JavaScript is disabled in your browser. Please enable JavaScript to view this website.
AB224266

Anti-TGF alpha antibody [EPR15346] - BSA and Azide free

Be the first to review this product! Submit a review

|

(2 Publications)

Rabbit Recombinant Monoclonal TGF alpha antibody. Carrier free. Suitable for IP, WB, ICC/IF, IHC-P and reacts with Human samples. Cited in 2 publications.

View Alternative Names

Protransforming growth factor alpha, TGFA

6 Images
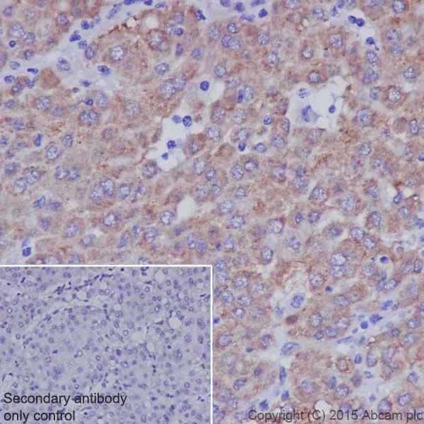
Immunohistochemistry (Formalin/PFA-fixed paraffin-embedded sections) - Anti-TGF alpha antibody [EPR15346] - BSA and Azide free (AB224266)
  • IHC-P

Supplier Data

Immunohistochemistry (Formalin/PFA-fixed paraffin-embedded sections) - Anti-TGF alpha antibody [EPR15346] - BSA and Azide free (AB224266)

Immunohistochemical analysis of paraffin-embedded Human hepatocellular carcinoma tissue labeling TGF alpha with ab208156 at 1/4000 dilution, followed by Goat Anti-Rabbit IgG H&L (HRP) (ab97051) at 1/500 dilution. Cytoplasm staining on the cancer cells of Human hepatocellular carcinoma is observed. Counter stained with Hematoxylin.

Secondary antibody only control : Used PBS instead of primary antibody, secondary antibody is Goat Anti-Rabbit IgG H&L (HRP) (ab97051) at 1/500 dilution.

This data was developed using the same antibody clone in a different buffer formulation containing PBS, BSA, glycerol, and sodium azide (ab208156).

Perform heat mediated antigen retrieval with Tris/EDTA buffer pH 9.0 before commencing with IHC staining protocol.

Immunocytochemistry/ Immunofluorescence - Anti-TGF alpha antibody [EPR15346] - BSA and Azide free (AB224266)
  • ICC/IF

Supplier Data

Immunocytochemistry/ Immunofluorescence - Anti-TGF alpha antibody [EPR15346] - BSA and Azide free (AB224266)

Immunofluorescent analysis of 4% paraformaldehyde-fixed, 0.1% Triton X-100 permeabilized HepG2 (Human liver hepatocellular carcinoma cell line) cells, treated with Brefeldin A (10 µM, 18 hours), labeling TGF alpha with ab208156 at 1/100 dilution, followed by Goat Anti-Rabbit IgG (Alexa Fluor® 488) (ab150077) secondary antibody at 1/1000 dilution (green). Confocal image showing cytoplasmic staining on HepG2 cells, treated with Brefeldin A (10 µM, 18 hours). The nuclear counter stain is DAPI (blue). Tubulin is detected with Anti-alpha Tubulin antibody - Loading Control (ab7291) at 1/1000 dilution and Goat Anti-Mouse IgG  (AlexaFluor®594) preadsorbed (ab150120) at 1/1000 dilution (red).

The negative controls are as follows :
-ve control 1 : ab208156 at 1/100 dilution followed by ab150120 at 1/1000 dilution.
-ve control 2 : ab7291  at 1/1000 dilution followed by ab150077 at 1/1000 dilution.

This data was developed using the same antibody clone in a different buffer formulation containing PBS, BSA, glycerol, and sodium azide (ab208156).

Immunocytochemistry/ Immunofluorescence - Anti-TGF alpha antibody [EPR15346] - BSA and Azide free (AB224266)
  • ICC/IF

Supplier Data

Immunocytochemistry/ Immunofluorescence - Anti-TGF alpha antibody [EPR15346] - BSA and Azide free (AB224266)

Immunofluorescent analysis of 4% paraformaldehyde-fixed, 0.1% Triton X-100 permeabilized HepG2 (Human liver hepatocellular carcinoma cell line) cells labeling TGF alpha with ab208156 at 1/100 dilution, followed by Goat Anti-Rabbit IgG (Alexa Fluor® 488) (ab150077) secondary antibody at 1/1000 dilution (green). Confocal image showing cytoplasmic staining on HepG2 cell line. The nuclear counter stain is DAPI (blue). Tubulin is detected with Anti-alpha Tubulin antibody  -Loading Control (ab7291) at 1/1000 dilution and Goat Anti-Mouse IgG  (AlexaFluor®594) preadsorbed (ab150120) at 1/1000 dilution (red).

The negative controls are as follows :
-ve control 1 : ab208156 at 1/100 dilution followed by ab150120 at 1/1000 dilution.
-ve control 2 : ab7291  at 1/1000 dilution followed by ab150077  at 1/1000 dilution.

This data was developed using the same antibody clone in a different buffer formulation containing PBS, BSA, glycerol, and sodium azide (ab208156).

Immunohistochemistry (Formalin/PFA-fixed paraffin-embedded sections) - Anti-TGF alpha antibody [EPR15346] - BSA and Azide free (AB224266)
  • IHC-P

Supplier Data

Immunohistochemistry (Formalin/PFA-fixed paraffin-embedded sections) - Anti-TGF alpha antibody [EPR15346] - BSA and Azide free (AB224266)

This IHC data was generated using the same anti-TGF alpha antibody clone [EPR15346] in a different buffer formulation (cat# ab208156).

Immunohistochemical analysis of paraffin-embedded Human liver tissue labeling TGF alpha with ab208156 at 1/4000 dilution, followed by Goat Anti-Rabbit IgG H&L (HRP) (ab97051) at 1/500 dilution. Cytoplasmic staining on Human liver is observed. Counter stained with Hematoxylin.

Secondary antibody only control : Used PBS instead of primary antibody, secondary antibody is Goat Anti-Rabbit IgG H&L (HRP) (ab97051) at 1/500 dilution.

Perform heat mediated antigen retrieval with Tris/EDTA buffer pH 9.0 before commencing with IHC staining protocol.

Immunoprecipitation - Anti-TGF alpha antibody [EPR15346] - BSA and Azide free (AB224266)
  • IP

Supplier Data

Immunoprecipitation - Anti-TGF alpha antibody [EPR15346] - BSA and Azide free (AB224266)

TGF alpha was immunoprecipitated from 1mg of Ramos (Human Burkitt's lymphoma cell line) whole cell lysate with ab208156 at 1/40 dilution. Western blot was performed from the immunoprecipitate using ab208156 at 1/1000 dilution. VeriBlot for IP Detection Reagent (HRP) (ab131366), was used for detection at 1/10000 dilution.

Lane 1 : Ramos whole cell lysate, 10μg (Input).

Lane 2 : ab208156 IP in Ramos whole cell lysate.

Lane 3 : Rabbit IgG,monoclonal [EPR25A]-Isotype Control (ab172730) instead of ab208156 in Ramos whole cell lysate.

Blocking and dilution buffer and concentration : 5% NFDM/TBST.

Exposure time : 30 seconds.

This data was developed using the same antibody clone in a different buffer formulation containing PBS, BSA, glycerol, and sodium azide (ab208156).

All lanes:

Immunoprecipitation - Anti-TGF alpha antibody [EPR15346] (<a href='/en-us/products/primary-antibodies/tgf-alpha-antibody-epr15346-ab208156'>ab208156</a>)

Predicted band size: 17 kDa,36 kDa

false

Immunoprecipitation - Anti-TGF alpha antibody [EPR15346] - BSA and Azide free (AB224266)
  • IP

Unknown

Immunoprecipitation - Anti-TGF alpha antibody [EPR15346] - BSA and Azide free (AB224266)

TGF alpha was immunoprecipitated from 1mg of HepG2 (Human liver hepatocellular carcinoma cell line) whole cell lysate with ab208156 at 1/40 dilution. Western blot was performed from the immunoprecipitate using ab208156 at 1/1000 dilution. VeriBlot for IP Detection Reagent (HRP) (ab131366), was used for detection at 1/10000 dilution.

Lane 1 : HepG2 whole cell lysate 10μg (Input).

Lane 2 : ab208156 IP in HepG2 whole cell lysate.

Lane 3 : Rabbit IgG,monoclonal - Isotype Control (ab172730) instead of ab208156 in HepG2 whole cell lysate.

Blocking and dilution buffer and concentration : 5% NFDM/TBST.

Exposure time : 1 second.

This data was developed using the same antibody clone in a different buffer formulation containing PBS, BSA, glycerol, and sodium azide (ab208156).

All lanes:

Immunoprecipitation - Anti-TGF alpha antibody [EPR15346] (<a href='/en-us/products/primary-antibodies/tgf-alpha-antibody-epr15346-ab208156'>ab208156</a>)

Predicted band size: 17 kDa

false

Key facts

Host species

Rabbit

Clonality

Monoclonal

Clone number

EPR15346

Isotype

IgG

Carrier free

Yes

Reacts with

Human

Applications

IHC-P, IP, ICC/IF, WB

applications

Immunogen

The exact immunogen used to generate this antibody is proprietary information.

Reactivity data

{ "title": "Reactivity Data", "filters": { "stats": ["", "Species", "Dilution Info", "Notes"], "tabs": { "all-applications": {"fullname" : "All Applications", "shortname": "All Applications"}, "IP" : {"fullname" : "Immunoprecipitation", "shortname":"IP"}, "WB" : {"fullname" : "Western blot", "shortname":"WB"}, "ICCIF" : {"fullname" : "Immunocytochemistry/ Immunofluorescence", "shortname":"ICC/IF"}, "IHCP" : {"fullname" : "Immunohistochemistry (Formalin/PFA-fixed paraffin-embedded sections)", "shortname":"IHC-P"} }, "product-promise": { "all": "all", "testedAndGuaranteed": "tested", "guaranteed": "expected", "predicted": "predicted", "notRecommended": "not-recommended" } }, "values": { "Human": { "IP-species-checked": "testedAndGuaranteed", "IP-species-dilution-info": "", "IP-species-notes": "<p></p>", "WB-species-checked": "guaranteed", "WB-species-dilution-info": "", "WB-species-notes": "<p></p>", "ICCIF-species-checked": "testedAndGuaranteed", "ICCIF-species-dilution-info": "", "ICCIF-species-notes": "<p></p>", "IHCP-species-checked": "testedAndGuaranteed", "IHCP-species-dilution-info": "", "IHCP-species-notes": "<p></p>" } } }

Product details

ab224266 is the carrier-free version of ab208156.

Patented technology
Our RabMAb® technology is a patented hybridoma-based technology for making rabbit monoclonal antibodies. For details on our patents, please refer to RabMAb® patents.

What are the advantages of a recombinant monoclonal antibody?
This product is a recombinant monoclonal antibody, which offers several advantages including:

  • - High batch-to-batch consistency and reproducibility
  • - Improved sensitivity and specificity
  • - Long-term security of supply
  • - Animal-free batch production

For more information, read more on recombinant antibodies.

Conjugation ready
Our carrier-free antibodies are typically supplied in a PBS-only formulation, purified and free of BSA, sodium azide and glycerol. This conjugation-ready format is designed for use with fluorochromes, metal isotopes, oligonucleotides, and enzymes, which makes them ideal for antibody labelling, functional and cell-based assays, flow-based assays (e.g. mass cytometry) and Multiplex Imaging applications.

Use our conjugation kits for antibody conjugates that are ready-to-use in as little as 20 minutes with 1 minute hands-on-time and 100% antibody recovery: available for fluorescent dyes, HRP, biotin and gold.

Compatibility
This product is compatible with the Maxpar® Antibody Labeling Kit from Fluidigm, without the need for antibody preparation. Maxpar® is a trademark of Fluidigm Canada Inc.

Properties and storage information

Form
Liquid
Purification technique
Affinity purification Protein A
Storage buffer
pH: 7.2 - 7.4 Constituents: PBS
Shipped at conditions
Blue Ice
Appropriate short-term storage conditions
+4°C
Appropriate long-term storage conditions
+4°C
Storage information
Do Not Freeze

Product protocols

For this product, it's our understanding that no specific protocols are required. You can visit:

Target data

TGF alpha is a mitogenic polypeptide that is able to bind to the EGF receptor/EGFR and to act synergistically with TGF beta to promote anchorage-independent cell proliferation in soft agar.
See full target information Protransforming growth factor alpha

Publications (2)

Recent publications for all applications. Explore the full list and refine your search

Nature genetics 57:1142-1154 PubMed40229600

2025

Longitudinal single-cell multiomic atlas of high-risk neuroblastoma reveals chemotherapy-induced tumor microenvironment rewiring.

Applications

Unspecified application

Species

Unspecified reactive species

Wenbao Yu,Rumeysa Biyik-Sit,Yasin Uzun,Chia-Hui Chen,Anusha Thadi,Jonathan H Sussman,Minxing Pang,Chi-Yun Wu,Liron D Grossmann,Peng Gao,David W Wu,Aliza Yousey,Mei Zhang,Christina S Turn,Zhan Zhang,Shovik Bandyopadhyay,Jeffrey Huang,Tasleema Patel,Changya Chen,Daniel Martinez,Lea F Surrey,Michael D Hogarty,Kathrin Bernt,Nancy R Zhang,John M Maris,Kai Tan

PloS one 12:e0176017 PubMed28426715

2017

Acute hypoxia influences collagen and matrix metalloproteinase expression by human keratoconus cells in vitro.

Applications

Unspecified application

Species

Unspecified reactive species

Tina B McKay,Jesper Hjortdal,Shrestha Priyadarsini,Dimitrios Karamichos
View all publications

Product promise

We are committed to supporting your work with high-quality reagents, and we're here for you every step of the way. In the unlikely event that one of our products does not perform as expected, you're protected by our Product Promise.
For full details, please see our Terms & Conditions

Please note: All products are 'FOR RESEARCH USE ONLY. NOT FOR USE IN DIAGNOSTIC OR THERAPEUTIC PROCEDURES'.

For licensing inquiries, please contact partnerships@abcam.com