JavaScript is disabled in your browser. Please enable JavaScript to view this website.
AB288303

Anti-TGF beta Receptor I antibody [EPR20923-13] - BSA and Azide free

Be the first to review this product! Submit a review

|

(1 Publication)

Rabbit Recombinant Monoclonal TGF beta Receptor I antibody. Carrier free. Suitable for IP, WB and reacts with Human, Mouse, Rat, Transfected cell lysate samples. Cited in 1 publication.

View Alternative Names

ALK5, SKR4, TGFBR1, TGF-beta receptor type-1, TGFR-1, Activin A receptor type II-like protein kinase of 53kD, Activin receptor-like kinase 5, Serine/threonine-protein kinase receptor R4, TGF-beta type I receptor, Transforming growth factor-beta receptor type I, ALK-5, TGF-beta receptor type I, TbetaR-I

6 Images
Immunoprecipitation - Anti-TGF beta Receptor I antibody [EPR20923-13] - BSA and Azide free (AB288303)
  • IP

Supplier Data

Immunoprecipitation - Anti-TGF beta Receptor I antibody [EPR20923-13] - BSA and Azide free (AB288303)

TGF beta Receptor I was immunoprecipitated from 0.35 mg MCF7 (human breast adenocarcinoma epithelial cell) whole cell lysate with ab235578 at 1/30 dilution (2ug in 0.35mg lysates). Western blot was performed on the immunoprecipitate using ab235578 at 1/1000 dilution. VeriBlot for IP secondary antibody(HRP)(ab131366) was used at 1/5000 dilution.

Lane 1 : MCF7 (human breast adenocarcinoma epithelial cell) whole cell lysate 10 μg

Lane 2 : ab235578 IP in MCF7 whole cell lysate

Lane 3 : Rabbit monoclonal IgG (ab172730) instead of ab235578 in MCF7 whole cell lysate

The bands beneath the target band is caused by degradation as demonstrated by WB data.

This data was developed using ab235578, the same antibody clone in a different buffer formulation.

All lanes:

Immunoprecipitation - Anti-TGF beta Receptor I antibody [EPR20923-13] (<a href='/en-us/products/primary-antibodies/tgf-beta-receptor-i-antibody-epr20923-13-ab235578'>ab235578</a>)

Predicted band size: 55 kDa

Observed band size: 55 kDa

false

Western blot - Anti-TGF beta Receptor I antibody [EPR20923-13] - BSA and Azide free (AB288303)
  • WB

Lab

Western blot - Anti-TGF beta Receptor I antibody [EPR20923-13] - BSA and Azide free (AB288303)

This data was developed using ab235578, the same antibody clone in a different buffer formulation.

Blocking and diluting buffer and concentration : 5% NFDM/TBST

Lysate were made freshly and used in WB test immediately to minimize protein degradation.

Exposure time : 3 minutes

All lanes:

Western blot - Anti-TGF beta Receptor I antibody [EPR20923-13] (<a href='/en-us/products/primary-antibodies/tgf-beta-receptor-i-antibody-epr20923-13-ab235578'>ab235578</a>) at 1/1000 dilution

Lane 1:

RAW264.7 (mouse Abelson murine leukemia virus-induced tumor macrophage) whole cell lysate at 20 µg

Lane 2:

2.4G2 (rat B cell lymphoma B lymphocyte) whole cell lysate at 20 µg

Lane 3:

C6 (rat glial tumor glial cell) whole cell lysate at 20 µg

Lane 4:

U-87 MG (human glioblastoma-astrocytoma epithelial cell) whole cell lysate at 20 µg

Lane 5:

SH-SY5Y (human neuroblastoma epithelial cell) whole cell lysate at 20 µg

Lane 6:

Neuro-2a (mouse neuroblastoma neuroblast) whole cell lysate at 20 µg

Secondary

All lanes:

Goat Anti-Rabbit IgG, (H+L), Peroxidase conjugated (<a href='/en-us/products/secondary-antibodies/goat-rabbit-igg-h-l-hrp-ab97051'>ab97051</a>) at 1/50000 dilution

Predicted band size: 55 kDa

Observed band size: 37 kDa,55 kDa

false

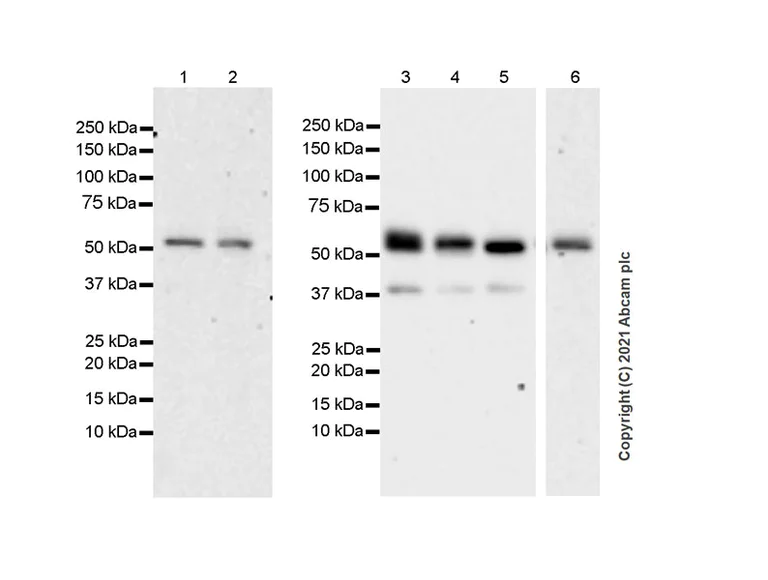
Western blot - Anti-TGF beta Receptor I antibody [EPR20923-13] - BSA and Azide free (AB288303)
  • WB

Lab

Western blot - Anti-TGF beta Receptor I antibody [EPR20923-13] - BSA and Azide free (AB288303)

This data was developed using ab235578, the same antibody clone in a different buffer formulation.

Blocking and diluting buffer and concentration :

Exposure time : 3 minutes

All lanes:

Western blot - Anti-TGF beta Receptor I antibody [EPR20923-13] (<a href='/en-us/products/primary-antibodies/tgf-beta-receptor-i-antibody-epr20923-13-ab235578'>ab235578</a>) at 1/1000 dilution

Lane 1:

MCF7 (human breast adenocarcinoma epithelial cell) transfected with scrambled siRNA control whole cell lysate at 20 µg

Lane 2:

MCF7 transfected with 25nM siRNA specifically targeti TGF receptor I whole cell lysate at 20 µg

Lane 3:

MCF7 transfected with 100nM siRNA specifically targeti TGF receptor I whole cell lysate at 20 µg

Secondary

All lanes:

Goat Anti-Rabbit IgG, (H+L), Peroxidase conjugated (<a href='/en-us/products/secondary-antibodies/goat-rabbit-igg-h-l-hrp-ab97051'>ab97051</a>) at 1/20000 dilution

Predicted band size: 55 kDa

Observed band size: 55 kDa

false

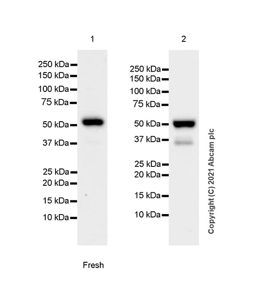
Western blot - Anti-TGF beta Receptor I antibody [EPR20923-13] - BSA and Azide free (AB288303)
  • WB

Lab

Western blot - Anti-TGF beta Receptor I antibody [EPR20923-13] - BSA and Azide free (AB288303)

This data was developed using ab235578, the same antibody clone in a different buffer formulation.

Blocking and diluting buffer and concentration : 5% NFDM/TBST

Lane1 Lysate was made freshly and used in WB test immediately to minimize protein degradation.

Exposure time : 81 seconds

All lanes:

Western blot - Anti-TGF beta Receptor I antibody [EPR20923-13] (<a href='/en-us/products/primary-antibodies/tgf-beta-receptor-i-antibody-epr20923-13-ab235578'>ab235578</a>) at 1/1000 dilution

Lane 1:

THP-1 (human monocytic leukemia monocyte) whole cell fresh lysate at 20 µg

Lane 2:

THP-1 (human monocytic leukemia monocyte) whole cell lysate at 20 µg

Secondary

All lanes:

Goat Anti-Rabbit IgG, (H+L), Peroxidase conjugated (<a href='/en-us/products/secondary-antibodies/goat-rabbit-igg-h-l-hrp-ab97051'>ab97051</a>) at 1/50000 dilution

Predicted band size: 55 kDa

Observed band size: 37 kDa,55 kDa

false

Western blot - Anti-TGF beta Receptor I antibody [EPR20923-13] - BSA and Azide free (AB288303)
  • WB

Lab

Western blot - Anti-TGF beta Receptor I antibody [EPR20923-13] - BSA and Azide free (AB288303)

False colour image of Western blot : Anti-TGF beta Receptor I antibody [EPR20923-13] staining at 1/1000 dilution, shown in green; Mouse anti-GAPDH antibody [6C5] (ab8245) loading control staining at 1/20000 dilution, shown in red. In Western blot, ab235578 was shown to bind specifically to TGF beta Receptor I. A band was observed at 40/55 kDa in wild-type A549 cell lysates with no signal observed at this size in TGFBR1 knockout cell line ab277894 (knockout cell lysate ab283082). To generate this image, wild-type and TGFBR1 knockout A549 cell lysates were analysed. First, samples were run on an SDS-PAGE gel then transferred onto a nitrocellulose membrane. Membranes were blocked in 3 % milk in TBS-0.1 % Tween® 20 (TBS-T) before incubation with primary antibodies overnight at 4 °C. Blots were washed four times in TBS-T, incubated with secondary antibodies for 1 h at room temperature, washed again four times then imaged. Secondary antibodies used were Goat anti-Rabbit IgG H&L (IRDye® 800CW) preabsorbed (ab216773) and Goat anti-Mouse IgG H&L (IRDye® 680RD) preabsorbed (ab216776) at 1/20000 dilution.

This data was developed using ab235578, the same antibody clone in a different buffer formulation.

All lanes:

Western blot - Anti-TGF beta Receptor I antibody [EPR20923-13] (<a href='/en-us/products/primary-antibodies/tgf-beta-receptor-i-antibody-epr20923-13-ab235578'>ab235578</a>) at 1/1000 dilution

Lane 1:

Wild-type A549 cell lysate at 20 µg

Lane 2:

Western blot - Human TGFBR1 knockout A549 cell lysate (ab283082) at 20 µg

Lane 3:

A431 cell lysate at 20 µg

Lane 4:

MOLT-4 cell lysate at 20 µg

Predicted band size: 55 kDa

Observed band size: 40 kDa,55 kDa

false

Western blot - Anti-TGF beta Receptor I antibody [EPR20923-13] - BSA and Azide free (AB288303)
  • WB

Lab

Western blot - Anti-TGF beta Receptor I antibody [EPR20923-13] - BSA and Azide free (AB288303)

This data was developed using ab235578, the same antibody clone in a different buffer formulation.

Western blot : Anti-TGF beta Receptor I antibody [EPR20923-13] ab235578 staining at 1/1000 dilution, shown in green; Mouse anti GAPDH (ab8245) loading control staining at 1/20,000 dilution, shown in magenta. A band was observed at 42 kDa in Wild-type HCT 116 cell lysates with no signal observed at this size in TGFBR1 knockout HCT 116 cell line.

To generate this image, samples were run on an SDS-PAGE gel then transferred onto a nitrocellulose membrane. Membranes were blocked in 3pc Milk in TBS-0.1 % Tween® 20 (TBS-T) before incubation with primary antibodies overnight at 4 °C. Blots were washed four times in TBS-T, incubated with secondary antibodies for 1 h at room temperature, washed again four times then imaged. Secondary antibodies used were Goat anti-Rabbit 800CW & Goat anti-Mouse 680RD at 1/20,000 dilution.

Lanes 1 - 3:

Western blot - Anti-TGF beta Receptor I antibody [EPR20923-13] (<a href='/en-us/products/primary-antibodies/tgf-beta-receptor-i-antibody-epr20923-13-ab235578'>ab235578</a>) at 1/1000 dilution

Lanes 1 - 3:

Western blot - Anti-TGF beta Receptor I antibody [EPR20923-13] - BSA and Azide free (ab288303) at 1/1000 dilution

Lane 1:

Wild-type HCT 116 at 20 µg

Lane 2:

Western blot - Human TGFBR1 knockout HCT116 cell line (ab289125) at 20 µg

Lane 3:

A-431 UNBOILED at 20 µg

Secondary

All lanes:

Goat anti-Rabbit 800CW & Goat anti-Mouse 680RD at 1/20000 dilution

Predicted band size: 56 kDa

Observed band size: 42 kDa

false

  • Unconjugated

    Anti-TGF beta Receptor I antibody [EPR20923-13]

Key facts

Host species

Rabbit

Clonality

Monoclonal

Clone number

EPR20923-13

Isotype

IgG

Carrier free

Yes

Reacts with

Mouse, Human, Rat

Applications

WB, IP

applications

Immunogen

The exact immunogen used to generate this antibody is proprietary information.

Reactivity data

{ "title": "Reactivity Data", "filters": { "stats": ["", "Species", "Dilution Info", "Notes"], "tabs": { "all-applications": {"fullname" : "All Applications", "shortname": "All Applications"}, "ICCIF" : {"fullname" : "Immunocytochemistry/ Immunofluorescence", "shortname":"ICC/IF"}, "IP" : {"fullname" : "Immunoprecipitation", "shortname":"IP"}, "WB" : {"fullname" : "Western blot", "shortname":"WB"}, "FlowCytIntra" : {"fullname" : "Flow Cytometry (Intracellular)", "shortname":"Flow Cyt (Intra)"}, "IHCP" : {"fullname" : "Immunohistochemistry (Formalin/PFA-fixed paraffin-embedded sections)", "shortname":"IHC-P"} }, "product-promise": { "all": "all", "testedAndGuaranteed": "tested", "guaranteed": "expected", "predicted": "predicted", "notRecommended": "not-recommended" } }, "values": { "Human": { "ICCIF-species-checked": "notRecommended", "ICCIF-species-dilution-info": "", "ICCIF-species-notes": "<p></p>", "IP-species-checked": "testedAndGuaranteed", "IP-species-dilution-info": "", "IP-species-notes": "<p></p>", "WB-species-checked": "testedAndGuaranteed", "WB-species-dilution-info": "", "WB-species-notes": "<p></p>", "FlowCytIntra-species-checked": "notRecommended", "FlowCytIntra-species-dilution-info": "", "FlowCytIntra-species-notes": "<p></p>", "IHCP-species-checked": "notRecommended", "IHCP-species-dilution-info": "", "IHCP-species-notes": "<p></p>" }, "Mouse": { "ICCIF-species-checked": "notRecommended", "ICCIF-species-dilution-info": "", "ICCIF-species-notes": "<p></p>", "IP-species-checked": "guaranteed", "IP-species-dilution-info": "", "IP-species-notes": "", "WB-species-checked": "testedAndGuaranteed", "WB-species-dilution-info": "", "WB-species-notes": "<p></p>", "FlowCytIntra-species-checked": "notRecommended", "FlowCytIntra-species-dilution-info": "", "FlowCytIntra-species-notes": "<p></p>", "IHCP-species-checked": "notRecommended", "IHCP-species-dilution-info": "", "IHCP-species-notes": "<p></p>" }, "Rat": { "ICCIF-species-checked": "notRecommended", "ICCIF-species-dilution-info": "", "ICCIF-species-notes": "<p></p>", "IP-species-checked": "guaranteed", "IP-species-dilution-info": "", "IP-species-notes": "", "WB-species-checked": "testedAndGuaranteed", "WB-species-dilution-info": "", "WB-species-notes": "<p></p>", "FlowCytIntra-species-checked": "notRecommended", "FlowCytIntra-species-dilution-info": "", "FlowCytIntra-species-notes": "<p></p>", "IHCP-species-checked": "notRecommended", "IHCP-species-dilution-info": "", "IHCP-species-notes": "<p></p>" }, "Transfected cell lysate": { "ICCIF-species-checked": "notRecommended", "ICCIF-species-dilution-info": "", "ICCIF-species-notes": "", "IP-species-checked": "notRecommended", "IP-species-dilution-info": "", "IP-species-notes": "", "WB-species-checked": "testedAndGuaranteed", "WB-species-dilution-info": "", "WB-species-notes": "<p></p>", "FlowCytIntra-species-checked": "notRecommended", "FlowCytIntra-species-dilution-info": "", "FlowCytIntra-species-notes": "", "IHCP-species-checked": "notRecommended", "IHCP-species-dilution-info": "", "IHCP-species-notes": "" } } }

Product details

This is the carrier-free version of ab235578.

Patented technology
Our RabMAb® technology is a patented hybridoma-based technology for making rabbit monoclonal antibodies. For details on our patents, please refer to RabMAb® patents.

What are the advantages of a recombinant monoclonal antibody?
This product is a recombinant monoclonal antibody, which offers several advantages including:

  • - High batch-to-batch consistency and reproducibility
  • - Improved sensitivity and specificity
  • - Long-term security of supply
  • - Animal-free batch production

For more information, read more on recombinant antibodies.

Conjugation ready
Our carrier-free antibodies are typically supplied in a PBS-only formulation, purified and free of BSA, sodium azide and glycerol. This conjugation-ready format is designed for use with fluorochromes, metal isotopes, oligonucleotides, and enzymes, which makes them ideal for antibody labelling, functional and cell-based assays, flow-based assays (e.g. mass cytometry) and Multiplex Imaging applications.

Use our conjugation kits for antibody conjugates that are ready-to-use in as little as 20 minutes with 1 minute hands-on-time and 100% antibody recovery: available for fluorescent dyes, HRP, biotin and gold.

Compatibility
This product is compatible with the Maxpar® Antibody Labeling Kit from Fluidigm, without the need for antibody preparation. Maxpar® is a trademark of Fluidigm Canada Inc.

Properties and storage information

Form
Liquid
Purification technique
Affinity purification Protein A
Storage buffer
pH: 7.2 - 7.4 Constituents: PBS
Shipped at conditions
Blue Ice
Appropriate short-term storage conditions
+4°C
Appropriate long-term storage conditions
+4°C
Storage information
Do Not Freeze

Product protocols

For this product, it's our understanding that no specific protocols are required. You can visit:

Target data

Transmembrane serine/threonine kinase forming with the TGF-beta type II serine/threonine kinase receptor, TGFBR2, the non-promiscuous receptor for the TGF-beta cytokines TGFB1, TGFB2 and TGFB3. Transduces the TGFB1, TGFB2 and TGFB3 signal from the cell surface to the cytoplasm and is thus regulating a plethora of physiological and pathological processes including cell cycle arrest in epithelial and hematopoietic cells, control of mesenchymal cell proliferation and differentiation, wound healing, extracellular matrix production, immunosuppression and carcinogenesis. The formation of the receptor complex composed of 2 TGFBR1 and 2 TGFBR2 molecules symmetrically bound to the cytokine dimer results in the phosphorylation and the activation of TGFBR1 by the constitutively active TGFBR2. Activated TGFBR1 phosphorylates SMAD2 which dissociates from the receptor and interacts with SMAD4. The SMAD2-SMAD4 complex is subsequently translocated to the nucleus where it modulates the transcription of the TGF-beta-regulated genes. This constitutes the canonical SMAD-dependent TGF-beta signaling cascade. Also involved in non-canonical, SMAD-independent TGF-beta signaling pathways. For instance, TGFBR1 induces TRAF6 autoubiquitination which in turn results in MAP3K7 ubiquitination and activation to trigger apoptosis. Also regulates epithelial to mesenchymal transition through a SMAD-independent signaling pathway through PARD6A phosphorylation and activation.
See full target information TGFBR1

Publications (1)

Recent publications for all applications. Explore the full list and refine your search

International journal of oral science 17:18 PubMed40075093

2025

Administration of Porphyromonas gingivalis in pregnant mice enhances glycolysis and histone lactylation/ADAM17 leading to cleft palate in offspring.

Applications

Unspecified application

Species

Unspecified reactive species

Xige Zhao,Xiaoyu Zheng,Yijia Wang,Jing Chen,Xiaotong Wang,Xia Peng,Dong Yuan,Ying Liu,Zhiwei Wang,Juan Du
View all publications

Product promise

We are committed to supporting your work with high-quality reagents, and we're here for you every step of the way. In the unlikely event that one of our products does not perform as expected, you're protected by our Product Promise.
For full details, please see our Terms & Conditions

Please note: All products are 'FOR RESEARCH USE ONLY. NOT FOR USE IN DIAGNOSTIC OR THERAPEUTIC PROCEDURES'.

For licensing inquiries, please contact partnerships@abcam.com