JavaScript is disabled in your browser. Please enable JavaScript to view this website.
AB270614

Anti-TFEB antibody [EPR22940-151] - BSA and Azide free

  • BOND RX™ Validated
  • Advanced Validation
  • RabMAb
  • Recombinant
  • What is this?

Be the first to review this product! Submit a review

|

(1 Publication)

Rabbit Recombinant Monoclonal TFEB antibody. Carrier free. Suitable for IP, WB, ICC/IF, Flow Cyt (Intra), IHC-P, ChIC/CUT&RUN-seq and reacts with Human samples. Cited in 1 publication.

View Alternative Names

BHLHE35, TFEB, Transcription factor EB, Class E basic helix-loop-helix protein 35, bHLHe35

11 Images
Flow Cytometry (Intracellular) - Anti-TFEB antibody [EPR22940-151] - BSA and Azide free (AB270614)
  • Flow Cyt (Intra)

Lab

Flow Cytometry (Intracellular) - Anti-TFEB antibody [EPR22940-151] - BSA and Azide free (AB270614)

This data was developed using the same antibody clone in a different buffer formulation containing PBS, BSA, glycerol, and sodium azide (ab270604).

Flow cytometry overlay histogram showing left Raji positive cells and right negative MCF7 stained with ab270604 (red line). The cells were fixed with 80% methanol (5 min) and then permeabilised with 0.1% PBS-Triton X-100 for 15 min. The cells were then incubated in 1x PBS containing 10μg/ml human IgG and 10% normal goat serum to block FC receptors and non-specific protein-protein interaction followed by the antibody (ab270604) (1x 106 in 100μl at 0.2μg/ml (1/10350)) for 30min at 22°C.

The secondary antibody Goat Anti-Rabbit IgG H&L (Alexa Fluor® 488) preadsorbed was incubated at 1/4000 for 30min at 22°C

Isotype control antibody (black line) was Recombinant Rabbit IgG, monoclonal [EPR25A] - Isotype Control used at the same concentration and conditions as the primary antibody. Unlabelled sample (blue line) was also used as a control.

Acquisition of >5000 events were collected using a 50 mW Blue laser (488nm) and 525/40 bandpass filter.

Flow Cytometry (Intracellular) - Anti-TFEB antibody [EPR22940-151] - BSA and Azide free (AB270614)
  • Flow Cyt (Intra)

Unknown

Flow Cytometry (Intracellular) - Anti-TFEB antibody [EPR22940-151] - BSA and Azide free (AB270614)

Intracellular flow cytometric analysis of 4% paraformaldehyde fixed 90% methanol permeabilized Raji (Human Burkitt's lymphoma B lymphocyte) cells labeling TFEB with ab270604 at 1/500 (Red) compared with a Rabbit monoclonal IgG (ab172730) / Black isotype control and an unlabeled control (cells without incubation with primary antibody and secondary antibody) (Blue). A Goat anti rabbit IgG (Alexa Fluor®488, ab150077) at 1/2000 dilution was used as the secondary antibody.

This data was developed using the same antibody clone in a different buffer formulation containing PBS, BSA, glycerol, and sodium azide (ab270604).

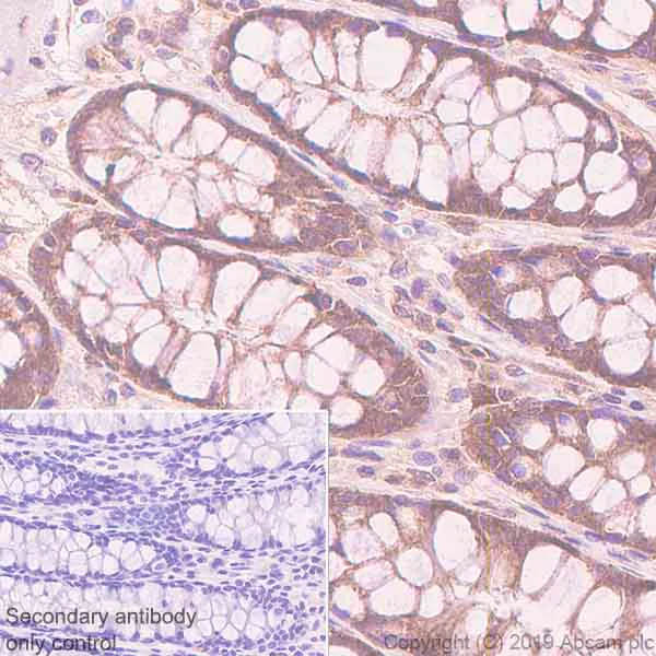
Immunohistochemistry (Formalin/PFA-fixed paraffin-embedded sections) - Anti-TFEB antibody [EPR22940-151] - BSA and Azide free (AB270614)
  • IHC-P

Unknown

Immunohistochemistry (Formalin/PFA-fixed paraffin-embedded sections) - Anti-TFEB antibody [EPR22940-151] - BSA and Azide free (AB270614)

Immunohistochemical analysis of paraffin-embedded human colon tissue labeling TFEB with ab270604 at 1/500 followed by a ready to use Goat Anti-Rabbit IgG H&L (HRP). Positive staining in human colon tissue is observed (PMID : 30519051). The section was incubated with ab270604 for 20 mins at room temperature. The immunostaining was performed on a Leica Biosystems BOND® RX instrument Counterstained with hematoxylin.

Secondary antibody only control : Secondary antibody is a ready to use Goat Anti-Rabbit IgG H&L (HRP).

Heat mediated antigen retrieval with Tris-EDTA buffer (pH 9.0, epitope retrieval solution2) for 20 mins.

This data was developed using the same antibody clone in a different buffer formulation containing PBS, BSA, glycerol, and sodium azide (ab270604).

Immunocytochemistry/ Immunofluorescence - Anti-TFEB antibody [EPR22940-151] - BSA and Azide free (AB270614)
  • ICC/IF

Unknown

Immunocytochemistry/ Immunofluorescence - Anti-TFEB antibody [EPR22940-151] - BSA and Azide free (AB270614)

Immunofluorescent analysis of 4% Paraformaldehyde-fixed, 0.1% Triton X-100 permeabilized IM-9 cells labeling TFEB with ab270604 at 1/50 dilution, followed by ab150077 Goat Anti-Rabbit IgG H&L (Alexa Fluor® 488) antibody at 1/1000 dilution (Green). Confocal image showing cytoplasmic staining in IM-9 cells. ab195889 Anti-alpha Tubulin antibody [DM1A] - Microtubule Marker (Alexa Fluor® 594) was used to counterstain tubulin at 1/200 dilution (Red). The nuclear counterstain was DAPI (Blue).

Secondary antibody only control : Secondary antibody is ab150077 Goat Anti-Rabbit IgG H&L (Alexa Fluor® 488) at 1/1000 dilution.

This data was developed using the same antibody clone in a different buffer formulation containing PBS, BSA, glycerol, and sodium azide (ab270604).

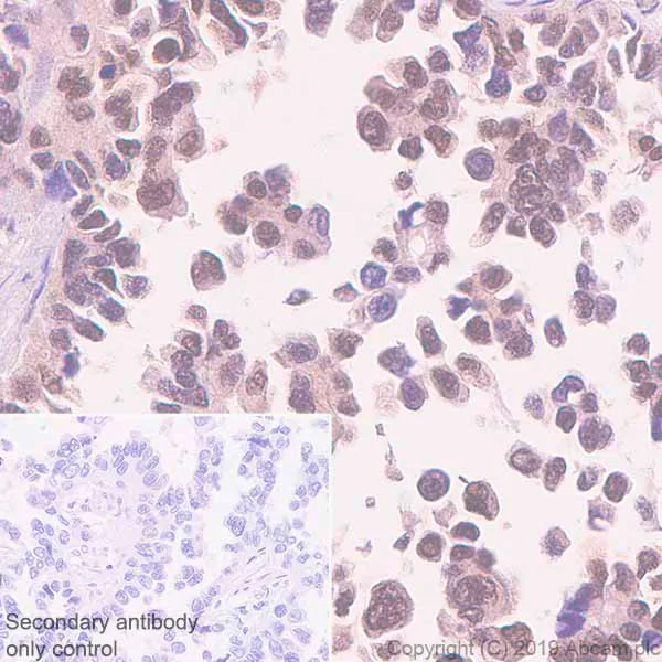
Immunohistochemistry (Formalin/PFA-fixed paraffin-embedded sections) - Anti-TFEB antibody [EPR22940-151] - BSA and Azide free (AB270614)
  • IHC-P

Unknown

Immunohistochemistry (Formalin/PFA-fixed paraffin-embedded sections) - Anti-TFEB antibody [EPR22940-151] - BSA and Azide free (AB270614)

Immunohistochemical analysis of paraffin-embedded human lung cancer tissue labeling TFEB with ab270604 at 1/500 followed by a ready to use Goat Anti-Rabbit IgG H&L (HRP). Positive staining in human lung cancer tissue is observed (PMID : 26264650). The section was incubated with ab270604 for 20 mins at room temperature.The immunostaining was performed on a Leica Biosystems BOND® RX instrument Counterstained with hematoxylin.

Secondary antibody only control : Secondary antibody is a ready to use Goat Anti-Rabbit IgG H&L (HRP).

Heat mediated antigen retrieval with Tris-EDTA buffer (pH 9.0, epitope retrieval solution2) for 20 mins.

This data was developed using the same antibody clone in a different buffer formulation containing PBS, BSA, glycerol, and sodium azide (ab270604).

Flow Cytometry (Intracellular) - Anti-TFEB antibody [EPR22940-151] - BSA and Azide free (AB270614)
  • Flow Cyt (Intra)

Unknown

Flow Cytometry (Intracellular) - Anti-TFEB antibody [EPR22940-151] - BSA and Azide free (AB270614)

Intracellular flow cytometric analysis of 4% paraformaldehyde fixed 90% methanol permeabilized IM-9 (Human multiple myeloma B Lymphoblast) cells labeling TFEB with ab270604 at 1/500 (Red) compared with a Rabbit monoclonal IgG (ab172730) / Black isotype control and an unlabeled control (cells without incubation with primary antibody and secondary antibody) (Blue). A Goat anti rabbit IgG (Alexa Fluor®488, ab150077) at 1/2000 dilution was used as the secondary antibody.

This data was developed using the same antibody clone in a different buffer formulation containing PBS, BSA, glycerol, and sodium azide (ab270604).

Immunocytochemistry/ Immunofluorescence - Anti-TFEB antibody [EPR22940-151] - BSA and Azide free (AB270614)
  • ICC/IF

Unknown

Immunocytochemistry/ Immunofluorescence - Anti-TFEB antibody [EPR22940-151] - BSA and Azide free (AB270614)

Immunofluorescent analysis of 4% Paraformaldehyde-fixed, 0.1% Triton X-100 permeabilized Raji cells labeling TFEB with ab270604 at 1/50 dilution, followed by ab150077 Goat Anti-Rabbit IgG H&L (Alexa Fluor® 488) antibody at 1/1000 dilution (Green). Confocal image showing cytoplasmic staining in Raji cells. ab195889 Anti-alpha Tubulin antibody [DM1A] - Microtubule Marker (Alexa Fluor® 594) was used to counterstain tubulin at 1/200 dilution (Red). The nuclear counterstain was DAPI (Blue).

Secondary antibody only control : Secondary antibody is ab150077 Goat Anti-Rabbit IgG H&L (Alexa Fluor® 488) at 1/1000 dilution.

This data was developed using the same antibody clone in a different buffer formulation containing PBS, BSA, glycerol, and sodium azide (ab270604).

Immunoprecipitation - Anti-TFEB antibody [EPR22940-151] - BSA and Azide free (AB270614)
  • IP

Unknown

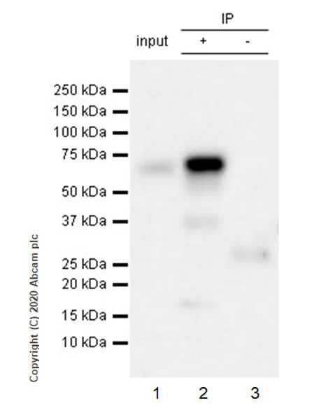
Immunoprecipitation - Anti-TFEB antibody [EPR22940-151] - BSA and Azide free (AB270614)

TFEB was immunoprecipitated from 0.35 mg Raji (human Burkitt's lymphoma B lymphocyte), whole cell lysate with ab270604 at 1/30 dilution (2μg in 0.35mg lysates). Western blot was performed on the immunoprecipitate using ab270604 at 1/500 dilution. VeriBlot for IP Detection Reagent (HRP)(ab131366) was used at 1/1000 dilution.

Lane 1 : Raji whole cell lysate.

Lane 2 : ab270604 IP in Raji whole cell lysate.

Lane 3 : Rabbit monoclonal IgG (ab172730) instead of ab270604 in Raji whole cell lysate.

Blocking and dilution buffer and concentration : 5% NFDM/TBST.

Exposure time : 3 secs.

This data was developed using the same antibody clone in a different buffer formulation containing PBS, BSA, glycerol, and sodium azide (ab270604).

All lanes:

Immunoprecipitation - Anti-TFEB antibody [EPR22940-151] (<a href='/en-us/products/primary-antibodies/tfeb-antibody-epr22940-151-ab270604'>ab270604</a>)

Predicted band size: 53 kDa

Observed band size: 66 kDa

false

ChIC/CUT&RUN sequencing - Anti-TFEB antibody [EPR22940-151] - BSA and Azide free (AB270614)
  • ChIC/CUT&RUN-seq

Lab

ChIC/CUT&RUN sequencing - Anti-TFEB antibody [EPR22940-151] - BSA and Azide free (AB270614)

This data was developed using the same antibody clone in a different buffer formulation containing PBS, BSA, glycerol, and sodium azide (,ab270604).

ChIC/CUT&RUN was performed using a pAG-MNase at a final concentration of 700 ng/mL, 2.5 x 10^5 Raji (human Burkitt's lymphoma B lymphocyte) cells and 5 µg of ab270604 [EPR22940-151]. The resulting DNA was sequenced on the Illumina NovaSeq 6000 to a depth of 10 million reads. The negative IgG control ab172730 is also shown. The University of Geneva owns patents relevant to ChIC (Chromatin Immuno-Cleavage) methods.

ChIC/CUT&RUN sequencing - Anti-TFEB antibody [EPR22940-151] - BSA and Azide free (AB270614)
  • ChIC/CUT&RUN-seq

Lab

ChIC/CUT&RUN sequencing - Anti-TFEB antibody [EPR22940-151] - BSA and Azide free (AB270614)

This data was developed using the same antibody clone in a different buffer formulation containing PBS, BSA, glycerol, and sodium azide (,ab270604).

ChIC/CUT&RUN was performed using a pAG-MNase at a final concentration of 700 ng/mL, 2.5 x 10^5 Raji (human Burkitt's lymphoma B lymphocyte) cells and 5 µg of ab270604 [EPR22940-151]. The resulting DNA was sequenced on the Illumina NovaSeq 6000 to a depth of 10 million reads. The negative IgG control ab172730 is also shown. The University of Geneva owns patents relevant to ChIC (Chromatin Immuno-Cleavage) methods.

ChIC/CUT&RUN sequencing - Anti-TFEB antibody [EPR22940-151] - BSA and Azide free (AB270614)
  • ChIC/CUT&RUN-seq

Lab

ChIC/CUT&RUN sequencing - Anti-TFEB antibody [EPR22940-151] - BSA and Azide free (AB270614)

This data was developed using the same antibody clone in a different buffer formulation containing PBS, BSA, glycerol, and sodium azide (,ab270604).

ChIC/CUT&RUN was performed using a pAG-MNase at a final concentration of 700 ng/mL, 2.5 x 10^5 Raji (human Burkitt's lymphoma B lymphocyte) cells and 5 µg of ab270604 [EPR22940-151]. The resulting DNA was sequenced on the Illumina NovaSeq 6000 to a depth of 10 million reads. The negative IgG control ab172730 is also shown. The University of Geneva owns patents relevant to ChIC (Chromatin Immuno-Cleavage) methods.

Key facts

Host species

Rabbit

Clonality

Monoclonal

Clone number

EPR22940-151

Isotype

IgG

Carrier free

Yes

Reacts with

Human

Applications

ChIC/CUT&RUN-seq, WB, ICC/IF, IP, IHC-P, Flow Cyt (Intra)

applications

Immunogen

The exact immunogen used to generate this antibody is proprietary information.

Reactivity data

{ "title": "Reactivity Data", "filters": { "stats": ["", "Species", "Dilution Info", "Notes"], "tabs": { "all-applications": {"fullname" : "All Applications", "shortname": "All Applications"}, "IP" : {"fullname" : "Immunoprecipitation", "shortname":"IP"}, "WB" : {"fullname" : "Western blot", "shortname":"WB"}, "ICCIF" : {"fullname" : "Immunocytochemistry/ Immunofluorescence", "shortname":"ICC/IF"}, "FlowCytIntra" : {"fullname" : "Flow Cytometry (Intracellular)", "shortname":"Flow Cyt (Intra)"}, "IHCP" : {"fullname" : "Immunohistochemistry (Formalin/PFA-fixed paraffin-embedded sections)", "shortname":"IHC-P"}, "ChICCUTRUNseq" : {"fullname" : "ChIC/CUT&RUN sequencing", "shortname":"ChIC/CUT&RUN-seq"} }, "product-promise": { "all": "all", "testedAndGuaranteed": "tested", "guaranteed": "expected", "predicted": "predicted", "notRecommended": "not-recommended" } }, "values": { "Human": { "IP-species-checked": "testedAndGuaranteed", "IP-species-dilution-info": "", "IP-species-notes": "<p></p>", "WB-species-checked": "guaranteed", "WB-species-dilution-info": "", "WB-species-notes": "<p></p>", "ICCIF-species-checked": "testedAndGuaranteed", "ICCIF-species-dilution-info": "", "ICCIF-species-notes": "<p></p>", "FlowCytIntra-species-checked": "testedAndGuaranteed", "FlowCytIntra-species-dilution-info": "", "FlowCytIntra-species-notes": "<p></p>", "IHCP-species-checked": "testedAndGuaranteed", "IHCP-species-dilution-info": "", "IHCP-species-notes": "<p></p>", "ChICCUTRUNseq-species-checked": "testedAndGuaranteed", "ChICCUTRUNseq-species-dilution-info": "", "ChICCUTRUNseq-species-notes": "<p></p>" } } }

Product details

ab270614 is the carrier-free version of ab270604.

Patented technology
Our RabMAb® technology is a patented hybridoma-based technology for making rabbit monoclonal antibodies. For details on our patents, please refer to RabMAb® patents.

What are the advantages of a recombinant monoclonal antibody?
This product is a recombinant monoclonal antibody, which offers several advantages including:

  • - High batch-to-batch consistency and reproducibility
  • - Improved sensitivity and specificity
  • - Long-term security of supply
  • - Animal-free batch production

For more information, read more on recombinant antibodies.

Conjugation ready
Our carrier-free antibodies are typically supplied in a PBS-only formulation, purified and free of BSA, sodium azide and glycerol. This conjugation-ready format is designed for use with fluorochromes, metal isotopes, oligonucleotides, and enzymes, which makes them ideal for antibody labelling, functional and cell-based assays, flow-based assays (e.g. mass cytometry) and Multiplex Imaging applications.

Use our conjugation kits for antibody conjugates that are ready-to-use in as little as 20 minutes with 1 minute hands-on-time and 100% antibody recovery: available for fluorescent dyes, HRP, biotin and gold.

Compatibility
This product is compatible with the Maxpar® Antibody Labeling Kit from Fluidigm, without the need for antibody preparation. Maxpar® is a trademark of Fluidigm Canada Inc.

Properties and storage information

Form
Liquid
Purification technique
Affinity purification Protein A
Storage buffer
pH: 7.2 - 7.4 Constituents: PBS
Shipped at conditions
Blue Ice
Appropriate short-term storage conditions
+4°C
Appropriate long-term storage conditions
+4°C
Storage information
Do Not Freeze

Product protocols

For this product, it's our understanding that no specific protocols are required. You can visit:

Target data

Transcription factor that acts as a master regulator of lysosomal biogenesis, autophagy, lysosomal exocytosis, lipid catabolism, energy metabolism and immune response (PubMed : 21617040, PubMed : 22343943, PubMed : 22576015, PubMed : 22692423, PubMed : 25720963, PubMed : 30120233, PubMed : 31672913, PubMed : 32612235, PubMed : 32753672, PubMed : 35662396, PubMed : 36697823, PubMed : 36749723, PubMed : 37079666). Specifically recognizes and binds E-box sequences (5'-CANNTG-3'); efficient DNA-binding requires dimerization with itself or with another MiT/TFE family member such as TFE3 or MITF (PubMed : 1748288, PubMed : 19556463, PubMed : 29146937). Involved in the cellular response to amino acid availability by acting downstream of MTOR : in the presence of nutrients, TFEB phosphorylation by MTOR promotes its cytosolic retention and subsequent inactivation (PubMed : 21617040, PubMed : 22343943, PubMed : 22576015, PubMed : 22692423, PubMed : 25720963, PubMed : 32612235, PubMed : 32753672, PubMed : 35662396, PubMed : 36697823). Upon starvation or lysosomal stress, inhibition of MTOR induces TFEB dephosphorylation, resulting in nuclear localization and transcription factor activity (PubMed : 22343943, PubMed : 22576015, PubMed : 22692423, PubMed : 25720963, PubMed : 32612235, PubMed : 32753672, PubMed : 35662396, PubMed : 36697823). Specifically recognizes and binds the CLEAR-box sequence (5'-GTCACGTGAC-3') present in the regulatory region of many lysosomal genes, leading to activate their expression, thereby playing a central role in expression of lysosomal genes (PubMed : 19556463, PubMed : 22692423). Regulates lysosomal positioning in response to nutrient deprivation by promoting the expression of PIP4P1 (PubMed : 29146937). Acts as a positive regulator of autophagy by promoting expression of genes involved in autophagy (PubMed : 21617040, PubMed : 22576015, PubMed : 23434374, PubMed : 27278822). In association with TFE3, activates the expression of CD40L in T-cells, thereby playing a role in T-cell-dependent antibody responses in activated CD4(+) T-cells and thymus-dependent humoral immunity (By similarity). Specifically recognizes the gamma-E3 box, a subset of E-boxes, present in the heavy-chain immunoglobulin enhancer (PubMed : 2115126). Plays a role in the signal transduction processes required for normal vascularization of the placenta (By similarity). Involved in the immune response to infection by the bacteria S.aureus, S.typhimurium or S.enterica : infection promotes itaconate production, leading to alkylation, resulting in nuclear localization and transcription factor activity (PubMed : 35662396). Itaconate-mediated alkylation activates TFEB-dependent lysosomal biogenesis, facilitating the bacteria clearance during the antibacterial innate immune response (PubMed : 35662396). In association with ACSS2, promotes the expression of genes involved in lysosome biogenesis and both autophagy upon glucose deprivation (PubMed : 28552616).
See full target information TFEB

Publications (1)

Recent publications for all applications. Explore the full list and refine your search

Annals of translational medicine 10:1176 PubMed36467371

2022

Astragaloside IV ameliorates spinal cord injury through controlling ferroptosis in HO-damaged PC12 cells .

Applications

Unspecified application

Species

Unspecified reactive species

Yifei Zhou,Lin Li,Chenghuang Mao,Dongsheng Zhou
View all publications

Product promise

We are committed to supporting your work with high-quality reagents, and we're here for you every step of the way. In the unlikely event that one of our products does not perform as expected, you're protected by our Product Promise.
For full details, please see our Terms & Conditions

Please note: All products are 'FOR RESEARCH USE ONLY. NOT FOR USE IN DIAGNOSTIC OR THERAPEUTIC PROCEDURES'.

For licensing inquiries, please contact partnerships@abcam.com