JavaScript is disabled in your browser. Please enable JavaScript to view this website.
AB235578

Anti-TGF beta Receptor I antibody [EPR20923-13]

  • 20ul selling size
  • RabMAb
  • Recombinant
  • KO Validated
  • What is this?

Be the first to review this product! Submit a review

|

(29 Publications)

Anti-TGF beta Receptor I antibody [EPR20923-13] (ab235578) is a rabbit monoclonal antibody detecting TGF beta Receptor I in Western Blot, IP. Suitable for Human, Mouse, Rat.

- KO validated for confirmed specificity
- Biophysical QC for unrivalled batch-batch consistency

View Alternative Names

ALK5, SKR4, TGFBR1, TGF-beta receptor type-1, TGFR-1, Activin A receptor type II-like protein kinase of 53kD, Activin receptor-like kinase 5, Serine/threonine-protein kinase receptor R4, TGF-beta type I receptor, Transforming growth factor-beta receptor type I, ALK-5, TGF-beta receptor type I, TbetaR-I

6 Images
Western blot - Anti-TGF beta Receptor I antibody [EPR20923-13] (AB235578)
  • WB

Lab

Western blot - Anti-TGF beta Receptor I antibody [EPR20923-13] (AB235578)

False colour image of Western blot : Anti-TGF beta Receptor I antibody [EPR20923-13] staining at 1/1000 dilution, shown in green; Mouse anti-GAPDH antibody [6C5] (ab8245) loading control staining at 1/20000 dilution, shown in red. In Western blot, ab235578 was shown to bind specifically to TGF beta Receptor I. A band was observed at 40/55 kDa in wild-type A549 cell lysates with no signal observed at this size in TGFBR1 knockout cell line ab277894 (knockout cell lysate ab283082). To generate this image, wild-type and TGFBR1 knockout A549 cell lysates were analysed. First, samples were run on an SDS-PAGE gel then transferred onto a nitrocellulose membrane. Membranes were blocked in 3 % milk in TBS-0.1 % Tween® 20 (TBS-T) before incubation with primary antibodies overnight at 4 °C. Blots were washed four times in TBS-T, incubated with secondary antibodies for 1 h at room temperature, washed again four times then imaged. Secondary antibodies used were Goat anti-Rabbit IgG H&L (IRDye® 800CW) preabsorbed (ab216773) and Goat anti-Mouse IgG H&L (IRDye® 680RD) preabsorbed (ab216776) at 1/20000 dilution.

All lanes:

Western blot - Anti-TGF beta Receptor I antibody [EPR20923-13] (ab235578) at 1/1000 dilution

Lane 1:

Wild-type A549 cell lysate at 20 µg

Lane 2:

Western blot - Human TGFBR1 knockout A549 cell lysate (ab283082) at 20 µg

Lane 3:

A431 cell lysate at 20 µg

Lane 4:

MOLT-4 cell lysate at 20 µg

Predicted band size: 55 kDa

Observed band size: 40 kDa,55 kDa

false

Immunoprecipitation - Anti-TGF beta Receptor I antibody [EPR20923-13] (AB235578)
  • IP

Supplier Data

Immunoprecipitation - Anti-TGF beta Receptor I antibody [EPR20923-13] (AB235578)

TGF beta Receptor I was immunoprecipitated from 0.35 mg MCF7 (human breast adenocarcinoma epithelial cell) whole cell lysate 10 μg with ab235578 at 1/30 dilution (2ug in 0.35mg lysates). Western blot was performed on the immunoprecipitate using ab235578 at 1/1000 dilution. VeriBlot for IP secondary antibody(HRP)(ab131366) was used at 1/5000 dilution.

Lane 1 : MCF7 (human breast adenocarcinoma epithelial cell) whole cell lysate 10 μg

Lane 2 : ab235578 IP in MCF7 whole cell lysate

Lane 3 : Rabbit monoclonal IgG (ab172730) instead of ab235578 in MCF7 whole cell lysate

The bands beneath the target band is caused by degradation as demonstrated by WB data.

All lanes:

Immunoprecipitation - Anti-TGF beta Receptor I antibody [EPR20923-13] (ab235578)

Predicted band size: 55 kDa

Observed band size: 55 kDa

false

Western blot - Anti-TGF beta Receptor I antibody [EPR20923-13] (AB235578)
  • WB

Lab

Western blot - Anti-TGF beta Receptor I antibody [EPR20923-13] (AB235578)

Blocking and diluting buffer and concentration : 5% NFDM/TBST.

Lysate were made freshly and used in WB test immediately to minimize protein degradation.

Exposure time : 3 minutes

All lanes:

Western blot - Anti-TGF beta Receptor I antibody [EPR20923-13] (ab235578) at 1/1000 dilution

Lane 1:

RAW264.7 (mouse Abelson murine leukemia virus-induced tumor macrophage) whole cell lysate at 20 µg

Lane 2:

2.4G2 (rat B cell lymphoma B lymphocyte) whole cell lysate at 20 µg

Lane 3:

C6 (rat glial tumor glial cell) whole cell lysate at 20 µg

Lane 4:

U-87 MG (human glioblastoma-astrocytoma epithelial cell) whole cell lysate at 20 µg

Lane 5:

SH-SY5Y (human neuroblastoma epithelial cell) whole cell lysate at 20 µg

Lane 6:

Neuro-2a (mouse neuroblastoma neuroblast) whole cell lysate at 20 µg

Secondary

All lanes:

Goat Anti-Rabbit IgG, (H+L), Peroxidase conjugated (<a href='/en-us/products/secondary-antibodies/goat-rabbit-igg-h-l-hrp-ab97051'>ab97051</a>) at 1/50000 dilution

Predicted band size: 55 kDa

Observed band size: 37 kDa,55 kDa

false

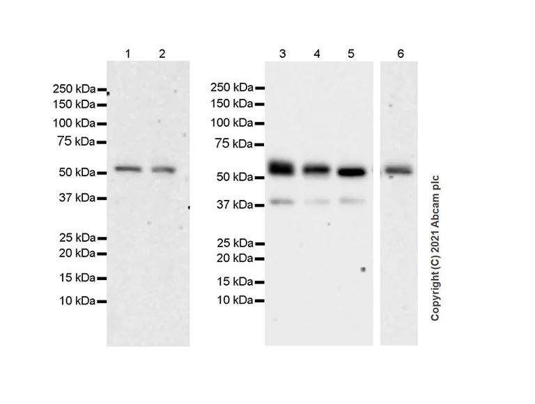
Western blot - Anti-TGF beta Receptor I antibody [EPR20923-13] (AB235578)
  • WB

Lab

Western blot - Anti-TGF beta Receptor I antibody [EPR20923-13] (AB235578)

Blocking and diluting buffer and concentration : 5% NFDM/TBST

Exposure time : 3 minutes

All lanes:

Western blot - Anti-TGF beta Receptor I antibody [EPR20923-13] (ab235578) at 1/1000 dilution

Lane 1:

MCF7 (human breast adenocarcinoma epithelial cell) transfected with scrambled siRNA control whole cell lysate at 20 µg

Lane 2:

MCF7 transfected with 25nM siRNA specifically targeti TGF receptor I whole cell lysate at 20 µg

Lane 3:

MCF7 transfected with 100nM siRNA specifically targeti TGF receptor I whole cell lysate at 20 µg

Secondary

All lanes:

Goat Anti-Rabbit IgG, (H+L), Peroxidase conjugated (<a href='/en-us/products/secondary-antibodies/goat-rabbit-igg-h-l-hrp-ab97051'>ab97051</a>) at 1/20000 dilution

Predicted band size: 55 kDa

Observed band size: 55 kDa

false

Western blot - Anti-TGF beta Receptor I antibody [EPR20923-13] (AB235578)
  • WB

Lab

Western blot - Anti-TGF beta Receptor I antibody [EPR20923-13] (AB235578)

Blocking and diluting buffer and concentration : 5% NFDM/TBST

Lane1 Lysate was made freshly and used in WB test immediately to minimize protein degradation.

Exposure time : 81 seconds

All lanes:

Western blot - Anti-TGF beta Receptor I antibody [EPR20923-13] (ab235578) at 1/1000 dilution

Lane 1:

THP-1 (human monocytic leukemia monocyte) whole cell fresh lysate at 20 µg

Lane 2:

THP-1 (human monocytic leukemia monocyte) whole cell lysate at 20 µg

Secondary

All lanes:

Goat Anti-Rabbit IgG, (H+L), Peroxidase conjugated (<a href='/en-us/products/secondary-antibodies/goat-rabbit-igg-h-l-hrp-ab97051'>ab97051</a>) at 1/50000 dilution

Predicted band size: 55 kDa

Observed band size: 37 kDa,55 kDa

false

Western blot - Anti-TGF beta Receptor I antibody [EPR20923-13] (AB235578)
  • WB

Lab

Western blot - Anti-TGF beta Receptor I antibody [EPR20923-13] (AB235578)

Western blot : Anti-TGF beta Receptor I antibody [EPR20923-13] ab235578 staining at 1/1000 dilution, shown in green; Mouse anti GAPDH (ab8245) loading control staining at 1/20,000 dilution, shown in magenta. A band was observed at 42 kDa in Wild-type HCT 116 cell lysates with no signal observed at this size in TGFBR1 knockout HCT 116 cell line.

To generate this image, samples were run on an SDS-PAGE gel then transferred onto a nitrocellulose membrane. Membranes were blocked in 3pc Milk in TBS-0.1 % Tween® 20 (TBS-T) before incubation with primary antibodies overnight at 4 °C. Blots were washed four times in TBS-T, incubated with secondary antibodies for 1 h at room temperature, washed again four times then imaged. Secondary antibodies used were Goat anti-Rabbit 800CW & Goat anti-Mouse 680RD at 1/20,000 dilution.

Lanes 1 - 3:

Western blot - Anti-TGF beta Receptor I antibody [EPR20923-13] (ab235578) at 1/1000 dilution

Lanes 1 - 3:

Western blot - Anti-TGF beta Receptor I antibody [EPR20923-13] - BSA and Azide free (<a href='/en-us/products/primary-antibodies/tgf-beta-receptor-i-antibody-epr20923-13-bsa-and-azide-free-ab288303'>ab288303</a>) at 1/1000 dilution

Lane 1:

Wild-type HCT 116 at 20 µg

Lane 2:

Western blot - Human TGFBR1 knockout HCT116 cell line (ab289125) at 20 µg

Lane 3:

A-431 UNBOILED at 20 µg

Secondary

All lanes:

Goat anti-Rabbit 800CW & Goat anti-Mouse 680RD at 1/20000 dilution

Predicted band size: 56 kDa

Observed band size: 42 kDa

false

  • Carrier free

    Anti-TGF beta Receptor I antibody [EPR20923-13] - BSA and Azide free

Key facts

Host species

Rabbit

Clonality

Monoclonal

Clone number

EPR20923-13

Isotype

IgG

Carrier free

No

Reacts with

Mouse, Human, Rat

Applications

IP, WB

applications

Immunogen

The exact immunogen used to generate this antibody is proprietary information.

Reactivity data

{ "title": "Reactivity Data", "filters": { "stats": ["", "Species", "Dilution Info", "Notes"], "tabs": { "all-applications": {"fullname" : "All Applications", "shortname": "All Applications"}, "ICCIF" : {"fullname" : "Immunocytochemistry/ Immunofluorescence", "shortname":"ICC/IF"}, "IP" : {"fullname" : "Immunoprecipitation", "shortname":"IP"}, "WB" : {"fullname" : "Western blot", "shortname":"WB"}, "FlowCytIntra" : {"fullname" : "Flow Cytometry (Intracellular)", "shortname":"Flow Cyt (Intra)"}, "IHCP" : {"fullname" : "Immunohistochemistry (Formalin/PFA-fixed paraffin-embedded sections)", "shortname":"IHC-P"} }, "product-promise": { "all": "all", "testedAndGuaranteed": "tested", "guaranteed": "expected", "predicted": "predicted", "notRecommended": "not-recommended" } }, "values": { "Human": { "ICCIF-species-checked": "notRecommended", "ICCIF-species-dilution-info": "", "ICCIF-species-notes": "<p></p>", "IP-species-checked": "testedAndGuaranteed", "IP-species-dilution-info": "1/30", "IP-species-notes": "<p></p>", "WB-species-checked": "testedAndGuaranteed", "WB-species-dilution-info": "1/1000", "WB-species-notes": "<p></p>", "FlowCytIntra-species-checked": "notRecommended", "FlowCytIntra-species-dilution-info": "", "FlowCytIntra-species-notes": "<p></p>", "IHCP-species-checked": "notRecommended", "IHCP-species-dilution-info": "", "IHCP-species-notes": "<p></p>" }, "Mouse": { "ICCIF-species-checked": "notRecommended", "ICCIF-species-dilution-info": "", "ICCIF-species-notes": "<p></p>", "IP-species-checked": "guaranteed", "IP-species-dilution-info": "", "IP-species-notes": "", "WB-species-checked": "testedAndGuaranteed", "WB-species-dilution-info": "1/1000", "WB-species-notes": "<p></p>", "FlowCytIntra-species-checked": "notRecommended", "FlowCytIntra-species-dilution-info": "", "FlowCytIntra-species-notes": "<p></p>", "IHCP-species-checked": "notRecommended", "IHCP-species-dilution-info": "", "IHCP-species-notes": "<p></p>" }, "Rat": { "ICCIF-species-checked": "notRecommended", "ICCIF-species-dilution-info": "", "ICCIF-species-notes": "<p></p>", "IP-species-checked": "guaranteed", "IP-species-dilution-info": "", "IP-species-notes": "", "WB-species-checked": "testedAndGuaranteed", "WB-species-dilution-info": "1/1000", "WB-species-notes": "<p></p>", "FlowCytIntra-species-checked": "notRecommended", "FlowCytIntra-species-dilution-info": "", "FlowCytIntra-species-notes": "<p></p>", "IHCP-species-checked": "notRecommended", "IHCP-species-dilution-info": "", "IHCP-species-notes": "<p></p>" }, "Transfected cell lysate": { "ICCIF-species-checked": "notRecommended", "ICCIF-species-dilution-info": "", "ICCIF-species-notes": "", "IP-species-checked": "notRecommended", "IP-species-dilution-info": "", "IP-species-notes": "", "WB-species-checked": "testedAndGuaranteed", "WB-species-dilution-info": "1/1000", "WB-species-notes": "<p></p>", "FlowCytIntra-species-checked": "notRecommended", "FlowCytIntra-species-dilution-info": "", "FlowCytIntra-species-notes": "", "IHCP-species-checked": "notRecommended", "IHCP-species-dilution-info": "", "IHCP-species-notes": "" } } }

Product details

Product Specifications
Anti-TGF beta Receptor I antibody [EPR20923-13] (ab235578) was developed by Abcam using patented rabbit monoclonal antibody technology and is validated for use in IP, WB in human, mouse, rat samples.
Anti-TGF beta Receptor I antibody [EPR20923-13] (ab235578) specifically detects TGF beta Receptor I (UniProt ID: P36897; Molecular weight: 53kDa) and is sold in a convenient trial size to enable initial testing (20 µL) and larger sizes for subsequent scaling up experiments (100 µL and 1 mL).

Quality and Validation
Abcam's high quality manufacturing and validation processes ensure Anti-TGF beta Receptor I antibody [EPR20923-13] (ab235578) has high sensitivity and specificity alongside high lot-to-lot consistency and reproducibility.
The specificity of Anti-TGF beta Receptor I antibody [EPR20923-13] (ab235578) has been confirmed by testing in knockout samples.

Patented technology
Our RabMAb® technology is a patented hybridoma-based technology for making rabbit monoclonal antibodies. For details on our patents, please refer to RabMAb® patents.

What are the advantages of a recombinant monoclonal antibody?
This product is a recombinant monoclonal antibody, which offers several advantages including:

  • - High batch-to-batch consistency and reproducibility
  • - Improved sensitivity and specificity
  • - Long-term security of supply
  • - Animal-free batch production

For more information, read more on recombinant antibodies.

Properties and storage information

Form
Liquid
Purification technique
Affinity purification Protein A
Storage buffer
pH: 7.4 Preservative: 0.01% Sodium azide Constituents: PBS, 40% Glycerol (glycerin, glycerine), 0.05% BSA
Shipped at conditions
Blue Ice
Appropriate short-term storage duration
1-2 weeks
Appropriate short-term storage conditions
+4°C
Appropriate long-term storage conditions
-20°C
Aliquoting information
Upon delivery aliquot
Storage information
Avoid freeze / thaw cycle

Product protocols

For this product, it's our understanding that no specific protocols are required. You can visit:

Target data

Transmembrane serine/threonine kinase forming with the TGF-beta type II serine/threonine kinase receptor, TGFBR2, the non-promiscuous receptor for the TGF-beta cytokines TGFB1, TGFB2 and TGFB3. Transduces the TGFB1, TGFB2 and TGFB3 signal from the cell surface to the cytoplasm and is thus regulating a plethora of physiological and pathological processes including cell cycle arrest in epithelial and hematopoietic cells, control of mesenchymal cell proliferation and differentiation, wound healing, extracellular matrix production, immunosuppression and carcinogenesis. The formation of the receptor complex composed of 2 TGFBR1 and 2 TGFBR2 molecules symmetrically bound to the cytokine dimer results in the phosphorylation and the activation of TGFBR1 by the constitutively active TGFBR2. Activated TGFBR1 phosphorylates SMAD2 which dissociates from the receptor and interacts with SMAD4. The SMAD2-SMAD4 complex is subsequently translocated to the nucleus where it modulates the transcription of the TGF-beta-regulated genes. This constitutes the canonical SMAD-dependent TGF-beta signaling cascade. Also involved in non-canonical, SMAD-independent TGF-beta signaling pathways. For instance, TGFBR1 induces TRAF6 autoubiquitination which in turn results in MAP3K7 ubiquitination and activation to trigger apoptosis. Also regulates epithelial to mesenchymal transition through a SMAD-independent signaling pathway through PARD6A phosphorylation and activation.
See full target information TGFBR1

Publications (29)

Recent publications for all applications. Explore the full list and refine your search

Theranostics 15:9885-9910 PubMed41041066

2025

Kazald1 attenuates chondrocyte fibrosis to potentiate hyaline cartilage regeneration by interfering with the pro-fibrotic TGF-β signaling.

Applications

Unspecified application

Species

Unspecified reactive species

Yue Zhu,Haoyang Liu,Yuting Zhang,Danning Zheng,Yaning Li,Jialin Chen,Jiake Xu,Wei Zhang

Frontiers in immunology 16:1616201 PubMed40821803

2025

Endoplasmic reticulum stress-induced CRELD2 promotes APMAP-mediated activation of TGF-β/SMAD and NF-κB pathways in esophageal squamous cell carcinoma.

Applications

Unspecified application

Species

Unspecified reactive species

Fangyu Su,Xia Yang,Zhaoyang Yan,Junhong Wu,Xiaoxu Li,Tongxin Xu,Huanchen Xu,Xinhao Wang,Zhaokun Hu,Juntao Lu,Wei Guo

Molecular neurodegeneration 20:84 PubMed40702549

2025

Endothelium-specific endoglin triggers astrocyte reactivity via extracellular vesicles in a mouse model of Alzheimer's disease.

Applications

Unspecified application

Species

Unspecified reactive species

Pingao Zhang,Chenghuan Song,Jiyun Shi,Zijie Wei,Jing Wang,Wanying Huang,Rui Zhang,Jintao Wang,Xiaoli Yang,Gang Wang,Xiaoling Gao,Yongfang Zhang,Hongzhuan Chen,Hao Wang

Frontiers in molecular biosciences 12:1571593 PubMed40656894

2025

Inhibition of USP11 attenuates sepsis-associated acute kidney injury by downregulating TGFBR2/Smad3 signaling.

Applications

Unspecified application

Species

Unspecified reactive species

Lu Wang,Wen Tang,Long Jiang,Daquan Zhang,Zhigao Wang,Rennan Guo,Jingjing Wang,Dong Xiao

Cell communication and signaling : CCS 23:326 PubMed40629347

2025

Artificial intelligence-driven discovery of YH395A: A novel TGFβR1 inhibitor with potent anti-tumor activity against triple-negative breast cancer.

Applications

Unspecified application

Species

Unspecified reactive species

Jun Ling,Jie Zhang,Baozhen Wang,Jing FengSong,Tao Li,Jing Chen

Nature communications 16:2890 PubMed40133308

2025

Identification of a SNAI1 enhancer RNA that drives cancer cell plasticity.

Applications

Unspecified application

Species

Unspecified reactive species

Chuannan Fan,Qian Wang,Peter H L Krijger,Davy Cats,Miriam Selle,Olga Khorosjutina,Soniya Dhanjal,Bernhard Schmierer,Hailiang Mei,Wouter de Laat,Peter Ten Dijke

Oncogene 44:1400-1414 PubMed40011576

2025

Cancer-associated fibroblasts promote EGFR-TKI resistance via the CTHRC1/glycolysis/H3K18la positive feedback loop.

Applications

Unspecified application

Species

Unspecified reactive species

Chen Zhang,Wenxin Zhou,Hai Xu,Jiali Xu,Jun Li,Xinyin Liu,Xiyi Lu,Jiali Dai,Yuqin Jiang,Wei Wang,Erbao Zhang,Renhua Guo

Frontiers in pharmacology 16:1525914 PubMed39925848

2025

Qinggan Yipi capsule ameliorates hepatic fibrosis in rats by down-regulating the TGF-β1/Smad2/3 signaling pathway and improving gut microbiota imbalance.

Applications

Unspecified application

Species

Unspecified reactive species

Wenjing Xue,Haiqing Liu,Ziheng Su,Siqi Wang,Junping Cheng,Yunzhi Pan,Lurong Zhang

Advanced science (Weinheim, Baden-Wurttemberg, Germany) 12:e2413324 PubMed39921269

2025

Targeting the E Prostanoid Receptor EP4 Mitigates Cardiac Fibrosis Induced by β-Adrenergic Activation.

Applications

Unspecified application

Species

Unspecified reactive species

Hu Xu,Xiuhui Mao,Yali Wang,Chunhua Zhu,Bo Liang,Yihang Zhao,Mengfei Zhou,Lan Ye,Mengting Hong,Huishu Shao,Yashuo Wang,Haonan Li,Yinghui Qi,Yongliang Yang,Lihong Chen,Youfei Guan,Xiaoyan Zhang

Nature communications 16:1253 PubMed39893171

2025

miR-142 deficit in T cells during blast crisis promotes chronic myeloid leukemia immune escape.

Applications

Unspecified application

Species

Unspecified reactive species

Fang Chen,Dandan Zhao,Yongfang Xu,Yi Zhang,Min-Hsuan Chen,Khyatiben V Pathak,Nate Hansen,Brooke Lovell,Yong Liang,Katrina Estrella,Wei-Le Wang,Lucy Ghoda,Russell Rockne,Xiwei Wu,Haris Ali,Jianhua Yu,Michael A Caligiuri,Stephen J Forman,Jeff M Trent,Ya-Huei Kuo,Ling Li,Piotr Swiderski,Jianying Zhang,Marcin Kortylewski,Le Xuan Truong Nguyen,Patrick Pirrotte,Mark Boldin,Guido Marcucci,Bin Zhang
View all publications

Product promise

We are committed to supporting your work with high-quality reagents, and we're here for you every step of the way. In the unlikely event that one of our products does not perform as expected, you're protected by our Product Promise.
For full details, please see our Terms & Conditions

Please note: All products are 'FOR RESEARCH USE ONLY. NOT FOR USE IN DIAGNOSTIC OR THERAPEUTIC PROCEDURES'.

For licensing inquiries, please contact partnerships@abcam.com