JavaScript is disabled in your browser. Please enable JavaScript to view this website.
AB310331

Anti-TFEB (phospho S211) antibody [EPR27960-64]

Be the first to review this product! Submit a review

|

(0 Publication)

Rabbit Recombinant Monoclonal TFEB phospho S211 antibody. Suitable for Dot, WB, IP and reacts with Synthetic peptide, Human samples.

View Alternative Names

BHLHE35, TFEB, Transcription factor EB, Class E basic helix-loop-helix protein 35, bHLHe35

4 Images
Immunoprecipitation - Anti-TFEB (phospho S211) antibody [EPR27960-64] (AB310331)
  • IP

Supplier Data

Immunoprecipitation - Anti-TFEB (phospho S211) antibody [EPR27960-64] (AB310331)

TFEB (phospho S211) was immunoprecipitated from 0.35 mg Raji (human burkitt's lymphoma b lymphocyte) whole cell lysate with ab310331 at 1/30 dilution (2ug in 0.35mg lysates). Western blot was performed on the immunoprecipitate using ab310331 at 1/1000 dilution. VeriBlot for IP secondary antibody(HRP)(ab131366) was used at 1/5000 dilution. Lane 1 : Raji (human burkitt's lymphoma b lymphocyte) whole cell lysate Lane 2 : ab310331 IP in Raji (human burkitt's lymphoma b lymphocyte) whole cell lysate Lane 3 : Rabbit monoclonal IgG (ab172730) instead of ab310331 in Raji whole cell lysate Blocking and dilution buffer and concentration : 5% NFDM/TBST. Exposure time : 24 seconds Lysate was freshly made and used for Western blotting immediately to minimize protein degradation.

All lanes:

Immunoprecipitation - Anti-TFEB (phospho S211) antibody [EPR27960-64] (ab310331) at 1/30 dilution

All lanes:

Raji (human burkitt's lymphoma b lymphocyte) whole cell lysate

Secondary

All lanes:

Immunoprecipitation - VeriBlot for IP Detection Reagent (HRP) (<a href='/en-us/products/reagents/veriblot-for-ip-detection-reagent-hrp-ab131366'>ab131366</a>) at 1/5000 dilution

false

Exposure time: 24s

Western blot - Anti-TFEB (phospho S211) antibody [EPR27960-64] (AB310331)
  • WB

Supplier Data

Western blot - Anti-TFEB (phospho S211) antibody [EPR27960-64] (AB310331)

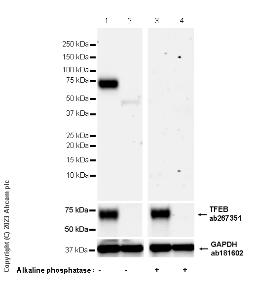
Blocking and diluting buffer and concentration : 5% NFDM/TBST Low expression : MCF7. The lysates were freshly made and used for Western blotting immediately to minimize protein degradation. In Western blot, anti-TFEB antibody (ab267351) staining at 1/1000 dilution.Anti-GAPDH antibody (ab181602) loading control staining at 1/200000 dilution. Exposure time : 81 seconds

All lanes:

Western blot - Anti-TFEB (phospho S211) antibody [EPR27960-64] (ab310331) at 1/1000 dilution

Lane 1:

Raji (human Burkitts lymphoma B lymphocyte) whole cell lysate (untreated membrane) at 20 µg

Lane 2:

MCF7 (human breast adenocarcinoma epithelial cell) whole cell lysate (untreated membrane) at 20 µg

Lane 3:

Raji (human Burkitts lymphoma B lymphocyte) whole cell lysate (phosphatase treated membrane) at 20 µg

Lane 4:

MCF7 (human breast adenocarcinoma epithelial cell) whole cell lysate (phosphatase treated membrane) at 20 µg

Secondary

All lanes:

Western blot - Goat Anti-Rabbit IgG H&L (HRP) (<a href='/en-us/products/secondary-antibodies/goat-rabbit-igg-h-l-hrp-ab97051'>ab97051</a>) at 1/20000 dilution

Observed band size: 70 kDa

false

Exposure time: 81s

Western blot - Anti-TFEB (phospho S211) antibody [EPR27960-64] (AB310331)
  • WB

Supplier Data

Western blot - Anti-TFEB (phospho S211) antibody [EPR27960-64] (AB310331)

Blocking and diluting buffer and concentration : 5% NFDM/TBST The expression of TFEB (phospho S211) is downregulated in response to Torin 1 treatment (PMID : 28055300). In Western blot, anti--TFEB antibody (ab267351) staining at 1/1000 dilution.Anti-GAPDH antibody (ab181602) loading control staining at 1/200000 dilution. Exposure time : 81 seconds

All lanes:

Western blot - Anti-TFEB (phospho S211) antibody [EPR27960-64] (ab310331) at 1/1000 dilution

Lane 1:

Untreated Raji (human Burkitts lymphoma B lymphocyte) whole cell lysate at 20 µg

Lane 2:

Raji treated with 250 nM Torin 1 for 5 hours whole cell lysate at 20 µg

Secondary

All lanes:

Western blot - Goat Anti-Rabbit IgG H&L (HRP) (<a href='/en-us/products/secondary-antibodies/goat-rabbit-igg-h-l-hrp-ab97051'>ab97051</a>) at 1/20000 dilution

Observed band size: 70 kDa

false

Exposure time: 81s

Dot Blot - Anti-TFEB (phospho S211) antibody [EPR27960-64] (AB310331)
  • Dot

Supplier Data

Dot Blot - Anti-TFEB (phospho S211) antibody [EPR27960-64] (AB310331)

Dot blot analysis of TFEB (phospho S211) using ab310331 at 1 : 1000 (0.499 ug/ml) followed by a Goat Anti-Rabbit IgG, (H+L), Peroxidase conjugated (ab97051) at 1 : 100,000 dilution. Lane 1 : TFEB phospho (S211) peptide Lane 2 : TFEB non-phospho peptide Exposure time : 15 seconds Blocking and diluting buffer and concentration : 5% NFDM/TBST

  • Carrier free

    Anti-TFEB (phospho S211) antibody [EPR27960-64] - BSA and Azide free

  • Carrier free

    Anti-TFEB (phospho S211) antibody [EPR27960-64] - BSA and Azide free (Capture)

Key facts

Host species

Rabbit

Clonality

Monoclonal

Clone number

EPR27960-64

Isotype

IgG

Carrier free

No

Reacts with

Human

Applications

Dot, WB, IP

applications

Immunogen

The exact immunogen used to generate this antibody is proprietary information.

Reactivity data

{ "title": "Reactivity Data", "filters": { "stats": ["", "Species", "Dilution Info", "Notes"], "tabs": { "all-applications": {"fullname" : "All Applications", "shortname": "All Applications"}, "Dot" : {"fullname" : "Dot Blot", "shortname":"Dot"}, "WB" : {"fullname" : "Western blot", "shortname":"WB"}, "IP" : {"fullname" : "Immunoprecipitation", "shortname":"IP"}, "IHCP" : {"fullname" : "Immunohistochemistry (Formalin/PFA-fixed paraffin-embedded sections)", "shortname":"IHC-P"}, "ICCIF" : {"fullname" : "Immunocytochemistry/ Immunofluorescence", "shortname":"ICC/IF"}, "FlowCytIntra" : {"fullname" : "Flow Cytometry (Intracellular)", "shortname":"Flow Cyt (Intra)"} }, "product-promise": { "all": "all", "testedAndGuaranteed": "tested", "guaranteed": "expected", "predicted": "predicted", "notRecommended": "not-recommended" } }, "values": { "Human": { "Dot-species-checked": "guaranteed", "Dot-species-dilution-info": "", "Dot-species-notes": "", "WB-species-checked": "testedAndGuaranteed", "WB-species-dilution-info": "1/1000", "WB-species-notes": "<p></p>", "IP-species-checked": "testedAndGuaranteed", "IP-species-dilution-info": "1/30", "IP-species-notes": "<p></p>", "IHCP-species-checked": "notRecommended", "IHCP-species-dilution-info": "", "IHCP-species-notes": "<p></p>", "ICCIF-species-checked": "notRecommended", "ICCIF-species-dilution-info": "", "ICCIF-species-notes": "<p></p>", "FlowCytIntra-species-checked": "notRecommended", "FlowCytIntra-species-dilution-info": "", "FlowCytIntra-species-notes": "<p></p>" }, "Mouse": { "Dot-species-checked": "notRecommended", "Dot-species-dilution-info": "", "Dot-species-notes": "", "WB-species-checked": "notRecommended", "WB-species-dilution-info": "", "WB-species-notes": "<p></p>", "IP-species-checked": "notRecommended", "IP-species-dilution-info": "", "IP-species-notes": "", "IHCP-species-checked": "notRecommended", "IHCP-species-dilution-info": "", "IHCP-species-notes": "<p></p>", "ICCIF-species-checked": "notRecommended", "ICCIF-species-dilution-info": "", "ICCIF-species-notes": "<p></p>", "FlowCytIntra-species-checked": "notRecommended", "FlowCytIntra-species-dilution-info": "", "FlowCytIntra-species-notes": "<p></p>" }, "Rat": { "Dot-species-checked": "notRecommended", "Dot-species-dilution-info": "", "Dot-species-notes": "", "WB-species-checked": "notRecommended", "WB-species-dilution-info": "", "WB-species-notes": "<p></p>", "IP-species-checked": "notRecommended", "IP-species-dilution-info": "", "IP-species-notes": "", "IHCP-species-checked": "notRecommended", "IHCP-species-dilution-info": "", "IHCP-species-notes": "<p></p>", "ICCIF-species-checked": "notRecommended", "ICCIF-species-dilution-info": "", "ICCIF-species-notes": "", "FlowCytIntra-species-checked": "notRecommended", "FlowCytIntra-species-dilution-info": "", "FlowCytIntra-species-notes": "" }, "Synthetic peptide": { "Dot-species-checked": "testedAndGuaranteed", "Dot-species-dilution-info": "1/1000", "Dot-species-notes": "<p></p>", "WB-species-checked": "notRecommended", "WB-species-dilution-info": "", "WB-species-notes": "", "IP-species-checked": "notRecommended", "IP-species-dilution-info": "", "IP-species-notes": "", "IHCP-species-checked": "notRecommended", "IHCP-species-dilution-info": "", "IHCP-species-notes": "", "ICCIF-species-checked": "notRecommended", "ICCIF-species-dilution-info": "", "ICCIF-species-notes": "", "FlowCytIntra-species-checked": "notRecommended", "FlowCytIntra-species-dilution-info": "", "FlowCytIntra-species-notes": "" } } }

Product details

Patented technology
Our RabMAb® technology is a patented hybridoma-based technology for making rabbit monoclonal antibodies. For details on our patents, please refer to RabMAb® patents.

What are the advantages of a recombinant monoclonal antibody?
This product is a recombinant monoclonal antibody, which offers several advantages including:

  • - High batch-to-batch consistency and reproducibility
  • - Improved sensitivity and specificity
  • - Long-term security of supply
  • - Animal-free batch production

For more information, read more on recombinant antibodies.

Properties and storage information

Form
Liquid
Purification technique
Affinity purification Protein A
Storage buffer
pH: 7.2 - 7.4 Preservative: 0.01% Sodium azide Constituents: PBS, 40% Glycerol (glycerin, glycerine), 0.05% BSA
Shipped at conditions
Blue Ice
Appropriate short-term storage duration
1-2 weeks
Appropriate short-term storage conditions
+4°C
Appropriate long-term storage conditions
-20°C
Aliquoting information
Upon delivery aliquot
Storage information
Avoid freeze / thaw cycle

Product protocols

For this product, it's our understanding that no specific protocols are required. You can visit:

Target data

Transcription factor that acts as a master regulator of lysosomal biogenesis, autophagy, lysosomal exocytosis, lipid catabolism, energy metabolism and immune response (PubMed : 21617040, PubMed : 22343943, PubMed : 22576015, PubMed : 22692423, PubMed : 25720963, PubMed : 30120233, PubMed : 31672913, PubMed : 32612235, PubMed : 32753672, PubMed : 35662396, PubMed : 36697823, PubMed : 36749723, PubMed : 37079666). Specifically recognizes and binds E-box sequences (5'-CANNTG-3'); efficient DNA-binding requires dimerization with itself or with another MiT/TFE family member such as TFE3 or MITF (PubMed : 1748288, PubMed : 19556463, PubMed : 29146937). Involved in the cellular response to amino acid availability by acting downstream of MTOR : in the presence of nutrients, TFEB phosphorylation by MTOR promotes its cytosolic retention and subsequent inactivation (PubMed : 21617040, PubMed : 22343943, PubMed : 22576015, PubMed : 22692423, PubMed : 25720963, PubMed : 32612235, PubMed : 32753672, PubMed : 35662396, PubMed : 36697823). Upon starvation or lysosomal stress, inhibition of MTOR induces TFEB dephosphorylation, resulting in nuclear localization and transcription factor activity (PubMed : 22343943, PubMed : 22576015, PubMed : 22692423, PubMed : 25720963, PubMed : 32612235, PubMed : 32753672, PubMed : 35662396, PubMed : 36697823). Specifically recognizes and binds the CLEAR-box sequence (5'-GTCACGTGAC-3') present in the regulatory region of many lysosomal genes, leading to activate their expression, thereby playing a central role in expression of lysosomal genes (PubMed : 19556463, PubMed : 22692423). Regulates lysosomal positioning in response to nutrient deprivation by promoting the expression of PIP4P1 (PubMed : 29146937). Acts as a positive regulator of autophagy by promoting expression of genes involved in autophagy (PubMed : 21617040, PubMed : 22576015, PubMed : 23434374, PubMed : 27278822). In association with TFE3, activates the expression of CD40L in T-cells, thereby playing a role in T-cell-dependent antibody responses in activated CD4(+) T-cells and thymus-dependent humoral immunity (By similarity). Specifically recognizes the gamma-E3 box, a subset of E-boxes, present in the heavy-chain immunoglobulin enhancer (PubMed : 2115126). Plays a role in the signal transduction processes required for normal vascularization of the placenta (By similarity). Involved in the immune response to infection by the bacteria S.aureus, S.typhimurium or S.enterica : infection promotes itaconate production, leading to alkylation, resulting in nuclear localization and transcription factor activity (PubMed : 35662396). Itaconate-mediated alkylation activates TFEB-dependent lysosomal biogenesis, facilitating the bacteria clearance during the antibacterial innate immune response (PubMed : 35662396). In association with ACSS2, promotes the expression of genes involved in lysosome biogenesis and both autophagy upon glucose deprivation (PubMed : 28552616).
See full target information TFEB phospho S211

Product promise

We are committed to supporting your work with high-quality reagents, and we're here for you every step of the way. In the unlikely event that one of our products does not perform as expected, you're protected by our Product Promise.
For full details, please see our Terms & Conditions

Please note: All products are 'FOR RESEARCH USE ONLY. NOT FOR USE IN DIAGNOSTIC OR THERAPEUTIC PROCEDURES'.

For licensing inquiries, please contact partnerships@abcam.com