JavaScript is disabled in your browser. Please enable JavaScript to view this website.
AB284785

Anti-TFIIB antibody [EP4588] - BSA and Azide free

Be the first to review this product! Submit a review

|

(0 Publication)

Rabbit Monoclonal TFIIB antibody. Carrier free. Suitable for IP, WB, IHC-P, Flow Cyt (Intra) and reacts with Human, Mouse, Rat samples.

View Alternative Names

TF2B, TFIIB, GTF2B, Transcription initiation factor IIB, General transcription factor TFIIB, S300-II

5 Images
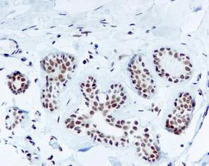
Immunohistochemistry (Formalin/PFA-fixed paraffin-embedded sections) - Anti-TFIIB antibody [EP4588] - BSA and Azide free (AB284785)
  • IHC-P

Unknown

Immunohistochemistry (Formalin/PFA-fixed paraffin-embedded sections) - Anti-TFIIB antibody [EP4588] - BSA and Azide free (AB284785)

This data was developed using ab109518, the same antibody clone in a different buffer formulation.ab109518, at a 1/100 dilution, staining TFIIB in paraffin embedded Human breast tissue by Immunohistochemistry.

Perform heat mediated antigen retrieval with citrate buffer pH 6 before commencing with IHC staining protocol.

Flow Cytometry (Intracellular) - Anti-TFIIB antibody [EP4588] - BSA and Azide free (AB284785)
  • Flow Cyt (Intra)

Supplier Data

Flow Cytometry (Intracellular) - Anti-TFIIB antibody [EP4588] - BSA and Azide free (AB284785)

This data was developed using ab109518, the same antibody clone in a different buffer formulation.Intracellular Flow Cytometry analysis of Jurkat (Human T cell leukemia T lymphocyte) cells labelling TFIIB with ab109518 at 1/20 dilution (4.05 µg/ml) (Red). Cells were fixed with 4% paraformaldehyde . Goat anti rabbit IgG (Alexa Fluor® 488, ab150077) was used as the secondary antibody at 1/2000 dilution. Isotype control - Rabbit monoclonal IgG (ab172730) (Black). Unlabeled control - Unlabelled cells (Blue).

Western blot - Anti-TFIIB antibody [EP4588] - BSA and Azide free (AB284785)
  • WB

Unknown

Western blot - Anti-TFIIB antibody [EP4588] - BSA and Azide free (AB284785)

This data was developed using ab109518, the same antibody clone in a different buffer formulation.

All lanes:

Western blot - Anti-TFIIB antibody [EP4588] (<a href='/en-us/products/primary-antibodies/tfiib-antibody-ep4588-ab109518'>ab109518</a>) at 1/1000 dilution

Lane 1:

HepG2 cell lyaste at 10 µg

Lane 2:

HeLa cell lyaste at 10 µg

Lane 3:

Jurkat cell lyaste at 10 µg

Lane 4:

K562 cell lyaste at 10 µg

Predicted band size: 34 kDa

false

Western blot - Anti-TFIIB antibody [EP4588] - BSA and Azide free (AB284785)
  • WB

Lab

Western blot - Anti-TFIIB antibody [EP4588] - BSA and Azide free (AB284785)

This data was developed using ab109518, the same antibody clone in a different buffer formulation.

All lanes:

Western blot - Anti-TFIIB antibody [EP4588] (<a href='/en-us/products/primary-antibodies/tfiib-antibody-ep4588-ab109518'>ab109518</a>) at 1/1000 dilution

Lane 1:

C6 (Rat glial tumor glial cell) whole cell lysate at 20 µg

Lane 2:

Raw264.7 (Mouse Abelson murine leukemia virus-induced tumor macrophage) whole cell lysate at 20 µg

Lane 3:

PC-12 (Rat adrenal gland pheochromocytoma) whole cell lysate at 20 µg

Lane 4:

NIH/3T3 (Mouse embryonic fibroblast) whole cell lysate at 20 µg

Secondary

All lanes:

Western blot - Goat Anti-Rabbit IgG H&L (HRP) (<a href='/en-us/products/secondary-antibodies/goat-rabbit-igg-h-l-hrp-ab97051'>ab97051</a>) at 1/1000 dilution

Predicted band size: 34 kDa

Observed band size: 35 kDa

false

Immunoprecipitation - Anti-TFIIB antibody [EP4588] - BSA and Azide free (AB284785)
  • IP

Unknown

Immunoprecipitation - Anti-TFIIB antibody [EP4588] - BSA and Azide free (AB284785)

This data was developed using ab109518, the same antibody clone in a different buffer formulation.

ab109518 (purified) at 1/20 dilution (0.16 μg/ml) immunoprecipitating TFIIB in Jurkat whole cell lysate .
Lane 1 (input) : Jurkat (Human T cell leukemia T lymphocyte) whole cell lysate 10μg
Lane 2 (+) : ab109518 & Jurkat whole cell lysate
Lane 3 (-) : Rabbit monoclonal IgG (ab172730) instead of ab109518 in Jurkat whole cell lysate.
For western blotting, ab109518 at 1/500 and VeriBlot for IP Detection Reagent (HRP) (ab131366) was used for detection at 1/1000 dilution.
Blocking and diluting buffer : 5% NFDM /TBST.

All lanes:

Immunoprecipitation - Anti-TFIIB antibody [EP4588] (<a href='/en-us/products/primary-antibodies/tfiib-antibody-ep4588-ab109518'>ab109518</a>)

Predicted band size: 34 kDa

false

Key facts

Host species

Rabbit

Clonality

Monoclonal

Clone number

EP4588

Isotype

IgG

Carrier free

Yes

Reacts with

Human, Mouse, Rat

Applications

IHC-P, IP, Flow Cyt (Intra), WB

applications

Immunogen

The exact immunogen used to generate this antibody is proprietary information.

Reactivity data

{ "title": "Reactivity Data", "filters": { "stats": ["", "Species", "Dilution Info", "Notes"], "tabs": { "all-applications": {"fullname" : "All Applications", "shortname": "All Applications"}, "ICCIF" : {"fullname" : "Immunocytochemistry/ Immunofluorescence", "shortname":"ICC/IF"}, "IP" : {"fullname" : "Immunoprecipitation", "shortname":"IP"}, "WB" : {"fullname" : "Western blot", "shortname":"WB"}, "IHCP" : {"fullname" : "Immunohistochemistry (Formalin/PFA-fixed paraffin-embedded sections)", "shortname":"IHC-P"}, "FlowCytIntra" : {"fullname" : "Flow Cytometry (Intracellular)", "shortname":"Flow Cyt (Intra)"} }, "product-promise": { "all": "all", "testedAndGuaranteed": "tested", "guaranteed": "expected", "predicted": "predicted", "notRecommended": "not-recommended" } }, "values": { "Human": { "ICCIF-species-checked": "notRecommended", "ICCIF-species-dilution-info": "", "ICCIF-species-notes": "<p></p>", "IP-species-checked": "testedAndGuaranteed", "IP-species-dilution-info": "", "IP-species-notes": "<p></p>", "WB-species-checked": "testedAndGuaranteed", "WB-species-dilution-info": "", "WB-species-notes": "<p></p>", "IHCP-species-checked": "testedAndGuaranteed", "IHCP-species-dilution-info": "", "IHCP-species-notes": "<p>Antigen retrieval is recommended.</p> Perform heat-mediated antigen retrieval with citrate buffer pH 6 before commencing with IHC staining protocol.", "FlowCytIntra-species-checked": "testedAndGuaranteed", "FlowCytIntra-species-dilution-info": "", "FlowCytIntra-species-notes": "<p><a href='/en-us/products/primary-antibodies/rabbit-igg-monoclonal-epr25a-isotype-control-ab172730'>ab172730</a> - Rabbit monoclonal IgG, is suitable for use as an isotype control with this antibody.</p>" }, "Mouse": { "ICCIF-species-checked": "notRecommended", "ICCIF-species-dilution-info": "", "ICCIF-species-notes": "<p></p>", "IP-species-checked": "guaranteed", "IP-species-dilution-info": "", "IP-species-notes": "", "WB-species-checked": "testedAndGuaranteed", "WB-species-dilution-info": "", "WB-species-notes": "<p></p>", "IHCP-species-checked": "guaranteed", "IHCP-species-dilution-info": "", "IHCP-species-notes": "", "FlowCytIntra-species-checked": "guaranteed", "FlowCytIntra-species-dilution-info": "", "FlowCytIntra-species-notes": "" }, "Rat": { "ICCIF-species-checked": "notRecommended", "ICCIF-species-dilution-info": "", "ICCIF-species-notes": "<p></p>", "IP-species-checked": "guaranteed", "IP-species-dilution-info": "", "IP-species-notes": "", "WB-species-checked": "testedAndGuaranteed", "WB-species-dilution-info": "", "WB-species-notes": "<p></p>", "IHCP-species-checked": "guaranteed", "IHCP-species-dilution-info": "", "IHCP-species-notes": "", "FlowCytIntra-species-checked": "guaranteed", "FlowCytIntra-species-dilution-info": "", "FlowCytIntra-species-notes": "" } } }

Product details

ab284785 is the carrier-free version of ab109518

Patented technology
Our RabMAb® technology is a patented hybridoma-based technology for making rabbit monoclonal antibodies. For details on our patents, please refer to RabMAb® patents.

Conjugation ready
Our carrier-free antibodies are typically supplied in a PBS-only formulation, purified and free of BSA, sodium azide and glycerol. This conjugation-ready format is designed for use with fluorochromes, metal isotopes, oligonucleotides, and enzymes, which makes them ideal for antibody labelling, functional and cell-based assays, flow-based assays (e.g. mass cytometry) and Multiplex Imaging applications.

Use our conjugation kits for antibody conjugates that are ready-to-use in as little as 20 minutes with 1 minute hands-on-time and 100% antibody recovery: available for fluorescent dyes, HRP, biotin and gold.

Compatibility
This product is compatible with the Maxpar® Antibody Labeling Kit from Fluidigm, without the need for antibody preparation. Maxpar® is a trademark of Fluidigm Canada Inc.

Properties and storage information

Form
Liquid
Purity
Tissue culture supernatant
Storage buffer
pH: 7.2 - 7.4 Constituents: PBS
Shipped at conditions
Blue Ice
Appropriate short-term storage conditions
+4°C
Appropriate long-term storage conditions
+4°C

Product protocols

For this product, it's our understanding that no specific protocols are required. You can visit:

Target data

General transcription factor that plays a role in transcription initiation by RNA polymerase II (Pol II). Involved in the pre-initiation complex (PIC) formation and Pol II recruitment at promoter DNA (PubMed : 12931194, PubMed : 1517211, PubMed : 1876184, PubMed : 1946368, PubMed : 27193682, PubMed : 3029109, PubMed : 3818643, PubMed : 7601352, PubMed : 8413225, PubMed : 8515820, PubMed : 8516311, PubMed : 8516312, PubMed : 9420329). Together with the TATA box-bound TBP forms the core initiation complex and provides a bridge between TBP and the Pol II-TFIIF complex (PubMed : 8413225, PubMed : 8504927, PubMed : 8515820, PubMed : 8516311, PubMed : 8516312). Released from the PIC early following the onset of transcription during the initiation and elongation transition and reassociates with TBP during the next transcription cycle (PubMed : 7601352). Associates with chromatin to core promoter-specific regions (PubMed : 12931194, PubMed : 24441171). Binds to two distinct DNA core promoter consensus sequence elements in a TBP-independent manner; these IIB-recognition elements (BREs) are localized immediately upstream (BREu), 5'-[GC][GC][GA]CGCC-3', and downstream (BREd), 5'-[GA]T[TGA][TG][GT][TG][TG]-3', of the TATA box element (PubMed : 10619841, PubMed : 16230532, PubMed : 7675079, PubMed : 9420329). Modulates transcription start site selection (PubMed : 10318856). Exhibits also autoacetyltransferase activity that contributes to the activated transcription (PubMed : 12931194).
See full target information GTF2B

Product promise

We are committed to supporting your work with high-quality reagents, and we're here for you every step of the way. In the unlikely event that one of our products does not perform as expected, you're protected by our Product Promise.
For full details, please see our Terms & Conditions

Please note: All products are 'FOR RESEARCH USE ONLY. NOT FOR USE IN DIAGNOSTIC OR THERAPEUTIC PROCEDURES'.

For licensing inquiries, please contact partnerships@abcam.com