JavaScript is disabled in your browser. Please enable JavaScript to view this website.
AB267351

Anti-TFEB antibody [EPR22941-6]

  • BOND RX™ Validated
  • Advanced Validation
  • RabMAb
  • Recombinant
  • KO Validated
  • 20ul selling size
  • What is this?

5

(1 Review)

|

(10 Publications)

Anti-TFEB antibody [EPR22941-6] (ab267351) is a rabbit monoclonal antibody detecting TFEB in Western Blot, Flow Cytometry (Intra), IP, IHC-P, ICC/IF, ChIC/CUT&RUN sequencing. Suitable for Human.

- KO validated for confirmed specificity
- Biophysical QC for unrivalled batch-batch consistency

View Alternative Names

BHLHE35, TFEB, Transcription factor EB, Class E basic helix-loop-helix protein 35, bHLHe35

15 Images
Immunocytochemistry/ Immunofluorescence - Anti-TFEB antibody [EPR22941-6] (AB267351)
  • ICC/IF

Unknown

Immunocytochemistry/ Immunofluorescence - Anti-TFEB antibody [EPR22941-6] (AB267351)

Immunofluorescent analysis of 100% Methanol-fixed Raji (human Burkitt's lymphoma B lymphocyte) cells labelling TFEB with ab267351 at 1/50 dilution, followed by ab150077 AlexaFluor®488 Goat anti-Rabbit secondary antibody at 1/1000 dilution (Green). Confocal image showing cytoplasmic staining in Raji cells. 100% methanol fixation is recommended. ab195889 Anti-alpha Tubulin antibody [DM1A] - Microtubule Marker (Alexa Fluor® 594) was used to counterstain tubulin at 1/200 dilution (Red). The Nuclear counterstain was DAPI (Blue).

Secondary antibody only control : Secondary antibody is ab150077 AlexaFluor®488 Goat anti-Rabbit secondary at 1/1000 dilution.

Immunohistochemistry (Formalin/PFA-fixed paraffin-embedded sections) - Anti-TFEB antibody [EPR22941-6] (AB267351)
  • IHC-P

Unknown

Immunohistochemistry (Formalin/PFA-fixed paraffin-embedded sections) - Anti-TFEB antibody [EPR22941-6] (AB267351)

Immunohistochemical analysis of paraffin-embedded Human breast cancer tissue labeling TFEB with ab267351 at 1/500 dilution (1.042ug/ml) followed by a ready to use Rabbit specific IHC polymer detection kit HRP/DAB (ab209101). Positive staining in human breast cancer (PMID : 28017540). The section was incubated with ab256492 for 15 mins at room temperature. The immunostaining was performed on a Leica Biosystems BOND®RX instrument. Counterstained with Hematoxylin.

Secondary antibody only control : Secondary antibody is a ready to use Rabbit specific IHC polymer detection kit HRP/DAB (ab209101).

Heat mediated antigen retrieval with Tris-EDTA buffer (pH 9.0, epitope retrieval solution 2) for 20 mins.

Flow Cytometry (Intracellular) - Anti-TFEB antibody [EPR22941-6] (AB267351)
  • Flow Cyt (Intra)

Unknown

Flow Cytometry (Intracellular) - Anti-TFEB antibody [EPR22941-6] (AB267351)

Intracellular flow cytometric analysis of 4% paraformaldehyde fixed, 90% methanol permeabilized IM-9 (human multiple myeloma B Lymphoblast) cells labelling TFEB with ab267351 at 1/500 dilution (Red) compared with a Rabbit monoclonal IgG (ab172730) (Black) isotype control and an unlabelled control (cells without incubation with primary antibody and secondary antibody) (Blue). A Goat anti rabbit IgG (Alexa Fluor® 488, ab150077) at 1/2000 dilution was used as the secondary antibody.

Immunohistochemistry (Formalin/PFA-fixed paraffin-embedded sections) - Anti-TFEB antibody [EPR22941-6] (AB267351)
  • IHC-P

Unknown

Immunohistochemistry (Formalin/PFA-fixed paraffin-embedded sections) - Anti-TFEB antibody [EPR22941-6] (AB267351)

Immunohistochemical analysis of paraffin-embedded Human lung cancer tissue labeling TFEB with ab267351 at 1/500 dilution (1.042ug/ml) followed by a ready to use Rabbit specific IHC polymer detection kit HRP/DAB (ab209101). Positive staining in human lung cancer (PMID : 26264650) The section was incubated with ab256492 for 15 mins at room temperature. The immunostaining was performed on a Leica Biosystems BOND® RX instrument. Counterstained with Hematoxylin.

Secondary antibody only control : Secondary antibody is a ready to use Rabbit specific IHC polymer detection kit HRP/DAB (ab209101).

Heat mediated antigen retrieval with Tris-EDTA buffer (pH 9.0, epitope retrieval solution 2) for 20 mins.

Immunocytochemistry/ Immunofluorescence - Anti-TFEB antibody [EPR22941-6] (AB267351)
  • ICC/IF

Unknown

Immunocytochemistry/ Immunofluorescence - Anti-TFEB antibody [EPR22941-6] (AB267351)

Immunofluorescent analysis of 100% Methanol-fixed IM-9 (human multiple myeloma B Lymphoblast) cells labelling TFEB with ab267351 at 1/50 dilution, followed by ab150077 AlexaFluor®488 Goat anti-Rabbit secondary antibody at 1/1000 dilution (Green). Confocal image showing cytoplasmic staining in IM-9 cells. 100% methanol fixation is recommended. ab195889 Anti-alpha Tubulin antibody [DM1A] - Microtubule Marker (Alexa Fluor® 594) was used to counterstain tubulin at 1/200 dilution (Red). The Nuclear counterstain was DAPI (Blue).

Secondary antibody only control : Secondary antibody is ab150077 AlexaFluor®488 Goat anti-Rabbit secondary at 1/1000 dilution.

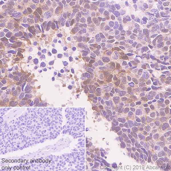
Immunohistochemistry (Formalin/PFA-fixed paraffin-embedded sections) - Anti-TFEB antibody [EPR22941-6] (AB267351)
  • IHC-P

Unknown

Immunohistochemistry (Formalin/PFA-fixed paraffin-embedded sections) - Anti-TFEB antibody [EPR22941-6] (AB267351)

Immunohistochemical analysis of paraffin-embedded Human colon tissue labeling TFEB with ab267351 at 1/500 dilution (1.042ug/ml) followed by a ready to use Rabbit specific IHC polymer detection kit HRP/DAB (ab209101). Positive staining human colon (PMID : 30519051). The section was incubated with ab256492 for 15 mins at room temperature. The immunostaining was performed on a Leica Biosystems BOND® RX instrument. Counterstained with Hematoxylin.

Secondary antibody only control : Secondary antibody is a ready to use Rabbit specific IHC polymer detection kit HRP/DAB (ab209101).

Heat mediated antigen retrieval with Tris-EDTA buffer (pH 9.0, epitope retrieval solution 2) for 20 mins.

Immunoprecipitation - Anti-TFEB antibody [EPR22941-6] (AB267351)
  • IP

Unknown

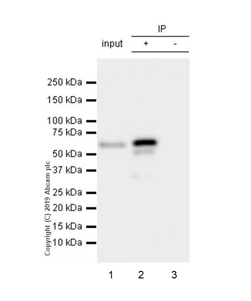
Immunoprecipitation - Anti-TFEB antibody [EPR22941-6] (AB267351)

TFEB was immunoprecipitated from 0.35 mg Raji (human Burkitt's lymphoma B lymphocyte) whole cell lysate with ab267351 at 1/30 dilution (2ug in 0.35mg lysates). Western blot was performed on the immunoprecipitate using ab267351 at 1/1000 dilution. VeriBlot for IP Detection Reagent (HRP) (ab131366) was used at 1/5000 dilution.

Lane 1 : Raji (human Burkitt's lymphoma B lymphocyte) whole cell lysate 10ug

Lane 2 : ab267351 IP in Raji whole cell lysate

Lane 3 : Rabbit monoclonal IgG (ab172730) instead of ab267351 in Raji whole cell lysate

Blocking and dilution buffer and concentration : 5% NFDM/TBST.

Exposure time : 15 seconds.

The weak band around 50kDa is one isoform of TFEB(PMID : 28993453).

All lanes:

Immunoprecipitation - Anti-TFEB antibody [EPR22941-6] (ab267351)

Predicted band size: 53 kDa

Observed band size: 66 kDa

false

Immunoprecipitation - Anti-TFEB antibody [EPR22941-6] (AB267351)
  • IP

Unknown

Immunoprecipitation - Anti-TFEB antibody [EPR22941-6] (AB267351)

TFEB was immunoprecipitated from 0.35 mg IM-9 (human multiple myeloma B Lymphoblast) whole cell lysate with ab267351 at 1/30 dilution (2ug in 0.35mg lysates). Western blot was performed on the immunoprecipitate using ab267351 at 1/1000 dilution. VeriBlot for IP Detection Reagent (HRP) (ab131366) was used at 1/5000 dilution.

Lane 1 : IM-9 (human multiple myeloma B Lymphoblast) whole cell lysate 10ug

Lane 2 : ab267351 IP in IM-9 whole cell lysate

Lane 3 : Rabbit monoclonal IgG (ab172730) instead of ab267351 in IM-9 whole cell lysate

Blocking and dilution buffer and concentration : 5% NFDM/TBST.

Exposure time : 2 min.

The weak band around 50kDa is one isoform of TFEB(PMID : 28993453).

All lanes:

Immunoprecipitation - Anti-TFEB antibody [EPR22941-6] (ab267351)

Predicted band size: 53 kDa

Observed band size: 66 kDa

false

Western blot - Anti-TFEB antibody [EPR22941-6] (AB267351)
  • WB

Supplier Data

Western blot - Anti-TFEB antibody [EPR22941-6] (AB267351)

Blocking and diluting buffer and concentration : 5% NFDM/TBST Low expression : MCF7. The lysates were freshly made and used for Western blotting immediately to minimize protein degradation. In Western blot, anti-TFEB antibody (ab267351) staining at 1/1000 dilution.Anti-GAPDH antibody (ab181602) loading control staining at 1/200000 dilution. Exposure time : 81 seconds

All lanes:

Western blot - Anti-TFEB (phospho S211) antibody [EPR27960-64] (<a href='/en-us/products/primary-antibodies/tfeb-phospho-s211-antibody-epr27960-64-ab310331'>ab310331</a>) at 1/1000 dilution

Lane 1:

Raji (human Burkitts lymphoma B lymphocyte) whole cell lysate (untreated membrane) at 20 µg

Lane 2:

MCF7 (human breast adenocarcinoma epithelial cell) whole cell lysate (untreated membrane) at 20 µg

Lane 3:

Raji (human Burkitts lymphoma B lymphocyte) whole cell lysate (phosphatase treated membrane) at 20 µg

Lane 4:

MCF7 (human breast adenocarcinoma epithelial cell) whole cell lysate (phosphatase treated membrane) at 20 µg

Secondary

All lanes:

Western blot - Goat Anti-Rabbit IgG H&L (HRP) (<a href='/en-us/products/secondary-antibodies/goat-rabbit-igg-h-l-hrp-ab97051'>ab97051</a>) at 1/20000 dilution

Observed band size: 70 kDa

false

Exposure time: 81s

Western blot - Anti-TFEB antibody [EPR22941-6] (AB267351)
  • WB

Unknown

Western blot - Anti-TFEB antibody [EPR22941-6] (AB267351)

Blocking and dilution buffer : 5% NFDM/TBST.

Exposure time : 3 minutes.

The molecular weight observed is consistent with what has been described in the literature (PMID : 30519051).

All lanes:

Western blot - Anti-TFEB antibody [EPR22941-6] (ab267351) at 1/1000 dilution

Lane 1:

Raji (human Burkitt's lymphoma B lymphocyte) whole cell lysate at 10 µg

Lane 2:

IM-9 (human multiple myeloma B Lymphoblast whole cell lysate at 10 µg

Secondary

All lanes:

Western blot - Goat Anti-Rabbit IgG H&L (HRP) (<a href='/en-us/products/secondary-antibodies/goat-rabbit-igg-h-l-hrp-ab97051'>ab97051</a>) at 1/50000 dilution

Predicted band size: 53 kDa

Observed band size: 66 kDa

false

Western blot - Anti-TFEB antibody [EPR22941-6] (AB267351)
  • WB

Lab

Western blot - Anti-TFEB antibody [EPR22941-6] (AB267351)

False colour image of Western blot : Anti-TFEB antibody [EPR22941-6] staining at 1/1000 dilution, shown in green; Mouse anti-GAPDH antibody [6C5] (ab8245) loading control staining at 1/20000 dilution, shown in red. In Western blot, ab267351 was shown to bind specifically to TFEB. A band was observed at 60 kDa in wild-type HepG2 cell lysates with no signal observed at this size in TFEB knockout cell line ab277871 (knockout cell lysate ab284220). To generate this image, wild-type and TFEB knockout HepG2 cell lysates were analysed. First, samples were run on an SDS-PAGE gel then transferred onto a nitrocellulose membrane. Membranes were blocked in 3 % milk in TBS-0.1 % Tween® 20 (TBS-T) before incubation with primary antibodies overnight at 4 °C. Blots were washed four times in TBS-T, incubated with secondary antibodies for 1 h at room temperature, washed again four times then imaged. Secondary antibodies used were Goat anti-Rabbit IgG H&L (IRDye® 800CW) preabsorbed (ab216773) and Goat anti-Mouse IgG H&L (IRDye® 680RD) preabsorbed (ab216776) at 1/20000 dilution.

All lanes:

Western blot - Anti-TFEB antibody [EPR22941-6] (ab267351) at 1/1000 dilution

Lane 1:

Wild-type HepG2 cell lysate at 20 µg

Lane 2:

TFEB knockout HepG2 cell lysate at 20 µg

Lane 2:

Western blot - Human TFEB knockout Hep G2 cell line (<a href='/en-us/products/cell-lines/human-tfeb-knockout-hep-g2-cell-line-ab277871'>ab277871</a>)

Lane 3:

Raji cell lysate at 20 µg

Lane 4:

MCF7 cell lysate at 20 µg

Predicted band size: 53 kDa

Observed band size: 60 kDa

false

Western blot - Anti-TFEB antibody [EPR22941-6] (AB267351)
  • WB

Supplier Data

Western blot - Anti-TFEB antibody [EPR22941-6] (AB267351)

Blocking and diluting buffer and concentration : 5% NFDM/TBST The expression of TFEB (phospho S211) is downregulated in response to Torin 1 treatment (PMID : 28055300). In Western blot, anti--TFEB antibody (ab267351) staining at 1/1000 dilution.Anti-GAPDH antibody (ab181602) loading control staining at 1/200000 dilution. Exposure time : 81 seconds

All lanes:

Western blot - Anti-TFEB (phospho S211) antibody [EPR27960-64] (<a href='/en-us/products/primary-antibodies/tfeb-phospho-s211-antibody-epr27960-64-ab310331'>ab310331</a>) at 1/1000 dilution

Lane 1:

Untreated Raji (human Burkitts lymphoma B lymphocyte) whole cell lysate at 20 µg

Lane 2:

Raji treated with 250 nM Torin 1 for 5 hours whole cell lysate at 20 µg

Secondary

All lanes:

Western blot - Goat Anti-Rabbit IgG H&L (HRP) (<a href='/en-us/products/secondary-antibodies/goat-rabbit-igg-h-l-hrp-ab97051'>ab97051</a>) at 1/20000 dilution

Observed band size: 70 kDa

false

Exposure time: 81s

ChIC/CUT&RUN sequencing - Anti-TFEB antibody [EPR22941-6] (AB267351)
  • ChIC/CUT&RUN-seq

Lab

ChIC/CUT&RUN sequencing - Anti-TFEB antibody [EPR22941-6] (AB267351)

ChIC/CUT&RUN was performed using a pAG-MNase at a final concentration of 700 ng/mL, 2.5 x 10^5 Raji (human Burkitt's lymphoma B lymphocyte) cells and 5 µg of ab267351 [EPR22941-6]. The resulting DNA was sequenced on the Illumina NovaSeq 6000 to a depth of 10 million reads. The negative IgG control ab172730 is also shown.
The University of Geneva owns patents relevant to ChIC (Chromatin Immuno-Cleavage) methods.

ChIC/CUT&RUN sequencing - Anti-TFEB antibody [EPR22941-6] (AB267351)
  • ChIC/CUT&RUN-seq

Lab

ChIC/CUT&RUN sequencing - Anti-TFEB antibody [EPR22941-6] (AB267351)

ChIC/CUT&RUN was performed using a pAG-MNase at a final concentration of 700 ng/mL, 2.5 x 10^5 Raji (human Burkitt's lymphoma B lymphocyte) cells and 5 µg of ab267351 [EPR22941-6]. The resulting DNA was sequenced on the Illumina NovaSeq 6000 to a depth of 10 million reads. The negative IgG control ab172730 is also shown.
The University of Geneva owns patents relevant to ChIC (Chromatin Immuno-Cleavage) methods.

ChIC/CUT&RUN sequencing - Anti-TFEB antibody [EPR22941-6] (AB267351)
  • ChIC/CUT&RUN-seq

Lab

ChIC/CUT&RUN sequencing - Anti-TFEB antibody [EPR22941-6] (AB267351)

ChIC/CUT&RUN was performed using a pAG-MNase at a final concentration of 700 ng/mL, 2.5 x 10^5 Raji (human Burkitt's lymphoma B lymphocyte) cells and 5 µg of ab267351 [EPR22941-6]. The resulting DNA was sequenced on the Illumina NovaSeq 6000 to a depth of 10 million reads. The negative IgG control ab172730 is also shown.
The University of Geneva owns patents relevant to ChIC (Chromatin Immuno-Cleavage) methods.

  • Carrier free

    Anti-TFEB antibody [EPR22941-6] - BSA and Azide free

  • Carrier free

    Anti-TFEB antibody [EPR22941-6] - BSA and Azide free (Detector)

Key facts

Host species

Rabbit

Clonality

Monoclonal

Clone number

EPR22941-6

Isotype

IgG

Carrier free

No

Reacts with

Human

Applications

ICC/IF, WB, Flow Cyt (Intra), ChIC/CUT&RUN-seq, IHC-P, IP

applications

Immunogen

The exact immunogen used to generate this antibody is proprietary information.

Reactivity data

{ "title": "Reactivity Data", "filters": { "stats": ["", "Species", "Dilution Info", "Notes"], "tabs": { "all-applications": {"fullname" : "All Applications", "shortname": "All Applications"}, "IP" : {"fullname" : "Immunoprecipitation", "shortname":"IP"}, "WB" : {"fullname" : "Western blot", "shortname":"WB"}, "ICCIF" : {"fullname" : "Immunocytochemistry/ Immunofluorescence", "shortname":"ICC/IF"}, "FlowCytIntra" : {"fullname" : "Flow Cytometry (Intracellular)", "shortname":"Flow Cyt (Intra)"}, "IHCP" : {"fullname" : "Immunohistochemistry (Formalin/PFA-fixed paraffin-embedded sections)", "shortname":"IHC-P"}, "ChICCUTRUNseq" : {"fullname" : "ChIC/CUT&RUN sequencing", "shortname":"ChIC/CUT&RUN-seq"} }, "product-promise": { "all": "all", "testedAndGuaranteed": "tested", "guaranteed": "expected", "predicted": "predicted", "notRecommended": "not-recommended" } }, "values": { "Human": { "IP-species-checked": "testedAndGuaranteed", "IP-species-dilution-info": "1/30", "IP-species-notes": "<p></p>", "WB-species-checked": "testedAndGuaranteed", "WB-species-dilution-info": "1/1000", "WB-species-notes": "<p></p>", "ICCIF-species-checked": "testedAndGuaranteed", "ICCIF-species-dilution-info": "1/50", "ICCIF-species-notes": "<p></p>", "FlowCytIntra-species-checked": "testedAndGuaranteed", "FlowCytIntra-species-dilution-info": "1/500", "FlowCytIntra-species-notes": "<p></p>", "IHCP-species-checked": "testedAndGuaranteed", "IHCP-species-dilution-info": "1/500", "IHCP-species-notes": "<p></p> Perform heat-mediated antigen retrieval with Tris/EDTA buffer pH 9.0 before commencing with IHC staining protocol.", "ChICCUTRUNseq-species-checked": "testedAndGuaranteed", "ChICCUTRUNseq-species-dilution-info": "", "ChICCUTRUNseq-species-notes": "<p></p>" }, "Mouse": { "IP-species-checked": "notRecommended", "IP-species-dilution-info": "", "IP-species-notes": "", "WB-species-checked": "notRecommended", "WB-species-dilution-info": "1/1000", "WB-species-notes": "<p></p>", "ICCIF-species-checked": "notRecommended", "ICCIF-species-dilution-info": "1/50", "ICCIF-species-notes": "<p></p>", "FlowCytIntra-species-checked": "notRecommended", "FlowCytIntra-species-dilution-info": "1/500", "FlowCytIntra-species-notes": "<p></p>", "IHCP-species-checked": "notRecommended", "IHCP-species-dilution-info": "", "IHCP-species-notes": "", "ChICCUTRUNseq-species-checked": "notRecommended", "ChICCUTRUNseq-species-dilution-info": "", "ChICCUTRUNseq-species-notes": "" } } }

Product details

What is this antibody validated in?
Anti-TFEB antibody [EPR22941-6] (ab267351) is a rabbit recombinant monoclonal antibody and is validated for use in Western Blot (WB), Flow Cytometry (Intra), Flow Cytometry (Flow Cyt), Immunoprecipitation (IP), Immunohistochemistry (IHC-P), Immunocytochemistry/immunofluorescence (ICC/IF) and ChIC/CUT&RUN sequencing in Human samples.

What is the molecular weight of TFEB?
Anti-TFEB [EPR22941-6] (ab267351) specifically detects a band for TFEB (UniProt: P19484) at a molecular weight of 53kDa.

Trial sizes available!
Test your antibody or perform pre-screening before committing to a larger quantity. Sold in 20µl. Discover our selection of trial-size antibodies.

Specificity confirmed
The specificity of Anti-TFEB antibody [EPR22941-6] (ab267351) has been confirmed by Western blot testing in TFEB Knockout HepG2 cell line, ab277871.

Other related products
We have a range of other formats of antibody clone [EPR22941-6] also available for your convenience: ab270604, Carrier free - ab270614, Alexa Fluor® 488 - ab282162, PE - ab282787, Alexa Fluor® 647 - ab283274, APC - ab283612, Alexa Fluor® 555 - ab320288, Alexa Fluor® 594 - ab320289, Alexa Fluor® 750 - ab321534, Carrier free - ab267342

Patented technology
Our RabMAb® technology is a patented hybridoma-based technology for making rabbit monoclonal antibodies. For details on our patents, please refer to RabMAb® patents.

What are the advantages of a recombinant monoclonal antibody?
This product is a recombinant monoclonal antibody, which offers several advantages including:

  • - High batch-to-batch consistency and reproducibility
  • - Improved sensitivity and specificity
  • - Long-term security of supply
  • - Animal-free batch production

For more information, read more on recombinant antibodies.

Properties and storage information

Form
Liquid
Purification technique
Affinity purification Protein A
Storage buffer
pH: 7.2 - 7.4 Preservative: 0.01% Sodium azide Constituents: PBS, 40% Glycerol (glycerin, glycerine), 0.05% BSA
Shipped at conditions
Blue Ice
Appropriate short-term storage duration
1-2 weeks
Appropriate short-term storage conditions
+4°C
Appropriate long-term storage conditions
-20°C
Aliquoting information
Upon delivery aliquot
Storage information
Avoid freeze / thaw cycle

Product protocols

For this product, it's our understanding that no specific protocols are required. You can visit:

Target data

Transcription factor that acts as a master regulator of lysosomal biogenesis, autophagy, lysosomal exocytosis, lipid catabolism, energy metabolism and immune response (PubMed : 21617040, PubMed : 22343943, PubMed : 22576015, PubMed : 22692423, PubMed : 25720963, PubMed : 30120233, PubMed : 31672913, PubMed : 32612235, PubMed : 32753672, PubMed : 35662396, PubMed : 36697823, PubMed : 36749723, PubMed : 37079666). Specifically recognizes and binds E-box sequences (5'-CANNTG-3'); efficient DNA-binding requires dimerization with itself or with another MiT/TFE family member such as TFE3 or MITF (PubMed : 1748288, PubMed : 19556463, PubMed : 29146937). Involved in the cellular response to amino acid availability by acting downstream of MTOR : in the presence of nutrients, TFEB phosphorylation by MTOR promotes its cytosolic retention and subsequent inactivation (PubMed : 21617040, PubMed : 22343943, PubMed : 22576015, PubMed : 22692423, PubMed : 25720963, PubMed : 32612235, PubMed : 32753672, PubMed : 35662396, PubMed : 36697823). Upon starvation or lysosomal stress, inhibition of MTOR induces TFEB dephosphorylation, resulting in nuclear localization and transcription factor activity (PubMed : 22343943, PubMed : 22576015, PubMed : 22692423, PubMed : 25720963, PubMed : 32612235, PubMed : 32753672, PubMed : 35662396, PubMed : 36697823). Specifically recognizes and binds the CLEAR-box sequence (5'-GTCACGTGAC-3') present in the regulatory region of many lysosomal genes, leading to activate their expression, thereby playing a central role in expression of lysosomal genes (PubMed : 19556463, PubMed : 22692423). Regulates lysosomal positioning in response to nutrient deprivation by promoting the expression of PIP4P1 (PubMed : 29146937). Acts as a positive regulator of autophagy by promoting expression of genes involved in autophagy (PubMed : 21617040, PubMed : 22576015, PubMed : 23434374, PubMed : 27278822). In association with TFE3, activates the expression of CD40L in T-cells, thereby playing a role in T-cell-dependent antibody responses in activated CD4(+) T-cells and thymus-dependent humoral immunity (By similarity). Specifically recognizes the gamma-E3 box, a subset of E-boxes, present in the heavy-chain immunoglobulin enhancer (PubMed : 2115126). Plays a role in the signal transduction processes required for normal vascularization of the placenta (By similarity). Involved in the immune response to infection by the bacteria S.aureus, S.typhimurium or S.enterica : infection promotes itaconate production, leading to alkylation, resulting in nuclear localization and transcription factor activity (PubMed : 35662396). Itaconate-mediated alkylation activates TFEB-dependent lysosomal biogenesis, facilitating the bacteria clearance during the antibacterial innate immune response (PubMed : 35662396). In association with ACSS2, promotes the expression of genes involved in lysosome biogenesis and both autophagy upon glucose deprivation (PubMed : 28552616).
See full target information TFEB

Publications (10)

Recent publications for all applications. Explore the full list and refine your search

British journal of pharmacology 182:2310-2331 PubMed40038493

2025

7 I, a structurally modified sinomenine, exerts dual anti-GBM effects by inhibiting glioblastoma proliferation and inducing necroptosis which further mediates lysosomal cell death.

Applications

Unspecified application

Species

Unspecified reactive species

Hong Yang,Bin Jiang,Wan Li,Guanhua Du,Fang Xu,Yizhi Zhang,Yihui Yang,Sen Zhang,Wanxin Cao,Xiaoxue Li,Xu Zhang,Tengfei Ji,Jinhua Wang

Scientific reports 15:4902 PubMed39929852

2025

ESM1 promote proliferation, invasion and angiogenesis via Akt/mTOR and Ras pathway in kidney renal clear cell carcinoma.

Applications

Unspecified application

Species

Unspecified reactive species

Jianjun Luo,Ting Yi,Yong Wang,Wei Song,Zhiyong Gao,Jiansong Wang,Yukun Li

Journal of medical virology 96:e29906 PubMed39262090

2024

Broad-spectrum antiviral effect of MoringaA-loaded exosomes against IAV by mediating the GCN5-TFEB-autolysosome pathway.

Applications

Unspecified application

Species

Unspecified reactive species

Chunmei Lv,Ruidong Li,Dandan Yang,Shunqiang Song,Xu Cheng,Tingting Chen,Lei Chen,Yongai Xiong

Journal of advanced research 62:257-272 PubMed37689240

2023

β-Elemene induced ferroptosis via TFEB-mediated GPX4 degradation in EGFR wide-type non-small cell lung cancer.

Applications

Unspecified application

Species

Unspecified reactive species

Li-Ping Zhao,Hao-Jie Wang,Die Hu,Jun-Hu Hu,Zheng-Rong Guan,Li-Hua Yu,Ya-Ping Jiang,Xiao-Qi Tang,Zhao-Huang Zhou,Tian Xie,Jian-Shu Lou

International journal of molecular sciences 24: PubMed37569278

2023

Dysregulation of Histone Deacetylases Inhibits Trophoblast Growth during Early Placental Development Partially through TFEB-Dependent Autophagy-Lysosomal Pathway.

Applications

Unspecified application

Species

Unspecified reactive species

Peixin Wang,Chenqiong Zhao,Hanjing Zhou,Xiaona Huang,Hanqi Ying,Songying Zhang,Yibin Pan,Haiyan Zhu

Oncology research 31:345-359 PubMed37305393

2023

Mechanism of NURP1 in temozolomide resistance in hypoxia-treated glioma cells via the KDM3A/TFEB axis.

Applications

Unspecified application

Species

Unspecified reactive species

Tao Li,Xin Fu,Jie Wang,Wei Shang,Xiaotong Wang,Linyun Zhang,Jun Li

Acta biochimica et biophysica Sinica 55:1184-1192 PubMed37021975

2023

Homocysteine accelerates hepatocyte autophagy by upregulating TFEB via DNMT3b-mediated DNA hypomethylation.

Applications

Unspecified application

Species

Unspecified reactive species

Anning Yang,Wen Zeng,Hongwen Zhang,Yinju Hao,Qingqing Wang,Yue Sun,Shangkun Quan,Ning Ding,Xiaoling Yang,Jianmin Sun,Huiping Zhang,Bin Liu,Yun Jiao,Kai Wu,Yideng Jiang

Frontiers in immunology 14:1089905 PubMed36820088

2023

ZLN005 improves the survival of polymicrobial sepsis by increasing the bacterial killing inducing lysosomal acidification and biogenesis in phagocytes.

Applications

Unspecified application

Species

Unspecified reactive species

Yosuke Suzuki,Daisuke Kami,Toshihiko Taya,Arata Sano,Takehiro Ogata,Satoaki Matoba,Satoshi Gojo

Journal of nanobiotechnology 20:125 PubMed35264192

2022

Ceria-Zirconia nanoparticles reduce intracellular globotriaosylceramide accumulation and attenuate kidney injury by enhancing the autophagy flux in cellular and animal models of Fabry disease.

Applications

Unspecified application

Species

Unspecified reactive species

Jong Hun An,Sang-Eun Hong,Seong-Lan Yu,Jaeku Kang,Chang Gyo Park,Hoi Young Lee,Sung-Ki Lee,Dong Chul Lee,Hwan-Woo Park,Won-Min Hwang,Sung-Ro Yun,Yohan Park,Moon Hyang Park,Kuk Ro Yoon,Se-Hee Yoon

Acta pharmaceutica Sinica. B 11:3178-3192 PubMed34729308

2021

Cholesterol-associated lysosomal disorder triggers cell death of hematological malignancy: Dynamic analysis on cytotoxic effects of LW-218.

Applications

Unspecified application

Species

Unspecified reactive species

Po Hu,Hui Li,Wenzhuo Sun,Hongzheng Wang,Xiaoxuan Yu,Yingjie Qing,Zhanyu Wang,Mengyuan Zhu,Jingyan Xu,Qinglong Guo,Hui Hui
View all publications

Product promise

We are committed to supporting your work with high-quality reagents, and we're here for you every step of the way. In the unlikely event that one of our products does not perform as expected, you're protected by our Product Promise.
For full details, please see our Terms & Conditions

Please note: All products are 'FOR RESEARCH USE ONLY. NOT FOR USE IN DIAGNOSTIC OR THERAPEUTIC PROCEDURES'.

For licensing inquiries, please contact partnerships@abcam.com