JavaScript is disabled in your browser. Please enable JavaScript to view this website.
AB179695

Anti-TGF beta 1 antibody [EPR18163]

4

(3 Reviews)

|

(142 Publications)

Anti-TGF beta 1 antibody [EPR18163] (ab179695) is a rabbit monoclonal antibody detecting TGF beta 1 in Western Blot. Suitable for Human, Mouse, Rat.

- KO validated for confirmed specificity
- Biophysical QC for unrivalled batch-batch consistency
- Over 100 publications

View Alternative Names

TGFB, TGFB1, Transforming growth factor beta-1 proprotein

8 Images
Western blot - Anti-TGF beta 1 antibody [EPR18163] (AB179695)
  • WB

Lab

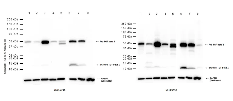
Western blot - Anti-TGF beta 1 antibody [EPR18163] (AB179695)

Blocking and diluting buffer and concentration : 5% NFDM/TBST. ab181602 was used as a GAPDH loading control. For testing samples with low expression level of TGF beta 1, we recommend ab179695 which could give stronger signal. Loading larger amount of lysate or lower antibody dilution would also help.

Lanes 1 - 8:

Western blot - Anti-TGF beta 1 antibody [EPR21143] (<a href='/en-us/products/primary-antibodies/tgf-beta-1-antibody-epr21143-ab215715'>ab215715</a>) at 1/1000 dilution

Lanes 1 - 8:

Western blot - Anti-TGF beta 1 antibody [EPR18163] (ab179695)

Lane 1:

A549 (Human lung carcinoma epithelial cell) whole cell lysate at 20 µg

Lane 2:

HL-60 (Human acute promyelocytic leukemia promyeloblast) whole cell lysate at 20 µg

Lane 3:

K-562 (Human chronic myelogenous leukemia lymphoblast) whole cell lysate at 20 µg

Lanes 4 - 5:

NIH/3T3 (Mouse embryonic fibroblast) whole cell lysate at 20 µg

Lane 6:

Mouse spleen tissue lysate

Lane 7:

Rat spleen tissue lysate

Lane 8:

Mouse heart tissue lysate

Secondary

All lanes:

Western blot - Goat Anti-Rabbit IgG H&L (HRP) (<a href='/en-us/products/secondary-antibodies/goat-rabbit-igg-h-l-hrp-ab97051'>ab97051</a>) at 1/20000 dilution

Predicted band size: 44 kDa

Observed band size: 44 kDa,12 kDa

false

Exposure time: 20s

Western blot - Anti-TGF beta 1 antibody [EPR18163] (AB179695)
  • WB

Lab

Western blot - Anti-TGF beta 1 antibody [EPR18163] (AB179695)

Lanes 1 - 4 : Merged signal (red and green). Green - ab179695 observed at 48 kDa. Red - loading control ab7291 (Mouse anti-Alpha Tubulin [DM1A]) observed at 55 kDa.

ab179695 was shown to react with TGF beta in wild-type A549 cells in Western blot with loss of signal observed in TGFB1 knockout cell line ab269509 (TGFB1 knockout cell lysate ab269671). Wild-type A549 and TGFB1 knockout cell lysates were subjected to SDS-PAGE. Membranes were blocked in 3 % milk in TBS-T (0.1 % Tween®) before incubation with ab179695 and ab7291 (Mouse anti-Alpha Tubulin [DM1A]) overnight at 4 °C at a 1 in 1000 dilution and a 1 in 20000 dilution respectively. Blots were incubated with Goat anti-Rabbit IgG H&L (IRDye® 800CW) preabsorbed (ab216773) and Goat anti-Mouse IgG H&L (IRDye® 680RD) preabsorbed (ab216776) secondary antibodies at 1 in 20000 dilution for 1 h at room temperature before imaging.

All lanes:

Western blot - Anti-TGF beta 1 antibody [EPR18163] (ab179695) at 1/1000 dilution

Lane 1:

Wild-type A549 cell lysate at 20 µg

Lane 2:

Western blot - Human TGFB1 (TGF beta 1) knockout A549 cell lysate (<a href='/en-us/products/cell-lysates/human-tgfb1-tgf-beta-1-knockout-a549-cell-lysate-ab269671'>ab269671</a>) at 20 µg

Lane 2:

TGFB1 knockout A549 cell lysate at 20 µg

Lane 3:

K562 cell lysate at 20 µg

Lane 4:

SH-SY5Y cell lysate at 20 µg

Predicted band size: 44 kDa

Observed band size: 48 kDa

false

Western blot - Anti-TGF beta 1 antibody [EPR18163] (AB179695)
  • WB

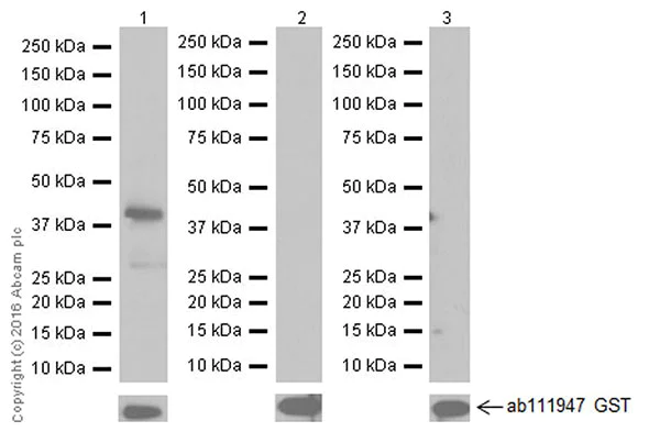
Supplier Data

Western blot - Anti-TGF beta 1 antibody [EPR18163] (AB179695)

Blocking/Dilution buffer : 5% NFDM/TBST.

Exposure time : Lane 1 : 1 second; Lane 2/3 : 3 minutes.

Recombinant protein fragment human TGF beta 1 contains aa279-390 with a GST-tag. Recombinant protein fragment human TGF beta 2 contains aa303-414 with a GST-tag Recombinant protein fragment human TGF beta 3 contains aa301-412 with a GST-tag. These three fragment recombinant proteins were made in-house.

All lanes:

Western blot - Anti-TGF beta 1 antibody [EPR18163] (ab179695) at 1/1000 dilution

Lane 1:

Recombinant protein fragment human TGF beta 1 at 0.01 µg

Lane 2:

Recombinant protein fragment human TGF beta 2 at 0.01 µg

Lane 3:

Recombinant protein fragment human TGF beta 3 at 0.01 µg

Secondary

All lanes:

Western blot - Goat Anti-Rabbit IgG H&L (HRP) (<a href='/en-us/products/secondary-antibodies/goat-rabbit-igg-h-l-hrp-ab97051'>ab97051</a>) at 1/100000 dilution

Predicted band size: 44 kDa

false

Western blot - Anti-TGF beta 1 antibody [EPR18163] (AB179695)
  • WB

Supplier Data

Western blot - Anti-TGF beta 1 antibody [EPR18163] (AB179695)

Blocking/Dilution buffer : 5% NFDM/TBST.

The expression profile observed is consistent with what has been described in the literature (PMID : 18390240; PMID : 12717387; PMID : 2139036).

All lanes:

Western blot - Anti-TGF beta 1 antibody [EPR18163] (ab179695) at 1/1000 dilution

Lane 1:

Human kidney lysate at 10 µg

Lane 2:

Human spleen lysate at 10 µg

Secondary

All lanes:

Goat Anti-Rabbit IgG Peroxidase Conjugate, specific to the non-reduced form of IgG at 1/100000 dilution

Predicted band size: 44 kDa

Observed band size: 12.5 kDa,50 kDa

false

Exposure time: 3min

Western blot - Anti-TGF beta 1 antibody [EPR18163] (AB179695)
  • WB

Lab

Western blot - Anti-TGF beta 1 antibody [EPR18163] (AB179695)

** Lanes 1 - 4 : ** Merged signal (red and green). Green - ab179695 observed at 50 kDa. Red - loading control, ab8245 observed at 37 kDa. ab179695 was shown to react with TGF beta 1 in wild-type HeLa cells. Loss of signal was observed when knockout cell line ab255439 (knockout cell lysate ab263799) was used. Wild-type and TGF beta 1 knockout samples were subjected to SDS-PAGE. ab179695 and Anti-GAPDH antibody [6C5] - Loading Control (ab8245) were incubated overnight at 4°C at 1 in 1000 dilution and 1 in 20000 dilution respectively. Blots were developed with Goat anti-Rabbit IgG H&L (IRDye® 800CW) preadsorbed (ab216773) and Goat anti-Mouse IgG H&L (IRDye® 680RD) preadsorbed (ab216776) secondary antibodies at 1 in 20000 dilution for 1 hour at room temperature before imaging.

All lanes:

Western blot - Anti-TGF beta 1 antibody [EPR18163] (ab179695) at 1/1000 dilution

Lane 1:

A549 cell lysate at 20 µg

Lane 2:

K562 cell lysate at 20 µg

Lane 2:

Western blot - Human TGFB1 (TGF beta 1) knockout HeLa cell line (<a href='/en-us/products/cell-lines/human-tgfb1-tgf-beta-1-knockout-hela-cell-line-ab255439'>ab255439</a>)

Lane 3:

Wild-type HeLa cell lysate at 20 µg

Lane 4:

TGF beta 1 knockout HeLa cell lysate at 20 µg

Secondary

All lanes:

Western blot - Goat anti-Rabbit IgG H&L (IRDye® 800CW) preadsorbed (<a href='/en-us/products/secondary-antibodies/goat-rabbit-igg-h-l-irdye-800cw-preadsorbed-ab216773'>ab216773</a>) at 1/20000 dilution

Predicted band size: 44 kDa

Observed band size: 37 kDa,50 kDa

false

Western blot - Anti-TGF beta 1 antibody [EPR18163] (AB179695)
  • WB

Supplier Data

Western blot - Anti-TGF beta 1 antibody [EPR18163] (AB179695)

Blocking/Dilution buffer : 5% NFDM/TBST.

Exposure time : Lane 1 : 3 minutes; Lane 2-4 : 30 seconds.

All lanes:

Western blot - Anti-TGF beta 1 antibody [EPR18163] (ab179695) at 1/5000 dilution

Lane 1:

L-929 (Mouse connective tissue fibroblast cell line) whole cell lysate at 10 µg

Lane 2:

RAW 264.7 (Mouse macrophage cell line transformed with Abelson murine leukemia virus) whole cell lysate at 10 µg

Lane 3:

A549 (Human lung carcinoma cell line) whole cell lysate at 10 µg

Lane 4:

K562 (Human chronic myelogenous leukemia cell line from bone marrow) whole cell lysate at 10 µg

Secondary

All lanes:

Western blot - Goat Anti-Rabbit IgG H&L (HRP) (<a href='/en-us/products/secondary-antibodies/goat-rabbit-igg-h-l-hrp-ab97051'>ab97051</a>) at 1/100000 dilution

Predicted band size: 44 kDa

Observed band size: 50 kDa

false

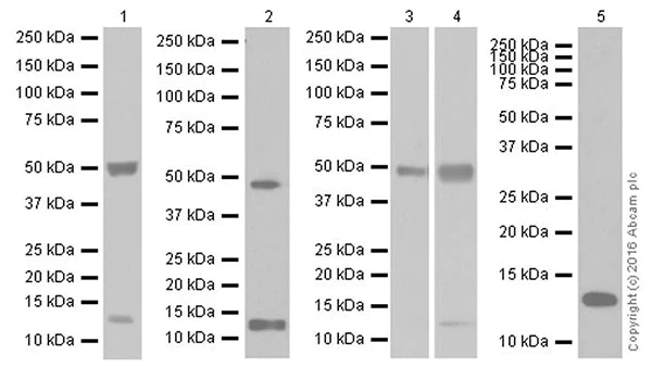
Western blot - Anti-TGF beta 1 antibody [EPR18163] (AB179695)
  • WB

Supplier Data

Western blot - Anti-TGF beta 1 antibody [EPR18163] (AB179695)

Blocking/Dilution buffer : 5% NFDM/TBST.

Exposure time : Lane 1/2/3/5 : 3minutes; Lane 4 : 30 seconds.

The expression profile observed is consistent with what has been described in the literature (PMID : 18390240; PMID : 12717387; PMID : 2139036).

Lane 1:

Western blot - Anti-TGF beta 1 antibody [EPR18163] (ab179695) at 1/5000 dilution

Lanes 2 - 5:

Western blot - Anti-TGF beta 1 antibody [EPR18163] (ab179695) at 1/1000 dilution

Lane 1:

Mouse serum at 10 µg

Lane 2:

Mouse spleen lysate at 10 µg

Lane 3:

Rat kidney lysate at 10 µg

Lane 4:

Rat spleen lysate at 10 µg

Lane 5:

Rat serum at 10 µg

Secondary

All lanes:

Western blot - Goat Anti-Rabbit IgG H&L (HRP) (<a href='/en-us/products/secondary-antibodies/goat-rabbit-igg-h-l-hrp-ab97051'>ab97051</a>) at 1/100000 dilution

Predicted band size: 44 kDa

Observed band size: 12.5 kDa,50 kDa

false

Western blot - Anti-TGF beta 1 antibody [EPR18163] (AB179695)
  • WB

CiteAb

Western blot - Anti-TGF beta 1 antibody [EPR18163] (AB179695)

TGF beta 1 western blot using anti-TGF beta 1 antibody [EPR18163] ab179695. Publication image and figure legend from Song, L., Qu, D., et al., 2017, Sci Rep, PubMed 28169366.

ab179695 was used in this publication in western blot. This may not be the same as the application(s) guaranteed by Abcam. For a full list of applications guaranteed by Abcam for ab179695 please see the product overview.

The liver pathologies in the different groups of NAFLD rats.(A) Hematoxylin and eosin (HE) staining (200×) and hepatic steatosis scores. (B) Oil Red O staining of liver tissues (200×). The NC, HF, PSEL, PSEM and PSEH groups are described in Fig. 1. The hepatic steatosis degree was decreased by PSEs intervention compared with that in the HF group.

false

  • Carrier free

    Anti-TGF beta 1 antibody [EPR18163] - BSA and Azide free

Key facts

Host species

Rabbit

Clonality

Monoclonal

Clone number

EPR18163

Isotype

IgG

Carrier free

No

Reacts with

Mouse, Rat, Human

Applications

WB

applications

Immunogen

The exact immunogen used to generate this antibody is proprietary information.

Specificity

This antibody recognizes the mature and cleaved forms of TGF-beta 1.

Reactivity data

{ "title": "Reactivity Data", "filters": { "stats": ["", "Species", "Dilution Info", "Notes"], "tabs": { "all-applications": {"fullname" : "All Applications", "shortname": "All Applications"}, "WB" : {"fullname" : "Western blot", "shortname":"WB"} }, "product-promise": { "all": "all", "testedAndGuaranteed": "tested", "guaranteed": "expected", "predicted": "predicted", "notRecommended": "not-recommended" } }, "values": { "Human": { "WB-species-checked": "testedAndGuaranteed", "WB-species-dilution-info": "1/1000", "WB-species-notes": "<p></p>" }, "Mouse": { "WB-species-checked": "testedAndGuaranteed", "WB-species-dilution-info": "1/1000", "WB-species-notes": "<p></p>" }, "Rat": { "WB-species-checked": "testedAndGuaranteed", "WB-species-dilution-info": "1/1000", "WB-species-notes": "<p></p>" } } }

Product details

What is this antibody validated in?
Anti-TGF beta 1 antibody [EPR18163] (ab179695) is a rabbit recombinant monoclonal antibody and is validated for use in Western Blot (WB) in Human, Mouse, Rat samples.

What is the molecular weight of TGF beta 1?
Anti-TGF beta 1 [EPR18163] (ab179695) specifically detects a band for TGF beta 1 (UniProt: P04202) at a molecular weight of 44kDa.

Trusted by the scientific community
Anti-TGF beta 1 [EPR18163] (ab179695) was first used in a scientific publication in 2016 and has been cited over 100 times in peer-reviewed journals.

Trial sizes available!
Test your antibody or perform pre-screening before committing to a larger quantity. Sold in 10µl. Discover our selection of trial-size antibodies.

Specificity confirmed
The specificity of Anti-TGF beta 1 antibody [EPR18163] (ab179695) has been confirmed by Western blot testing in TGFB1 Knockout HeLa cell line, ab255439.

Other related products
We have a range of other formats of antibody clone [EPR18163] also available for your convenience: ab179695, Carrier free - ab233730

Patented technology
Our RabMAb® technology is a patented hybridoma-based technology for making rabbit monoclonal antibodies. For details on our patents, please refer to RabMAb® patents.

What are the advantages of a recombinant monoclonal antibody?
This product is a recombinant monoclonal antibody, which offers several advantages including:

  • - High batch-to-batch consistency and reproducibility
  • - Improved sensitivity and specificity
  • - Long-term security of supply
  • - Animal-free batch production

For more information, read more on recombinant antibodies.

Properties and storage information

Form
Liquid
Purification technique
Affinity purification Protein A
Storage buffer
Preservative: 0.01% Sodium azide Constituents: PBS, 40% Glycerol (glycerin, glycerine), 0.05% BSA
Shipped at conditions
Blue Ice
Appropriate short-term storage duration
1-2 weeks
Appropriate short-term storage conditions
+4°C
Appropriate long-term storage conditions
-20°C
Aliquoting information
Upon delivery aliquot
Storage information
Avoid freeze / thaw cycle

Product protocols

For this product, it's our understanding that no specific protocols are required. You can visit:

Target data

Transforming growth factor beta-1 proprotein : Precursor of the Latency-associated peptide (LAP) and Transforming growth factor beta-1 (TGF-beta-1) chains, which constitute the regulatory and active subunit of TGF-beta-1, respectively.. Latency-associated peptide. Required to maintain the Transforming growth factor beta-1 (TGF-beta-1) chain in a latent state during storage in extracellular matrix (PubMed : 28117447). Associates non-covalently with TGF-beta-1 and regulates its activation via interaction with 'milieu molecules', such as LTBP1, LRRC32/GARP and LRRC33/NRROS, that control activation of TGF-beta-1 (PubMed : 19651619, PubMed : 19750484, PubMed : 2022183, PubMed : 22278742, PubMed : 8617200, PubMed : 8939931). Interaction with LRRC33/NRROS regulates activation of TGF-beta-1 in macrophages and microglia (Probable). Interaction with LRRC32/GARP controls activation of TGF-beta-1 on the surface of activated regulatory T-cells (Tregs) (PubMed : 19651619, PubMed : 19750484, PubMed : 22278742). Interaction with integrins (ITGAV : ITGB6 or ITGAV : ITGB8) results in distortion of the Latency-associated peptide chain and subsequent release of the active TGF-beta-1 (PubMed : 22278742, PubMed : 28117447).. Transforming growth factor beta-1. Multifunctional protein that regulates the growth and differentiation of various cell types and is involved in various processes, such as normal development, immune function, microglia function and responses to neurodegeneration (By similarity). Activation into mature form follows different steps : following cleavage of the proprotein in the Golgi apparatus, Latency-associated peptide (LAP) and Transforming growth factor beta-1 (TGF-beta-1) chains remain non-covalently linked rendering TGF-beta-1 inactive during storage in extracellular matrix (PubMed : 29109152). At the same time, LAP chain interacts with 'milieu molecules', such as LTBP1, LRRC32/GARP and LRRC33/NRROS that control activation of TGF-beta-1 and maintain it in a latent state during storage in extracellular milieus (PubMed : 19651619, PubMed : 19750484, PubMed : 2022183, PubMed : 22278742, PubMed : 8617200, PubMed : 8939931). TGF-beta-1 is released from LAP by integrins (ITGAV : ITGB6 or ITGAV : ITGB8) : integrin-binding to LAP stabilizes an alternative conformation of the LAP bowtie tail and results in distortion of the LAP chain and subsequent release of the active TGF-beta-1 (PubMed : 22278742, PubMed : 28117447). Once activated following release of LAP, TGF-beta-1 acts by binding to TGF-beta receptors (TGFBR1 and TGFBR2), which transduce signal (PubMed : 20207738). While expressed by many cells types, TGF-beta-1 only has a very localized range of action within cell environment thanks to fine regulation of its activation by Latency-associated peptide chain (LAP) and 'milieu molecules' (By similarity). Plays an important role in bone remodeling : acts as a potent stimulator of osteoblastic bone formation, causing chemotaxis, proliferation and differentiation in committed osteoblasts (By similarity). Can promote either T-helper 17 cells (Th17) or regulatory T-cells (Treg) lineage differentiation in a concentration-dependent manner (By similarity). At high concentrations, leads to FOXP3-mediated suppression of RORC and down-regulation of IL-17 expression, favoring Treg cell development (By similarity). At low concentrations in concert with IL-6 and IL-21, leads to expression of the IL-17 and IL-23 receptors, favoring differentiation to Th17 cells (By similarity). Stimulates sustained production of collagen through the activation of CREB3L1 by regulated intramembrane proteolysis (RIP) (PubMed : 25310401). Mediates SMAD2/3 activation by inducing its phosphorylation and subsequent translocation to the nucleus (PubMed : 25893292, PubMed : 29483653, PubMed : 30696809). Positively regulates odontoblastic differentiation in dental papilla cells, via promotion of IPO7-mediated translocation of phosphorylated SMAD2 to the nucleus and subsequent transcription of target genes (By similarity). Can induce epithelial-to-mesenchymal transition (EMT) and cell migration in various cell types (PubMed : 25893292, PubMed : 30696809).
See full target information TGFB1

Publications (142)

Recent publications for all applications. Explore the full list and refine your search

Journal of nanobiotechnology 23:648 PubMed41074162

2025

Fe-MOF loaded with capmatinib to reverse immunosuppressive microenvironment and inhibit tumor metastasis after radiofrequency ablation.

Applications

Unspecified application

Species

Unspecified reactive species

Jinchao Zhao,Lei Lei,Cheng Zeng,Xianfei Zhou,Junkang Ding,Wenbin Dai,Angfeng Jiang,Shaomin Zou,Qiao Jin,Zhe Tang

Journal of thoracic disease 17:4238-4248 PubMed40688289

2025

Effect of pirfenidone on pulmonary fibrosis in acute lung injury via the regulation of the miR-34a-5p/TGF-β1/SMAD pathway.

Applications

Unspecified application

Species

Unspecified reactive species

Chengyue Yu,Yonghuai Li,Youhui Tu,Mengyuan Dai,Liming Fei

Science advances 11:eadu8422 PubMed40561034

2025

Cardiomyocyte-derived YOD1 promotes pathological cardiac hypertrophy by deubiquitinating and stabilizing STAT3.

Applications

Unspecified application

Species

Unspecified reactive species

Bozhi Ye,Wante Lin,Yucheng Jiang,Zhaozheng Zheng,Yanhong Jin,Diyun Xu,Yingjie Liao,Zhihan Jia,Jiaji Chen,Gaojun Wu,Peiren Shan,Guang Liang

iScience 28:112517 PubMed40491477

2025

A tumor-microvessel on-a-chip reveals a mechanism for cancer cell cluster intravasation.

Applications

Unspecified application

Species

Unspecified reactive species

Yukinori Ikeda,Makoto Kondo,Jun-Ichi Suehiro,Hiroko Oshima,Sau Yee Kok,Kazuki Takahashi,Joris Pauty,Dong Wang,Hiroyuki Sakurai,Tetsuro Watabe,Masanobu Oshima,Yukiko T Matsunaga

Materials today. Bio 32:101854 PubMed40487180

2025

Multi-stage cooperative ROS-responsive hydrogel platform for drug delivery in myocardial ischemia-reperfusion injury repair.

Applications

Unspecified application

Species

Unspecified reactive species

Qiao Luo,Nianlan Cheng,Yongqing Yang,Ni Shao,Tianqi Nie,Jifeng Chen,Cuiqing Huang,Siqi Zhang,Yanyu Huang,Chon Man Ieong,Xiaokai Zhang,Kuan Hu,Zeyu Xiao,Liangping Luo

Journal of clinical and translational hepatology 13:456-468 PubMed40474887

2025

Investigation of HO-1 Regulation of Liver Fibrosis Related to Nonalcoholic Fatty Liver Disease Through the SIRT1/TGF-ß/Smad3 Pathway.

Applications

Unspecified application

Species

Unspecified reactive species

Mengjiao Sun,Xiaoqing Wu,Zhandong Lin,Congyue Zhang,Jiawei Cui,Yaoyao Mao,Yue Shi,Jiaming Zhang,Yuemin Nan

Acta pharmaceutica Sinica. B 15:1643-1658 PubMed40370563

2025

USP25 ameliorates vascular remodeling by deubiquitinating FOXO3 and promoting autophagic degradation of FOXO3.

Applications

Unspecified application

Species

Unspecified reactive species

Yanghao Chen,Bozhi Ye,Diyun Xu,Wante Lin,Zimin Fang,Xuefeng Qu,Xue Han,Wu Luo,Chen Chen,Weijian Huang,Hao Zhou,Gaojun Wu,Yi Wang,Guang Liang

Scientific reports 15:8260 PubMed40064976

2025

Protective effects of Rosa roxburghii Tratt. extract against UVB-induced inflammaging through inhibiting the IL-17 pathway.

Applications

Unspecified application

Species

Unspecified reactive species

Shuhong Zhang,Yueyue Chen,Liping Qu

Toxicology and applied pharmacology 496:117260 PubMed39929281

2025

ADAMTS13 attenuates renal fibrosis by suppressing thrombospondin 1 mediated TGF-β1/Smad3 activation.

Applications

Unspecified application

Species

Unspecified reactive species

Jie Guo,Suhan Zhou,Honghong Wang,Xingyu Qiu,Fang Dong,Shan Jiang,Nan Xu,Yu Cui,Ruisheng Liu,Pengyun Li,Zufu Ma,Liang Zhao,En Yin Lai

Scientific reports 15:3619 PubMed39880976

2025

Halofuginone prevents inflammation and proliferation of high-altitude pulmonary hypertension by inhibiting the TGF-β1/Smad signaling pathway.

Applications

Unspecified application

Species

Unspecified reactive species

Jiangtao Wang,Lina Guan,Jian Yu,Bohua Ma,Huihua Shen,Guozhu Xing,Yawei Xu,Qiufang Li,Juan Liu,Qin Xu,Wenhui Shi,Jia He,Yixuan Huang,Dongfeng Yin,Wu Li,Rui Wang
View all publications

Product promise

We are committed to supporting your work with high-quality reagents, and we're here for you every step of the way. In the unlikely event that one of our products does not perform as expected, you're protected by our Product Promise.
For full details, please see our Terms & Conditions

Please note: All products are 'FOR RESEARCH USE ONLY. NOT FOR USE IN DIAGNOSTIC OR THERAPEUTIC PROCEDURES'.

For licensing inquiries, please contact partnerships@abcam.com