JavaScript is disabled in your browser. Please enable JavaScript to view this website.
AB140634

Anti-TFIIE alpha/GTF2E1 antibody [EPR8377(2)]

Be the first to review this product! Submit a review

|

(3 Publications)

Rabbit Recombinant Monoclonal TFIIE alpha/GTF2E1 antibody. Suitable for IHC-P, WB and reacts with Human samples. Cited in 3 publications.

View Alternative Names

TF2E1, GTF2E1, General transcription factor IIE subunit 1, General transcription factor IIE 56 kDa subunit, Transcription initiation factor IIE subunit alpha, TFIIE-alpha

6 Images
Immunohistochemistry (Formalin/PFA-fixed paraffin-embedded sections) - Anti-TFIIE alpha/GTF2E1 antibody [EPR8377(2)] (AB140634)
  • IHC-P

Unknown

Immunohistochemistry (Formalin/PFA-fixed paraffin-embedded sections) - Anti-TFIIE alpha/GTF2E1 antibody [EPR8377(2)] (AB140634)

Immunohistochemical analysis of paraffin embedded Human Ovarian carcinoma tissue using ab140634 showing +ve staining.

Perform heat mediated antigen retrieval with citrate buffer pH 6 before commencing with IHC staining protocol.

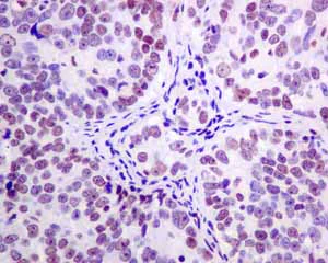
Immunohistochemistry (Formalin/PFA-fixed paraffin-embedded sections) - Anti-TFIIE alpha/GTF2E1 antibody [EPR8377(2)] (AB140634)
  • IHC-P

Unknown

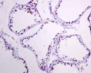
Immunohistochemistry (Formalin/PFA-fixed paraffin-embedded sections) - Anti-TFIIE alpha/GTF2E1 antibody [EPR8377(2)] (AB140634)

Immunohistochemical analysis of paraffin embedded Normal Human Testis tissue using ab140634 showing +ve staining.

Perform heat mediated antigen retrieval with citrate buffer pH 6 before commencing with IHC staining protocol.

Immunohistochemistry (Formalin/PFA-fixed paraffin-embedded sections) - Anti-TFIIE alpha/GTF2E1 antibody [EPR8377(2)] (AB140634)
  • IHC-P

Unknown

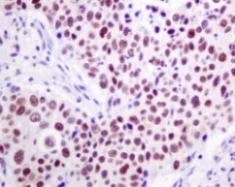
Immunohistochemistry (Formalin/PFA-fixed paraffin-embedded sections) - Anti-TFIIE alpha/GTF2E1 antibody [EPR8377(2)] (AB140634)

Immunohistochemical analysis of paraffin embedded Human Colonic adenocarcinoma tissue using ab140634 showing +ve staining.

Perform heat mediated antigen retrieval with citrate buffer pH 6 before commencing with IHC staining protocol.

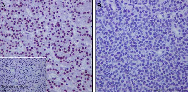
Immunohistochemistry (Formalin/PFA-fixed paraffin-embedded sections) - Anti-TFIIE alpha/GTF2E1 antibody [EPR8377(2)] (AB140634)
  • IHC-P

Unknown

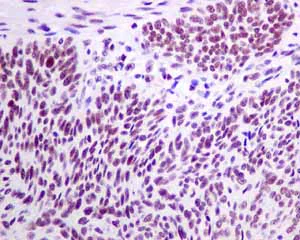
Immunohistochemistry (Formalin/PFA-fixed paraffin-embedded sections) - Anti-TFIIE alpha/GTF2E1 antibody [EPR8377(2)] (AB140634)

Immunohistochemical analysis of paraffin-embedded Human lung carcinoma tissue labelling TFIIE alpha/GTF2E1 with ab140634 at 1/50 dilution.

Perform heat mediated antigen retrieval with citrate buffer pH 6 before commencing with IHC staining protocol.

Immunohistochemistry (Formalin/PFA-fixed paraffin-embedded sections) - Anti-TFIIE alpha/GTF2E1 antibody [EPR8377(2)] (AB140634)
  • IHC-P

Unknown

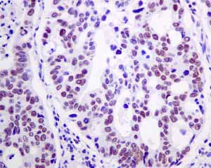
Immunohistochemistry (Formalin/PFA-fixed paraffin-embedded sections) - Anti-TFIIE alpha/GTF2E1 antibody [EPR8377(2)] (AB140634)

Immunohistochemical analysis of paraffin embedded Human Cervical carcinoma tissue using ab140634 showing +ve staining.

Perform heat mediated antigen retrieval with citrate buffer pH 6 before commencing with IHC staining protocol.

Western blot - Anti-TFIIE alpha/GTF2E1 antibody [EPR8377(2)] (AB140634)
  • WB

Unknown

Western blot - Anti-TFIIE alpha/GTF2E1 antibody [EPR8377(2)] (AB140634)

All lanes:

Western blot - Anti-TFIIE alpha/GTF2E1 antibody [EPR8377(2)] (ab140634) at 1/1000 dilution

Lane 1:

Molt-4 cell lysate at 10 µg

Lane 2:

HeLa cell lysate at 10 µg

Lane 3:

Jurkat cell lysate at 10 µg

Lane 4:

A431 cell lysate at 10 µg

Secondary

All lanes:

HRP labelled Goat anti-Rabbit at 1/2000 dilution

Predicted band size: 49 kDa

false

Key facts

Host species

Rabbit

Clonality

Monoclonal

Clone number

EPR8377(2)

Isotype

IgG

Carrier free

No

Reacts with

Human

Applications

WB, IHC-P

applications

Immunogen

The exact immunogen used to generate this antibody is proprietary information.

Reactivity data

{ "title": "Reactivity Data", "filters": { "stats": ["", "Species", "Dilution Info", "Notes"], "tabs": { "all-applications": {"fullname" : "All Applications", "shortname": "All Applications"}, "IHCP" : {"fullname" : "Immunohistochemistry (Formalin/PFA-fixed paraffin-embedded sections)", "shortname":"IHC-P"}, "IP" : {"fullname" : "Immunoprecipitation", "shortname":"IP"}, "FlowCyt" : {"fullname" : "Flow Cytometry", "shortname":"Flow Cyt"}, "WB" : {"fullname" : "Western blot", "shortname":"WB"} }, "product-promise": { "all": "all", "testedAndGuaranteed": "tested", "guaranteed": "expected", "predicted": "predicted", "notRecommended": "not-recommended" } }, "values": { "Human": { "IHCP-species-checked": "testedAndGuaranteed", "IHCP-species-dilution-info": "1/50 - 1/100", "IHCP-species-notes": "<p></p>", "IP-species-checked": "notRecommended", "IP-species-dilution-info": "", "IP-species-notes": "<p></p>", "FlowCyt-species-checked": "notRecommended", "FlowCyt-species-dilution-info": "", "FlowCyt-species-notes": "<p></p>", "WB-species-checked": "testedAndGuaranteed", "WB-species-dilution-info": "1/1000 - 1/10000", "WB-species-notes": "<p></p>" }, "Mouse": { "IHCP-species-checked": "predicted", "IHCP-species-dilution-info": "", "IHCP-species-notes": "", "IP-species-checked": "notRecommended", "IP-species-dilution-info": "", "IP-species-notes": "", "FlowCyt-species-checked": "notRecommended", "FlowCyt-species-dilution-info": "", "FlowCyt-species-notes": "", "WB-species-checked": "predicted", "WB-species-dilution-info": "", "WB-species-notes": "" }, "Rat": { "IHCP-species-checked": "predicted", "IHCP-species-dilution-info": "", "IHCP-species-notes": "", "IP-species-checked": "notRecommended", "IP-species-dilution-info": "", "IP-species-notes": "", "FlowCyt-species-checked": "notRecommended", "FlowCyt-species-dilution-info": "", "FlowCyt-species-notes": "", "WB-species-checked": "predicted", "WB-species-dilution-info": "", "WB-species-notes": "" } } }

Product details

Patented technology
Our RabMAb® technology is a patented hybridoma-based technology for making rabbit monoclonal antibodies. For details on our patents, please refer to RabMAb® patents.

What are the advantages of a recombinant monoclonal antibody?
This product is a recombinant monoclonal antibody, which offers several advantages including:

  • - High batch-to-batch consistency and reproducibility
  • - Improved sensitivity and specificity
  • - Long-term security of supply
  • - Animal-free batch production

For more information, read more on recombinant antibodies.

Properties and storage information

Form
Liquid
Purification technique
Affinity purification Protein A
Storage buffer
pH: 7.2 - 7.4 Preservative: 0.01% Sodium azide Constituents: PBS, 50% Tissue culture supernatant, 40% Glycerol (glycerin, glycerine), 0.05% BSA
Shipped at conditions
Blue Ice
Appropriate short-term storage conditions
+4°C
Appropriate long-term storage conditions
-20°C
Aliquoting information
Upon delivery aliquot
Storage information
Avoid freeze / thaw cycle

Product protocols

For this product, it's our understanding that no specific protocols are required. You can visit:

Target data

Recruits TFIIH to the initiation complex and stimulates the RNA polymerase II C-terminal domain kinase and DNA-dependent ATPase activities of TFIIH. Both TFIIH and TFIIE are required for promoter clearance by RNA polymerase.
See full target information GTF2E1

Publications (3)

Recent publications for all applications. Explore the full list and refine your search

Signal transduction and targeted therapy 6:322 PubMed34462423

2021

VAV2 is required for DNA repair and implicated in cancer radiotherapy resistance.

Applications

Unspecified application

Species

Unspecified reactive species

Weiling Liu,Chuanwang Miao,Shaosen Zhang,Yachen Liu,Xiangjie Niu,Yiyi Xi,Wenjia Guo,Jiahui Chu,Ai Lin,Hongjin Liu,Xinyu Yang,Xinjie Chen,Ce Zhong,Yuling Ma,Yuqian Wang,Shihao Zhu,Shuning Liu,Wen Tan,Dongxin Lin,Chen Wu

Scientific reports 11:6275 PubMed33737593

2021

Intranuclear birefringent inclusions in paraffin sections by polychromatic polarization microscopy.

Applications

Unspecified application

Species

Unspecified reactive species

Aiste Vitkunaite,Aida Laurinaviciene,Benoit Plancoulaine,Allan Rasmusson,Richard Levenson,Michael Shribak,Arvydas Laurinavicius

Cell systems 5:386-398.e4 PubMed29032074

2017

Widespread Post-transcriptional Attenuation of Genomic Copy-Number Variation in Cancer.

Applications

Unspecified application

Species

Unspecified reactive species

Emanuel Gonçalves,Athanassios Fragoulis,Luz Garcia-Alonso,Thorsten Cramer,Julio Saez-Rodriguez,Pedro Beltrao
View all publications

Product promise

We are committed to supporting your work with high-quality reagents, and we're here for you every step of the way. In the unlikely event that one of our products does not perform as expected, you're protected by our Product Promise.
For full details, please see our Terms & Conditions

Please note: All products are 'FOR RESEARCH USE ONLY. NOT FOR USE IN DIAGNOSTIC OR THERAPEUTIC PROCEDURES'.

For licensing inquiries, please contact partnerships@abcam.com