JavaScript is disabled in your browser. Please enable JavaScript to view this website.
AB248269

Anti-TFII I antibody [EPR7697] - BSA and Azide free

Be the first to review this product! Submit a review

|

(2 Publications)

Rabbit Recombinant Monoclonal TFII I antibody. Carrier free. Suitable for IHC-P, ICC/IF, WB and reacts with Human samples. Cited in 2 publications.

View Alternative Names

BAP135, WBSCR6, GTF2I, General transcription factor II-I, GTFII-I, TFII-I, Bruton tyrosine kinase-associated protein 135, SRF-Phox1-interacting protein, Williams-Beuren syndrome chromosomal region 6 protein, BAP-135, BTK-associated protein 135, SPIN

4 Images
Immunocytochemistry/ Immunofluorescence - Anti-TFII I antibody [EPR7697] - BSA and Azide free (AB248269)
  • ICC/IF

Unknown

Immunocytochemistry/ Immunofluorescence - Anti-TFII I antibody [EPR7697] - BSA and Azide free (AB248269)

This data was developed using ab129025, the same antibody clone in a different buffer formulation.ab129025, at 1/100 dilution, staining TFII I in Hela cells by immunofluorescence

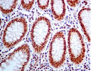
Immunohistochemistry (Formalin/PFA-fixed paraffin-embedded sections) - Anti-TFII I antibody [EPR7697] - BSA and Azide free (AB248269)
  • IHC-P

Unknown

Immunohistochemistry (Formalin/PFA-fixed paraffin-embedded sections) - Anti-TFII I antibody [EPR7697] - BSA and Azide free (AB248269)

This data was developed using ab129025, the same antibody clone in a different buffer formulation.

ab129025, at 1/100 dilution staining TFII I in formalin fixed paraffin embedded Human colon tissue by immunohistochemistry

Perform heat mediated antigen retrieval with citrate buffer pH 6 before commencing with IHC staining protocol.

Western blot - Anti-TFII I antibody [EPR7697] - BSA and Azide free (AB248269)
  • WB

Unknown

Western blot - Anti-TFII I antibody [EPR7697] - BSA and Azide free (AB248269)

This data was developed using ab129025, the same antibody clone in a different buffer formulation.

All lanes:

Western blot - Anti-TFII I antibody [EPR7697] (<a href='/en-us/products/primary-antibodies/tfii-i-antibody-epr7697-ab129025'>ab129025</a>) at 1/10000 dilution

Lane 1:

HeLa cell lysate at 10 µg

Lane 2:

293T cell lysate at 10 µg

Lane 3:

U937 cell lysate at 10 µg

Lane 4:

Jurkat cell lysate at 10 µg

Predicted band size: 112 kDa

Observed band size: 135-138 kDa

false

OI-RD Scanning - Anti-TFII I antibody [EPR7697] - BSA and Azide free (AB248269)
  • OI-RD Scanning

Unknown

OI-RD Scanning - Anti-TFII I antibody [EPR7697] - BSA and Azide free (AB248269)

We have systematically measured KD (the equilibrium dissociation constant between the antibody and its antigen), of more than 840 recombinant antibodies to assess not only their individual KD values but also to see the average affinity of antibody. Based on the comparison with published literature values for mouse monoclonal antibodies, Recombinant antibodies appear to be on average 1-2 order of magnitude higher affinity.

Key facts

Host species

Rabbit

Clonality

Monoclonal

Clone number

EPR7697

Isotype

IgG

Carrier free

Yes

Reacts with

Human

Applications

IHC-P, ICC/IF, WB

applications

Immunogen

The exact immunogen used to generate this antibody is proprietary information.

Reactivity data

{ "title": "Reactivity Data", "filters": { "stats": ["", "Species", "Dilution Info", "Notes"], "tabs": { "all-applications": {"fullname" : "All Applications", "shortname": "All Applications"}, "IHCP" : {"fullname" : "Immunohistochemistry (Formalin/PFA-fixed paraffin-embedded sections)", "shortname":"IHC-P"}, "ICCIF" : {"fullname" : "Immunocytochemistry/ Immunofluorescence", "shortname":"ICC/IF"}, "IP" : {"fullname" : "Immunoprecipitation", "shortname":"IP"}, "WB" : {"fullname" : "Western blot", "shortname":"WB"} }, "product-promise": { "all": "all", "testedAndGuaranteed": "tested", "guaranteed": "expected", "predicted": "predicted", "notRecommended": "not-recommended" } }, "values": { "Human": { "IHCP-species-checked": "testedAndGuaranteed", "IHCP-species-dilution-info": "", "IHCP-species-notes": "<p></p>", "ICCIF-species-checked": "testedAndGuaranteed", "ICCIF-species-dilution-info": "", "ICCIF-species-notes": "<p></p>", "IP-species-checked": "notRecommended", "IP-species-dilution-info": "", "IP-species-notes": "<p></p>", "WB-species-checked": "testedAndGuaranteed", "WB-species-dilution-info": "", "WB-species-notes": "<p></p>" }, "Rat": { "IHCP-species-checked": "predicted", "IHCP-species-dilution-info": "", "IHCP-species-notes": "", "ICCIF-species-checked": "predicted", "ICCIF-species-dilution-info": "", "ICCIF-species-notes": "", "IP-species-checked": "notRecommended", "IP-species-dilution-info": "", "IP-species-notes": "", "WB-species-checked": "predicted", "WB-species-dilution-info": "", "WB-species-notes": "" } } }

Product details

ab248269 is the carrier-free version of ab129025.

Species reactivity
Mouse: We have preliminary internal testing data to indicate this antibody may not react with this species.
Please contact us for more information.

Patented technology
Our RabMAb® technology is a patented hybridoma-based technology for making rabbit monoclonal antibodies. For details on our patents, please refer to RabMAb® patents.

What are the advantages of a recombinant monoclonal antibody?
This product is a recombinant monoclonal antibody, which offers several advantages including:

  • - High batch-to-batch consistency and reproducibility
  • - Improved sensitivity and specificity
  • - Long-term security of supply
  • - Animal-free batch production

For more information, read more on recombinant antibodies.

Conjugation ready
Our carrier-free antibodies are typically supplied in a PBS-only formulation, purified and free of BSA, sodium azide and glycerol. This conjugation-ready format is designed for use with fluorochromes, metal isotopes, oligonucleotides, and enzymes, which makes them ideal for antibody labelling, functional and cell-based assays, flow-based assays (e.g. mass cytometry) and Multiplex Imaging applications.

Use our conjugation kits for antibody conjugates that are ready-to-use in as little as 20 minutes with 1 minute hands-on-time and 100% antibody recovery: available for fluorescent dyes, HRP, biotin and gold.

Compatibility
This product is compatible with the Maxpar® Antibody Labeling Kit from Fluidigm, without the need for antibody preparation. Maxpar® is a trademark of Fluidigm Canada Inc.

Properties and storage information

Form
Liquid
Purification technique
Affinity purification Protein A
Storage buffer
pH: 7.2 - 7.4 Constituents: PBS
Shipped at conditions
Blue Ice
Appropriate short-term storage conditions
+4°C
Appropriate long-term storage conditions
+4°C
Storage information
Do Not Freeze

Product protocols

For this product, it's our understanding that no specific protocols are required. You can visit:

Target data

Interacts with the basal transcription machinery by coordinating the formation of a multiprotein complex at the C-FOS promoter, and linking specific signal responsive activator complexes. Promotes the formation of stable high-order complexes of SRF and PHOX1 and interacts cooperatively with PHOX1 to promote serum-inducible transcription of a reporter gene deriven by the C-FOS serum response element (SRE). Acts as a coregulator for USF1 by binding independently two promoter elements, a pyrimidine-rich initiator (Inr) and an upstream E-box. Required for the formation of functional ARID3A DNA-binding complexes and for activation of immunoglobulin heavy-chain transcription upon B-lymphocyte activation.
See full target information GTF2I

Publications (2)

Recent publications for all applications. Explore the full list and refine your search

PeerJ 10:e13735 PubMed35891648

2022

Identification and validation of immune related core transcription factors in NAFLD.

Applications

Unspecified application

Species

Unspecified reactive species

Minbo Zhang,Yu Zhang,Xiaoxiao Jiao,Linying Lai,Yiting Qian,Bo Sun,Wenzhuo Yang

Cellular and molecular gastroenterology and hepatology 12:395-425 PubMed33676046

2021

Helicobacter pylori-Induced Rev-erbα Fosters Gastric Bacteria Colonization by Impairing Host Innate and Adaptive Defense.

Applications

Unspecified application

Species

Unspecified reactive species

Fang-Yuan Mao,Yi-Pin Lv,Chuan-Jie Hao,Yong-Sheng Teng,Yu-Gang Liu,Ping Cheng,Shi-Ming Yang,Weisan Chen,Tao Liu,Quan-Ming Zou,Rui Xie,Jing-Yu Xu,Yuan Zhuang
View all publications

Product promise

We are committed to supporting your work with high-quality reagents, and we're here for you every step of the way. In the unlikely event that one of our products does not perform as expected, you're protected by our Product Promise.
For full details, please see our Terms & Conditions

Please note: All products are 'FOR RESEARCH USE ONLY. NOT FOR USE IN DIAGNOSTIC OR THERAPEUTIC PROCEDURES'.

For licensing inquiries, please contact partnerships@abcam.com