JavaScript is disabled in your browser. Please enable JavaScript to view this website.
AB270604

Anti-TFEB antibody [EPR22940-151]

  • BOND RX™ Validated
  • Advanced Validation
  • RabMAb
  • Recombinant
  • 20ul selling size
  • What is this?

Be the first to review this product! Submit a review

|

(11 Publications)

Anti-TFEB antibody [EPR22940-151] (ab270604) is a rabbit monoclonal antibody detecting TFEB in Western Blot, Flow Cytometry (Intra), Flow Cytometry, IP, IHC-P, ICC/IF, ChIC/CUT&RUN sequencing. Suitable for Human.

- Biophysical QC for unrivalled batch-batch consistency

View Alternative Names

BHLHE35, TFEB, Transcription factor EB, Class E basic helix-loop-helix protein 35, bHLHe35

12 Images
Immunocytochemistry/ Immunofluorescence - Anti-TFEB antibody [EPR22940-151] (AB270604)
  • ICC/IF

Unknown

Immunocytochemistry/ Immunofluorescence - Anti-TFEB antibody [EPR22940-151] (AB270604)

Immunofluorescent analysis of 4% Paraformaldehyde-fixed, 0.1% Triton X-100 permeabilized Raji cells labeling TFEB with ab270604 at 1/50 dilution, followed by ab150077 Goat Anti-Rabbit IgG H&L (Alexa Fluor® 488) antibody at 1/1000 dilution (Green). Confocal image showing cytoplasmic staining in Raji cells. ab195889 Anti-alpha Tubulin antibody [DM1A] - Microtubule Marker (Alexa Fluor® 594) was used to counterstain tubulin at 1/200 dilution (Red). The nuclear counterstain was DAPI (Blue).

Secondary antibody only control : Secondary antibody is ab150077 Goat Anti-Rabbit IgG H&L (Alexa Fluor® 488) at 1/1000 dilution.

Flow Cytometry (Intracellular) - Anti-TFEB antibody [EPR22940-151] (AB270604)
  • Flow Cyt (Intra)

Unknown

Flow Cytometry (Intracellular) - Anti-TFEB antibody [EPR22940-151] (AB270604)

Intracellular flow cytometric analysis of 4% paraformaldehyde fixed 90% methanol permeabilized Raji (Human Burkitt's lymphoma B lymphocyte) cells labeling TFEB with ab270604 at 1/500 (Red) compared with a Rabbit monoclonal IgG (ab172730) / Black isotype control and an unlabeled control (cells without incubation with primary antibody and secondary antibody) (Blue). A Goat anti rabbit IgG (Alexa Fluor® 488, ab150077) at 1/2000 dilution was used as the secondary antibody.

Flow Cytometry (Intracellular) - Anti-TFEB antibody [EPR22940-151] (AB270604)
  • Flow Cyt (Intra)

Lab

Flow Cytometry (Intracellular) - Anti-TFEB antibody [EPR22940-151] (AB270604)

Flow cytometry overlay histogram showing left Raji positive cells and right negative MCF7 stained with ab270604 (red line). The cells were fixed with 80% methanol (5 min) and then permeabilised with 0.1% PBS-Triton X-100 for 15 min. The cells were then incubated in 1x PBS containing 10μg/ml human IgG and 10% normal goat serum to block FC receptors and non-specific protein-protein interaction followed by the antibody (ab270604) (1x 106 in 100μl at 0.2μg/ml (1/10350)) for 30min at 22°C.

The secondary antibody Goat Anti-Rabbit IgG H&L (Alexa Fluor® 488) preadsorbed was incubated at 1/4000 for 30min at 22°C

Isotype control antibody (black line) was Recombinant Rabbit IgG, monoclonal [EPR25A] - Isotype Control used at the same concentration and conditions as the primary antibody. Unlabelled sample (blue line) was also used as a control.

Acquisition of >5000 events were collected using a 50 mW Blue laser (488nm) and 525/40 bandpass filter.

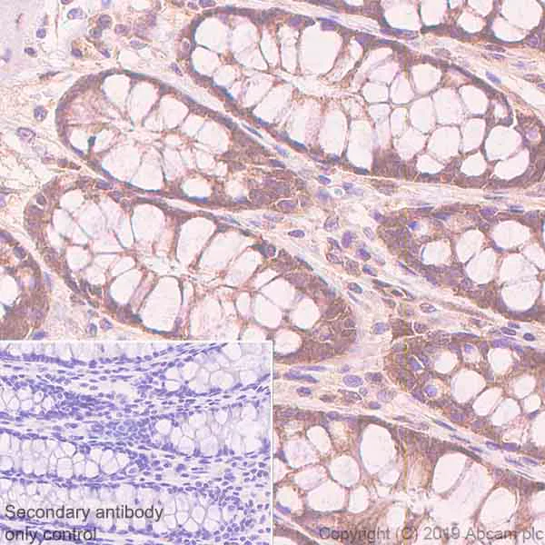
Immunohistochemistry (Formalin/PFA-fixed paraffin-embedded sections) - Anti-TFEB antibody [EPR22940-151] (AB270604)
  • IHC-P

Unknown

Immunohistochemistry (Formalin/PFA-fixed paraffin-embedded sections) - Anti-TFEB antibody [EPR22940-151] (AB270604)

Immunohistochemical analysis of paraffin-embedded human colon tissue labeling TFEB with ab270604 at 1/500 followed by a ready to use Goat Anti-Rabbit IgG H&L (HRP). Positive staining in human colon tissue is observed (PMID : 30519051). The section was incubated with ab270604 for 20 mins at room temperature. The immunostaining was performed on a Leica Biosystems BOND® RX instrument Counterstained with hematoxylin.

Secondary antibody only control : Secondary antibody is a ready to use Goat Anti-Rabbit IgG H&L (HRP).

Heat mediated antigen retrieval with Tris-EDTA buffer (pH 9.0, epitope retrieval solution2) for 20 mins.

Immunocytochemistry/ Immunofluorescence - Anti-TFEB antibody [EPR22940-151] (AB270604)
  • ICC/IF

Unknown

Immunocytochemistry/ Immunofluorescence - Anti-TFEB antibody [EPR22940-151] (AB270604)

Immunofluorescent analysis of 4% Paraformaldehyde-fixed, 0.1% Triton X-100 permeabilized IM-9 cells labeling TFEB with ab270604 at 1/50 dilution, followed by ab150077 Goat Anti-Rabbit IgG H&L (Alexa Fluor® 488) antibody at 1/1000 dilution (Green). Confocal image showing cytoplasmic staining in IM-9 cells. ab195889 Anti-alpha Tubulin antibody [DM1A] - Microtubule Marker (Alexa Fluor® 594) was used to counterstain tubulin at 1/200 dilution (Red). The nuclear counterstain was DAPI (Blue).

Secondary antibody only control : Secondary antibody is ab150077 Goat Anti-Rabbit IgG H&L (Alexa Fluor® 488) at 1/1000 dilution.

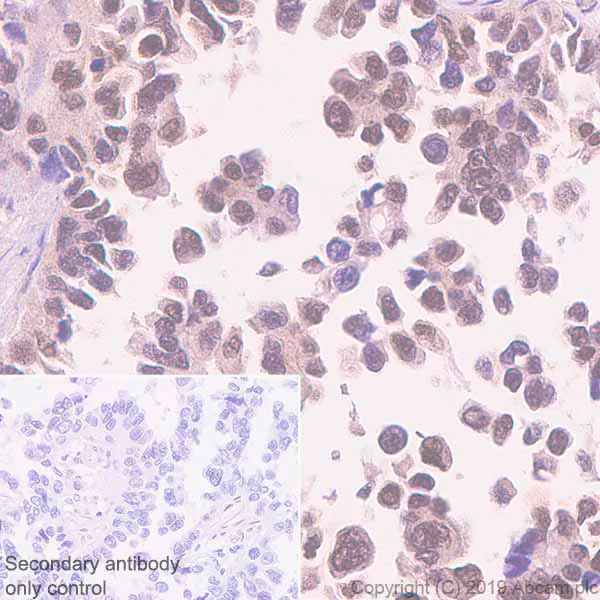
Immunohistochemistry (Formalin/PFA-fixed paraffin-embedded sections) - Anti-TFEB antibody [EPR22940-151] (AB270604)
  • IHC-P

Unknown

Immunohistochemistry (Formalin/PFA-fixed paraffin-embedded sections) - Anti-TFEB antibody [EPR22940-151] (AB270604)

Immunohistochemical analysis of paraffin-embedded human lung cancer tissue labeling TFEB with ab270604 at 1/500 followed by a ready to use Goat Anti-Rabbit IgG H&L (HRP). Positive staining in human lung cancer tissue is observed (PMID : 26264650). The section was incubated with ab270604 for 20 mins at room temperature. The immunostaining was performed on a Leica Biosystems BOND® RX instrument Counterstained with hematoxylin.

Secondary antibody only control : Secondary antibody is a ready to use Goat Anti-Rabbit IgG H&L (HRP).

Heat mediated antigen retrieval with Tris-EDTA buffer (pH 9.0, epitope retrieval solution2) for 20 mins.

Flow Cytometry (Intracellular) - Anti-TFEB antibody [EPR22940-151] (AB270604)
  • Flow Cyt (Intra)

Unknown

Flow Cytometry (Intracellular) - Anti-TFEB antibody [EPR22940-151] (AB270604)

Intracellular flow cytometric analysis of 4% paraformaldehyde fixed 90% methanol permeabilized IM-9 (Human multiple myeloma B Lymphoblast) cells labeling TFEB with ab270604 at 1/500 (Red) compared with a Rabbit monoclonal IgG (ab172730) / Black isotype control and an unlabeled control (cells without incubation with primary antibody and secondary antibody) (Blue). A Goat anti rabbit IgG (Alexa Fluor® 488, ab150077) at 1/2000 dilution was used as the secondary antibody.

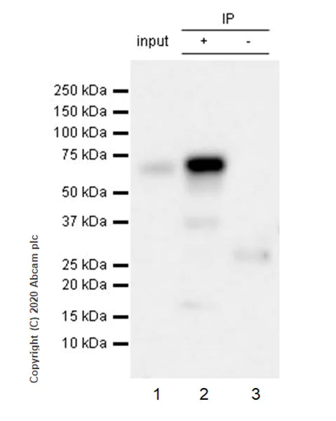
Immunoprecipitation - Anti-TFEB antibody [EPR22940-151] (AB270604)
  • IP

Unknown

Immunoprecipitation - Anti-TFEB antibody [EPR22940-151] (AB270604)

TFEB was immunoprecipitated from 0.35 mg Raji (human Burkitt's lymphoma B lymphocyte), whole cell lysate with ab270604 at 1/30 dilution (2μg in 0.35mg lysates). Western blot was performed on the immunoprecipitate using ab270604 at 1/500 dilution. VeriBlot for IP Detection Reagent (HRP)(ab131366) was used at 1/1000 dilution.

Lane 1 : Raji whole cell lysate.

Lane 2 : ab270604 IP in Raji whole cell lysate.

Lane 3 : Rabbit monoclonal IgG (ab172730) instead of ab270604 in Raji whole cell lysate.

Blocking and dilution buffer and concentration : 5% NFDM/TBST.

Exposure time : 3 secs.

All lanes:

Immunoprecipitation - Anti-TFEB antibody [EPR22940-151] (ab270604)

Predicted band size: 53 kDa

Observed band size: 66 kDa

false

Western blot - Anti-TFEB antibody [EPR22940-151] (AB270604)
  • WB

Unknown

Western blot - Anti-TFEB antibody [EPR22940-151] (AB270604)

Blocking and diluting buffer and concentration : 5% NFDM/TBST.

The molecular weight observed is consistent with what has been described in the literature (PMID : 30519051).

Exposure time : 26 secs.

All lanes:

Western blot - Anti-TFEB antibody [EPR22940-151] (ab270604) at 1/1000 dilution

Lane 1:

Raji (human Burkitt's lymphoma B lymphocyte), whole cell lysate at 40 µg

Lane 2:

IM-9 (human multiple myeloma B Lymphoblast), whole cell lysate at 40 µg

Secondary

All lanes:

Western blot - Goat Anti-Rabbit IgG H&L (HRP) (<a href='/en-us/products/secondary-antibodies/goat-rabbit-igg-h-l-hrp-ab97051'>ab97051</a>) at 1/20000 dilution

Predicted band size: 53 kDa

Observed band size: 66 kDa

false

ChIC/CUT&RUN sequencing - Anti-TFEB antibody [EPR22940-151] (AB270604)
  • ChIC/CUT&RUN-seq

Lab

ChIC/CUT&RUN sequencing - Anti-TFEB antibody [EPR22940-151] (AB270604)

ChIC/CUT&RUN was performed using a pAG-MNase at a final concentration of 700 ng/mL, 2.5 x 10^5 Raji (human Burkitt's lymphoma B lymphocyte) cells and 5 µg of ab270604 [EPR22940-151]. The resulting DNA was sequenced on the Illumina NovaSeq 6000 to a depth of 10 million reads. The negative IgG control ab172730 is also shown. The University of Geneva owns patents relevant to ChIC (Chromatin Immuno-Cleavage) methods.

ChIC/CUT&RUN sequencing - Anti-TFEB antibody [EPR22940-151] (AB270604)
  • ChIC/CUT&RUN-seq

Lab

ChIC/CUT&RUN sequencing - Anti-TFEB antibody [EPR22940-151] (AB270604)

ChIC/CUT&RUN was performed using a pAG-MNase at a final concentration of 700 ng/mL, 2.5 x 10^5 Raji (human Burkitt's lymphoma B lymphocyte) cells and 5 µg of ab270604 [EPR22940-151]. The resulting DNA was sequenced on the Illumina NovaSeq 6000 to a depth of 10 million reads. The negative IgG control ab172730 is also shown. The University of Geneva owns patents relevant to ChIC (Chromatin Immuno-Cleavage) methods.

ChIC/CUT&RUN sequencing - Anti-TFEB antibody [EPR22940-151] (AB270604)
  • ChIC/CUT&RUN-seq

Lab

ChIC/CUT&RUN sequencing - Anti-TFEB antibody [EPR22940-151] (AB270604)

ChIC/CUT&RUN was performed using a pAG-MNase at a final concentration of 700 ng/mL, 2.5 x 10^5 Raji (human Burkitt's lymphoma B lymphocyte) cells and 5 µg of ab270604 [EPR22940-151]. The resulting DNA was sequenced on the Illumina NovaSeq 6000 to a depth of 10 million reads. The negative IgG control ab172730 is also shown. The University of Geneva owns patents relevant to ChIC (Chromatin Immuno-Cleavage) methods.

  • 578 PE

    PE Anti-TFEB antibody [EPR22940-151]

  • 519 Alexa Fluor® 488

    Alexa Fluor® 488 Anti-TFEB antibody [EPR22940-151]

  • 660 APC

    APC Anti-TFEB antibody [EPR22940-151]

  • Carrier free

    Anti-TFEB antibody [EPR22940-151] - BSA and Azide free

  • 665 Alexa Fluor® 647

    Alexa Fluor® 647 Anti-TFEB antibody [EPR22940-151]

  • 565 Alexa Fluor® 555

    Alexa Fluor® 555 Anti-TFEB antibody [EPR22940-151]

  • 617 Alexa Fluor® 594

    Alexa Fluor® 594 Anti-TFEB antibody [EPR22940-151]

  • 775 Alexa Fluor® 750

    Alexa Fluor® 750 Anti-TFEB antibody [EPR22940-151]

Key facts

Host species

Rabbit

Clonality

Monoclonal

Clone number

EPR22940-151

Isotype

IgG

Carrier free

No

Reacts with

Human

Applications

WB, ChIC/CUT&RUN-seq, IP, IHC-P, ICC/IF, Flow Cyt (Intra)

applications

Immunogen

The exact immunogen used to generate this antibody is proprietary information.

Reactivity data

{ "title": "Reactivity Data", "filters": { "stats": ["", "Species", "Dilution Info", "Notes"], "tabs": { "all-applications": {"fullname" : "All Applications", "shortname": "All Applications"}, "IP" : {"fullname" : "Immunoprecipitation", "shortname":"IP"}, "WB" : {"fullname" : "Western blot", "shortname":"WB"}, "ICCIF" : {"fullname" : "Immunocytochemistry/ Immunofluorescence", "shortname":"ICC/IF"}, "FlowCytIntra" : {"fullname" : "Flow Cytometry (Intracellular)", "shortname":"Flow Cyt (Intra)"}, "IHCP" : {"fullname" : "Immunohistochemistry (Formalin/PFA-fixed paraffin-embedded sections)", "shortname":"IHC-P"}, "ChICCUTRUNseq" : {"fullname" : "ChIC/CUT&RUN sequencing", "shortname":"ChIC/CUT&RUN-seq"} }, "product-promise": { "all": "all", "testedAndGuaranteed": "tested", "guaranteed": "expected", "predicted": "predicted", "notRecommended": "not-recommended" } }, "values": { "Human": { "IP-species-checked": "testedAndGuaranteed", "IP-species-dilution-info": "1/30", "IP-species-notes": "<p></p>", "WB-species-checked": "testedAndGuaranteed", "WB-species-dilution-info": "1/1000", "WB-species-notes": "<p></p>", "ICCIF-species-checked": "testedAndGuaranteed", "ICCIF-species-dilution-info": "1/50", "ICCIF-species-notes": "<p></p>", "FlowCytIntra-species-checked": "testedAndGuaranteed", "FlowCytIntra-species-dilution-info": "1/500", "FlowCytIntra-species-notes": "<p></p>", "IHCP-species-checked": "testedAndGuaranteed", "IHCP-species-dilution-info": "1/500", "IHCP-species-notes": "<p></p> Perform heat-mediated antigen retrieval with Tris/EDTA buffer pH 9.0 before commencing with IHC staining protocol.", "ChICCUTRUNseq-species-checked": "testedAndGuaranteed", "ChICCUTRUNseq-species-dilution-info": "", "ChICCUTRUNseq-species-notes": "<p></p>" } } }

Product details

What is this antibody validated in?
Anti-TFEB antibody [EPR22940-151] (ab270604) is a rabbit recombinant monoclonal antibody and is validated for use in Western Blot (WB), Flow Cytometry (Intra), Flow Cytometry (Flow Cyt), Immunoprecipitation (IP), Immunohistochemistry (IHC-P), Immunocytochemistry/immunofluorescence (ICC/IF) and ChIC/CUT&RUN sequencing in Human samples.

What is the molecular weight of TFEB?
Anti-TFEB [EPR22940-151] (ab270604) specifically detects a band for TFEB (UniProt: P19484) at a molecular weight of 53kDa.

Trusted by the scientific community
Anti-TFEB [EPR22940-151] (ab270604) was first used in a scientific publication in 2020 and has been cited over 10 times in peer-reviewed journals.

Trial sizes available!
Test your antibody or perform pre-screening before committing to a larger quantity. Sold in 20µl. Discover our selection of trial-size antibodies.

Other related products
We have a range of other formats of antibody clone [EPR22940-151] also available for your convenience: ab270604, Carrier free - ab270614, Alexa Fluor® 488 - ab282162, PE - ab282787, Alexa Fluor® 647 - ab283274, APC - ab283612, Alexa Fluor® 555 - ab320288, Alexa Fluor® 594 - ab320289, Alexa Fluor® 750 - ab321534

Patented technology
Our RabMAb® technology is a patented hybridoma-based technology for making rabbit monoclonal antibodies. For details on our patents, please refer to RabMAb® patents.

What are the advantages of a recombinant monoclonal antibody?
This product is a recombinant monoclonal antibody, which offers several advantages including:

  • - High batch-to-batch consistency and reproducibility
  • - Improved sensitivity and specificity
  • - Long-term security of supply
  • - Animal-free batch production

For more information, read more on recombinant antibodies.

Properties and storage information

Form
Liquid
Purification technique
Affinity purification Protein A
Storage buffer
pH: 7.2 - 7.4 Preservative: 0.01% Sodium azide Constituents: PBS, 40% Glycerol (glycerin, glycerine), 0.05% BSA
Shipped at conditions
Blue Ice
Appropriate short-term storage duration
1-2 weeks
Appropriate short-term storage conditions
+4°C
Appropriate long-term storage conditions
-20°C
Aliquoting information
Upon delivery aliquot
Storage information
Avoid freeze / thaw cycle

Product protocols

For this product, it's our understanding that no specific protocols are required. You can visit:

Target data

Transcription factor that acts as a master regulator of lysosomal biogenesis, autophagy, lysosomal exocytosis, lipid catabolism, energy metabolism and immune response (PubMed : 21617040, PubMed : 22343943, PubMed : 22576015, PubMed : 22692423, PubMed : 25720963, PubMed : 30120233, PubMed : 31672913, PubMed : 32612235, PubMed : 32753672, PubMed : 35662396, PubMed : 36697823, PubMed : 36749723, PubMed : 37079666). Specifically recognizes and binds E-box sequences (5'-CANNTG-3'); efficient DNA-binding requires dimerization with itself or with another MiT/TFE family member such as TFE3 or MITF (PubMed : 1748288, PubMed : 19556463, PubMed : 29146937). Involved in the cellular response to amino acid availability by acting downstream of MTOR : in the presence of nutrients, TFEB phosphorylation by MTOR promotes its cytosolic retention and subsequent inactivation (PubMed : 21617040, PubMed : 22343943, PubMed : 22576015, PubMed : 22692423, PubMed : 25720963, PubMed : 32612235, PubMed : 32753672, PubMed : 35662396, PubMed : 36697823). Upon starvation or lysosomal stress, inhibition of MTOR induces TFEB dephosphorylation, resulting in nuclear localization and transcription factor activity (PubMed : 22343943, PubMed : 22576015, PubMed : 22692423, PubMed : 25720963, PubMed : 32612235, PubMed : 32753672, PubMed : 35662396, PubMed : 36697823). Specifically recognizes and binds the CLEAR-box sequence (5'-GTCACGTGAC-3') present in the regulatory region of many lysosomal genes, leading to activate their expression, thereby playing a central role in expression of lysosomal genes (PubMed : 19556463, PubMed : 22692423). Regulates lysosomal positioning in response to nutrient deprivation by promoting the expression of PIP4P1 (PubMed : 29146937). Acts as a positive regulator of autophagy by promoting expression of genes involved in autophagy (PubMed : 21617040, PubMed : 22576015, PubMed : 23434374, PubMed : 27278822). In association with TFE3, activates the expression of CD40L in T-cells, thereby playing a role in T-cell-dependent antibody responses in activated CD4(+) T-cells and thymus-dependent humoral immunity (By similarity). Specifically recognizes the gamma-E3 box, a subset of E-boxes, present in the heavy-chain immunoglobulin enhancer (PubMed : 2115126). Plays a role in the signal transduction processes required for normal vascularization of the placenta (By similarity). Involved in the immune response to infection by the bacteria S.aureus, S.typhimurium or S.enterica : infection promotes itaconate production, leading to alkylation, resulting in nuclear localization and transcription factor activity (PubMed : 35662396). Itaconate-mediated alkylation activates TFEB-dependent lysosomal biogenesis, facilitating the bacteria clearance during the antibacterial innate immune response (PubMed : 35662396). In association with ACSS2, promotes the expression of genes involved in lysosome biogenesis and both autophagy upon glucose deprivation (PubMed : 28552616).
See full target information TFEB

Publications (11)

Recent publications for all applications. Explore the full list and refine your search

Nature 621:620-626 PubMed37344598

2023

Structural basis of mitochondrial protein import by the TIM23 complex.

Applications

Unspecified application

Species

Unspecified reactive species

Sue Im Sim,Yuanyuan Chen,Diane L Lynch,James C Gumbart,Eunyong Park

Biomedicines 11: PubMed36830782

2023

TFEB Rearranged Renal Cell Carcinoma: Pathological and Molecular Characterization of 10 Cases, with Novel Clinical Implications: A Single Center 10-Year Experience.

Applications

Unspecified application

Species

Unspecified reactive species

Ai-Xiang Wang,Tai Tian,Li-Bo Liu,Feng Yang,Hui-Ying He,Li-Qun Zhou

Translational psychiatry 12:508 PubMed36494352

2022

Defective proteostasis in induced pluripotent stem cell models of frontotemporal lobar degeneration.

Applications

Unspecified application

Species

Unspecified reactive species

Sidhartha Mahali,Rita Martinez,Melvin King,Anthony Verbeck,Oscar Harari,Bruno A Benitez,Kanta Horie,Chihiro Sato,Sally Temple,Celeste M Karch

BioMed research international 2022:8099459 PubMed35983247

2022

Melatonin Ameliorates the Progression of Alzheimer's Disease by Inducing TFEB Nuclear Translocation, Promoting Mitophagy, and Regulating NLRP3 Inflammasome Activity.

Applications

Unspecified application

Species

Unspecified reactive species

Li Fan,Xie Zhaohong,Wang Xiangxue,Xu Yingying,Zhang Xiao,Zhou Xiaoyan,Yan Jieke,Lai Chao

Contrast media & molecular imaging 2022:3357694 PubMed35965629

2022

Toll-Like Receptor 4 Exacerbates via Promoting Transcription Factor EB-Mediated Autophagy.

Applications

Unspecified application

Species

Unspecified reactive species

Yan Liu,Jing Li,Xianfeng Lu,Shuangping Zhen,Jing Huo

Journal of experimental & clinical cancer research : CR 41:28 PubMed35045880

2022

Lipid reprogramming induced by the TFEB-ERRα axis enhanced membrane fluidity to promote EC progression.

Applications

Unspecified application

Species

Unspecified reactive species

Xiaodan Mao,Huifang Lei,Tianjin Yi,Pingping Su,Shuting Tang,Yao Tong,Binhua Dong,Guanyu Ruan,Alexander Mustea,Jalid Sehouli,Pengming Sun

Autophagy 18:765-782 PubMed34403298

2021

Torin 1 alleviates impairment of TFEB-mediated lysosomal biogenesis and autophagy in (p.G623_H626del)-linked Thiel-Behnke corneal dystrophy.

Applications

Unspecified application

Species

Unspecified reactive species

Liyuan Wang,Chuchu Zhao,Tao Zheng,Yi Zhang,Hanruo Liu,Xi Wang,Xianling Tang,Baowen Zhao,Ping Liu

American journal of translational research 13:8804-8818 PubMed34539996

2021

TFEB promotes BCL-2 expression by upregulating its promoter activity in the t(6;11) translocation renal cell carcinomas.

Applications

Unspecified application

Species

Unspecified reactive species

He-Qin Zhan,Rong Qin,Yan-Li Li,Meng-Meng Liu,Lin Gan

International immunopharmacology 95:107561 PubMed33744778

2021

Virucidal activity of Moringa A from Moringa oleifera seeds against Influenza A Viruses by regulating TFEB.

Applications

Unspecified application

Species

Unspecified reactive species

Yongai Xiong,Muhammad Shahid Riaz Rajoka,Hafiza Mahreen Mehwish,MengXun Zhang,Ning Liang,Chenyang Li,Zhendan He

3 Biotech 11:162 PubMed33786279

2021

Transcription factor EB promotes rheumatoid arthritis of Sprague-Dawley rats via regulating autophagy.

Applications

Unspecified application

Species

Unspecified reactive species

De Lai Xu,Jie Pan
View all publications

Product promise

We are committed to supporting your work with high-quality reagents, and we're here for you every step of the way. In the unlikely event that one of our products does not perform as expected, you're protected by our Product Promise.
For full details, please see our Terms & Conditions

Please note: All products are 'FOR RESEARCH USE ONLY. NOT FOR USE IN DIAGNOSTIC OR THERAPEUTIC PROCEDURES'.

For licensing inquiries, please contact partnerships@abcam.com