JavaScript is disabled in your browser. Please enable JavaScript to view this website.
AB215715

Anti-TGF beta 1 antibody [EPR21143]

  • BOND RX™ Validated
  • RabMAb
  • Recombinant
  • KO Validated
  • What is this?

5

(6 Reviews)

|

(223 Publications)

Anti-TGF beta 1 antibody [EPR21143] (ab215715) is a rabbit monoclonal antibody detecting TGF beta 1 in Western Blot, IHC-P. Suitable for Human, Mouse, Rat.

- KO validated for confirmed specificity
- Biophysical QC for unrivalled batch-batch consistency
- Over 220 publications

View Alternative Names

TGFB, TGFB1, Transforming growth factor beta-1 proprotein

10 Images
Western blot - Anti-TGF beta 1 antibody [EPR21143] (AB215715)
  • WB

Lab

Western blot - Anti-TGF beta 1 antibody [EPR21143] (AB215715)

Lanes 1 - 4 : Merged signal (red and green). Green - ab215715 observed at 48 kDa. Red - loading control ab7291 (Mouse anti-Alpha Tubulin [DM1A]) observed at 55 kDa.

ab215715 was shown to react with TGF beta 1 in wild-type A549 cells in Western blot with loss of signal observed in TGFB1 knockout cell line ab269509 (TGFB1 knockout cell lysate ab269671). Wild-type A549 and TGFB1 knockout cell lysates were subjected to SDS-PAGE. Membranes were blocked in 3 % milk in TBS-T (0.1 % Tween®) before incubation with ab215715 and ab7291 (Mouse anti-Alpha Tubulin [DM1A]) overnight at 4 °C at a 1 in 1000 dilution and a 1 in 20000 dilution respectively. Blots were incubated with Goat anti-Rabbit IgG H&L (IRDye® 800CW) preabsorbed (ab216773) and Goat anti-Mouse IgG H&L (IRDye® 680RD) preabsorbed (ab216776) secondary antibodies at 1 in 20000 dilution for 1 h at room temperature before imaging.

All lanes:

Western blot - Anti-TGF beta 1 antibody [EPR21143] (ab215715) at 1/1000 dilution

Lane 1:

Wild-type A549 cell lysate at 20 µg

Lane 2:

TGFB1 knockout A549 cell lysate at 20 µg

Lane 2:

Western blot - Human TGFB1 (TGF beta 1) knockout A549 cell line (<a href='/en-us/products/cell-lines/human-tgfb1-tgf-beta-1-knockout-a549-cell-line-ab269509'>ab269509</a>)

Lane 3:

K562 cell lysate at 20 µg

Lane 4:

SH-SY5Y cell lysate at 20 µg

Predicted band size: 44 kDa

Observed band size: 48 kDa

false

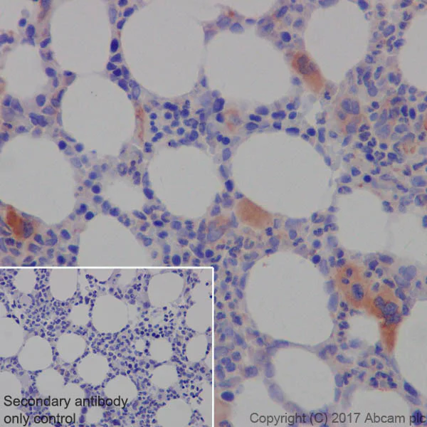
Immunohistochemistry (Formalin/PFA-fixed paraffin-embedded sections) - Anti-TGF beta 1 antibody [EPR21143] (AB215715)
  • IHC-P

Lab

Immunohistochemistry (Formalin/PFA-fixed paraffin-embedded sections) - Anti-TGF beta 1 antibody [EPR21143] (AB215715)

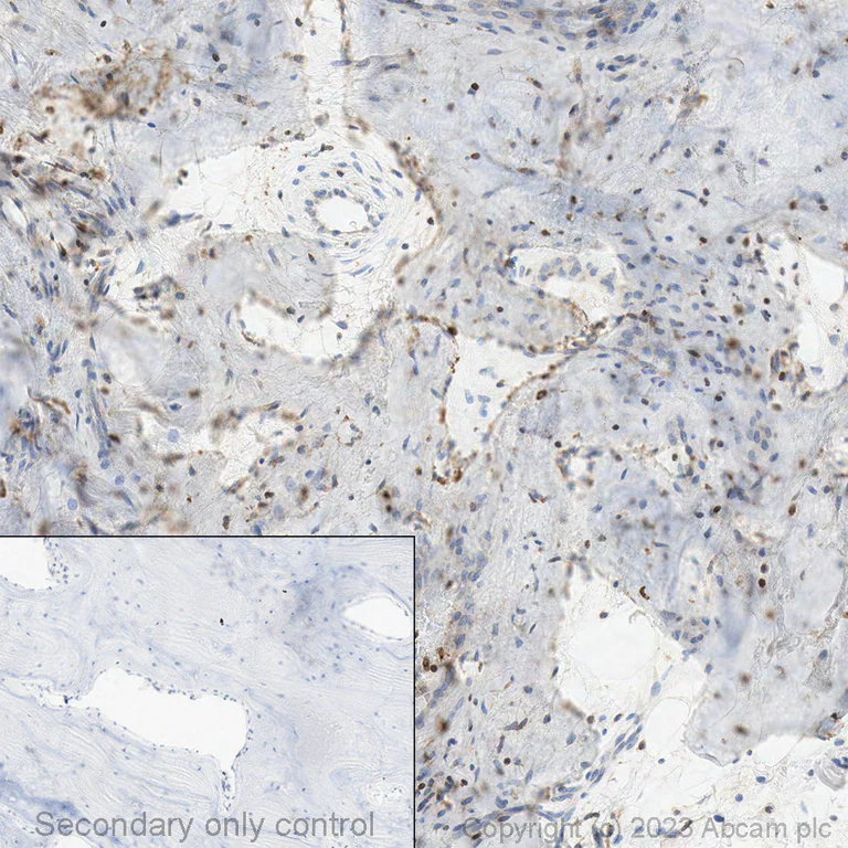
Immunohistochemical analysis of formalin-fixed paraffin-embedded human bone labelling TGF beta 1 with ab215715 at a dilution of 4µg/ml. The immunostaining was performed on a Ventana DISCOVERY ULTRA (Roche Tissue Diagnostics) instrument with an OptiView DAB IHC Detection Kit. Heat mediated antigen retrieval was conducted for 32min with ULTRA cell conditioning solution (CC1 pH8.5). ab215715 anti TGF beta 1 antibody was incubated at 37°C for 16min. Sections were counterstained is with Hematoxylin II. Image inset shows absence of staining in secondary antibody only control.

Immunohistochemistry (Formalin/PFA-fixed paraffin-embedded sections) - Anti-TGF beta 1 antibody [EPR21143] (AB215715)
  • IHC-P

Lab

Immunohistochemistry (Formalin/PFA-fixed paraffin-embedded sections) - Anti-TGF beta 1 antibody [EPR21143] (AB215715)

Immunohistochemical analysis of formalin-fixed paraffin-embedded human bone labelling TGF beta 1 with ab215715 at a concentration of 3µg/ml. The immunostaining was performed on a Leica Biosystems BOND® RX instrument with a Bond™ Polymer Refine Detection kit. Heat mediated antigen retrieval was performed with Tris-EDTA buffer (pH 9.0, Epitope Retrieval Solution 2) for 20 mins. ab215715 anti-TGF beta 1 antibody [EPR21143] was incubated for 15mins at room temperature. Sections were counterstained with Hematoxylin. Image inset shows absence of staining in secondary antibody only control.

Immunohistochemistry (Formalin/PFA-fixed paraffin-embedded sections) - Anti-TGF beta 1 antibody [EPR21143] (AB215715)
  • IHC-P

AbReview76885****

Immunohistochemistry (Formalin/PFA-fixed paraffin-embedded sections) - Anti-TGF beta 1 antibody [EPR21143] (AB215715)

Immunohistochemistry analysis (Formalin/PFA-fixed paraffin-embedded sections) of paraformaldehyde fixed, mouse spleen tissue. Stained with ab215715 at 1/300 dilution. Secondary antibody used was Dako EnVision+ System- HRP Labelled Polymer Anti-R. Blocking was done with 5% serum for 1 hour at 21°C. The sample was incubated with the primary antibody and 5% Normal Goat Serum for 19 hours at 4°C. Antigen retrieval method was heat mediated Tris/EDTA pH 9.0

This image is courtesy of an anonymous Abreview

Western blot - Anti-TGF beta 1 antibody [EPR21143] (AB215715)
  • WB

Lab

Western blot - Anti-TGF beta 1 antibody [EPR21143] (AB215715)

Lanes 1 - 4 : Merged signal (red and green). Green - ab215715 observed at 13 and 44 kDa. Red - loading control, ab7291, observed at 50 kDa.

ab215715 was shown to specifically react with in wild-type HeLa cells as signal was lost in TGFB1 knockout cells. Wild-type and TGFB1 knockout samples were subjected to SDS-PAGE. The membrane was blocked with 3% NF Milk. ab215715 and ab7291 (Mouse anti-tubulin loading control) were incubated overnight at 4°C at 1/1000 dilution and 1/20000 dilution respectively. Blots were developed with Goat anti-Rabbit IgG H&L (IRDye® 800CW) preabsorbed ab216773 and Goat anti-Mouse IgG H&L (IRDye® 680RD) preabsorbed ab216776 secondary antibodies at 1/20000 dilution for 1 hour at room temperature before imaging.

All lanes:

Western blot - Anti-TGF beta 1 antibody [EPR21143] (ab215715) at 1/1000 dilution

Lane 1:

Wild-type HeLa whole cell lysate at 20 µg

Lane 2:

TGFB1 knockout HeLa whole cell lysate at 20 µg

Lane 3:

A549 whole cell lysate at 20 µg

Lane 4:

Mouse spleen tissue lysate at 20 µg

Predicted band size: 44 kDa

Observed band size: 13 kDa,44 kDa

false

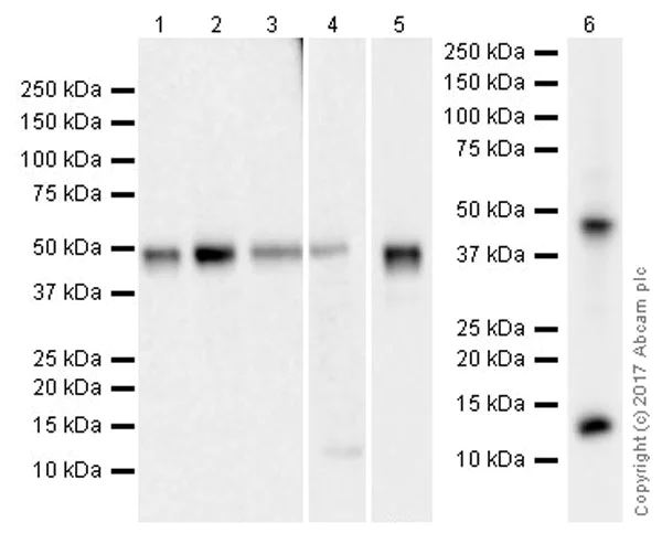
Western blot - Anti-TGF beta 1 antibody [EPR21143] (AB215715)
  • WB

Lab

Western blot - Anti-TGF beta 1 antibody [EPR21143] (AB215715)

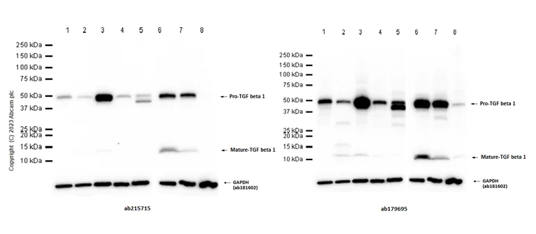
Blocking and diluting buffer and concentration : 5% NFDM/TBST. ab181602 was used as a GAPDH loading control. For testing samples with low expression level of TGF beta 1, we recommend ab179695 which could give stronger signal. Loading larger amount of lysate or lower antibody dilution would also help.

Lanes 1 - 8:

Western blot - Anti-TGF beta 1 antibody [EPR21143] (ab215715) at 1/1000 dilution

Lanes 1 - 8:

Western blot - Anti-TGF beta 1 antibody [EPR18163] (<a href='/en-us/products/primary-antibodies/tgf-beta-1-antibody-epr18163-ab179695'>ab179695</a>)

Lane 1:

A549 (Human lung carcinoma epithelial cell) whole cell lysate at 20 µg

Lane 2:

HL-60 (Human acute promyelocytic leukemia promyeloblast) whole cell lysate at 20 µg

Lane 3:

K-562 (Human chronic myelogenous leukemia lymphoblast) whole cell lysate at 20 µg

Lanes 4 - 5:

NIH/3T3 (Mouse embryonic fibroblast) whole cell lysate at 20 µg

Lane 6:

Mouse spleen tissue lysate

Lane 7:

Rat spleen tissue lysate

Lane 8:

Mouse heart tissue lysate

Secondary

All lanes:

Western blot - Goat Anti-Rabbit IgG H&L (HRP) (<a href='/en-us/products/secondary-antibodies/goat-rabbit-igg-h-l-hrp-ab97051'>ab97051</a>) at 1/20000 dilution

Predicted band size: 44 kDa

Observed band size: 44 kDa,12 kDa

false

Exposure time: 20s

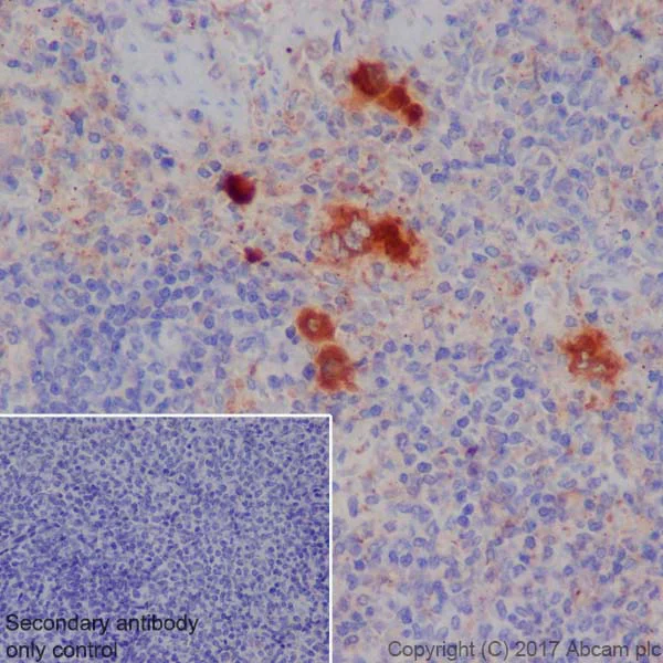
Immunohistochemistry (Formalin/PFA-fixed paraffin-embedded sections) - Anti-TGF beta 1 antibody [EPR21143] (AB215715)
  • IHC-P

Supplier Data

Immunohistochemistry (Formalin/PFA-fixed paraffin-embedded sections) - Anti-TGF beta 1 antibody [EPR21143] (AB215715)

Immunohistochemical analysis of paraffin-embedded human thrombocytosis tissue labeling TGF beta 1 with ab215715 at 1/500 dilution, followed by Goat Anti-Rabbit IgG H&L (HRP) ready to use. Cytoplasmic staining of megakaryocytes in human thrombocytosis (PMID : 25305163). Heat mediated antigen retrieval was performed using Tris/EDTA buffer pH 9.0 before commencing with IHC staining protocol.

Secondary antibody only control : Used PBS instead of primary antibody, secondary antibody is Goat Anti-Rabbit IgG H&L (HRP) ready to use.

Immunohistochemistry (Formalin/PFA-fixed paraffin-embedded sections) - Anti-TGF beta 1 antibody [EPR21143] (AB215715)
  • IHC-P

Supplier Data

Immunohistochemistry (Formalin/PFA-fixed paraffin-embedded sections) - Anti-TGF beta 1 antibody [EPR21143] (AB215715)

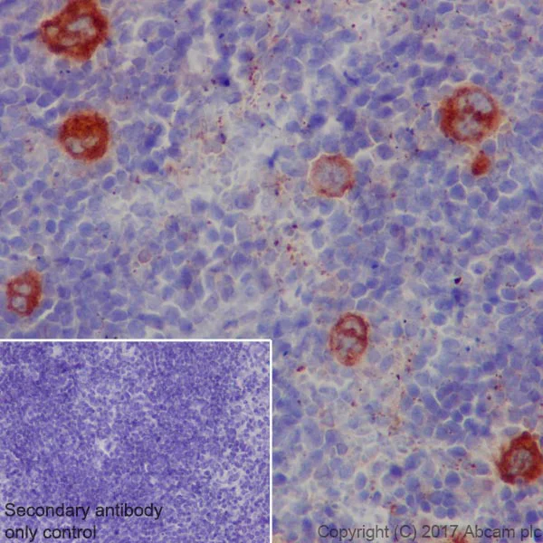
Immunohistochemical analysis of paraffin-embedded mouse spleen tissue labeling TGF beta 1 with ab215715 at 1/500 dilution, followed by Goat Anti-Rabbit IgG H&L (HRP) ready to use. Positive staining of megakaryocytes and platelets in mouse spleen (PMID : 25305163). Heat mediated antigen retrieval was performed using Tris/EDTA buffer pH 9.0 before commencing with IHC staining protocol.

Secondary antibody only control : Used PBS instead of primary antibody, secondary antibody is Goat Anti-Rabbit IgG H&L (HRP) ready to use.

Immunohistochemistry (Formalin/PFA-fixed paraffin-embedded sections) - Anti-TGF beta 1 antibody [EPR21143] (AB215715)
  • IHC-P

Supplier Data

Immunohistochemistry (Formalin/PFA-fixed paraffin-embedded sections) - Anti-TGF beta 1 antibody [EPR21143] (AB215715)

Immunohistochemical analysis of paraffin-embedded rat spleen tissue labeling TGF beta 1 with ab215715 at 1/500 dilution, followed by Goat Anti-Rabbit IgG H&L (HRP) ready to use. Positive staining of megakaryocytes and platelets in rat spleen (PMID : 25305163). Heat mediated antigen retrieval was performed using Tris/EDTA buffer pH 9.0 before commencing with IHC staining protocol.

Secondary antibody only control : Used PBS instead of primary antibody, secondary antibody is Goat Anti-Rabbit IgG H&L (HRP) ready to use.

Western blot - Anti-TGF beta 1 antibody [EPR21143] (AB215715)
  • WB

Supplier Data

Western blot - Anti-TGF beta 1 antibody [EPR21143] (AB215715)

Exposure times : Lanes 1-4 : 3 minutes; Lane 5 : 41 seconds; Lane 6 : 24 seconds.

Blocking/Dilution buffer : 5% NFDM/TBST.

The molecular mass observed is consistent with the literature (PMID 2139036).

The blot was developed on a BIO-RAD® ChemiDoc™ MP instrument.

All lanes:

Western blot - Anti-TGF beta 1 antibody [EPR21143] (ab215715) at 1/1000 dilution

Lane 1:

NIH/3T3 (mouse embryo fibroblast cell line) whole cell lysate at 20 µg

Lane 2:

L-929 (mouse connective tissue fibroblast cell line) whole cell lysate at 20 µg

Lane 3:

A549 (human lung carcinoma cell line) whole cell lysate at 20 µg

Lane 4:

HL-60 (human promyelocytic leukemia cell line) whole cell lysate at 20 µg

Lane 5:

RAW 264.7 (mouse macrophage cell line transformed with Abelson murine leukemia virus) whole cell lysate at 20 µg

Lane 6:

Mouse spleen lysate at 10 µg

Secondary

All lanes:

Western blot - Goat Anti-Rabbit IgG H&L (HRP) (<a href='/en-us/products/secondary-antibodies/goat-rabbit-igg-h-l-hrp-ab97051'>ab97051</a>) at 1/20000 dilution

Predicted band size: 44 kDa

Observed band size: 12 kDa,44 kDa

true

Key facts

Host species

Rabbit

Clonality

Monoclonal

Clone number

EPR21143

Isotype

IgG

Carrier free

No

Reacts with

Mouse, Rat, Human

Applications

IHC-P, WB

applications

Immunogen

The exact immunogen used to generate this antibody is proprietary information.

Specificity

For testing samples with low expression level of TGF beta 1, we recommend ab179695 which could give stronger signal. Loading larger amount of lysate or lower antibody dilution would also help.

Reactivity data

{ "title": "Reactivity Data", "filters": { "stats": ["", "Species", "Dilution Info", "Notes"], "tabs": { "all-applications": {"fullname" : "All Applications", "shortname": "All Applications"}, "WB" : {"fullname" : "Western blot", "shortname":"WB"}, "IHCP" : {"fullname" : "Immunohistochemistry (Formalin/PFA-fixed paraffin-embedded sections)", "shortname":"IHC-P"} }, "product-promise": { "all": "all", "testedAndGuaranteed": "tested", "guaranteed": "expected", "predicted": "predicted", "notRecommended": "not-recommended" } }, "values": { "Human": { "WB-species-checked": "testedAndGuaranteed", "WB-species-dilution-info": "1/1000", "WB-species-notes": "<p>Actual band: 13 kDa and 44 kDa</p>", "IHCP-species-checked": "testedAndGuaranteed", "IHCP-species-dilution-info": "1/500", "IHCP-species-notes": "<p></p> Perform heat-mediated antigen retrieval with Tris/EDTA buffer pH 9.0 before commencing with IHC staining protocol." }, "Mouse": { "WB-species-checked": "testedAndGuaranteed", "WB-species-dilution-info": "1/1000", "WB-species-notes": "<p>Actual band: 13 kDa and 44 kDa</p>", "IHCP-species-checked": "testedAndGuaranteed", "IHCP-species-dilution-info": "1/500", "IHCP-species-notes": "<p></p> Perform heat-mediated antigen retrieval with Tris/EDTA buffer pH 9.0 before commencing with IHC staining protocol." }, "Rat": { "WB-species-checked": "testedAndGuaranteed", "WB-species-dilution-info": "1/1000", "WB-species-notes": "<p>Actual band: 13 kDa and 44 kDa</p>", "IHCP-species-checked": "testedAndGuaranteed", "IHCP-species-dilution-info": "1/500", "IHCP-species-notes": "<p></p> Perform heat-mediated antigen retrieval with Tris/EDTA buffer pH 9.0 before commencing with IHC staining protocol." } } }

You may be interested in:

AB100647

Human TGF beta 1 ELISA Kit

5

2 Reviews

View product

We recommend this product because it’s often used in the same experiment or related research.

We advise that you always check the datasheet to ensure it fits your experiments, or contact ourtechnical teamfor help.

Product details

Anti-TGFB1 antibody [EPR21143] (ab215715) was developed by Abcam using patented rabbit monoclonal antibody technology and is validated for use in IHC-P and WB.

Anti-TGF beta 1 antibody [EPR21143] (ab215715) was first used in a scientific publication in 2019 and has been cited over 223 times in peer reviewed journals. It's performance in Western blot in human, mouse and rat samples is trusted by the scientific community.

Abcam's high quality manufacturing and validation processes ensure Anti-TGF beta 1 antibody [EPR21143] (ab215715) has high sensitivity and specificity alongside high lot-to-lot consistency and reproducibility.

The specificity of Anti-TGF beta 1 antibody [EPR21143] (ab215715) has been confirmed by Western Blot testing in TGF beta 1 knockout A549 cells (ab269509).

Anti-TGF beta 1 antibody [EPR21143] (ab215715) has 6 independent reviews from customers.

Anti-TGFB1 antibody [EPR21143] (ab215715) specifically detects TGF beta 1 (UniProt ID: P04202; Molecular weight: 29kDa) and is sold in 100 µL and 1 mL selling sizes.

Conjugation-ready, carrier free format available for antibody clone EPR21143 - ab229856.

Antibody clone EPR21143 is also available pre-conjugated to a variety of labels for your convenience - Alexa Fluor® 647, Alexa Fluor® 488, Alexa Fluor® 555 (ab281316, ab313729, ab313730).

TGF-β1 (Transforming Growth Factor Beta 1) is a cytokine that suppresses immune cell activity, aiding tumor growth and immune evasion. It also regulates the tumor microenvironment, contributing to fibrosis and tissue remodeling.

Our RabMAb® technology is a patented hybridoma-based technology for making rabbit monoclonal antibodies. For details on our patents, please refer to RabMAb® patents.

This product is a recombinant monoclonal antibody, which offers several advantages including:

  • - High batch-to-batch consistency and reproducibility
  • - Improved sensitivity and specificity
  • - Long-term security of supply
  • - Animal-free batch production

For more information, read more on recombinant antibodies.

Patented technology
Our RabMAb® technology is a patented hybridoma-based technology for making rabbit monoclonal antibodies. For details on our patents, please refer to RabMAb® patents.

What are the advantages of a recombinant monoclonal antibody?
This product is a recombinant monoclonal antibody, which offers several advantages including:

  • - High batch-to-batch consistency and reproducibility
  • - Improved sensitivity and specificity
  • - Long-term security of supply
  • - Animal-free batch production

For more information, read more on recombinant antibodies.

Properties and storage information

Form
Liquid
Purification technique
Affinity purification Protein A
Storage buffer
pH: 7.2 - 7.4 Preservative: 0.01% Sodium azide Constituents: PBS, 40% Glycerol (glycerin, glycerine), 0.05% BSA
Shipped at conditions
Blue Ice
Appropriate short-term storage duration
1-2 weeks
Appropriate short-term storage conditions
+4°C
Appropriate long-term storage conditions
-20°C
Aliquoting information
Upon delivery aliquot
Storage information
Avoid freeze / thaw cycle

Product protocols

For this product, it's our understanding that no specific protocols are required. You can visit:

Target data

Transforming growth factor beta-1 proprotein : Precursor of the Latency-associated peptide (LAP) and Transforming growth factor beta-1 (TGF-beta-1) chains, which constitute the regulatory and active subunit of TGF-beta-1, respectively.. Latency-associated peptide. Required to maintain the Transforming growth factor beta-1 (TGF-beta-1) chain in a latent state during storage in extracellular matrix (PubMed : 28117447). Associates non-covalently with TGF-beta-1 and regulates its activation via interaction with 'milieu molecules', such as LTBP1, LRRC32/GARP and LRRC33/NRROS, that control activation of TGF-beta-1 (PubMed : 19651619, PubMed : 19750484, PubMed : 2022183, PubMed : 22278742, PubMed : 8617200, PubMed : 8939931). Interaction with LRRC33/NRROS regulates activation of TGF-beta-1 in macrophages and microglia (Probable). Interaction with LRRC32/GARP controls activation of TGF-beta-1 on the surface of activated regulatory T-cells (Tregs) (PubMed : 19651619, PubMed : 19750484, PubMed : 22278742). Interaction with integrins (ITGAV : ITGB6 or ITGAV : ITGB8) results in distortion of the Latency-associated peptide chain and subsequent release of the active TGF-beta-1 (PubMed : 22278742, PubMed : 28117447).. Transforming growth factor beta-1. Multifunctional protein that regulates the growth and differentiation of various cell types and is involved in various processes, such as normal development, immune function, microglia function and responses to neurodegeneration (By similarity). Activation into mature form follows different steps : following cleavage of the proprotein in the Golgi apparatus, Latency-associated peptide (LAP) and Transforming growth factor beta-1 (TGF-beta-1) chains remain non-covalently linked rendering TGF-beta-1 inactive during storage in extracellular matrix (PubMed : 29109152). At the same time, LAP chain interacts with 'milieu molecules', such as LTBP1, LRRC32/GARP and LRRC33/NRROS that control activation of TGF-beta-1 and maintain it in a latent state during storage in extracellular milieus (PubMed : 19651619, PubMed : 19750484, PubMed : 2022183, PubMed : 22278742, PubMed : 8617200, PubMed : 8939931). TGF-beta-1 is released from LAP by integrins (ITGAV : ITGB6 or ITGAV : ITGB8) : integrin-binding to LAP stabilizes an alternative conformation of the LAP bowtie tail and results in distortion of the LAP chain and subsequent release of the active TGF-beta-1 (PubMed : 22278742, PubMed : 28117447). Once activated following release of LAP, TGF-beta-1 acts by binding to TGF-beta receptors (TGFBR1 and TGFBR2), which transduce signal (PubMed : 20207738). While expressed by many cells types, TGF-beta-1 only has a very localized range of action within cell environment thanks to fine regulation of its activation by Latency-associated peptide chain (LAP) and 'milieu molecules' (By similarity). Plays an important role in bone remodeling : acts as a potent stimulator of osteoblastic bone formation, causing chemotaxis, proliferation and differentiation in committed osteoblasts (By similarity). Can promote either T-helper 17 cells (Th17) or regulatory T-cells (Treg) lineage differentiation in a concentration-dependent manner (By similarity). At high concentrations, leads to FOXP3-mediated suppression of RORC and down-regulation of IL-17 expression, favoring Treg cell development (By similarity). At low concentrations in concert with IL-6 and IL-21, leads to expression of the IL-17 and IL-23 receptors, favoring differentiation to Th17 cells (By similarity). Stimulates sustained production of collagen through the activation of CREB3L1 by regulated intramembrane proteolysis (RIP) (PubMed : 25310401). Mediates SMAD2/3 activation by inducing its phosphorylation and subsequent translocation to the nucleus (PubMed : 25893292, PubMed : 29483653, PubMed : 30696809). Positively regulates odontoblastic differentiation in dental papilla cells, via promotion of IPO7-mediated translocation of phosphorylated SMAD2 to the nucleus and subsequent transcription of target genes (By similarity). Can induce epithelial-to-mesenchymal transition (EMT) and cell migration in various cell types (PubMed : 25893292, PubMed : 30696809).
See full target information TGFB1

Publications (223)

Recent publications for all applications. Explore the full list and refine your search

Pharmaceuticals (Basel, Switzerland) 16: PubMed38139865

2023

Mitigating Scar Tissue Formation in Tendon Injuries: Targeting HMGB1, AMPK Activation, and Myofibroblast Migration All at Once.

Applications

Unspecified application

Species

Unspecified reactive species

Jianying Zhang,Roshawn Brown,MaCalus V Hogan,James H-C Wang

Cancers 15: PubMed38136312

2023

SOX2-OT Binds with ILF3 to Promote Head and Neck Cancer Progression by Modulating Crosstalk between STAT3 and TGF-β Signaling.

Applications

Unspecified application

Species

Unspecified reactive species

Ru Wang,Yifan Yang,Lingwa Wang,Qian Shi,Hongzhi Ma,Shizhi He,Ling Feng,Jugao Fang

Biomolecules & biomedicine : PubMed38059910

2023

Mechanism of adipose tissue-derived stromal cell-extracellular vesicles in treating oral submucous fibrosis by blocking the TGF-β1/Smad3 pathway via the miR-760-3p/IGF1R axis

Applications

Unspecified application

Species

Unspecified reactive species

Fengcong Wang,Li Jiang,Ping Liu,Yanjun Jiang

Acta cirurgica brasileira 38:e385823 PubMed38055395

2023

Saffron reduces the liver fibrosis in mice by inhibiting the JAK/STAT3 pathway.

Applications

Unspecified application

Species

Unspecified reactive species

Lijuan Huang,Yan Han,Zhi Wang,Qiao Qiu,Sichen Yue,Qingmin Zhou,Wei Su,Jianhui Yan

Biomedicines 11: PubMed38137362

2023

Hydrogen Inhalation Reduces Lung Inflammation and Blood Pressure in the Experimental Model of Pulmonary Hypertension in Rats.

Applications

Unspecified application

Species

Unspecified reactive species

Tatyana Kuropatkina,Dmitrii Atiakshin,Fedor Sychev,Marina Artemieva,Tatyana Samoilenko,Olga Gerasimova,Viktoriya Shishkina,Khaydar Gufranov,Natalia Medvedeva,Tyler W LeBaron,Oleg Medvedev

Cell death & disease 14:759 PubMed37993428

2023

PDPN CAFs facilitate the motility of OSCC cells by inhibiting ferroptosis via transferring exosomal lncRNA FTX.

Applications

Unspecified application

Species

Unspecified reactive species

Yaoyin Li,Zeyi Ma,Weiyu Li,Xiaoqing Xu,Peiqi Shen,Si-En Zhang,Bin Cheng,Juan Xia

The Journal of nutritional biochemistry 124:109535 PubMed37984734

2023

Raspberry polyphenols target molecular pathways of heart failure.

Applications

Unspecified application

Species

Unspecified reactive species

Rami S Najjar,Ranjan K Roy,Javier E Stern,Rafaela G Feresin

Journal of translational medicine 21:805 PubMed37951977

2023

Establishment and application of the BRP prognosis model for idiopathic pulmonary fibrosis.

Applications

Unspecified application

Species

Unspecified reactive species

Xiaoyun Cheng,Zhichao Feng,Boyu Pan,Qingxiang Liu,Yuanyuan Han,Lijun Zou,Pengfei Rong,Jie Meng

Aging 15:11985-11993 PubMed37910782

2023

Inhibition of keloid by P isotope radiotherapy through suppressing TGF-β/Smad signaling pathway.

Applications

Unspecified application

Species

Unspecified reactive species

Long Xie,Liqun Huang,Guanjie Zhang,Yingrui Su

Experimental and therapeutic medicine 26:572 PubMed38023356

2023

Dapagliflozin can alleviate renal fibrosis in rats with streptozotocin‑induced type 2 diabetes mellitus.

Applications

Unspecified application

Species

Unspecified reactive species

Song Xue,Ying-Xuan Li,Xiao-Xiao Lu,Wei Tang
View all publications

Product promise

We are committed to supporting your work with high-quality reagents, and we're here for you every step of the way. In the unlikely event that one of our products does not perform as expected, you're protected by our Product Promise.
For full details, please see our Terms & Conditions

Associated Products

Select an associated product type
Alternative Product
Primary Antibodies

AB190503

Anti-TGF beta 1 antibody [TB21]

primary-antibodies

tgf-beta-1-antibody-tb21-ab190503

0

(0 reviews)

Alternative Product
Primary Antibodies

AB179695

Anti-TGF beta 1 antibody [EPR18163]

primary-antibodies

tgf-beta-1-antibody-epr18163-ab179695

4

(3 reviews)

Alternative Product
Primary Antibodies

AB9758

Anti-TGF beta 1 antibody

primary-antibodies

tgf-beta-1-antibody-ab9758

4

(3 reviews)

Alternative Product
Primary Antibodies

AB233730

Anti-TGF beta 1 antibody [EPR18163] - BSA and Azide free

primary-antibodies

tgf-beta-1-antibody-epr18163-bsa-and-azide-free-ab233730

0

(0 reviews)

Alternative Version
Primary Antibodies

AB281316

Alexa Fluor® 647 Anti-TGF beta 1 antibody [EPR21143]

primary-antibodies

alexa-fluor-647-tgf-beta-1-antibody-epr21143-ab281316

0

(0 reviews)

Please note: All products are 'FOR RESEARCH USE ONLY. NOT FOR USE IN DIAGNOSTIC OR THERAPEUTIC PROCEDURES'.

For licensing inquiries, please contact partnerships@abcam.com