JavaScript is disabled in your browser. Please enable JavaScript to view this website.
AB180959

Anti-TG6 antibody [EPR10308] - N-terminal

Be the first to review this product! Submit a review

|

(3 Publications)

Rabbit Recombinant Monoclonal TG6 antibody. N-terminal. Suitable for ICC/IF, WB, Flow Cyt (Intra), IHC-P and reacts with Mouse, Human samples. Cited in 3 publications.

View Alternative Names

TGM3L, TGM6, Protein-glutamine gamma-glutamyltransferase 6, Transglutaminase Y, Transglutaminase-3-like, Transglutaminase-6, TGY, TGase Y, TGase-3-like, TG6, TGase-6

8 Images
Immunohistochemistry (Formalin/PFA-fixed paraffin-embedded sections) - Anti-TG6 antibody [EPR10308] - N-terminal (AB180959)
  • IHC-P

Supplier Data

Immunohistochemistry (Formalin/PFA-fixed paraffin-embedded sections) - Anti-TG6 antibody [EPR10308] - N-terminal (AB180959)

Immunohistochemical analysis of paraffin- embedded Human adenocarcinoma of endometrium tissue labeling TG6 with ab180959 at 1/100 dilution. Secondary antibody ImmunoHistoprobe HRP Polymer for Rabbit IgG pre-diluted.

Perform heat mediated antigen retrieval with EDTA buffer pH 9 before commencing with IHC staining protocol.

Immunocytochemistry/ Immunofluorescence - Anti-TG6 antibody [EPR10308] - N-terminal (AB180959)
  • ICC/IF

Unknown

Immunocytochemistry/ Immunofluorescence - Anti-TG6 antibody [EPR10308] - N-terminal (AB180959)

Immunofluorescent analysis of 4% Paraformaldehyde-fixed, 0.1% TritonX-100 permeabilized MOLT-4 cells labelling TG6 with ab180959 at 1/50 dilution, followed by ab150077 Goat Anti-Rabbit IgG H&L (Alexa Fluor® 488) antibody at 1/1000 dilution (2 μg/mL) (Green). Confocal image showing membranous staining in MOLT-4 cell line. ab195889 Anti-alpha Tubulin mouse monoclonal antibody - Microtubule Marker (Alexa Fluor® 594) was used to counterstain tubulin at 1/200 dilution (2.5 μg/mL) (Red). The Nuclear counterstain was DAPI (Blue).

Secondary antibody only control : PBS instead of the primary antibody.

Immunocytochemistry/ Immunofluorescence - Anti-TG6 antibody [EPR10308] - N-terminal (AB180959)
  • ICC/IF

Unknown

Immunocytochemistry/ Immunofluorescence - Anti-TG6 antibody [EPR10308] - N-terminal (AB180959)

Immunofluorescent analysis of 4% Paraformaldehyde-fixed, 0.1% TritonX-100 permeabilized RAW 264.7 cells labelling TG6 with ab180959 at 1/50 dilution, followed by ab150077 Goat Anti-Rabbit IgG H&L (Alexa Fluor® 488) antibody at 1/1000 dilution (2 μg/mL) (Green). Confocal image showing membranous staining in RAW 264.7 cell line. ab195889 Anti-alpha Tubulin mouse monoclonal antibody - Microtubule Marker (Alexa Fluor® 594) was used to counterstain tubulin at 1/200 dilution (2.5 μg/mL) (Red). The Nuclear counterstain was DAPI (Blue).

Secondary antibody only control : PBS instead of the primary antibody.

Western blot - Anti-TG6 antibody [EPR10308] - N-terminal (AB180959)
  • WB

Supplier Data

Western blot - Anti-TG6 antibody [EPR10308] - N-terminal (AB180959)

All lanes:

Western blot - Anti-TG6 antibody [EPR10308] - N-terminal (ab180959) at 1/5000 dilution

All lanes:

Human fetal kidney lysate at 10 µg

Secondary

All lanes:

Goat Anti-Rabbit IgG, (H+L), Peroxidase conjugated at 1/1000 dilution

Predicted band size: 25 kDa,33 kDa,34 kDa,39 kDa,79 kDa,93 kDa

Observed band size: 120 kDa,34 kDa,39 kDa,79 kDa,93 kDa

false

Flow Cytometry (Intracellular) - Anti-TG6 antibody [EPR10308] - N-terminal (AB180959)
  • Flow Cyt (Intra)

Supplier Data

Flow Cytometry (Intracellular) - Anti-TG6 antibody [EPR10308] - N-terminal (AB180959)

Intracellular flow cytometric analysis of 2% paraformaldehyde fixed MOLT4 cells labelling TG6 (green) or negative control (red) using ab180959 at 1/20 dlution followed by Goat anti rabbit IgG (FITC) at 1/150 diltuion.

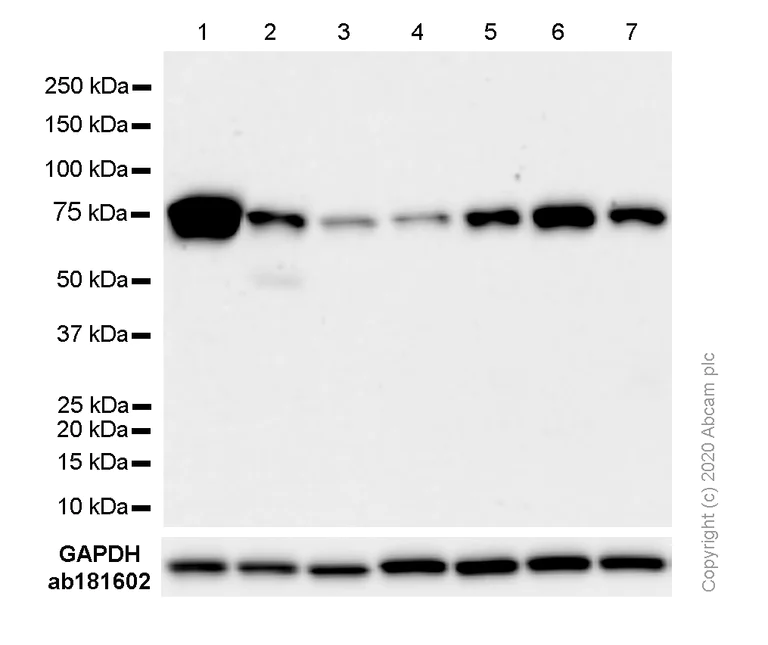
Western blot - Anti-TG6 antibody [EPR10308] - N-terminal (AB180959)
  • WB

Lab

Western blot - Anti-TG6 antibody [EPR10308] - N-terminal (AB180959)

Blocking and diluting buffer and concentration : 5% NFDM/TBST.

In Western blot, Anti-GAPDH antibody [EPR16891] - Loading Control (ab181602) staining at 1/1000000 dilution.

This antibody showed positive in mouse kidney, aorta and heart, weak in skeletal muscle and liver which is consistent with PMID : 22194042. And it detected signals were increased in the Neuro-2a differentiated group which is consistent with PMID : 21984379.

All lanes:

Western blot - Anti-TG6 antibody [EPR10308] - N-terminal (ab180959) at 1/1000 dilution

Lane 1:

RAW 264.7 (Mouse Abelson murine leukemia virus-induced tumor macrophage) cell lysate at 20 µg

Lane 2:

Mouse cerebellum tissue lysate at 20 µg

Lane 3:

Mouse kidney tissue lysate at 20 µg

Lane 4:

Mouse heart tissue lysate at 20 µg

Lane 5:

Mouse aorta tissue lysate at 20 µg

Lane 6:

Mouse skeletal muscle tissue lysate at 20 µg

Lane 7:

Mouse liver tissue lysate at 20 µg

Lane 8:

Undifferentiated Neuro-2a (Mouse neuroblastoma neuroblast) whole cell lysate at 20 µg

Lane 9:

Neuro-2a differentiated for 72 hours whole cell lysate at 20 µg

Secondary

All lanes:

Western blot - Goat Anti-Rabbit IgG H&L (HRP) (<a href='/en-us/products/secondary-antibodies/goat-rabbit-igg-h-l-hrp-ab97051'>ab97051</a>) at 1/20000 dilution

Observed band size: 75 kDa

false

Exposure time: 180s

Western blot - Anti-TG6 antibody [EPR10308] - N-terminal (AB180959)
  • WB

Supplier Data

Western blot - Anti-TG6 antibody [EPR10308] - N-terminal (AB180959)

All lanes:

Western blot - Anti-TG6 antibody [EPR10308] - N-terminal (ab180959) at 1/2000 dilution

All lanes:

MOLT-4 cell lysate at 20 µg

Secondary

All lanes:

Goat Anti-Rabbit IgG, (H+L), Peroxidase conjugated at 1/1000 dilution

Predicted band size: 79 kDa

false

Western blot - Anti-TG6 antibody [EPR10308] - N-terminal (AB180959)
  • WB

Lab

Western blot - Anti-TG6 antibody [EPR10308] - N-terminal (AB180959)

This data was generated using the same antibody clone in a different buffer formulation (ab180959).

Blocking and diluting buffer and concentration : 5% NFDM/TBST

Exposure time : 70 s

All lanes:

Western blot - Anti-TG6 antibody [EPR10308] - N-terminal (ab180959) at 1/1000 dilution

Lane 1:

MOLT-4 (Human lymphoblastic leukemia T lymphoblast) cell lysate at 10 µg

Lane 2:

Human kidney lysate at 10 µg

Lane 3:

Mouse kidney lysate at 10 µg

Lane 4:

CTLL-2 (Mouse T lymphocyte) cell lysate at 10 µg

Lane 5:

EL4 (Mouse lymphoma T lymphocyte) cell lysate at 10 µg

Lane 6:

RAW 264.7 (Mouse Abelson murine leukemia virus-induced tumor macrophage) cell lysate at 10 µg

Lane 7:

NIH/3T3 (Mouse embryonic fibroblast) cell lysate at 10 µg

Secondary

All lanes:

Western blot - Goat Anti-Rabbit IgG H&L (HRP) (<a href='/en-us/products/secondary-antibodies/goat-rabbit-igg-h-l-hrp-ab97051'>ab97051</a>) at 1/20000 dilution

Predicted band size: 79 kDa

Observed band size: 75 kDa

false

Key facts

Host species

Rabbit

Clonality

Monoclonal

Clone number

EPR10308

Isotype

IgG

Carrier free

No

Reacts with

Mouse, Human

Applications

Flow Cyt (Intra), ICC/IF, WB, IHC-P

applications

Immunogen

The exact immunogen used to generate this antibody is proprietary information.

Reactivity data

{ "title": "Reactivity Data", "filters": { "stats": ["", "Species", "Dilution Info", "Notes"], "tabs": { "all-applications": {"fullname" : "All Applications", "shortname": "All Applications"}, "ICCIF" : {"fullname" : "Immunocytochemistry/ Immunofluorescence", "shortname":"ICC/IF"}, "WB" : {"fullname" : "Western blot", "shortname":"WB"}, "FlowCytIntra" : {"fullname" : "Flow Cytometry (Intracellular)", "shortname":"Flow Cyt (Intra)"}, "IHCP" : {"fullname" : "Immunohistochemistry (Formalin/PFA-fixed paraffin-embedded sections)", "shortname":"IHC-P"} }, "product-promise": { "all": "all", "testedAndGuaranteed": "tested", "guaranteed": "expected", "predicted": "predicted", "notRecommended": "not-recommended" } }, "values": { "Human": { "ICCIF-species-checked": "testedAndGuaranteed", "ICCIF-species-dilution-info": "1/50", "ICCIF-species-notes": "<p></p>", "WB-species-checked": "testedAndGuaranteed", "WB-species-dilution-info": "1/1000 - 1/10000", "WB-species-notes": "<p></p>", "FlowCytIntra-species-checked": "testedAndGuaranteed", "FlowCytIntra-species-dilution-info": "1/20", "FlowCytIntra-species-notes": "<p><a href='/en-us/products/primary-antibodies/rabbit-igg-monoclonal-epr25a-isotype-control-ab172730'>ab172730</a> - Rabbit monoclonal IgG, is suitable for use as an isotype control with this antibody.</p>", "IHCP-species-checked": "testedAndGuaranteed", "IHCP-species-dilution-info": "1/50 - 1/100", "IHCP-species-notes": "<p></p>" }, "Mouse": { "ICCIF-species-checked": "testedAndGuaranteed", "ICCIF-species-dilution-info": "1/50", "ICCIF-species-notes": "<p></p>", "WB-species-checked": "testedAndGuaranteed", "WB-species-dilution-info": "1/1000 - 1/10000", "WB-species-notes": "<p></p>", "FlowCytIntra-species-checked": "guaranteed", "FlowCytIntra-species-dilution-info": "", "FlowCytIntra-species-notes": "", "IHCP-species-checked": "guaranteed", "IHCP-species-dilution-info": "", "IHCP-species-notes": "" }, "Rat": { "ICCIF-species-checked": "predicted", "ICCIF-species-dilution-info": "", "ICCIF-species-notes": "", "WB-species-checked": "predicted", "WB-species-dilution-info": "", "WB-species-notes": "", "FlowCytIntra-species-checked": "predicted", "FlowCytIntra-species-dilution-info": "", "FlowCytIntra-species-notes": "", "IHCP-species-checked": "predicted", "IHCP-species-dilution-info": "", "IHCP-species-notes": "" } } }

Product details

Patented technology
Our RabMAb® technology is a patented hybridoma-based technology for making rabbit monoclonal antibodies. For details on our patents, please refer to RabMAb® patents.

What are the advantages of a recombinant monoclonal antibody?
This product is a recombinant monoclonal antibody, which offers several advantages including:

  • - High batch-to-batch consistency and reproducibility
  • - Improved sensitivity and specificity
  • - Long-term security of supply
  • - Animal-free batch production

For more information, read more on recombinant antibodies.

Properties and storage information

Form
Liquid
Purification technique
Affinity purification Protein A
Storage buffer
pH: 7.2 - 7.4 Preservative: 0.01% Sodium azide Constituents: PBS, 50% Tissue culture supernatant, 40% Glycerol (glycerin, glycerine), 0.05% BSA
Shipped at conditions
Blue Ice
Appropriate short-term storage duration
1-2 weeks
Appropriate short-term storage conditions
+4°C
Appropriate long-term storage conditions
-20°C
Aliquoting information
Upon delivery aliquot
Storage information
Avoid freeze / thaw cycle

Product protocols

For this product, it's our understanding that no specific protocols are required. You can visit:

Target data

Catalyzes the cross-linking of proteins and the conjugation of polyamines to proteins.
See full target information TGM6

Publications (3)

Recent publications for all applications. Explore the full list and refine your search

Nature communications 15:3789 PubMed38710693

2024

A conserved N-terminal motif of CUL3 contributes to assembly and E3 ligase activity of CRL3.

Applications

Unspecified application

Species

Unspecified reactive species

Weize Wang,Ling Liang,Zonglin Dai,Peng Zuo,Shang Yu,Yishuo Lu,Dian Ding,Hongyi Chen,Hui Shan,Yan Jin,Youdong Mao,Yuxin Yin

International journal of molecular sciences 23: PubMed35562866

2022

Application of a Fluorescence Anisotropy-Based Assay to Quantify Transglutaminase 2 Activity in Cell Lysates.

Applications

Unspecified application

Species

Unspecified reactive species

Sandra Hauser,Paul Sommerfeld,Johanna Wodtke,Christoph Hauser,Paul Schlitterlau,Jens Pietzsch,Reik Löser,Markus Pietsch,Robert Wodtke

Cells 11: PubMed35456021

2022

The Role of Transglutaminase 2 in the Radioresistance of Melanoma Cells.

Applications

Unspecified application

Species

Unspecified reactive species

Julia Aepler,Johanna Wodtke,Robert Wodtke,Cathleen Haase-Kohn,Reik Löser,Jens Pietzsch,Sandra Hauser
View all publications

Product promise

We are committed to supporting your work with high-quality reagents, and we're here for you every step of the way. In the unlikely event that one of our products does not perform as expected, you're protected by our Product Promise.
For full details, please see our Terms & Conditions

Please note: All products are 'FOR RESEARCH USE ONLY. NOT FOR USE IN DIAGNOSTIC OR THERAPEUTIC PROCEDURES'.

For licensing inquiries, please contact partnerships@abcam.com