JavaScript is disabled in your browser. Please enable JavaScript to view this website.
AB9578

Anti-TGF alpha antibody [P/T1]

4

(1 Review)

|

(7 Publications)

Mouse Monoclonal TGF alpha antibody. Suitable for IHC-P, Flow Cyt and reacts with Human samples. Cited in 7 publications. Immunogen corresponding to Synthetic Peptide within Human Protransforming growth factor alpha aa 1-50.

View Alternative Names

Protransforming growth factor alpha, TGFA

2 Images
Flow Cytometry - Anti-TGF alpha antibody [P/T1] (AB9578)
  • Flow Cyt

Unknown

Flow Cytometry - Anti-TGF alpha antibody [P/T1] (AB9578)

Overlay histogram showing A431 cells stained with ab9578 (red line). The cells were fixed with 80% methanol (5 min) and incubated in 1x PBS / 10% normal goat serum / 0.3M glycine to block non-specific protein-protein interactions. The cells were then incubated with the antibody (ab9578, 1μg/1x106 cells) for 30 min at 22°C. The secondary antibody used was DyLight® 488 goat anti-mouse IgG (H+L) (ab96879) at 1/500 dilution for 30 min at 22°C. Isotype control antibody (black line) was mouse IgG1 [ICIGG1] (ab91353, 2μg/1x106 cells) used under the same conditions. Acquisition of >5,000 events was performed.
Please note that Abcam do not have any data for use of this antibody on non-fixed cells. We welcome any customer feedback.

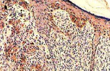
Immunohistochemistry (Formalin/PFA-fixed paraffin-embedded sections) - Anti-TGF alpha antibody [P/T1] (AB9578)
  • IHC-P

Unknown

Immunohistochemistry (Formalin/PFA-fixed paraffin-embedded sections) - Anti-TGF alpha antibody [P/T1] (AB9578)

Immunohistochemical characterization of the anti-TGF-a monoclonal antibody ab9578 on human melanoma.

Key facts

Host species

Mouse

Clonality

Monoclonal

Clone number

P/T1

Isotype

IgG1

Light chain type

kappa

Carrier free

No

Reacts with

Human

Applications

Flow Cyt, IHC-P

applications

Immunogen

Synthetic Peptide within Human Protransforming growth factor alpha aa 1-50. The exact immunogen used to generate this antibody is proprietary information.

P01135

Specificity

This antibody was selected and evaluated immunoserologically for recombinant human TGF-alpha and synthetic (uncoupled) peptides using simple binding and competitive ELISA. Immunohistochemical characterization of the anti-TGF-alpha monoclonal antibody was made on different human carcinomas. Recommended for immunohistochemical detection of TGF-alpha production in human tumor cells, immunoserological monitoring of progression of malignant tumours and for screening of therapeutic efficiency of different human tumors.

Reactivity data

{ "title": "Reactivity Data", "filters": { "stats": ["", "Species", "Dilution Info", "Notes"], "tabs": { "all-applications": {"fullname" : "All Applications", "shortname": "All Applications"}, "IHCP" : {"fullname" : "Immunohistochemistry (Formalin/PFA-fixed paraffin-embedded sections)", "shortname":"IHC-P"}, "FlowCyt" : {"fullname" : "Flow Cytometry", "shortname":"Flow Cyt"} }, "product-promise": { "all": "all", "testedAndGuaranteed": "tested", "guaranteed": "expected", "predicted": "predicted", "notRecommended": "not-recommended" } }, "values": { "Human": { "IHCP-species-checked": "testedAndGuaranteed", "IHCP-species-dilution-info": "1/100", "IHCP-species-notes": "<p></p>", "FlowCyt-species-checked": "testedAndGuaranteed", "FlowCyt-species-dilution-info": "1 µg for 10^6 Cells", "FlowCyt-species-notes": "<p><a href='/en-us/products/primary-antibodies/mouse-igg1-kappa-monoclonal-15-6e10a7-isotype-control-ab170190'>ab170190</a> - Mouse monoclonal IgG1, is suitable for use as an isotype control with this antibody.</p>" } } }

Properties and storage information

Form
Liquid
Purification technique
Affinity purification Protein A
Storage buffer
Preservative: 0.097% Sodium azide Constituents: Tris HCl, 0.2% BSA
Shipped at conditions
Blue Ice
Appropriate short-term storage duration
1-2 weeks
Appropriate short-term storage conditions
+4°C
Appropriate long-term storage conditions
-20°C
Storage information
Avoid freeze / thaw cycle

Product protocols

For this product, it's our understanding that no specific protocols are required. You can visit:

Target data

TGF alpha is a mitogenic polypeptide that is able to bind to the EGF receptor/EGFR and to act synergistically with TGF beta to promote anchorage-independent cell proliferation in soft agar.
See full target information Protransforming growth factor alpha

Publications (7)

Recent publications for all applications. Explore the full list and refine your search

Cellular and molecular gastroenterology and hepato 8:561-578 PubMed31330317

2019

PYK2 Is Involved in Premalignant Acinar Cell Reprogramming and Pancreatic Ductal Adenocarcinoma Maintenance by Phosphorylating β-Catenin.

Applications

Unspecified application

Species

Unspecified reactive species

Chenxi Gao,Guangming Chen,Dennis Han Zhang,Judy Zhang,Shih-Fan Kuan,Wenhuo Hu,Farzad Esni,Xuan Gao,Jun-Lin Guan,Edward Chu,Jing Hu

International journal of oncology 50:1947-1954 PubMed28498437

2017

Autocrine expression of the epidermal growth factor receptor ligand heparin-binding EGF-like growth factor in cervical cancer.

Applications

IHC-P

Species

Human

Marlies Schrevel,E Michelle Osse,Frans A Prins,J Baptist M Z Trimbos,Gert Jan Fleuren,Arko Gorter,Ekaterina S Jordanova

Current urology 9:192-201 PubMed28413380

2017

Expression of Epidermal Growth Factor Receptor and Transforming Growth Factor Alpha in Cancer Bladder: Schistosomal and Non-Schistosomal.

Applications

Unspecified application

Species

Unspecified reactive species

Afkar A Badawy,Ali El-Hindawi,Olfat Hammam,Mona Moussa,Noha S Helal,Amira Kamel

Carcinogenesis 33:1930-9 PubMed22791816

2012

Both stromal cell and colonocyte epidermal growth factor receptors control HCT116 colon cancer cell growth in tumor xenografts.

Applications

Unspecified application

Species

Human

Reba Mustafi,Urszula Dougherty,Hardik Shah,Hooman Dehghan,Ariel Gliksberg,Jiang Wu,Hongyan Zhu,Loren Joseph,John Hart,Caroline Dive,Alessandro Fichera,David Threadgill,Marc Bissonnette

Neurology research international 2011:891605 PubMed21799949

2011

Subarachnoid Transplant of the Human Neuronal hNT2.19 Serotonergic Cell Line Attenuates Behavioral Hypersensitivity without Affecting Motor Dysfunction after Severe Contusive Spinal Cord Injury.

Applications

IHC

Species

Unspecified reactive species

Mary J Eaton,Eva Widerström-Noga,Stacey Quintero Wolfe

Cancer biology & therapy 11:358-67 PubMed21124076

2011

PIK3CA mutations and EGFR overexpression predict for lithium sensitivity in human breast epithelial cells.

Applications

Unspecified application

Species

Unspecified reactive species

Michaela J Higgins,Julia A Beaver,Hong Yuen Wong,John P Gustin,Josh D Lauring,Joseph P Garay,Hiroyuki Konishi,Morassa Mohseni,Grace M Wang,Justin Cidado,Danijela Jelovac,David P Cosgrove,Akina Tamaki,Abde M Abukhdeir,Ben Ho Park

Orvosi hetilap 134:1303-7 PubMed8332347

1993

[Creation of monoclonal antibodies against tumor necrosis factor-alpha (TNF-alpha) and transforming growth factor alpha (TFG-alpha), their definition and possible use].

Applications

Unspecified application

Species

Unspecified reactive species

Z Bebök,G Szekeres,G Horváth,E Duda,P Németh
View all publications

Product promise

We are committed to supporting your work with high-quality reagents, and we're here for you every step of the way. In the unlikely event that one of our products does not perform as expected, you're protected by our Product Promise.
For full details, please see our Terms & Conditions

Please note: All products are 'FOR RESEARCH USE ONLY. NOT FOR USE IN DIAGNOSTIC OR THERAPEUTIC PROCEDURES'.

For licensing inquiries, please contact partnerships@abcam.com