JavaScript is disabled in your browser. Please enable JavaScript to view this website.
AB267474

Anti-TFF2 antibody [EPR23231-208]

Be the first to review this product! Submit a review

|

(2 Publications)

Rabbit Recombinant Monoclonal TFF2 antibody. Suitable for IP, WB, IHC-P and reacts with Human samples. Cited in 2 publications.

View Alternative Names

SML1, TFF2, Trefoil factor 2, Spasmolysin, Spasmolytic polypeptide, SP

4 Images
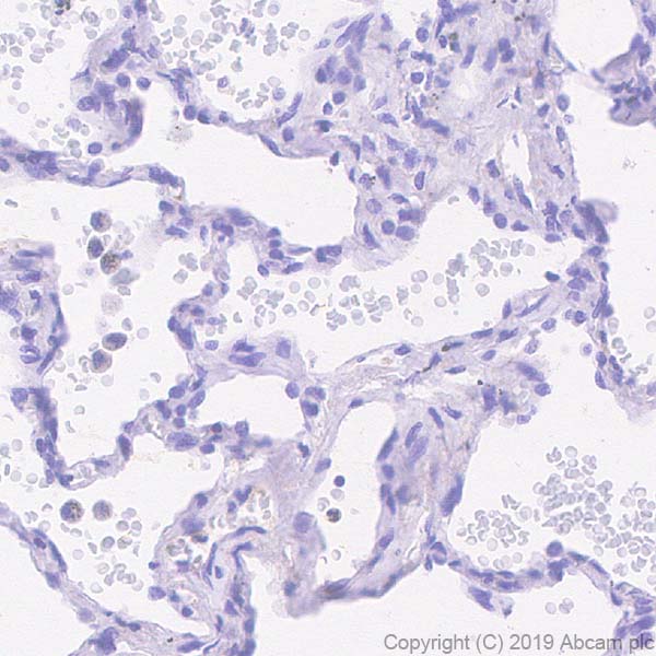
Immunohistochemistry (Formalin/PFA-fixed paraffin-embedded sections) - Anti-TFF2 antibody [EPR23231-208] (AB267474)
  • IHC-P

Unknown

Immunohistochemistry (Formalin/PFA-fixed paraffin-embedded sections) - Anti-TFF2 antibody [EPR23231-208] (AB267474)

Immunohistochemical analysis of paraffin-embedded Human lung tissue labeling TFF2 with ab267474 at 1/100 dilution followed by a ready to use Rabbit specific IHC polymer detection kit HRP/DAB (ab209101). Negative control : No staining on human lung (PMID : 17242463). The section was incubated with ab267474 for 30 mins at RT. The immunostaining staining was performed on a Leica Biosystems BOND® RX instrument. Counterstained with Hematoxylin.

Secondary antibody only control : Secondary antibody is a ready to use Rabbit specific IHC polymer detection kit HRP/DAB (ab209101).

Heat mediated antigen retrieval with Tris-EDTA buffer (pH 9.0, epitope retrieval solution 2) for 20 mins.

Immunohistochemistry (Formalin/PFA-fixed paraffin-embedded sections) - Anti-TFF2 antibody [EPR23231-208] (AB267474)
  • IHC-P

Unknown

Immunohistochemistry (Formalin/PFA-fixed paraffin-embedded sections) - Anti-TFF2 antibody [EPR23231-208] (AB267474)

Immunohistochemical analysis of paraffin-embedded Human stomach tissue labeling TFF2 with ab267474 at 1/2000 dilution followed by a ready to use Rabbit specific IHC polymer detection kit HRP/DAB (ab209101). Positive staining on human stomach (PMID : 17242463) The section was incubated with ab267474 for 30 mins at RT. The immunostaining staining was performed on a Leica Biosystems BOND® RX instrument. Counterstained with Hematoxylin.

Secondary antibody only control : Secondary antibody is a ready to use Rabbit specific IHC polymer detection kit HRP/DAB (ab209101).

Heat mediated antigen retrieval with Tris-EDTA buffer (pH 9.0, epitope retrieval solution 2) for 20 mins.

Immunoprecipitation - Anti-TFF2 antibody [EPR23231-208] (AB267474)
  • IP

Unknown

Immunoprecipitation - Anti-TFF2 antibody [EPR23231-208] (AB267474)

TFF2 was immunoprecipitated from 0.35 mg Human stomach lysate with ab267474 at 1/30 dilution (2ug in 0.35mg lysates). Western blot was performed on the immunoprecipitate using ab267474 at 1/500 dilution. VeriBlot for IP Detection Reagent (HRP) (ab131366) was used at 1/1000 dilution.

Lane 1 : Human stomach lysate 10ug

Lane 2 : ab267474 IP in Human stomach lysate

Lane 3 : Rabbit monoclonal IgG (ab172730) instead of ab267474 in Human stomach lysate

Blocking and dilution buffer and concentration : 5% NFDM/TBST.

Exposure time : 3 seconds

TFF2 is a glycoprotein. The 24 kDa band is likely to be a higher glycosylated TFF2. (PMID : 10716671)

All lanes:

Immunoprecipitation - Anti-TFF2 antibody [EPR23231-208] (ab267474)

Predicted band size: 14 kDa

false

Western blot - Anti-TFF2 antibody [EPR23231-208] (AB267474)
  • WB

Lab

Western blot - Anti-TFF2 antibody [EPR23231-208] (AB267474)

Blocking and diluting buffer and concentration : 5% NFDM/TBST

TFF2 is a glycoprotein. The molecular weight observed is consistent with what has been described in the literature (PMID : 10716671)

Negative Control : Human heart (PMID : 10452549)

Exposure time : 37 seconds

All lanes:

Western blot - Anti-TFF2 antibody [EPR23231-208] (ab267474) at 1/1000 dilution

Lane 1:

Human stomach tissue lysate at 20 µg

Lane 2:

Human heart tissue lysate at 20 µg

Secondary

All lanes:

Western blot - VeriBlot for IP Detection Reagent (HRP) (<a href='/en-us/products/reagents/veriblot-for-ip-detection-reagent-hrp-ab131366'>ab131366</a>) at 1/1000 dilution

Predicted band size: 14 kDa

Observed band size: 17 kDa

false

  • Carrier free

    Anti-TFF2 antibody [EPR23231-208] - BSA and Azide free

  • Carrier free

    Anti-TFF2 antibody [EPR23231-208] - BSA and Azide free (Capture)

Key facts

Host species

Rabbit

Clonality

Monoclonal

Clone number

EPR23231-208

Isotype

IgG

Carrier free

No

Reacts with

Human

Applications

IHC-P, IP, WB

applications

Immunogen

The exact immunogen used to generate this antibody is proprietary information.

Reactivity data

{ "title": "Reactivity Data", "filters": { "stats": ["", "Species", "Dilution Info", "Notes"], "tabs": { "all-applications": {"fullname" : "All Applications", "shortname": "All Applications"}, "FlowCyt" : {"fullname" : "Flow Cytometry", "shortname":"Flow Cyt"}, "IP" : {"fullname" : "Immunoprecipitation", "shortname":"IP"}, "WB" : {"fullname" : "Western blot", "shortname":"WB"}, "IHCP" : {"fullname" : "Immunohistochemistry (Formalin/PFA-fixed paraffin-embedded sections)", "shortname":"IHC-P"} }, "product-promise": { "all": "all", "testedAndGuaranteed": "tested", "guaranteed": "expected", "predicted": "predicted", "notRecommended": "not-recommended" } }, "values": { "Human": { "FlowCyt-species-checked": "notRecommended", "FlowCyt-species-dilution-info": "", "FlowCyt-species-notes": "<p></p>", "IP-species-checked": "testedAndGuaranteed", "IP-species-dilution-info": "1/30", "IP-species-notes": "<p></p>", "WB-species-checked": "testedAndGuaranteed", "WB-species-dilution-info": "1/1000", "WB-species-notes": "<p></p>", "IHCP-species-checked": "testedAndGuaranteed", "IHCP-species-dilution-info": "1/2000", "IHCP-species-notes": "<p></p>" }, "Mouse": { "FlowCyt-species-checked": "notRecommended", "FlowCyt-species-dilution-info": "", "FlowCyt-species-notes": "", "IP-species-checked": "notRecommended", "IP-species-dilution-info": "", "IP-species-notes": "", "WB-species-checked": "notRecommended", "WB-species-dilution-info": "1/1000", "WB-species-notes": "<p></p>", "IHCP-species-checked": "notRecommended", "IHCP-species-dilution-info": "1/2000", "IHCP-species-notes": "<p></p>" }, "Rat": { "FlowCyt-species-checked": "notRecommended", "FlowCyt-species-dilution-info": "", "FlowCyt-species-notes": "", "IP-species-checked": "notRecommended", "IP-species-dilution-info": "", "IP-species-notes": "", "WB-species-checked": "notRecommended", "WB-species-dilution-info": "1/1000", "WB-species-notes": "<p></p>", "IHCP-species-checked": "notRecommended", "IHCP-species-dilution-info": "1/2000", "IHCP-species-notes": "<p></p>" } } }

Product details

Patented technology
Our RabMAb® technology is a patented hybridoma-based technology for making rabbit monoclonal antibodies. For details on our patents, please refer to RabMAb® patents.

Properties and storage information

Form
Liquid
Purification technique
Affinity purification Protein A
Storage buffer
pH: 7.2 - 7.4 Preservative: 0.01% Sodium azide Constituents: PBS, 40% Glycerol (glycerin, glycerine), 0.05% BSA
Shipped at conditions
Blue Ice
Appropriate short-term storage duration
1-2 weeks
Appropriate short-term storage conditions
+4°C
Appropriate long-term storage conditions
-20°C
Aliquoting information
Upon delivery aliquot
Storage information
Avoid freeze / thaw cycle

Product protocols

For this product, it's our understanding that no specific protocols are required. You can visit:

Target data

Inhibits gastrointestinal motility and gastric acid secretion. Could function as a structural component of gastric mucus, possibly by stabilizing glycoproteins in the mucus gel through interactions with carbohydrate side chains (By similarity).
See full target information TFF2

Publications (2)

Recent publications for all applications. Explore the full list and refine your search

International journal of nanomedicine 20:6929-6948 PubMed40458745

2025

Proteomic Landscape of Small Extracellular Vesicles Derived From Gastric Juice and Identified TFF2 as a Specific Biomarker.

Applications

Unspecified application

Species

Unspecified reactive species

Ruiling Fan,Kaiwen Wu,Jingwei Yang,Binjun Zhu,Tao Jiang,Yu Liu,Bin Yuan,Lüye Liu,Yueshan Sun,Xiaobin Sun,Liu Liu,Wencai Luo,Chunyang Zhou,Yuanbiao Guo,Lei Liu

Cell reports. Medicine 4:101277 PubMed37944531

2023

Personalized drug screening in patient-derived organoids of biliary tract cancer and its clinical application.

Applications

Unspecified application

Species

Unspecified reactive species

Xiaoxue Ren,Mingle Huang,Weixiang Weng,Yubin Xie,Yifan Wu,Shenghua Zhu,Ying Zhang,Dongming Li,Jiaming Lai,Shunli Shen,Jie Lin,Ming Kuang,Xiaoxing Li,Jun Yu,Lixia Xu
View all publications

Product promise

We are committed to supporting your work with high-quality reagents, and we're here for you every step of the way. In the unlikely event that one of our products does not perform as expected, you're protected by our Product Promise.
For full details, please see our Terms & Conditions

Please note: All products are 'FOR RESEARCH USE ONLY. NOT FOR USE IN DIAGNOSTIC OR THERAPEUTIC PROCEDURES'.

For licensing inquiries, please contact partnerships@abcam.com