JavaScript is disabled in your browser. Please enable JavaScript to view this website.
AB235965

Anti-TET3 antibody

Be the first to review this product! Submit a review

|

(1 Publication)

Rabbit Polyclonal TET3 antibody. Suitable for IHC-P and reacts with Human samples. Cited in 1 publication. Immunogen corresponding to Recombinant Fragment Protein within Human TET3 aa 50-350.

View Alternative Names

KIAA0401, TET3, Methylcytosine dioxygenase TET3

2 Images
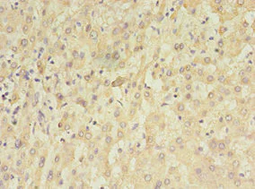
Immunohistochemistry (Formalin/PFA-fixed paraffin-embedded sections) - Anti-TET3 antibody (AB235965)
  • IHC-P

Supplier Data

Immunohistochemistry (Formalin/PFA-fixed paraffin-embedded sections) - Anti-TET3 antibody (AB235965)

Paraffin-embedded human liver tissue stained for TET3 using ab235965 at 1/100 dilution in immunohistochemical analysis.

Immunohistochemistry (Formalin/PFA-fixed paraffin-embedded sections) - Anti-TET3 antibody (AB235965)
  • IHC-P

Supplier Data

Immunohistochemistry (Formalin/PFA-fixed paraffin-embedded sections) - Anti-TET3 antibody (AB235965)

Paraffin-embedded human testis tissue stained for TET3 using ab235965 at 1/100 dilution in immunohistochemical analysis.

Key facts

Host species

Rabbit

Clonality

Polyclonal

Isotype

IgG

Carrier free

No

Reacts with

Human

Applications

IHC-P

applications

Immunogen

Recombinant Fragment Protein within Human TET3 aa 50-350. The exact immunogen used to generate this antibody is proprietary information.

O43151

Reactivity data

{ "title": "Reactivity Data", "filters": { "stats": ["", "Species", "Dilution Info", "Notes"], "tabs": { "all-applications": {"fullname" : "All Applications", "shortname": "All Applications"}, "IHCP" : {"fullname" : "Immunohistochemistry (Formalin/PFA-fixed paraffin-embedded sections)", "shortname":"IHC-P"} }, "product-promise": { "all": "all", "testedAndGuaranteed": "tested", "guaranteed": "expected", "predicted": "predicted", "notRecommended": "not-recommended" } }, "values": { "Human": { "IHCP-species-checked": "testedAndGuaranteed", "IHCP-species-dilution-info": "1/20 - 1/200", "IHCP-species-notes": "<p></p>" } } }

Properties and storage information

Form
Liquid
Purification technique
Affinity purification Protein G
Purification notes
Purity >95%
Storage buffer
pH: 7.4 Preservative: 0.03% Proclin 300 Constituents: PBS, 50% Glycerol (glycerin, glycerine)
Shipped at conditions
Blue Ice
Appropriate short-term storage duration
1-2 weeks
Appropriate short-term storage conditions
+4°C
Appropriate long-term storage conditions
-20°C
Aliquoting information
Upon delivery aliquot
Storage information
Avoid freeze / thaw cycle

Product protocols

For this product, it's our understanding that no specific protocols are required. You can visit:

Target data

Dioxygenase that catalyzes the conversion of the modified genomic base 5-methylcytosine (5mC) into 5-hydroxymethylcytosine (5hmC) and plays a key role in epigenetic chromatin reprogramming in the zygote following fertilization (PubMed : 31928709). Also mediates subsequent conversion of 5hmC into 5-formylcytosine (5fC), and conversion of 5fC to 5-carboxylcytosine (5caC). Conversion of 5mC into 5hmC, 5fC and 5caC probably constitutes the first step in cytosine demethylation (By similarity). Selectively binds to the promoter region of target genes and contributes to regulate the expression of numerous developmental genes (PubMed : 23217707). In zygotes, DNA demethylation occurs selectively in the paternal pronucleus before the first cell division, while the adjacent maternal pronucleus and certain paternally-imprinted loci are protected from this process. Participates in DNA demethylation in the paternal pronucleus by mediating conversion of 5mC into 5hmC, 5fC and 5caC. Does not mediate DNA demethylation of maternal pronucleus because of the presence of DPPA3/PGC7 on maternal chromatin that prevents TET3-binding to chromatin (By similarity). In addition to its role in DNA demethylation, also involved in the recruitment of the O-GlcNAc transferase OGT to CpG-rich transcription start sites of active genes, thereby promoting histone H2B GlcNAcylation by OGT (PubMed : 23353889). Binds preferentially to DNA containing cytidine-phosphate-guanosine (CpG) dinucleotides over CpH (H=A, T, and C), hemimethylated-CpG and hemimethylated-hydroxymethyl-CpG (PubMed : 29276034).
See full target information TET3

Publications (1)

Recent publications for all applications. Explore the full list and refine your search

Biomedicines 13: PubMed40299470

2025

Polycystins Expression in Astrocytic Gliomas.

Applications

Unspecified application

Species

Unspecified reactive species

Martha Assimakopoulou,Konstantina Soufli,Maria Melachrinou
View all publications

Product promise

We are committed to supporting your work with high-quality reagents, and we're here for you every step of the way. In the unlikely event that one of our products does not perform as expected, you're protected by our Product Promise.
For full details, please see our Terms & Conditions

Please note: All products are 'FOR RESEARCH USE ONLY. NOT FOR USE IN DIAGNOSTIC OR THERAPEUTIC PROCEDURES'.

For licensing inquiries, please contact partnerships@abcam.com