JavaScript is disabled in your browser. Please enable JavaScript to view this website.
AB272575

Anti-TEX264 antibody

Be the first to review this product! Submit a review

|

(1 Publication)

Rabbit Polyclonal TEX264 antibody. Suitable for IHC-P, ICC/IF and reacts with Human samples. Cited in 1 publication. Immunogen corresponding to Recombinant Fragment Protein within Human TEX264 aa 200 to C-terminus.

View Alternative Names

ZSIG11, UNQ337/PRO536, TEX264, Testis-expressed protein 264, Putative secreted protein Zsig11

5 Images
Immunohistochemistry (Formalin/PFA-fixed paraffin-embedded sections) - Anti-TEX264 antibody (AB272575)
  • IHC-P

Unknown

Immunohistochemistry (Formalin/PFA-fixed paraffin-embedded sections) - Anti-TEX264 antibody (AB272575)

Paraffin-embedded formalin-fixed Human skeletal muscle tissue stained for TEX264 using ab272575 at 1/1000 in immunohistochemical analysis. Shows no positivity in myocytes as expected.

Immunohistochemistry (Formalin/PFA-fixed paraffin-embedded sections) - Anti-TEX264 antibody (AB272575)
  • IHC-P

Unknown

Immunohistochemistry (Formalin/PFA-fixed paraffin-embedded sections) - Anti-TEX264 antibody (AB272575)

Paraffin-embedded formalin-fixed Human testis tissue stained for TEX264 using ab272575 at 1/1000 in immunohistochemical analysis.

Immunocytochemistry/ Immunofluorescence - Anti-TEX264 antibody (AB272575)
  • ICC/IF

Unknown

Immunocytochemistry/ Immunofluorescence - Anti-TEX264 antibody (AB272575)

PFA fixed, Triton X-100 permeablized human cell line U-251 MG labeling TEX264 (green) using ab272575 at 2 ug/ml in ICC/IF analysis.

Immunohistochemistry (Formalin/PFA-fixed paraffin-embedded sections) - Anti-TEX264 antibody (AB272575)
  • IHC-P

Unknown

Immunohistochemistry (Formalin/PFA-fixed paraffin-embedded sections) - Anti-TEX264 antibody (AB272575)

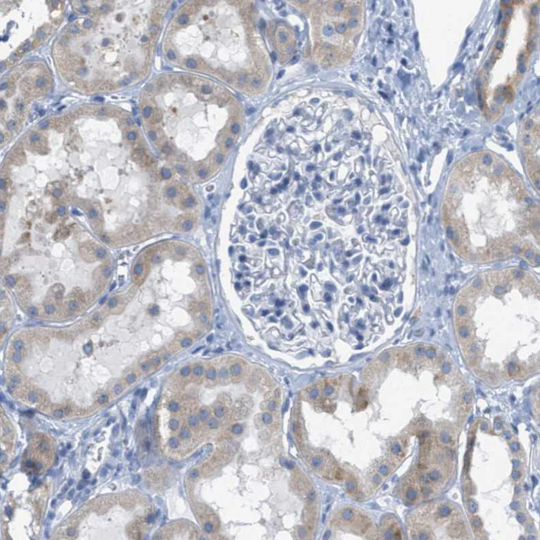
Paraffin-embedded formalin-fixed Human kidney tissue stained for TEX264 using ab272575 at 1/1000 in immunohistochemical analysis.

Immunohistochemistry (Formalin/PFA-fixed paraffin-embedded sections) - Anti-TEX264 antibody (AB272575)
  • IHC-P

Unknown

Immunohistochemistry (Formalin/PFA-fixed paraffin-embedded sections) - Anti-TEX264 antibody (AB272575)

Paraffin-embedded formalin-fixed Human small intestine tissue stained for TEX264 using ab272575 at 1/1000 in immunohistochemical analysis.

Key facts

Host species

Rabbit

Clonality

Polyclonal

Isotype

IgG

Carrier free

No

Reacts with

Human

Applications

IHC-P, ICC/IF

applications

Immunogen

Recombinant Fragment Protein within Human TEX264 aa 200 to C-terminus. The exact immunogen used to generate this antibody is proprietary information.

Q9Y6I9

Reactivity data

{ "title": "Reactivity Data", "filters": { "stats": ["", "Species", "Dilution Info", "Notes"], "tabs": { "all-applications": {"fullname" : "All Applications", "shortname": "All Applications"}, "IHCP" : {"fullname" : "Immunohistochemistry (Formalin/PFA-fixed paraffin-embedded sections)", "shortname":"IHC-P"}, "ICCIF" : {"fullname" : "Immunocytochemistry/ Immunofluorescence", "shortname":"ICC/IF"} }, "product-promise": { "all": "all", "testedAndGuaranteed": "tested", "guaranteed": "expected", "predicted": "predicted", "notRecommended": "not-recommended" } }, "values": { "Human": { "IHCP-species-checked": "testedAndGuaranteed", "IHCP-species-dilution-info": "1/500 - 1/1000", "IHCP-species-notes": "<p></p> Perform heat-mediated antigen retrieval with citrate buffer pH 6 before commencing with IHC staining protocol.", "ICCIF-species-checked": "testedAndGuaranteed", "ICCIF-species-dilution-info": "0.25-2 µg/mL", "ICCIF-species-notes": "<p></p>" } } }

Properties and storage information

Form
Liquid
Purification technique
Affinity purification Immunogen
Storage buffer
pH: 7.2 Preservative: 0.02% Sodium azide Constituents: PBS, 40% Glycerol (glycerin, glycerine)
Shipped at conditions
Blue Ice
Appropriate short-term storage duration
1-2 weeks
Appropriate short-term storage conditions
+4°C
Appropriate long-term storage conditions
-20°C
Aliquoting information
Upon delivery aliquot
Storage information
Avoid freeze / thaw cycle

Product protocols

For this product, it's our understanding that no specific protocols are required. You can visit:

Target data

Major reticulophagy (also called ER-phagy) receptor that acts independently of other candidate reticulophagy receptors to remodel subdomains of the endoplasmic reticulum into autophagosomes upon nutrient stress, which then fuse with lysosomes for endoplasmic reticulum turnover (PubMed : 31006537, PubMed : 31006538). The ATG8-containing isolation membrane (IM) cradles a tubular segment of TEX264-positive ER near a three-way junction, allowing the formation of a synapse of 2 juxtaposed membranes with trans interaction between the TEX264 and ATG8 proteins (PubMed : 31006537). Expansion of the IM would extend the capture of ER, possibly through a 'zipper-like' process involving continued trans TEX264-ATG8 interactions, until poorly understood mechanisms lead to the fission of relevant membranes and, ultimately, autophagosomal membrane closure (PubMed : 31006537). Also involved in the repair of covalent DNA-protein cross-links (DPCs) during DNA synthesis : acts by bridging VCP/p97 to covalent DNA-protein cross-links (DPCs) and initiating resolution of DPCs by SPRTN (PubMed : 32152270).
See full target information TEX264

Publications (1)

Recent publications for all applications. Explore the full list and refine your search

BioMed research international 2022:4304419 PubMed35837377

2022

Tex264 Binding to SNX27 Regulates Itg5 Receptor Membrane Recycling and Affects Cell Migration.

Applications

Unspecified application

Species

Unspecified reactive species

Xiao-Hui Xu,Qian-Wen Yang,Chang-Ling Yue,Yun-Yi Zhu,Zhao-Huan Zhang
View all publications

Product promise

We are committed to supporting your work with high-quality reagents, and we're here for you every step of the way. In the unlikely event that one of our products does not perform as expected, you're protected by our Product Promise.
For full details, please see our Terms & Conditions

Please note: All products are 'FOR RESEARCH USE ONLY. NOT FOR USE IN DIAGNOSTIC OR THERAPEUTIC PROCEDURES'.

For licensing inquiries, please contact partnerships@abcam.com