JavaScript is disabled in your browser. Please enable JavaScript to view this website.
AB181392

Anti-TFPI antibody

Be the first to review this product! Submit a review

|

(1 Publication)

Rabbit Polyclonal TFPI antibody. Suitable for WB, IHC-P, ICC/IF and reacts with Rat samples. Cited in 1 publication. Immunogen corresponding to Synthetic Peptide within Human TFPI.

View Alternative Names

LACI, TFPI1, TFPI, Tissue factor pathway inhibitor, Extrinsic pathway inhibitor, Lipoprotein-associated coagulation inhibitor, EPI

3 Images
Immunocytochemistry/ Immunofluorescence - Anti-TFPI antibody (AB181392)
  • ICC/IF

Supplier Data

Immunocytochemistry/ Immunofluorescence - Anti-TFPI antibody (AB181392)

Immunofluorescent analysis of rat small intestine tissue labeling TFPI with ab181392 at 20 μg/ml.

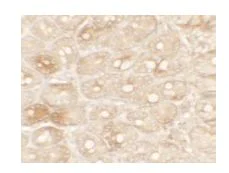
Immunohistochemistry (Formalin/PFA-fixed paraffin-embedded sections) - Anti-TFPI antibody (AB181392)
  • IHC-P

Supplier Data

Immunohistochemistry (Formalin/PFA-fixed paraffin-embedded sections) - Anti-TFPI antibody (AB181392)

Immunohistochemical analysis of rat small intestine tissue labeling TFPI with ab181392 at 5 μg/ml.

Western blot - Anti-TFPI antibody (AB181392)
  • WB

Supplier Data

Western blot - Anti-TFPI antibody (AB181392)

All lanes:

Western blot - Anti-TFPI antibody (ab181392) at 1 µg/mL

All lanes:

Rat small intestine tissue lysate at 15 µg

Predicted band size: 35 kDa

false

Key facts

Host species

Rabbit

Clonality

Polyclonal

Isotype

IgG

Carrier free

No

Reacts with

Rat

Applications

IHC-P, ICC/IF, WB

applications

Immunogen

Synthetic Peptide within Human TFPI. The exact immunogen used to generate this antibody is proprietary information.

P10646

Specificity

At least two isoforms of TFPI are known to exist; ab181392 will detect both isoforms.

Reactivity data

{ "title": "Reactivity Data", "filters": { "stats": ["", "Species", "Dilution Info", "Notes"], "tabs": { "all-applications": {"fullname" : "All Applications", "shortname": "All Applications"}, "WB" : {"fullname" : "Western blot", "shortname":"WB"}, "IHCP" : {"fullname" : "Immunohistochemistry (Formalin/PFA-fixed paraffin-embedded sections)", "shortname":"IHC-P"}, "ICCIF" : {"fullname" : "Immunocytochemistry/ Immunofluorescence", "shortname":"ICC/IF"} }, "product-promise": { "all": "all", "testedAndGuaranteed": "tested", "guaranteed": "expected", "predicted": "predicted", "notRecommended": "not-recommended" } }, "values": { "Rat": { "WB-species-checked": "testedAndGuaranteed", "WB-species-dilution-info": "1-2 µg/mL", "WB-species-notes": "<p></p>", "IHCP-species-checked": "testedAndGuaranteed", "IHCP-species-dilution-info": "5 µg/mL", "IHCP-species-notes": "<p></p>", "ICCIF-species-checked": "testedAndGuaranteed", "ICCIF-species-dilution-info": "20 µg/mL", "ICCIF-species-notes": "<p></p>" } } }

Properties and storage information

Form
Liquid
Purification technique
Affinity purification Immunogen
Storage buffer
pH: 7.2 Preservative: 0.02% Sodium azide Constituents: PBS
Shipped at conditions
Blue Ice
Appropriate short-term storage duration
1-2 weeks
Appropriate short-term storage conditions
+4°C
Appropriate long-term storage conditions
-20°C
Aliquoting information
Upon delivery aliquot
Storage information
Avoid freeze / thaw cycle

Product protocols

For this product, it's our understanding that no specific protocols are required. You can visit:

Target data

Inhibits factor X (X(a)) directly and, in a Xa-dependent way, inhibits VIIa/tissue factor activity, presumably by forming a quaternary Xa/LACI/VIIa/TF complex. It possesses an antithrombotic action and also the ability to associate with lipoproteins in plasma.
See full target information TFPI

Publications (1)

Recent publications for all applications. Explore the full list and refine your search

JCI insight 10: PubMed40779453

2025

NAT10-mediated ac4C modification of Lipin1 mRNA contributes to the pathogenesis of PWMI.

Applications

Unspecified application

Species

Unspecified reactive species

Xinyu Li,Meng Zhang,Yanan Liu,Chunjie Guo,Yiwei Liu,Lei Han,Zhaowei Feng,Xiue Wei,Ruiqin Yao
View all publications

Product promise

We are committed to supporting your work with high-quality reagents, and we're here for you every step of the way. In the unlikely event that one of our products does not perform as expected, you're protected by our Product Promise.
For full details, please see our Terms & Conditions

Please note: All products are 'FOR RESEARCH USE ONLY. NOT FOR USE IN DIAGNOSTIC OR THERAPEUTIC PROCEDURES'.

For licensing inquiries, please contact partnerships@abcam.com