JavaScript is disabled in your browser. Please enable JavaScript to view this website.
AB308300

Anti-TGF beta 3 antibody [EPR27093-72]

Be the first to review this product! Submit a review

|

(0 Publication)

Rabbit Recombinant Monoclonal TGF beta 3 antibody. Suitable for Dot, WB, ICC/IF, Flow Cyt (Intra), IP and reacts with Recombinant fragment - Human, Human, Mouse, Rat samples.

View Alternative Names

Transforming growth factor beta-3 proprotein, TGFB3

10 Images
Immunocytochemistry/ Immunofluorescence - Anti-TGF beta 3 antibody [EPR27093-72] (AB308300)
  • ICC/IF

Supplier Data

Immunocytochemistry/ Immunofluorescence - Anti-TGF beta 3 antibody [EPR27093-72] (AB308300)

Immunofluorescent analysis of 4% Paraformaldehyde-fixed, 0.1% TritonX-100 permeabilized PC-12 (rat adrenal gland pheochromocytoma small irregularly shaped cells) cells labelling TGF beta 3 with ab308300 at 1/250 (1.808 ug/ml) dilution, followed by ab150081 Goat Anti-Rabbit IgG H&L (Alexa Fluor® 488) preadsorbed antibody at 1/1000 2ug/mL dilution (Green). Confocal image showing cytoplasmic staining in PC-12 cell line.Image was taken with a confocal microscope (Leica-Microsystems, TCS SP8). ab195889 Anti-alpha Tubulin mouse monoclonal antibody - Microtubule Marker (Alexa Fluor® 594) was used to counterstain tubulin at 1/200 2.5ug/ml dilution (Red). The Nuclear counterstain was DAPI (Blue). Secondary antibody only control : Secondary antibody is ab150081 Goat Anti-Rabbit IgG H&L (Alexa Fluor® 488) preadsorbed at 1/1000 2ug/mL dilution.

Immunocytochemistry/ Immunofluorescence - Anti-TGF beta 3 antibody [EPR27093-72] (AB308300)
  • ICC/IF

Supplier Data

Immunocytochemistry/ Immunofluorescence - Anti-TGF beta 3 antibody [EPR27093-72] (AB308300)

Immunofluorescent analysis of 4% Paraformaldehyde-fixed, 0.1% TritonX-100 permeabilized A549 (human lung carcinoma epithelial cell) cells labelling TGF beta 3 with ab308300 at 1/250 (1.808 ug/ml) dilution, followed by ab150081 Goat Anti-Rabbit IgG H&L (Alexa Fluor® 488) preadsorbed antibody at 1/1000 2ug/mL dilution (Green). Confocal image showing cytoplasmic staining in A549 cell line.Image was taken with a confocal microscope (Leica-Microsystems, TCS SP8). ab195889 Anti-alpha Tubulin mouse monoclonal antibody - Microtubule Marker (Alexa Fluor® 594) was used to counterstain tubulin at 1/200 2.5ug/ml dilution (Red). The Nuclear counterstain was DAPI (Blue). Secondary antibody only control : Secondary antibody is ab150081 Goat Anti-Rabbit IgG H&L (Alexa Fluor® 488) preadsorbed at 1/1000 2ug/mL dilution.

Flow Cytometry (Intracellular) - Anti-TGF beta 3 antibody [EPR27093-72] (AB308300)
  • Flow Cyt (Intra)

Supplier Data

Flow Cytometry (Intracellular) - Anti-TGF beta 3 antibody [EPR27093-72] (AB308300)

Flow cytometric analysis of 4% paraformaldehyde fixed 90% methanol permeabilized A549 (human lung carcinoma epithelial cell) cells labelling TGF beta 3 with ab308300 at 1/500 dilution (0.1 ug)/Red (Red) compared with a Rabbit monoclonal IgG (ab172730) (Black) isotype control and an unlabelled control (cells without incubation with primary antibody and secondary antibody) (Blue). A Goat Anti-Rabbit IgG (Alexa Fluor® 488, ab150081) at 1/5000 dilution was used as the secondary antibody.

Immunoprecipitation - Anti-TGF beta 3 antibody [EPR27093-72] (AB308300)
  • IP

Supplier Data

Immunoprecipitation - Anti-TGF beta 3 antibody [EPR27093-72] (AB308300)

TGF beta 3 was immunoprecipitated from 0.35 mg A549 (human lung carcinoma epithelial cell) whole cell lysate with ab308300 at 1/30 dilution (2ug in 0.35mg lysates). Western blot was performed on the immunoprecipitate using ab308300 at 1/1000 dilution. VeriBlot for IP secondary antibody(HRP)(ab131366) was used at 1/5000 dilution. Lane 1 : A549 (human lung carcinoma epithelial cell) whole cell lysate Lane 2 : abAB308300 IP in A549 (human lung carcinoma epithelial cell) whole cell lysate Lane 3 : Rabbit monoclonal IgG (ab172730) instead of ab308300 in A549 whole cell lysate Blocking and dilution buffer and concentration : 5% NFDM/TBST. Exposure time : 24 seconds

All lanes:

Immunoprecipitation - Anti-TGF beta 3 antibody [EPR27093-72] (ab308300) at 1/30 dilution

All lanes:

A549 (human lung carcinoma epithelial cell) whole cell lysate at 4 µg

Secondary

All lanes:

Immunoprecipitation - VeriBlot for IP Detection Reagent (HRP) (<a href='/en-us/products/reagents/veriblot-for-ip-detection-reagent-hrp-ab131366'>ab131366</a>) at 1/5000 dilution

Observed band size: 55 kDa

false

Exposure time: 24s

Flow Cytometry (Intracellular) - Anti-TGF beta 3 antibody [EPR27093-72] (AB308300)
  • Flow Cyt (Intra)

Supplier Data

Flow Cytometry (Intracellular) - Anti-TGF beta 3 antibody [EPR27093-72] (AB308300)

Flow cytometric analysis of 4% paraformaldehyde fixed 90% methanol permeabilized PC-12 (rat adrenal gland pheochromocytoma cell) cells labelling TGF beta 3 with ab308300 at 1/500 dilution (0.1 ug)/Red (Red) compared with a Rabbit monoclonal IgG (ab172730) (Black) isotype control and an unlabelled control (cells without incubation with primary antibody and secondary antibody) (Blue). A Goat Anti-Rabbit IgG (Alexa Fluor® 488, ab150081) at 1/5000 dilution was used as the secondary antibody.

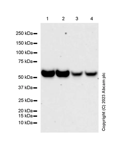
Western blot - Anti-TGF beta 3 antibody [EPR27093-72] (AB308300)
  • WB

Supplier Data

Western blot - Anti-TGF beta 3 antibody [EPR27093-72] (AB308300)

Blocking and diluting buffer and concentration : 5% NFDM/TBST. Lysates were freshly made and used for Western blotting immediately to minimize protein degradation. Precursor/latent complex observed at 55kDa. Exposure time : 81 seconds

All lanes:

Western blot - Anti-TGF beta 3 antibody [EPR27093-72] (ab308300) at 1/1000 dilution

Lane 1:

HeLa (human cervix adenocarcinoma epithelial cell) whole cell lysate at 20 µg

Lane 2:

293T (human embryonic kidney epithelial cell) whole cell lysate at 20 µg

Lane 3:

NIH/3T3 (mouse embryonic fibroblast) whole cell lysate at 20 µg

Lane 4:

PC-12 (rat adrenal gland pheochromocytoma cell) whole cell lysate, at 20 µg

Secondary

All lanes:

Western blot - Goat Anti-Rabbit IgG H&L (HRP) (<a href='/en-us/products/secondary-antibodies/goat-rabbit-igg-h-l-hrp-ab97051'>ab97051</a>) at 1/100000 dilution

Predicted band size: 47 kDa

Observed band size: 55 kDa

false

Exposure time: 81s

Western blot - Anti-TGF beta 3 antibody [EPR27093-72] (AB308300)
  • WB

Supplier Data

Western blot - Anti-TGF beta 3 antibody [EPR27093-72] (AB308300)

Blocking and diluting buffer and concentration : 5% NFDM/TBST. The expression of TGF beta 3 is upregulated in response to CoCl2 treatment (PMID : 29577601). In Western blot, anti-GAPDH antibody (ab181602) loading control staining at 1/200000 dilution. Precursor/latent complex observed at 55kDa. Exposure time : 15 seconds.

All lanes:

Western blot - Anti-TGF beta 3 antibody [EPR27093-72] (ab308300) at 1/1000 dilution

Lane 1:

Untreated Saos-2 (human osteosarcoma epithelial) whole cell lysate, at 20 µg

Lane 2:

Saos-2 treated with 250uM CoCl2 for 24h whole cell lysate, at 20 µg

Secondary

All lanes:

Western blot - Goat Anti-Rabbit IgG H&L (HRP) (<a href='/en-us/products/secondary-antibodies/goat-rabbit-igg-h-l-hrp-ab97051'>ab97051</a>) at 1/100000 dilution

Predicted band size: 47 kDa

Observed band size: 55 kDa

false

Exposure time: 15s

Western blot - Anti-TGF beta 3 antibody [EPR27093-72] (AB308300)
  • WB

Supplier Data

Western blot - Anti-TGF beta 3 antibody [EPR27093-72] (AB308300)

Blocking and diluting buffer and concentration : 5% NFDM/TBST. Lysates were freshly made and used for Western blotting immediately to minimize protein degradation. Exposure time : 15 seconds.

All lanes:

Western blot - Anti-TGF beta 3 antibody [EPR27093-72] (ab308300) at 1/1000 dilution

All lanes:

A549 (human lung carcinoma epithelial cell) whole cell lysate at 20 µg

Secondary

All lanes:

Western blot - Goat Anti-Rabbit IgG H&L (HRP) (<a href='/en-us/products/secondary-antibodies/goat-rabbit-igg-h-l-hrp-ab97051'>ab97051</a>) at 1/100000 dilution

Predicted band size: 47 kDa

Observed band size: 55 kDa

false

Exposure time: 15s

Dot Blot - Anti-TGF beta 3 antibody [EPR27093-72] (AB308300)
  • Dot

Supplier Data

Dot Blot - Anti-TGF beta 3 antibody [EPR27093-72] (AB308300)

Dot blot analysis of TGF beta 3 using ab308300 at 1 : 1000 (0.452 ug/ml) followed by a Goat Anti-Rabbit IgG, (H+L), Peroxidase conjugated (ab97051) at 1 : 100,000 dilution. Exposure time : 180 seconds Blocking and diluting buffer and concentration : 5% NFDM/TBST

Western blot - Anti-TGF beta 3 antibody [EPR27093-72] (AB308300)
  • WB

Supplier Data

Western blot - Anti-TGF beta 3 antibody [EPR27093-72] (AB308300)

Blocking and diluting buffer and concentration : 5% NFDM/TBST. Precursor/latent complex observed at 55kDa. Exposure time : 180 seconds.

All lanes:

Western blot - Anti-TGF beta 3 antibody [EPR27093-72] (ab308300) at 1/1000 dilution

Lane 1:

Mouse kidney tissue lysate at 80 µg

Lane 2:

Mouse liver tissue lysate, at 80 µg

Lane 3:

Mouse lung tissue lysate at 80 µg

Lane 4:

Mouse colon tissue lysate at 80 µg

Secondary

All lanes:

Western blot - Goat Anti-Rabbit IgG H&L (HRP) (<a href='/en-us/products/secondary-antibodies/goat-rabbit-igg-h-l-hrp-ab97051'>ab97051</a>) at 1/100000 dilution

Predicted band size: 47 kDa

Observed band size: 55 kDa

false

Exposure time: 180s

Key facts

Host species

Rabbit

Clonality

Monoclonal

Clone number

EPR27093-72

Isotype

IgG

Carrier free

No

Reacts with

Human, Mouse, Rat

Applications

Flow Cyt (Intra), ICC/IF, WB, Dot, IP

applications

Immunogen

The exact immunogen used to generate this antibody is proprietary information.

Reactivity data

{ "title": "Reactivity Data", "filters": { "stats": ["", "Species", "Dilution Info", "Notes"], "tabs": { "all-applications": {"fullname" : "All Applications", "shortname": "All Applications"}, "Dot" : {"fullname" : "Dot Blot", "shortname":"Dot"}, "WB" : {"fullname" : "Western blot", "shortname":"WB"}, "ICCIF" : {"fullname" : "Immunocytochemistry/ Immunofluorescence", "shortname":"ICC/IF"}, "FlowCytIntra" : {"fullname" : "Flow Cytometry (Intracellular)", "shortname":"Flow Cyt (Intra)"}, "IP" : {"fullname" : "Immunoprecipitation", "shortname":"IP"}, "IHCP" : {"fullname" : "Immunohistochemistry (Formalin/PFA-fixed paraffin-embedded sections)", "shortname":"IHC-P"} }, "product-promise": { "all": "all", "testedAndGuaranteed": "tested", "guaranteed": "expected", "predicted": "predicted", "notRecommended": "not-recommended" } }, "values": { "Human": { "Dot-species-checked": "guaranteed", "Dot-species-dilution-info": "", "Dot-species-notes": "", "WB-species-checked": "testedAndGuaranteed", "WB-species-dilution-info": "1/1000", "WB-species-notes": "<p></p>", "ICCIF-species-checked": "testedAndGuaranteed", "ICCIF-species-dilution-info": "1/250", "ICCIF-species-notes": "<p></p>", "FlowCytIntra-species-checked": "testedAndGuaranteed", "FlowCytIntra-species-dilution-info": "1/500", "FlowCytIntra-species-notes": "<p></p>", "IP-species-checked": "testedAndGuaranteed", "IP-species-dilution-info": "1/30", "IP-species-notes": "<p></p>", "IHCP-species-checked": "notRecommended", "IHCP-species-dilution-info": "", "IHCP-species-notes": "<p></p>" }, "Mouse": { "Dot-species-checked": "guaranteed", "Dot-species-dilution-info": "", "Dot-species-notes": "", "WB-species-checked": "testedAndGuaranteed", "WB-species-dilution-info": "1/1000", "WB-species-notes": "<p></p>", "ICCIF-species-checked": "guaranteed", "ICCIF-species-dilution-info": "", "ICCIF-species-notes": "", "FlowCytIntra-species-checked": "guaranteed", "FlowCytIntra-species-dilution-info": "", "FlowCytIntra-species-notes": "", "IP-species-checked": "guaranteed", "IP-species-dilution-info": "", "IP-species-notes": "", "IHCP-species-checked": "notRecommended", "IHCP-species-dilution-info": "", "IHCP-species-notes": "<p></p>" }, "Rat": { "Dot-species-checked": "guaranteed", "Dot-species-dilution-info": "", "Dot-species-notes": "", "WB-species-checked": "testedAndGuaranteed", "WB-species-dilution-info": "1/1000", "WB-species-notes": "<p></p>", "ICCIF-species-checked": "testedAndGuaranteed", "ICCIF-species-dilution-info": "1/250", "ICCIF-species-notes": "<p></p>", "FlowCytIntra-species-checked": "testedAndGuaranteed", "FlowCytIntra-species-dilution-info": "1/500", "FlowCytIntra-species-notes": "<p></p>", "IP-species-checked": "guaranteed", "IP-species-dilution-info": "", "IP-species-notes": "", "IHCP-species-checked": "notRecommended", "IHCP-species-dilution-info": "", "IHCP-species-notes": "<p></p>" }, "Recombinant fragment - Human": { "Dot-species-checked": "testedAndGuaranteed", "Dot-species-dilution-info": "1/1000", "Dot-species-notes": "<p></p>", "WB-species-checked": "notRecommended", "WB-species-dilution-info": "", "WB-species-notes": "", "ICCIF-species-checked": "notRecommended", "ICCIF-species-dilution-info": "", "ICCIF-species-notes": "", "FlowCytIntra-species-checked": "notRecommended", "FlowCytIntra-species-dilution-info": "", "FlowCytIntra-species-notes": "", "IP-species-checked": "notRecommended", "IP-species-dilution-info": "", "IP-species-notes": "", "IHCP-species-checked": "notRecommended", "IHCP-species-dilution-info": "", "IHCP-species-notes": "" } } }

Product details

Patented technology
Our RabMAb® technology is a patented hybridoma-based technology for making rabbit monoclonal antibodies. For details on our patents, please refer to RabMAb® patents.

What are the advantages of a recombinant monoclonal antibody?
This product is a recombinant monoclonal antibody, which offers several advantages including:

  • - High batch-to-batch consistency and reproducibility
  • - Improved sensitivity and specificity
  • - Long-term security of supply
  • - Animal-free batch production

For more information, read more on recombinant antibodies.

Properties and storage information

Form
Liquid
Purification technique
Affinity purification Protein A
Storage buffer
pH: 7.2 - 7.4 Preservative: 0.01% Sodium azide Constituents: PBS, 40% Glycerol (glycerin, glycerine), 0.05% BSA
Shipped at conditions
Blue Ice
Appropriate short-term storage duration
1-2 weeks
Appropriate short-term storage conditions
+4°C
Appropriate long-term storage conditions
-20°C
Aliquoting information
Upon delivery aliquot
Storage information
Avoid freeze / thaw cycle

Product protocols

For this product, it's our understanding that no specific protocols are required. You can visit:

Target data

Transforming growth factor beta-3 proprotein : Precursor of the Latency-associated peptide (LAP) and Transforming growth factor beta-3 (TGF-beta-3) chains, which constitute the regulatory and active subunit of TGF-beta-3, respectively.. Latency-associated peptide. Required to maintain the Transforming growth factor beta-3 (TGF-beta-3) chain in a latent state during storage in extracellular matrix (By similarity). Associates non-covalently with TGF-beta-3 and regulates its activation via interaction with 'milieu molecules', such as LTBP1 and LRRC32/GARP, that control activation of TGF-beta-3 (By similarity). Interaction with integrins results in distortion of the Latency-associated peptide chain and subsequent release of the active TGF-beta-3 (By similarity).. Transforming growth factor beta-3 : Multifunctional protein that regulates embryogenesis and cell differentiation and is required in various processes such as secondary palate development (By similarity). Activation into mature form follows different steps : following cleavage of the proprotein in the Golgi apparatus, Latency-associated peptide (LAP) and Transforming growth factor beta-3 (TGF-beta-3) chains remain non-covalently linked rendering TGF-beta-3 inactive during storage in extracellular matrix (By similarity). At the same time, LAP chain interacts with 'milieu molecules', such as LTBP1 and LRRC32/GARP that control activation of TGF-beta-3 and maintain it in a latent state during storage in extracellular milieus (By similarity). TGF-beta-3 is released from LAP by integrins : integrin-binding results in distortion of the LAP chain and subsequent release of the active TGF-beta-3 (By similarity). Once activated following release of LAP, TGF-beta-3 acts by binding to TGF-beta receptors (TGFBR1 and TGFBR2), which transduce signal (By similarity).
See full target information TGFB3

Product promise

We are committed to supporting your work with high-quality reagents, and we're here for you every step of the way. In the unlikely event that one of our products does not perform as expected, you're protected by our Product Promise.
For full details, please see our Terms & Conditions

Please note: All products are 'FOR RESEARCH USE ONLY. NOT FOR USE IN DIAGNOSTIC OR THERAPEUTIC PROCEDURES'.

For licensing inquiries, please contact partnerships@abcam.com