JavaScript is disabled in your browser. Please enable JavaScript to view this website.
AB134133

Anti-TFII I antibody [EPR7696]

Be the first to review this product! Submit a review

|

(3 Publications)

Rabbit Recombinant Monoclonal TFII I antibody. Suitable for IHC-P, WB and reacts with Human, Mouse, Rat samples. Cited in 3 publications.

View Alternative Names

BAP135, WBSCR6, GTF2I, General transcription factor II-I, GTFII-I, TFII-I, Bruton tyrosine kinase-associated protein 135, SRF-Phox1-interacting protein, Williams-Beuren syndrome chromosomal region 6 protein, BAP-135, BTK-associated protein 135, SPIN

4 Images
Immunohistochemistry (Formalin/PFA-fixed paraffin-embedded sections) - Anti-TFII I antibody [EPR7696] (AB134133)
  • IHC-P

Unknown

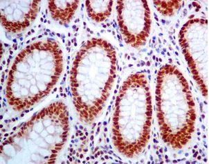
Immunohistochemistry (Formalin/PFA-fixed paraffin-embedded sections) - Anti-TFII I antibody [EPR7696] (AB134133)

Immunohistochemical analysis of paraffin-embedded Human colon tissue labelling TFII I with ab134133 at 1/50 dilution.

Perform heat mediated antigen retrieval with citrate buffer pH 6 before commencing with IHC staining protocol.

Immunohistochemistry (Formalin/PFA-fixed paraffin-embedded sections) - Anti-TFII I antibody [EPR7696] (AB134133)
  • IHC-P

Unknown

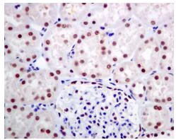
Immunohistochemistry (Formalin/PFA-fixed paraffin-embedded sections) - Anti-TFII I antibody [EPR7696] (AB134133)

Immunohistochemical analysis of paraffin-embedded Human kidney tissue labelling TFII I with ab134133 at 1/50 dilution.

Perform heat mediated antigen retrieval with citrate buffer pH 6 before commencing with IHC staining protocol.

Western blot - Anti-TFII I antibody [EPR7696] (AB134133)
  • WB

Unknown

Western blot - Anti-TFII I antibody [EPR7696] (AB134133)

All lanes:

Western blot - Anti-TFII I antibody [EPR7696] (ab134133) at 1/10000 dilution

Lane 1:

Human fetal brain lysate at 10 µg

Lane 2:

Jurkat cell lysate at 10 µg

Lane 3:

U937 cell lysate at 10 µg

Lane 4:

HeLa cell lysate at 10 µg

Lane 5:

293T cell lysate at 10 µg

Secondary

All lanes:

HRP labelled goat anti rabbit at 1/2000 dilution

Predicted band size: 112 kDa

false

OI-RD Scanning - Anti-TFII I antibody [EPR7696] (AB134133)
  • OI-RD Scanning

Unknown

OI-RD Scanning - Anti-TFII I antibody [EPR7696] (AB134133)

We have systematically measured KD (the equilibrium dissociation constant between the antibody and its antigen), of more than 840 recombinant antibodies to assess not only their individual KD values but also to see the average affinity of antibody. Based on the comparison with published literature values for mouse monoclonal antibodies, Recombinant antibodies appear to be on average 1-2 order of magnitude higher affinity.

Key facts

Host species

Rabbit

Clonality

Monoclonal

Clone number

EPR7696

Isotype

IgG

Carrier free

No

Reacts with

Human

Applications

IHC-P, WB

applications

Immunogen

The exact immunogen used to generate this antibody is proprietary information.

Reactivity data

{ "title": "Reactivity Data", "filters": { "stats": ["", "Species", "Dilution Info", "Notes"], "tabs": { "all-applications": {"fullname" : "All Applications", "shortname": "All Applications"}, "IHCP" : {"fullname" : "Immunohistochemistry (Formalin/PFA-fixed paraffin-embedded sections)", "shortname":"IHC-P"}, "IP" : {"fullname" : "Immunoprecipitation", "shortname":"IP"}, "FlowCyt" : {"fullname" : "Flow Cytometry", "shortname":"Flow Cyt"}, "WB" : {"fullname" : "Western blot", "shortname":"WB"} }, "product-promise": { "all": "all", "testedAndGuaranteed": "tested", "guaranteed": "expected", "predicted": "predicted", "notRecommended": "not-recommended" } }, "values": { "Human": { "IHCP-species-checked": "testedAndGuaranteed", "IHCP-species-dilution-info": "1/50 - 1/100", "IHCP-species-notes": "<p></p>", "IP-species-checked": "notRecommended", "IP-species-dilution-info": "", "IP-species-notes": "<p></p>", "FlowCyt-species-checked": "notRecommended", "FlowCyt-species-dilution-info": "", "FlowCyt-species-notes": "<p></p>", "WB-species-checked": "testedAndGuaranteed", "WB-species-dilution-info": "1/10000 - 1/50000", "WB-species-notes": "<p></p>" }, "Mouse": { "IHCP-species-checked": "predicted", "IHCP-species-dilution-info": "", "IHCP-species-notes": "", "IP-species-checked": "notRecommended", "IP-species-dilution-info": "", "IP-species-notes": "", "FlowCyt-species-checked": "notRecommended", "FlowCyt-species-dilution-info": "", "FlowCyt-species-notes": "", "WB-species-checked": "guaranteed", "WB-species-dilution-info": "", "WB-species-notes": "<p></p>" }, "Rat": { "IHCP-species-checked": "predicted", "IHCP-species-dilution-info": "", "IHCP-species-notes": "", "IP-species-checked": "notRecommended", "IP-species-dilution-info": "", "IP-species-notes": "", "FlowCyt-species-checked": "notRecommended", "FlowCyt-species-dilution-info": "", "FlowCyt-species-notes": "", "WB-species-checked": "guaranteed", "WB-species-dilution-info": "", "WB-species-notes": "<p></p>" } } }

Product details

Patented technology
Our RabMAb® technology is a patented hybridoma-based technology for making rabbit monoclonal antibodies. For details on our patents, please refer to RabMAb® patents.

What are the advantages of a recombinant monoclonal antibody?
This product is a recombinant monoclonal antibody, which offers several advantages including:

  • - High batch-to-batch consistency and reproducibility
  • - Improved sensitivity and specificity
  • - Long-term security of supply
  • - Animal-free batch production

For more information, read more on recombinant antibodies.

Properties and storage information

Form
Liquid
Purification technique
Affinity purification Protein A
Storage buffer
pH: 7.2 - 7.4 Preservative: 0.01% Sodium azide Constituents: PBS, 50% Tissue culture supernatant, 40% Glycerol (glycerin, glycerine), 0.05% BSA
Shipped at conditions
Blue Ice
Appropriate short-term storage conditions
+4°C
Appropriate long-term storage conditions
-20°C

Product protocols

For this product, it's our understanding that no specific protocols are required. You can visit:

Target data

Interacts with the basal transcription machinery by coordinating the formation of a multiprotein complex at the C-FOS promoter, and linking specific signal responsive activator complexes. Promotes the formation of stable high-order complexes of SRF and PHOX1 and interacts cooperatively with PHOX1 to promote serum-inducible transcription of a reporter gene deriven by the C-FOS serum response element (SRE). Acts as a coregulator for USF1 by binding independently two promoter elements, a pyrimidine-rich initiator (Inr) and an upstream E-box. Required for the formation of functional ARID3A DNA-binding complexes and for activation of immunoglobulin heavy-chain transcription upon B-lymphocyte activation.
See full target information GTF2I

Publications (3)

Recent publications for all applications. Explore the full list and refine your search

Communications biology 6:86 PubMed36690785

2023

TRIM24 controls induction of latent HIV-1 by stimulating transcriptional elongation.

Applications

Unspecified application

Species

Unspecified reactive species

Riley M Horvath,Matthew Dahabieh,Tom Malcolm,Ivan Sadowski

Scientific reports 13:556 PubMed36631514

2023

Inhibition of the TRIM24 bromodomain reactivates latent HIV-1.

Applications

Unspecified application

Species

Unspecified reactive species

Riley M Horvath,Zabrina L Brumme,Ivan Sadowski

Frontiers in neuroscience 12:644 PubMed30294253

2018

Glycine-Histidine-Lysine (GHK) Alleviates Neuronal Apoptosis Due to Intracerebral Hemorrhage via the miR-339-5p/VEGFA Pathway.

Applications

Unspecified application

Species

Unspecified reactive species

Heyu Zhang,Yanzhe Wang,Zhiyi He
View all publications

Product promise

We are committed to supporting your work with high-quality reagents, and we're here for you every step of the way. In the unlikely event that one of our products does not perform as expected, you're protected by our Product Promise.
For full details, please see our Terms & Conditions

Please note: All products are 'FOR RESEARCH USE ONLY. NOT FOR USE IN DIAGNOSTIC OR THERAPEUTIC PROCEDURES'.

For licensing inquiries, please contact partnerships@abcam.com