JavaScript is disabled in your browser. Please enable JavaScript to view this website.
AB186747

Anti-TFPI2 antibody [EPR14442]

Be the first to review this product! Submit a review

|

(12 Publications)

Rabbit Recombinant Monoclonal TFPI2 antibody. Suitable for IHC-P, IP, WB and reacts with Human, Mouse, Rat samples. Cited in 12 publications.

View Alternative Names

Tissue factor pathway inhibitor 2, TFPI-2, Placental protein 5, PP5, TFPI2

5 Images
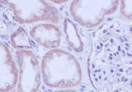
Immunohistochemistry (Formalin/PFA-fixed paraffin-embedded sections) - Anti-TFPI2 antibody [EPR14442] (AB186747)
  • IHC-P

Supplier Data

Immunohistochemistry (Formalin/PFA-fixed paraffin-embedded sections) - Anti-TFPI2 antibody [EPR14442] (AB186747)

Immunohistochemical analysis of paraffin embedded human kidney tissue sections labeling TFPI2 using ab186747 at a 1/250 dilution. A prediluted HRP polymer for Rabbit IgG was used as the secondary. Hematoxylin counterstain.

Perform heat mediated antigen retrieval with citrate buffer pH 6 before commencing with IHC staining protocol.

Immunoprecipitation - Anti-TFPI2 antibody [EPR14442] (AB186747)
  • IP

Supplier Data

Immunoprecipitation - Anti-TFPI2 antibody [EPR14442] (AB186747)

Lysate from HeLa (Human epithelial cell line from cervix adenocarcinoma) cells was immunoprecipitated with ab186747 at a 1/50 dilution. For the subsequent blot, ab186747 was used at a 1/1000 dilution, with a 1/1000 dilution of Goat Anti-Rabbit IgG, (H+L), Peroxidase conjugated as the secondary antibody. Blocking/ Dilution buffer : 5% NFDM/TBST.

All lanes:

Immunoprecipitation - Anti-TFPI2 antibody [EPR14442] (ab186747)

Predicted band size: 27 kDa

false

Western blot - Anti-TFPI2 antibody [EPR14442] (AB186747)
  • WB

Supplier Data

Western blot - Anti-TFPI2 antibody [EPR14442] (AB186747)

Blocking/ Dilution buffer : 5% NFDM /TBST.

All lanes:

Western blot - Anti-TFPI2 antibody [EPR14442] (ab186747) at 1/10000 dilution

Lane 1:

Rat spleen lysate at 10 µg

Lane 2:

HeLa (Human epithelial cell line from cervix adenocarcinoma) cell lysate at 10 µg

Secondary

All lanes:

Goat Anti-Rabbit IgG, (H+L), Peroxidase conjugated at 1/1000 dilution

Predicted band size: 27 kDa

false

Western blot - Anti-TFPI2 antibody [EPR14442] (AB186747)
  • WB

Supplier Data

Western blot - Anti-TFPI2 antibody [EPR14442] (AB186747)

Blocking/ Dilution buffer : 5% NFDM /TBST.

All lanes:

Western blot - Anti-TFPI2 antibody [EPR14442] (ab186747) at 1/5000 dilution

Lane 1:

Jurkat (Human T cell leukemia cell line from peripheral blood) cell lysate at 20 µg

Lane 2:

MCF7 (Human breast adenocarcinoma cell line) cell lysate at 20 µg

Secondary

All lanes:

Goat Anti-Rabbit IgG, (H+L), Peroxidase conjugated at 1/1000 dilution

Predicted band size: 27 kDa

false

Western blot - Anti-TFPI2 antibody [EPR14442] (AB186747)
  • WB

Supplier Data

Western blot - Anti-TFPI2 antibody [EPR14442] (AB186747)

Blocking/ Dilution buffer : 5% NFDM /TBST.

All lanes:

Western blot - Anti-TFPI2 antibody [EPR14442] (ab186747) at 1/1000 dilution

Lane 1:

Mouse brain lysate at 10 µg

Lane 2:

Mouse heart lysate at 10 µg

Lane 3:

Mouse kidney lysate at 10 µg

Lane 4:

Mouse spleen lysate at 10 µg

Secondary

All lanes:

Goat Anti-Rabbit IgG, (H+L), Peroxidase conjugated at 1/1000 dilution

Predicted band size: 27 kDa

false

Key facts

Host species

Rabbit

Clonality

Monoclonal

Clone number

EPR14442

Isotype

IgG

Carrier free

No

Reacts with

Mouse, Rat, Human

Applications

WB, IHC-P, IP

applications

Immunogen

The exact immunogen used to generate this antibody is proprietary information.

Reactivity data

{ "title": "Reactivity Data", "filters": { "stats": ["", "Species", "Dilution Info", "Notes"], "tabs": { "all-applications": {"fullname" : "All Applications", "shortname": "All Applications"}, "IHCP" : {"fullname" : "Immunohistochemistry (Formalin/PFA-fixed paraffin-embedded sections)", "shortname":"IHC-P"}, "IP" : {"fullname" : "Immunoprecipitation", "shortname":"IP"}, "WB" : {"fullname" : "Western blot", "shortname":"WB"} }, "product-promise": { "all": "all", "testedAndGuaranteed": "tested", "guaranteed": "expected", "predicted": "predicted", "notRecommended": "not-recommended" } }, "values": { "Human": { "IHCP-species-checked": "testedAndGuaranteed", "IHCP-species-dilution-info": "1/100 - 1/250", "IHCP-species-notes": "<p></p>", "IP-species-checked": "testedAndGuaranteed", "IP-species-dilution-info": "1/40 - 1/60", "IP-species-notes": "<p></p>", "WB-species-checked": "testedAndGuaranteed", "WB-species-dilution-info": "1/1000 - 1/10000", "WB-species-notes": "<p></p>" }, "Mouse": { "IHCP-species-checked": "guaranteed", "IHCP-species-dilution-info": "", "IHCP-species-notes": "", "IP-species-checked": "guaranteed", "IP-species-dilution-info": "", "IP-species-notes": "", "WB-species-checked": "testedAndGuaranteed", "WB-species-dilution-info": "1/1000 - 1/10000", "WB-species-notes": "<p></p>" }, "Rat": { "IHCP-species-checked": "guaranteed", "IHCP-species-dilution-info": "", "IHCP-species-notes": "", "IP-species-checked": "guaranteed", "IP-species-dilution-info": "", "IP-species-notes": "", "WB-species-checked": "testedAndGuaranteed", "WB-species-dilution-info": "1/1000 - 1/10000", "WB-species-notes": "<p></p>" } } }

Product details

Patented technology
Our RabMAb® technology is a patented hybridoma-based technology for making rabbit monoclonal antibodies. For details on our patents, please refer to RabMAb® patents.

What are the advantages of a recombinant monoclonal antibody?
This product is a recombinant monoclonal antibody, which offers several advantages including:

  • - High batch-to-batch consistency and reproducibility
  • - Improved sensitivity and specificity
  • - Long-term security of supply
  • - Animal-free batch production

For more information, read more on recombinant antibodies.

Properties and storage information

Form
Liquid
Purification technique
Affinity purification Protein A
Storage buffer
pH: 7.2 - 7.4 Preservative: 0.01% Sodium azide Constituents: PBS, 40% Glycerol (glycerin, glycerine), 0.05% BSA
Shipped at conditions
Blue Ice
Appropriate short-term storage duration
1-2 weeks
Appropriate short-term storage conditions
+4°C
Appropriate long-term storage conditions
-20°C
Aliquoting information
Upon delivery aliquot
Storage information
Avoid freeze / thaw cycle

Product protocols

For this product, it's our understanding that no specific protocols are required. You can visit:

Target data

May play a role in the regulation of plasmin-mediated matrix remodeling. Inhibits trypsin, plasmin, factor VIIa/tissue factor and weakly factor Xa. Has no effect on thrombin.
See full target information TFPI2

Publications (12)

Recent publications for all applications. Explore the full list and refine your search

Experimental & molecular medicine 56:2588-2601 PubMed39617791

2024

Hypothermic oxygenated perfusion inhibits CLIP1-mediated TIRAP ubiquitination via TFPI2 to reduce ischemia‒reperfusion injury of the fatty liver.

Applications

Unspecified application

Species

Unspecified reactive species

Pengpeng Yue,Xiaoyan Lv,Hankun Cao,Yongkang Zou,Jian You,Jun Luo,Zhongshan Lu,Hao Chen,Zhongzhong Liu,Zibiao Zhong,Yan Xiong,Xiaoli Fan,Qifa Ye

Cancer cell international 24:266 PubMed39068476

2024

Unveiling heterogeneity and prognostic markers in ductal breast cancer through single-cell RNA-seq.

Applications

Unspecified application

Species

Unspecified reactive species

Jianxun Hou,Wei Liu,Meihong Yan,Yanlv Ren,Cheng Qian,Yingqiang Fu,Hongbin Wang,Zhigao Li

Journal of inflammation (London, England) 20:35 PubMed37915070

2023

The TFPI2-PPARγ axis induces M2 polarization and inhibits fibroblast activation to promote recovery from post-myocardial infarction in diabetic mice.

Applications

Unspecified application

Species

Unspecified reactive species

Mengqi Guo,Zongyi Xia,Yefeng Hong,Hongwei Ji,Fuhai Li,Wenheng Liu,Shaohua Li,Hui Xin,Kai Tan,Zhexun Lian

Nature immunology 24:1654-1670 PubMed37667051

2023

Kunitz-type protease inhibitor TFPI2 remodels stemness and immunosuppressive tumor microenvironment in glioblastoma.

Applications

Unspecified application

Species

Unspecified reactive species

Lizhi Pang,Madeline Dunterman,Songlin Guo,Fatima Khan,Yang Liu,Erfan Taefi,Atousa Bahrami,Changiz Geula,Wen-Hao Hsu,Craig Horbinski,Charles David James,Peiwen Chen

Stem cells international 2023:7927747 PubMed37559681

2023

Extracellular Vesicles Derived from Human Umbilical Cord Mesenchymal Stem Cells Promote Trophoblast Cell Proliferation and Migration by Targeting TFPI2 in Preeclampsia.

Applications

Unspecified application

Species

Unspecified reactive species

Ying Chen,Chenchen Zhou,Xiaobo Zhao,Ronghua Che,Yuelin Wu,Sheng Wan,Jinda Pei,Liping Yao,Xiaolin Hua

Epigenetics 17:1738-1752 PubMed35404184

2022

mA RNA demethylase FTO promotes the growth, migration and invasion of pancreatic cancer cells through inhibiting TFPI-2.

Applications

Unspecified application

Species

Unspecified reactive species

Wei Wang,Ying He,Lu-Lu Zhai,Long-Jiang Chen,Li-Chao Yao,Lun Wu,Zhi-Gang Tang,Jin-Zhuo Ning

Frontiers in cell and developmental biology 9:764109 PubMed34938733

2021

Identification of the Recombinant Surface-Related Antigen as a Possible Immune Evasion Factor Against Human Splenic Fibroblasts by Targeting ITGB1.

Applications

Unspecified application

Species

Unspecified reactive species

Haitian Fu,Jiachen Lu,Xinxin Zhang,Bo Wang,Yifan Sun,Yao Lei,Feihu Shen,Kokouvi Kassegne,Eun-Taek Han,Yang Cheng

Redox biology 46:102084 PubMed34364219

2021

PARP1 deficiency protects against hyperglycemia-induced neointimal hyperplasia by upregulating TFPI2 activity in diabetic mice.

Applications

Unspecified application

Species

Unspecified reactive species

Zhao-Yang Wang,Meng-Qi Guo,Qing-Ke Cui,Haitao Yuan, Shan-Ji Fu,Bin Liu,Fei Xie,Wen Qiao,Jie Cheng,Ying Wang,Ming-Xiang Zhang

Frontiers in oncology 11:662434 PubMed34249699

2021

TFPI2 Promotes Perivascular Migration in an Angiotropism Model of Melanoma.

Applications

Unspecified application

Species

Unspecified reactive species

Jing Mo,Xiulan Zhao,Wei Wang,Nan Zhao,Xueyi Dong,Yanhui Zhang,Runfen Cheng,Baocun Sun

Carcinogenesis 41:1767-1780 PubMed32386317

2020

E2F5 promotes prostate cancer cell migration and invasion through regulation of TFPI2, MMP-2 and MMP-9.

Applications

Unspecified application

Species

Unspecified reactive species

Deepmala Karmakar,Jyotirindra Maity,Payel Mondal,Puskar Shyam Chowdhury,Nilabja Sikdar,Parimal Karmakar,Chandrima Das,Sanghamitra Sengupta
View all publications

Product promise

We are committed to supporting your work with high-quality reagents, and we're here for you every step of the way. In the unlikely event that one of our products does not perform as expected, you're protected by our Product Promise.
For full details, please see our Terms & Conditions

Please note: All products are 'FOR RESEARCH USE ONLY. NOT FOR USE IN DIAGNOSTIC OR THERAPEUTIC PROCEDURES'.

For licensing inquiries, please contact partnerships@abcam.com