JavaScript is disabled in your browser. Please enable JavaScript to view this website.
AB122364

Anti-TEX15 antibody

Be the first to review this product! Submit a review

|

(1 Publication)

Rabbit Polyclonal TEX15 antibody. Suitable for IHC-P, ICC/IF and reacts with Human samples. Cited in 1 publication. Immunogen corresponding to Recombinant Fragment Protein within Human TEX15 aa 1450-1600.

View Alternative Names

Testis-expressed protein 15, Cancer/testis antigen 42, CT42, TEX15

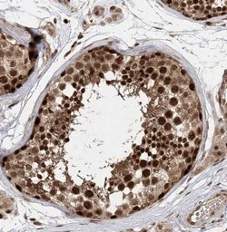
1 Images
Immunohistochemistry (Formalin/PFA-fixed paraffin-embedded sections) - Anti-TEX15 antibody (AB122364)
  • IHC-P

Unknown

Immunohistochemistry (Formalin/PFA-fixed paraffin-embedded sections) - Anti-TEX15 antibody (AB122364)

ab122364, at 1/500 dilution, staining TEX15 in paraffin-embedded Human testis tissue by immunohistochemistry.

Key facts

Host species

Rabbit

Clonality

Polyclonal

Isotype

IgG

Carrier free

No

Reacts with

Human

Applications

IHC-P, ICC/IF

applications

Immunogen

Recombinant Fragment Protein within Human TEX15 aa 1450-1600. The exact immunogen used to generate this antibody is proprietary information.

Q9BXT5

Reactivity data

{ "title": "Reactivity Data", "filters": { "stats": ["", "Species", "Dilution Info", "Notes"], "tabs": { "all-applications": {"fullname" : "All Applications", "shortname": "All Applications"}, "IHCP" : {"fullname" : "Immunohistochemistry (Formalin/PFA-fixed paraffin-embedded sections)", "shortname":"IHC-P"}, "ICCIF" : {"fullname" : "Immunocytochemistry/ Immunofluorescence", "shortname":"ICC/IF"} }, "product-promise": { "all": "all", "testedAndGuaranteed": "tested", "guaranteed": "expected", "predicted": "predicted", "notRecommended": "not-recommended" } }, "values": { "Human": { "IHCP-species-checked": "testedAndGuaranteed", "IHCP-species-dilution-info": "1/200 - 1/500", "IHCP-species-notes": "<p></p> Perform heat-mediated antigen retrieval with citrate buffer pH 6 before commencing with IHC staining protocol.", "ICCIF-species-checked": "testedAndGuaranteed", "ICCIF-species-dilution-info": "1-4 µg/mL", "ICCIF-species-notes": "<p>Recommend PFA Fixation and Triton X-100 treatment</p>" } } }

Properties and storage information

Form
Liquid
Purification technique
Affinity purification Immunogen
Storage buffer
pH: 7.2 Preservative: 0.02% Sodium azide Constituents: PBS, 40% Glycerol (glycerin, glycerine)
Shipped at conditions
Blue Ice
Appropriate short-term storage conditions
+4°C
Appropriate long-term storage conditions
-20°C
Aliquoting information
Upon delivery aliquot
Storage information
Avoid freeze / thaw cycle

Product protocols

For this product, it's our understanding that no specific protocols are required. You can visit:

Target data

Required during spermatogenesis for normal chromosome synapsis and meiotic recombination in germ cells. Necessary for formation of DMC1 and RAD51 foci on meiotic chromosomes, suggesting a specific role in DNA double-stranded break repair (By similarity). Essential executor of PIWIL4-piRNA pathway directed transposon DNA methylation and silencing in the male embryonic germ cells (By similarity). PIWIL4-piRNA binds to nascent transposon transcripts and interacts with TEX15, which may in turn recruit the epigenetic silencing machinery to the transposon loci (By similarity). Not required for piRNA biosynthesis (By similarity).
See full target information TEX15

Publications (1)

Recent publications for all applications. Explore the full list and refine your search

Reproduction (Cambridge, England) 152:431-7 PubMed27492080

2016

Transcription factor ZFP38 is essential for meiosis prophase I in male mice.

Applications

Unspecified application

Species

Unspecified reactive species

Zechen Yan,Dandan Fan,Qingjun Meng,Jinjian Yang,Wei Zhao,Fei Guo,Dongjian Song,Ruiming Guo,Ke Sun,Jiaxiang Wang
View all publications

Product promise

We are committed to supporting your work with high-quality reagents, and we're here for you every step of the way. In the unlikely event that one of our products does not perform as expected, you're protected by our Product Promise.
For full details, please see our Terms & Conditions

Please note: All products are 'FOR RESEARCH USE ONLY. NOT FOR USE IN DIAGNOSTIC OR THERAPEUTIC PROCEDURES'.

For licensing inquiries, please contact partnerships@abcam.com