JavaScript is disabled in your browser. Please enable JavaScript to view this website.
AB227723

Anti-TGF alpha antibody

Be the first to review this product! Submit a review

|

(2 Publications)

Rabbit Polyclonal TGF alpha antibody. Suitable for WB, IHC-P and reacts with Human samples. Cited in 2 publications. Immunogen corresponding to Synthetic Peptide within Human Protransforming growth factor alpha.

View Alternative Names

Protransforming growth factor alpha, TGFA

2 Images
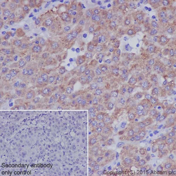
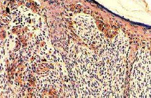
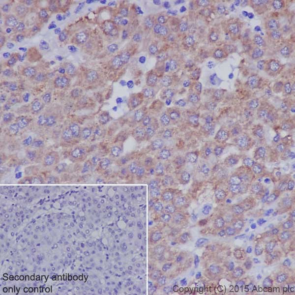
Immunohistochemistry (Formalin/PFA-fixed paraffin-embedded sections) - Anti-TGF alpha antibody (AB227723)
  • IHC-P

Supplier Data

Immunohistochemistry (Formalin/PFA-fixed paraffin-embedded sections) - Anti-TGF alpha antibody (AB227723)

Paraffin-embedded human breast carcinoma tissue stained for TGF alpha using ab227723 at 1/500 dilution in immunohistochemical analysis.

Western blot - Anti-TGF alpha antibody (AB227723)
  • WB

Supplier Data

Western blot - Anti-TGF alpha antibody (AB227723)

15% SDS-PAGE

All lanes:

Western blot - Anti-TGF alpha antibody (ab227723) at 1/1000 dilution

Lane 1:

HEK-293T (human epithelial cell line from embryonic kidney transformed with large T antigen) whole cell lysate at 30 µg

Lane 2:

TGF alpha-transfected HEK-293T whole cell lysate at 30 µg

Predicted band size: 17 kDa

true

Key facts

Host species

Rabbit

Clonality

Polyclonal

Isotype

IgG

Carrier free

No

Reacts with

Human

Applications

IHC-P, WB

applications

Immunogen

Synthetic Peptide within Human Protransforming growth factor alpha. The exact immunogen used to generate this antibody is proprietary information.

P01135

Reactivity data

{ "title": "Reactivity Data", "filters": { "stats": ["", "Species", "Dilution Info", "Notes"], "tabs": { "all-applications": {"fullname" : "All Applications", "shortname": "All Applications"}, "WB" : {"fullname" : "Western blot", "shortname":"WB"}, "IHCP" : {"fullname" : "Immunohistochemistry (Formalin/PFA-fixed paraffin-embedded sections)", "shortname":"IHC-P"} }, "product-promise": { "all": "all", "testedAndGuaranteed": "tested", "guaranteed": "expected", "predicted": "predicted", "notRecommended": "not-recommended" } }, "values": { "Human": { "WB-species-checked": "testedAndGuaranteed", "WB-species-dilution-info": "1/500 - 1/3000", "WB-species-notes": "<p></p>", "IHCP-species-checked": "testedAndGuaranteed", "IHCP-species-dilution-info": "1/100 - 1/1000", "IHCP-species-notes": "<p></p>" }, "Mouse": { "WB-species-checked": "predicted", "WB-species-dilution-info": "", "WB-species-notes": "", "IHCP-species-checked": "predicted", "IHCP-species-dilution-info": "", "IHCP-species-notes": "" }, "Rat": { "WB-species-checked": "predicted", "WB-species-dilution-info": "", "WB-species-notes": "", "IHCP-species-checked": "predicted", "IHCP-species-dilution-info": "", "IHCP-species-notes": "" }, "Pig": { "WB-species-checked": "predicted", "WB-species-dilution-info": "", "WB-species-notes": "", "IHCP-species-checked": "predicted", "IHCP-species-dilution-info": "", "IHCP-species-notes": "" } } }

Properties and storage information

Form
Liquid
Purification technique
Affinity purification Immunogen
Storage buffer
pH: 7 Preservative: 0.025% Proclin 300 Constituents: PBS, 20% Glycerol (glycerin, glycerine)
Shipped at conditions
Blue Ice
Appropriate short-term storage duration
1-2 weeks
Appropriate short-term storage conditions
+4°C
Appropriate long-term storage conditions
-20°C
Aliquoting information
Upon delivery aliquot
Storage information
Avoid freeze / thaw cycle

Product protocols

For this product, it's our understanding that no specific protocols are required. You can visit:

Target data

TGF alpha is a mitogenic polypeptide that is able to bind to the EGF receptor/EGFR and to act synergistically with TGF beta to promote anchorage-independent cell proliferation in soft agar.
See full target information Protransforming growth factor alpha

Publications (2)

Recent publications for all applications. Explore the full list and refine your search

Journal of experimental & clinical cancer research : CR 44:68 PubMed39994761

2025

Reciprocal regulation of MMP-28 and EGFR is required for sustaining proliferative signaling in PDAC.

Applications

Unspecified application

Species

Unspecified reactive species

Zhengtao Hong,Xing Huang,Linghao Xia,Tingbo Liang,Xueli Bai

Frontiers in molecular biosciences 8:691602 PubMed34222340

2021

HTR2B and SLC5A3 Are Specific Markers in Age-Related Osteoarthritis and Involved in Apoptosis and Inflammation of Osteoarthritis Synovial Cells.

Applications

Unspecified application

Species

Unspecified reactive species

Xin Lu,Yu Fan,Mingxia Li,Xiao Chang,Jun Qian
View all publications

Product promise

We are committed to supporting your work with high-quality reagents, and we're here for you every step of the way. In the unlikely event that one of our products does not perform as expected, you're protected by our Product Promise.
For full details, please see our Terms & Conditions

Please note: All products are 'FOR RESEARCH USE ONLY. NOT FOR USE IN DIAGNOSTIC OR THERAPEUTIC PROCEDURES'.

For licensing inquiries, please contact partnerships@abcam.com