

Applications

Unspecified application

Species

Unspecified reactive species

Saifeng Cheng,Markus Mittnenzweig,Yoav Mayshar,Aviezer Lifshitz,Marko Dunjić,Yoach Rais,Raz Ben-Yair,Stephanie Gehrs,Elad Chomsky,Zohar Mukamel,Hernan Rubinstein,Katharina Schlereth,Netta Reines,Ayelet-Hashahar Orenbuch,Amos Tanay,Yonatan Stelzer

Cell death discovery 8:274 PubMed35668081

2022

SMYD2 aggravates gastrointestinal stromal tumor via upregulation of EZH2 and downregulation of TET1.

Applications

Unspecified application

Species

Unspecified reactive species

Yong Ji,Xiaofeng Xu,Cong Long,Jianjiang Wang,Li Ding,Zhizhong Zheng,Huiping Wu,Liu Yang,Lan Tao,Feng Gao

Brain pathology (Zurich, Switzerland) 32:e13080 PubMed35612904

2022

Deficiency of Tet3 in nucleus accumbens enhances fear generalization and anxiety-like behaviors in mice.

Applications

Unspecified application

Species

Unspecified reactive species

Bu-Fang Fan,Bo Hao,Yun-Da Dai,Li Xue,Yan-Wei Shi,Lu Liu,Shou-Min Xuan,Ning Yang,Xiao-Guang Wang,Hu Zhao
View all publications

Product promise

We are committed to supporting your work with high-quality reagents, and we're here for you every step of the way. In the unlikely event that one of our products does not perform as expected, you're protected by our Product Promise.
For full details, please see our Terms & Conditions

Please note: All products are 'FOR RESEARCH USE ONLY. NOT FOR USE IN DIAGNOSTIC OR THERAPEUTIC PROCEDURES'.

For licensing inquiries, please contact partnerships@abcam.com