JavaScript is disabled in your browser. Please enable JavaScript to view this website.
AB208156

Anti-TGF alpha antibody [EPR15346]

Be the first to review this product! Submit a review

|

(10 Publications)

Rabbit Recombinant Monoclonal TGF alpha antibody. Suitable for IP, WB, ICC/IF, IHC-P and reacts with Human samples. Cited in 10 publications.

View Alternative Names

Protransforming growth factor alpha, TGFA

9 Images
Immunocytochemistry/ Immunofluorescence - Anti-TGF alpha antibody [EPR15346] (AB208156)
  • ICC/IF

Supplier Data

Immunocytochemistry/ Immunofluorescence - Anti-TGF alpha antibody [EPR15346] (AB208156)

Immunofluorescent analysis of 4% paraformaldehyde-fixed, 0.1% Triton X-100 permeabilized HepG2 (Human liver hepatocellular carcinoma cell line) cells, treated with Brefeldin A (10 μM, 18 hours), labeling TGF alpha with ab208156 at 1/100 dilution, followed by Goat Anti-Rabbit IgG (Alexa Fluor® 488) (ab150077) secondary antibody at 1/1000 dilution (green). Confocal image showing cytoplasmic staining on HepG2 cells, treated with Brefeldin A (10 μM, 18 hours). The nuclear counter stain is DAPI (blue). Tubulin is detected with Anti-alpha Tubulin antibody - Loading Control (ab7291) at 1/1000 dilution and Goat Anti-Mouse IgG (AlexaFluor®594) preadsorbed (ab150120) at 1/1000 dilution (red).

The negative controls are as follows :
-ve control 1 : ab208156 at 1/100 dilution followed by ab150120 at 1/1000 dilution.
-ve control 2 : ab7291 at 1/1000 dilution followed by ab150077 at 1/1000 dilution.

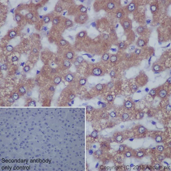
Immunohistochemistry (Formalin/PFA-fixed paraffin-embedded sections) - Anti-TGF alpha antibody [EPR15346] (AB208156)
  • IHC-P

Supplier Data

Immunohistochemistry (Formalin/PFA-fixed paraffin-embedded sections) - Anti-TGF alpha antibody [EPR15346] (AB208156)

Immunohistochemical analysis of paraffin-embedded Human liver tissue labeling TGF alpha with ab208156 at 1/4000 dilution, followed by Goat Anti-Rabbit IgG H&L (HRP) (ab97051) at 1/500 dilution. Cytoplasmic staining on Human liver is observed. Counter stained with Hematoxylin.

Secondary antibody only control : Used PBS instead of primary antibody, secondary antibody is Goat Anti-Rabbit IgG H&L (HRP) (ab97051) at 1/500 dilution.

Perform heat mediated antigen retrieval with Tris/EDTA buffer pH 9.0 before commencing with IHC staining protocol.

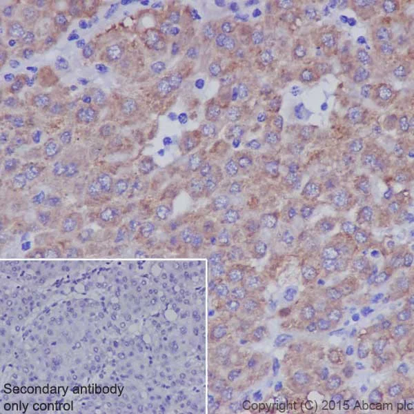
Immunohistochemistry (Formalin/PFA-fixed paraffin-embedded sections) - Anti-TGF alpha antibody [EPR15346] (AB208156)
  • IHC-P

Supplier Data

Immunohistochemistry (Formalin/PFA-fixed paraffin-embedded sections) - Anti-TGF alpha antibody [EPR15346] (AB208156)

Immunohistochemical analysis of paraffin-embedded Human hepatocellular carcinoma tissue labeling TGF alpha with ab208156 at 1/4000 dilution, followed by Goat Anti-Rabbit IgG H&L (HRP) (ab97051) at 1/500 dilution. Cytoplasm staining on the cancer cells of Human hepatocellular carcinoma is observed. Counter stained with Hematoxylin.

Secondary antibody only control : Used PBS instead of primary antibody, secondary antibody is Goat Anti-Rabbit IgG H&L (HRP) (ab97051) at 1/500 dilution.

Perform heat mediated antigen retrieval with Tris/EDTA buffer pH 9.0 before commencing with IHC staining protocol.

Immunocytochemistry/ Immunofluorescence - Anti-TGF alpha antibody [EPR15346] (AB208156)
  • ICC/IF

Supplier Data

Immunocytochemistry/ Immunofluorescence - Anti-TGF alpha antibody [EPR15346] (AB208156)

Immunofluorescent analysis of 4% paraformaldehyde-fixed, 0.1% Triton X-100 permeabilized HepG2 (Human liver hepatocellular carcinoma cell line) cells labeling TGF alpha with ab208156 at 1/100 dilution, followed by Goat Anti-Rabbit IgG (Alexa Fluor® 488) (ab150077) secondary antibody at 1/1000 dilution (green). Confocal image showing cytoplasmic staining on HepG2 cell line. The nuclear counter stain is DAPI (blue). Tubulin is detected with Anti-alpha Tubulin antibody -Loading Control (ab7291) at 1/1000 dilution and Goat Anti-Mouse IgG (AlexaFluor®594) preadsorbed (ab150120) at 1/1000 dilution (red).

The negative controls are as follows :
-ve control 1 : ab208156 at 1/100 dilution followed by ab150120 at 1/1000 dilution.
-ve control 2 : ab7291 at 1/1000 dilution followed by ab150077 at 1/1000 dilution.

Immunoprecipitation - Anti-TGF alpha antibody [EPR15346] (AB208156)
  • IP

Unknown

Immunoprecipitation - Anti-TGF alpha antibody [EPR15346] (AB208156)

TGF alpha was immunoprecipitated from 1mg of HepG2 (Human liver hepatocellular carcinoma cell line) whole cell lysate with ab208156 at 1/40 dilution. Western blot was performed from the immunoprecipitate using ab208156 at 1/1000 dilution. VeriBlot for IP Detection Reagent (HRP) (ab131366), was used for detection at 1/10000 dilution.

Lane 1 : HepG2 whole cell lysate 10μg (Input).

Lane 2 : ab208156 IP in HepG2 whole cell lysate.

Lane 3 : Rabbit IgG,monoclonal - Isotype Control (ab172730) instead of ab208156 in HepG2 whole cell lysate.

Blocking and dilution buffer and concentration : 5% NFDM/TBST.

Exposure time : 1 second.

All lanes:

Immunoprecipitation - Anti-TGF alpha antibody [EPR15346] (ab208156)

Predicted band size: 17 kDa

false

Western blot - Anti-TGF alpha antibody [EPR15346] (AB208156)
  • WB

Supplier Data

Western blot - Anti-TGF alpha antibody [EPR15346] (AB208156)

Blocking/Dilution buffer : 5% NFDM/TBST.

Exposure time : Lane 1 : 15 seconds; Lane 2 : 3 minutes.

All lanes:

Western blot - Anti-TGF alpha antibody [EPR15346] (ab208156) at 1/1000 dilution

Lane 1:

HepG2 (Human liver hepatocellular carcinoma cell line) whole cell lysate at 10 µg

Lane 2:

Ramos (Human Burkitt's lymphoma cell line) whole cell lysate at 10 µg

Secondary

All lanes:

Western blot - Goat Anti-Rabbit IgG H&L (HRP) (<a href='/en-us/products/secondary-antibodies/goat-rabbit-igg-h-l-hrp-ab97051'>ab97051</a>) at 1/100000 dilution

Predicted band size: 17 kDa,36 kDa

Observed band size: 15 kDa

false

Western blot - Anti-TGF alpha antibody [EPR15346] (AB208156)
  • WB

Lab

Western blot - Anti-TGF alpha antibody [EPR15346] (AB208156)

The different result is due to the lysates preparation method. The lysate in the left image is prepared by RIPA lysis method. The lysate in the right image is prepared by 1% SDS Hot lysis method. This antibody works better in 1% SDS Hot Lysates in WB.

For Lysate preparation protocol, please refer to the protocol section of the website and/or here.

Blocking and dilution buffer : 5% NFDM/TBST.

Lane 1:

Western blot - Anti-TGF alpha antibody [EPR15346] (ab208156) at 1/1000 dilution

Lane 2:

Western blot - Anti-TGF alpha antibody [EPR15346] (ab208156) at 1/5000 dilution

All lanes:

MCF-7 whole cell lysate at 15 µg

Secondary

All lanes:

Peroxidase-conjugated goat anti-rabbit IgG (H+L) at 1/20000 dilution

Predicted band size: 17 kDa

Observed band size: 15 kDa

false

Exposure time: 3min

Western blot - Anti-TGF alpha antibody [EPR15346] (AB208156)
  • WB

Supplier Data

Western blot - Anti-TGF alpha antibody [EPR15346] (AB208156)

Blocking/Dilution buffer : 5% NFDM/TBST.

Exposure time : Lane 1 and 3 : 3 minutes; Lane 2 : 1 minute.

All lanes:

Western blot - Anti-TGF alpha antibody [EPR15346] (ab208156) at 1/1000 dilution

Lane 1:

Human fetal skin lysate at 10 µg

Lane 2:

Human fetal liver lysate at 10 µg

Lane 3:

Human breast cancer lysate at 10 µg

Secondary

All lanes:

Goat Anti-Rabbit IgG Peroxidase Conjugate, specific to the non-reduced form of IgG at 1/10000 dilution

Predicted band size: 17 kDa,36 kDa

Observed band size: 15 kDa

false

Immunoprecipitation - Anti-TGF alpha antibody [EPR15346] (AB208156)
  • IP

Supplier Data

Immunoprecipitation - Anti-TGF alpha antibody [EPR15346] (AB208156)

TGF alpha was immunoprecipitated from 1mg of Ramos (Human Burkitt's lymphoma cell line) whole cell lysate with ab208156 at 1/40 dilution. Western blot was performed from the immunoprecipitate using ab208156 at 1/1000 dilution. VeriBlot for IP Detection Reagent (HRP) (ab131366), was used for detection at 1/10000 dilution.

Lane 1 : Ramos whole cell lysate, 10μg (Input).

Lane 2 : ab208156 IP in Ramos whole cell lysate.

Lane 3 : Rabbit IgG,monoclonal [EPR25A]-Isotype Control (ab172730) instead of ab208156 in Ramos whole cell lysate.

Blocking and dilution buffer and concentration : 5% NFDM/TBST.

Exposure time : 30 seconds.

All lanes:

Immunoprecipitation - Anti-TGF alpha antibody [EPR15346] (ab208156)

Predicted band size: 17 kDa,36 kDa

false

  • Carrier free

    Anti-TGF alpha antibody [EPR15346] - BSA and Azide free

Key facts

Host species

Rabbit

Clonality

Monoclonal

Clone number

EPR15346

Isotype

IgG

Carrier free

No

Reacts with

Human

Applications

ICC/IF, WB, IP, IHC-P

applications

Immunogen

The exact immunogen used to generate this antibody is proprietary information.

Reactivity data

{ "title": "Reactivity Data", "filters": { "stats": ["", "Species", "Dilution Info", "Notes"], "tabs": { "all-applications": {"fullname" : "All Applications", "shortname": "All Applications"}, "IP" : {"fullname" : "Immunoprecipitation", "shortname":"IP"}, "WB" : {"fullname" : "Western blot", "shortname":"WB"}, "ICCIF" : {"fullname" : "Immunocytochemistry/ Immunofluorescence", "shortname":"ICC/IF"}, "IHCP" : {"fullname" : "Immunohistochemistry (Formalin/PFA-fixed paraffin-embedded sections)", "shortname":"IHC-P"} }, "product-promise": { "all": "all", "testedAndGuaranteed": "tested", "guaranteed": "expected", "predicted": "predicted", "notRecommended": "not-recommended" } }, "values": { "Human": { "IP-species-checked": "testedAndGuaranteed", "IP-species-dilution-info": "1/40", "IP-species-notes": "<p></p>", "WB-species-checked": "testedAndGuaranteed", "WB-species-dilution-info": "1/1000", "WB-species-notes": "<p></p>", "ICCIF-species-checked": "testedAndGuaranteed", "ICCIF-species-dilution-info": "1/100", "ICCIF-species-notes": "<p></p>", "IHCP-species-checked": "testedAndGuaranteed", "IHCP-species-dilution-info": "1/4000", "IHCP-species-notes": "<p></p> Perform heat-mediated antigen retrieval with Tris/EDTA buffer pH 9.0 before commencing with IHC staining protocol." } } }

Product details

Patented technology
Our RabMAb® technology is a patented hybridoma-based technology for making rabbit monoclonal antibodies. For details on our patents, please refer to RabMAb® patents.

What are the advantages of a recombinant monoclonal antibody?
This product is a recombinant monoclonal antibody, which offers several advantages including:

  • - High batch-to-batch consistency and reproducibility
  • - Improved sensitivity and specificity
  • - Long-term security of supply
  • - Animal-free batch production

For more information, read more on recombinant antibodies.

Properties and storage information

Form
Liquid
Purification technique
Affinity purification Protein A
Storage buffer
pH: 7.2 - 7.4 Preservative: 0.01% Sodium azide Constituents: PBS, 40% Glycerol (glycerin, glycerine), 0.05% BSA
Shipped at conditions
Blue Ice
Appropriate short-term storage duration
1-2 weeks
Appropriate short-term storage conditions
+4°C
Appropriate long-term storage conditions
-20°C
Aliquoting information
Upon delivery aliquot
Storage information
Avoid freeze / thaw cycle

Product protocols

For this product, it's our understanding that no specific protocols are required. You can visit:

Target data

TGF alpha is a mitogenic polypeptide that is able to bind to the EGF receptor/EGFR and to act synergistically with TGF beta to promote anchorage-independent cell proliferation in soft agar.
See full target information Protransforming growth factor alpha

Publications (10)

Recent publications for all applications. Explore the full list and refine your search

Redox report : communications in free radical research 30:2485666 PubMed40173181

2025

Spermidine prevents iron overload-induced impaired bone mass by activating SIRT1/SOD2 signaling in senile rat model.

Applications

Unspecified application

Species

Unspecified reactive species

Zhi-Qing Du,Jia-Bin Xie,Sheng-Yi Ji,Wanshu Zhou,Zhou-Shan Tao

Cellular and molecular biology (Noisy-le-Grand, France) 69:270-278 PubMed38158666

2024

LncRNA PSMA3-AS1 promotes preterm delivery by inducing ferroptosis via miR-224-3p/Nrf2 axis.

Applications

Unspecified application

Species

Unspecified reactive species

Liyin Qiu,Xiaoqian Lin,Ruiyun Chen,Yiting Wu,Jianying Yan

NPJ precision oncology 7:102 PubMed37821657

2023

Chemoresistant fibroblasts dictate neoadjuvant chemotherapeutic response of head and neck cancer via TGFα-EGFR paracrine signaling.

Applications

Unspecified application

Species

Unspecified reactive species

Liangping Su,Sangqing Wu,Cheng Huang,Xianhua Zhuo,Jiali Chen,Xue Jiang,Xiangzhan Kong,Cui Lv,Qiuping Xu,Ping Han,Xiaoming Huang,Ping-Pui Wong

Journal of materials science. Materials in medicine 33:62 PubMed36057883

2022

Silibinin-modified Hydroxyapatite coating promotes the osseointegration of titanium rods by activation SIRT1/SOD2 signaling pathway in diabetic rats.

Applications

Unspecified application

Species

Unspecified reactive species

Zhou-Shan Tao,Hai-Sheng Wang,Tian-Lin Li,Shan Wei

PeerJ 10:e13481 PubMed35782093

2022

Therapeutic targets and signaling pathways of active components of QiLing decoction against castration-resistant prostate cancer based on network pharmacology.

Applications

Unspecified application

Species

Unspecified reactive species

Hongwen Cao,Dan Wang,Renjie Gao,Chenggong Li,Yigeng Feng,Lei Chen

Gland surgery 10:1418-1430 PubMed33968693

2021

Upregulation of LINC00511 expression by DNA hypomethylation promotes the progression of breast cancer.

Applications

Unspecified application

Species

Unspecified reactive species

Chunxiao Liu,Yuting Xu,Xu Liu,Yingqiang Fu,Kaiyuan Zhu,Zhenbo Niu,Jiaxin Liu,Cheng Qian

International journal of biological sciences 17:1250-1262 PubMed33867843

2021

Wild-type IDH1 inhibits the tumor growth through degrading HIF-α in renal cell carcinoma.

Applications

Unspecified application

Species

Unspecified reactive species

Song Chen,Yejinpeng Wang,Yaoyi Xiong,Tianchen Peng,Mengxin Lu,Lian Zhang,Zhongqiang Guo

Frontiers in oncology 10:703 PubMed32432044

2020

Overexpression of EGFR and TGFα in von Hippel-Lindau-Related Central Nervous System Hemangioblastomas.

Applications

Unspecified application

Species

Unspecified reactive species

Zhen Liu,Liang Li,Zhiqiang Yi,Hongzhou Duan,Runchun Lu,Chunwei Li,Jingcheng Zhou,Kan Gong

Cancer research 79:2220-2231 PubMed30890618

2019

CD317 Activates EGFR by Regulating Its Association with Lipid Rafts.

Applications

Unspecified application

Species

Unspecified reactive species

Guizhong Zhang,Xin Li,Qian Chen,Junxin Li,Qingguo Ruan,Youhai H Chen,Xiaolu Yang,Xiaochun Wan

Cancer science 108:1338-1346 PubMed28387999

2017

Decreased expression of acetyl-CoA synthase 2 promotes metastasis and predicts poor prognosis in hepatocellular carcinoma.

Applications

WB, IHC

Species

Unspecified reactive species, Unspecified reactive species

Lin Sun,Yinlong Kong,Manqing Cao,Hongyuan Zhou,Huikai Li,Yunlong Cui,Feng Fang,Wei Zhang,Jiafeng Li,Xiaolin Zhu,Qiang Li,Tianqiang Song,Ti Zhang
View all publications
websiteProtocolBooklet
en

Product promise

We are committed to supporting your work with high-quality reagents, and we're here for you every step of the way. In the unlikely event that one of our products does not perform as expected, you're protected by our Product Promise.
For full details, please see our Terms & Conditions

Please note: All products are 'FOR RESEARCH USE ONLY. NOT FOR USE IN DIAGNOSTIC OR THERAPEUTIC PROCEDURES'.

For licensing inquiries, please contact partnerships@abcam.com