JavaScript is disabled in your browser. Please enable JavaScript to view this website.
AB231112

Anti-TFE3 antibody [EPR11591] - BSA and Azide free

Be the first to review this product! Submit a review

|

(0 Publication)

Rabbit Recombinant Monoclonal TFE3 antibody. Carrier free. Suitable for IHC-P and reacts with Human samples.

View Alternative Names

BHLHE33, TFE3, Transcription factor E3, Class E basic helix-loop-helix protein 33, bHLHe33

3 Images
Immunohistochemistry (Formalin/PFA-fixed paraffin-embedded sections) - Anti-TFE3 antibody [EPR11591] - BSA and Azide free (AB231112)
  • IHC-P

Supplier Data

Immunohistochemistry (Formalin/PFA-fixed paraffin-embedded sections) - Anti-TFE3 antibody [EPR11591] - BSA and Azide free (AB231112)

This IHC data was generated using the same anti-TFE3 antibody clone, EPR11591, in a different buffer formulation (cat# ab179804).

Immunohistochemical analysis of paraffin-embedded Human thyroid gland carcinoma tissue labeling TFE3 with unpurified ab179804 at 1/250 dilution.

Immunohistochemistry (Formalin/PFA-fixed paraffin-embedded sections) - Anti-TFE3 antibody [EPR11591] - BSA and Azide free (AB231112)
  • IHC-P

Supplier Data

Immunohistochemistry (Formalin/PFA-fixed paraffin-embedded sections) - Anti-TFE3 antibody [EPR11591] - BSA and Azide free (AB231112)

This IHC data was generated using the same anti-TFE3 antibody clone, EPR11591, in a different buffer formulation (cat# ab179804).

Immunohistochemical analysis of paraffin-embedded Human renal cell carcinoma tissue labeling TFE3 with unpurified ab179804 at 1/250 dilution.

Immunohistochemistry (Formalin/PFA-fixed paraffin-embedded sections) - Anti-TFE3 antibody [EPR11591] - BSA and Azide free (AB231112)
  • IHC-P

Unknown

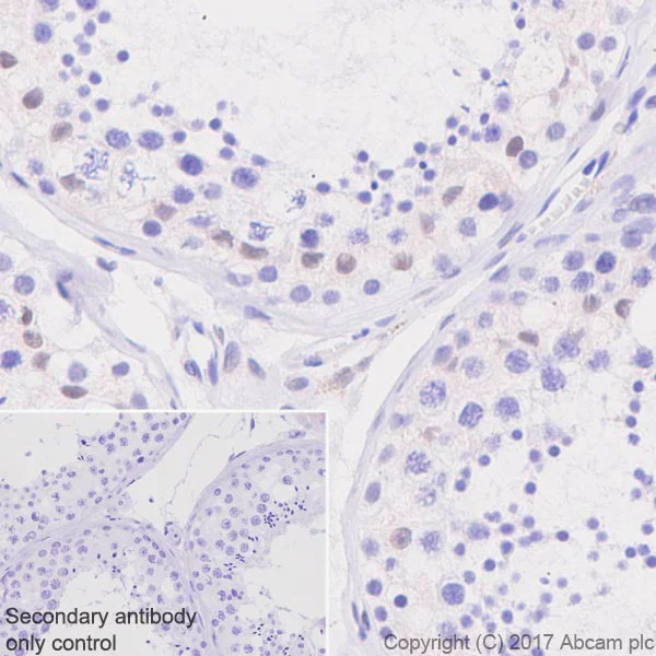
Immunohistochemistry (Formalin/PFA-fixed paraffin-embedded sections) - Anti-TFE3 antibody [EPR11591] - BSA and Azide free (AB231112)

Immunohistochemistry (Formalin/PFA-fixed paraffin-embedded sections) analysis of Human testis tissue sections labeling TFE3 with Purified ab179804 at 1 : 100 dilution (6.59 μg/ml). Heat mediated antigen retrieval was performed using citrate Buffer, pH 6.0. Tissue was counterstained with Hematoxylin. ImmunoHistoProbe one step HRP Polymer (ready to use) secondary antibody was used at 1 : 0 dilution. PBS instead of the primary antibody was used as the negative control.

This data was developed using the same antibody clone in a different buffer formulation containing PBS, BSA, glycerol, and sodium azide (ab179804).

Key facts

Host species

Rabbit

Clonality

Monoclonal

Clone number

EPR11591

Isotype

IgG

Carrier free

Yes

Reacts with

Human

Applications

IHC-P

applications

Immunogen

The exact immunogen used to generate this antibody is proprietary information.

Reactivity data

{ "title": "Reactivity Data", "filters": { "stats": ["", "Species", "Dilution Info", "Notes"], "tabs": { "all-applications": {"fullname" : "All Applications", "shortname": "All Applications"}, "IHCP" : {"fullname" : "Immunohistochemistry (Formalin/PFA-fixed paraffin-embedded sections)", "shortname":"IHC-P"}, "FlowCyt" : {"fullname" : "Flow Cytometry", "shortname":"Flow Cyt"}, "ICCIF" : {"fullname" : "Immunocytochemistry/ Immunofluorescence", "shortname":"ICC/IF"} }, "product-promise": { "all": "all", "testedAndGuaranteed": "tested", "guaranteed": "expected", "predicted": "predicted", "notRecommended": "not-recommended" } }, "values": { "Human": { "IHCP-species-checked": "testedAndGuaranteed", "IHCP-species-dilution-info": "", "IHCP-species-notes": "<p>This antibody is not suitable for human kidney in IHC-P due to background staining.</p>", "FlowCyt-species-checked": "notRecommended", "FlowCyt-species-dilution-info": "", "FlowCyt-species-notes": "<p></p>", "ICCIF-species-checked": "notRecommended", "ICCIF-species-dilution-info": "", "ICCIF-species-notes": "<p></p>" } } }

Product details

ab231112 is the carrier-free version of ab179804.

Species reactivity
Mouse, Rat: We have preliminary internal testing data to indicate this antibody may not react with these species.
Please contact us for more information.

Conjugation ready
Our carrier-free antibodies are typically supplied in a PBS-only formulation, purified and free of BSA, sodium azide and glycerol. This conjugation-ready format is designed for use with fluorochromes, metal isotopes, oligonucleotides, and enzymes, which makes them ideal for antibody labelling, functional and cell-based assays, flow-based assays (e.g. mass cytometry) and Multiplex Imaging applications.

Use our conjugation kits for antibody conjugates that are ready-to-use in as little as 20 minutes with 1 minute hands-on-time and 100% antibody recovery: available for fluorescent dyes, HRP, biotin and gold.

Compatibility
This product is compatible with the Maxpar® Antibody Labeling Kit from Fluidigm, without the need for antibody preparation. Maxpar® is a trademark of Fluidigm Canada Inc.

Properties and storage information

Form
Liquid
Purification technique
Affinity purification Protein A
Storage buffer
pH: 7.2 - 7.4 Constituents: PBS
Shipped at conditions
Blue Ice
Appropriate short-term storage conditions
+4°C
Appropriate long-term storage conditions
+4°C
Storage information
Do Not Freeze

Product protocols

For this product, it's our understanding that no specific protocols are required. You can visit:

Target data

Transcription factor that acts as a master regulator of lysosomal biogenesis and immune response (PubMed : 2338243, PubMed : 24448649, PubMed : 29146937, PubMed : 30733432, PubMed : 31672913, PubMed : 37079666). Specifically recognizes and binds E-box sequences (5'-CANNTG-3'); efficient DNA-binding requires dimerization with itself or with another MiT/TFE family member such as TFEB or MITF (PubMed : 24448649). Involved in the cellular response to amino acid availability by acting downstream of MTOR : in the presence of nutrients, TFE3 phosphorylation by MTOR promotes its inactivation (PubMed : 24448649, PubMed : 31672913, PubMed : 36608670). Upon starvation or lysosomal stress, inhibition of MTOR induces TFE3 dephosphorylation, resulting in transcription factor activity (PubMed : 24448649, PubMed : 31672913, PubMed : 36608670). Specifically recognizes and binds the CLEAR-box sequence (5'-GTCACGTGAC-3') present in the regulatory region of many lysosomal genes, leading to activate their expression, thereby playing a central role in expression of lysosomal genes (PubMed : 24448649). Maintains the pluripotent state of embryonic stem cells by promoting the expression of genes such as ESRRB; mTOR-dependent TFE3 cytosolic retention and inactivation promotes exit from pluripotency (By similarity). Required to maintain the naive pluripotent state of hematopoietic stem cell; mTOR-dependent cytoplasmic retention of TFE3 promotes the exit of hematopoietic stem cell from pluripotency (PubMed : 30733432). TFE3 activity is also involved in the inhibition of neuronal progenitor differentiation (By similarity). Acts as a positive regulator of browning of adipose tissue by promoting expression of target genes; mTOR-dependent phosphorylation promotes cytoplasmic retention of TFE3 and inhibits browning of adipose tissue (By similarity). In association with TFEB, activates the expression of CD40L in T-cells, thereby playing a role in T-cell-dependent antibody responses in activated CD4(+) T-cells and thymus-dependent humoral immunity (By similarity). Specifically recognizes the MUE3 box, a subset of E-boxes, present in the immunoglobulin enhancer (PubMed : 2338243). It also binds very well to a USF/MLTF site (PubMed : 2338243). Promotes TGF-beta-induced transcription of COL1A2; via its interaction with TSC22D1 at E-boxes in the gene proximal promoter (By similarity). May regulate lysosomal positioning in response to nutrient deprivation by promoting the expression of PIP4P1 (PubMed : 29146937).
See full target information TFE3

Product promise

We are committed to supporting your work with high-quality reagents, and we're here for you every step of the way. In the unlikely event that one of our products does not perform as expected, you're protected by our Product Promise.
For full details, please see our Terms & Conditions

Please note: All products are 'FOR RESEARCH USE ONLY. NOT FOR USE IN DIAGNOSTIC OR THERAPEUTIC PROCEDURES'.

For licensing inquiries, please contact partnerships@abcam.com