JavaScript is disabled in your browser. Please enable JavaScript to view this website.
AB254632

Anti-TFIIIA antibody

Be the first to review this product! Submit a review

|

(0 Publication)

Rabbit Polyclonal TFIIIA antibody. Suitable for IHC-P, ICC/IF and reacts with Human samples. Immunogen corresponding to Recombinant Fragment Protein within Human GTF3A aa 200 to C-terminus.

View Alternative Names

Transcription factor IIIA, TFIIIA, GTF3A

5 Images
Immunohistochemistry (Formalin/PFA-fixed paraffin-embedded sections) - Anti-TFIIIA antibody (AB254632)
  • IHC-P

Unknown

Immunohistochemistry (Formalin/PFA-fixed paraffin-embedded sections) - Anti-TFIIIA antibody (AB254632)

Paraffin-embedded human lymphoid tissue stained for TFIIIA using ab254632 at 1/20 dilution in immunohistochemical analysis.

Immunocytochemistry/ Immunofluorescence - Anti-TFIIIA antibody (AB254632)
  • ICC/IF

Unknown

Immunocytochemistry/ Immunofluorescence - Anti-TFIIIA antibody (AB254632)

PFA fixed, Triton X-100 permeabilized A431 (Human epidermoid carcinoma cell line) cells labeling TFIIIA using ab254632 at 4μg/ml (green) in ICC/IF.

Immunohistochemistry (Formalin/PFA-fixed paraffin-embedded sections) - Anti-TFIIIA antibody (AB254632)
  • IHC-P

Unknown

Immunohistochemistry (Formalin/PFA-fixed paraffin-embedded sections) - Anti-TFIIIA antibody (AB254632)

Paraffin-embedded human cerebral cortex tissue stained for TFIIIA using ab254632 at 1/20 dilution in immunohistochemical analysis.

Immunohistochemistry (Formalin/PFA-fixed paraffin-embedded sections) - Anti-TFIIIA antibody (AB254632)
  • IHC-P

Unknown

Immunohistochemistry (Formalin/PFA-fixed paraffin-embedded sections) - Anti-TFIIIA antibody (AB254632)

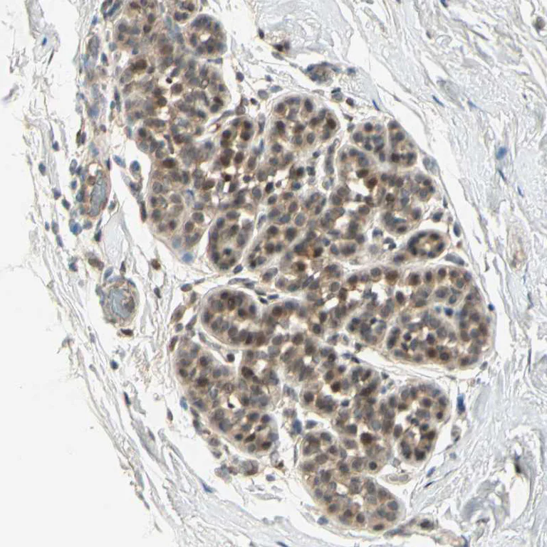
Paraffin-embedded human breast tissue stained for TFIIIA using ab254632 at 1/20 dilution in immunohistochemical analysis.

Immunohistochemistry (Formalin/PFA-fixed paraffin-embedded sections) - Anti-TFIIIA antibody (AB254632)
  • IHC-P

Unknown

Immunohistochemistry (Formalin/PFA-fixed paraffin-embedded sections) - Anti-TFIIIA antibody (AB254632)

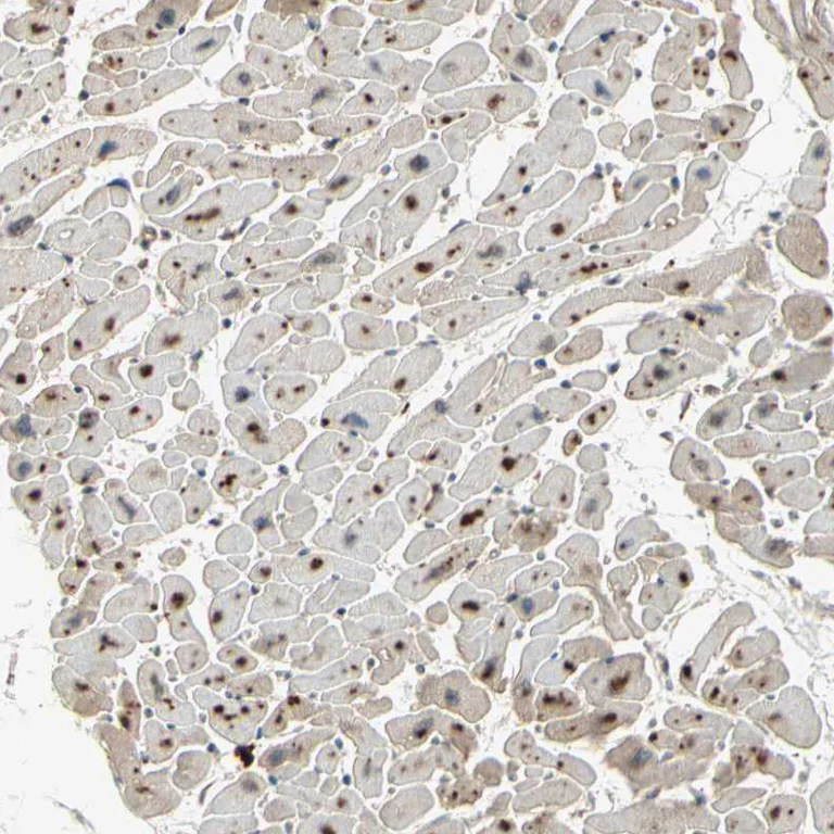
Paraffin-embedded human heart muscle tissue stained for TFIIIA using ab254632 at 1/500 dilution in immunohistochemical analysis.

Key facts

Host species

Rabbit

Clonality

Polyclonal

Isotype

IgG

Carrier free

No

Reacts with

Human

Applications

IHC-P, ICC/IF

applications

Immunogen

Recombinant Fragment Protein within Human GTF3A aa 200 to C-terminus. The exact immunogen used to generate this antibody is proprietary information.

Q92664

Reactivity data

{ "title": "Reactivity Data", "filters": { "stats": ["", "Species", "Dilution Info", "Notes"], "tabs": { "all-applications": {"fullname" : "All Applications", "shortname": "All Applications"}, "IHCP" : {"fullname" : "Immunohistochemistry (Formalin/PFA-fixed paraffin-embedded sections)", "shortname":"IHC-P"}, "ICCIF" : {"fullname" : "Immunocytochemistry/ Immunofluorescence", "shortname":"ICC/IF"} }, "product-promise": { "all": "all", "testedAndGuaranteed": "tested", "guaranteed": "expected", "predicted": "predicted", "notRecommended": "not-recommended" } }, "values": { "Human": { "IHCP-species-checked": "testedAndGuaranteed", "IHCP-species-dilution-info": "1/20 - 1/50", "IHCP-species-notes": "<p></p> Perform heat-mediated antigen retrieval with citrate buffer pH 6 before commencing with IHC staining protocol.", "ICCIF-species-checked": "testedAndGuaranteed", "ICCIF-species-dilution-info": "0.25000-2 µg/mL", "ICCIF-species-notes": "<p>Fixation/Permeabilization: PFA/Triton X-100.</p>" } } }

Properties and storage information

Form
Liquid
Purification technique
Affinity purification Immunogen
Storage buffer
pH: 7.2 Preservative: 0.02% Sodium azide Constituents: PBS, 40% Glycerol (glycerin, glycerine)
Shipped at conditions
Blue Ice
Appropriate short-term storage duration
1-2 weeks
Appropriate short-term storage conditions
+4°C
Appropriate long-term storage conditions
-20°C
Aliquoting information
Upon delivery aliquot
Storage information
Avoid freeze / thaw cycle

Product protocols

For this product, it's our understanding that no specific protocols are required. You can visit:

Target data

Involved in ribosomal large subunit biogenesis. Binds the approximately 50 base pairs internal control region (ICR) of 5S ribosomal RNA genes. It is required for their RNA polymerase III-dependent transcription and may also maintain the transcription of other genes (PubMed : 24120868). Also binds the transcribed 5S RNA's (By similarity).
See full target information GTF3A

Product promise

We are committed to supporting your work with high-quality reagents, and we're here for you every step of the way. In the unlikely event that one of our products does not perform as expected, you're protected by our Product Promise.
For full details, please see our Terms & Conditions

Associated Products

Select an associated product type
Alternative Product
Primary Antibodies

AB129440

Anti-TFIIIA antibody

primary-antibodies

tfiiia-antibody-ab129440

0

(0 reviews)

Please note: All products are 'FOR RESEARCH USE ONLY. NOT FOR USE IN DIAGNOSTIC OR THERAPEUTIC PROCEDURES'.

For licensing inquiries, please contact partnerships@abcam.com