JavaScript is disabled in your browser. Please enable JavaScript to view this website.
AB112095

Anti-TGF beta Receptor I (phospho S165) antibody

4

(3 Reviews)

|

(11 Publications)

Rabbit Polyclonal TGF beta Receptor I phospho S165 antibody. Suitable for WB, IHC-P, ICC/IF and reacts with Mouse, Rat, Human samples. Cited in 11 publications. Immunogen corresponding to Synthetic Peptide within Human TGFBR1 phospho S165 aa 100-200.

View Alternative Names

ALK5, SKR4, TGFBR1, TGF-beta receptor type-1, TGFR-1, Activin A receptor type II-like protein kinase of 53kD, Activin receptor-like kinase 5, Serine/threonine-protein kinase receptor R4, TGF-beta type I receptor, Transforming growth factor-beta receptor type I, ALK-5, TGF-beta receptor type I, TbetaR-I

5 Images
Immunocytochemistry/ Immunofluorescence - Anti-TGF beta Receptor I (phospho S165) antibody (AB112095)
  • ICC/IF

Unknown

Immunocytochemistry/ Immunofluorescence - Anti-TGF beta Receptor I (phospho S165) antibody (AB112095)

ab112095, at a 1/100 dilution, staining TGF beta Receptor I in HeLa cells by Immunofluorescence, in the absence (left) and presence (right) of the phosphopeptide.

Immunohistochemistry (Formalin/PFA-fixed paraffin-embedded sections) - Anti-TGF beta Receptor I (phospho S165) antibody (AB112095)
  • IHC-P

Supplier Data

Immunohistochemistry (Formalin/PFA-fixed paraffin-embedded sections) - Anti-TGF beta Receptor I (phospho S165) antibody (AB112095)

Immunohistochemistry analysis of paraffin-embedded human-liver tissue staining with ab112095 at 1/200 dilution incubated at 4°C overnight. Sodium citrate pH 6.0 was used for antibody retrieval at 98°C for 20min. Secondary antibody was used at 1/200 dilution at room temperature for 30min. Negative control was the secondary antibody only.

Immunohistochemistry (Formalin/PFA-fixed paraffin-embedded sections) - Anti-TGF beta Receptor I (phospho S165) antibody (AB112095)
  • IHC-P

Supplier Data

Immunohistochemistry (Formalin/PFA-fixed paraffin-embedded sections) - Anti-TGF beta Receptor I (phospho S165) antibody (AB112095)

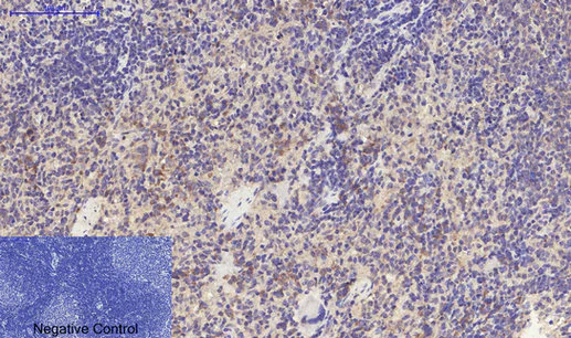
Immunohistochemistry analysis of paraffin-embedded rat spleen tissue staining with ab112095 at 1/200 dilution incubated at 4°C overnight. Sodium citrate pH 6.0 was used for antibody retrieval at 98°C for 20min. Secondary antibody was used at 1/200 dilution at room temperature for 30min. Negative control was the secondary antibody only.

Immunohistochemistry (Formalin/PFA-fixed paraffin-embedded sections) - Anti-TGF beta Receptor I (phospho S165) antibody (AB112095)
  • IHC-P

Supplier Data

Immunohistochemistry (Formalin/PFA-fixed paraffin-embedded sections) - Anti-TGF beta Receptor I (phospho S165) antibody (AB112095)

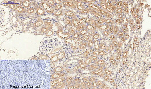
Immunohistochemistry analysis of paraffin-embedded rat kidney tissue staining with ab112095 at 1/200 dilution incubated at 4°C overnight. Sodium citrate pH 6.0 was used for antibody retrieval at 98°C for 20min. Secondary antibody was used at 1/200 dilution at room temperature for 30min. Negative control was the secondary antibody only.

Western blot - Anti-TGF beta Receptor I (phospho S165) antibody (AB112095)
  • WB

Supplier Data

Western blot - Anti-TGF beta Receptor I (phospho S165) antibody (AB112095)

All lanes:

Western blot - Anti-TGF beta Receptor I (phospho S165) antibody (ab112095) at 1/1000 dilution

All lanes:

Mouse liver cells

false

Key facts

Host species

Rabbit

Clonality

Polyclonal

Isotype

IgG

Carrier free

No

Reacts with

Mouse, Rat, Human

Applications

ICC/IF, WB, IHC-P

applications

Immunogen

Synthetic Peptide within Human TGFBR1 phospho S165 aa 100-200. The exact immunogen used to generate this antibody is proprietary information.

P36897

Reactivity data

{ "title": "Reactivity Data", "filters": { "stats": ["", "Species", "Dilution Info", "Notes"], "tabs": { "all-applications": {"fullname" : "All Applications", "shortname": "All Applications"}, "WB" : {"fullname" : "Western blot", "shortname":"WB"}, "IHCP" : {"fullname" : "Immunohistochemistry (Formalin/PFA-fixed paraffin-embedded sections)", "shortname":"IHC-P"}, "ICCIF" : {"fullname" : "Immunocytochemistry/ Immunofluorescence", "shortname":"ICC/IF"} }, "product-promise": { "all": "all", "testedAndGuaranteed": "tested", "guaranteed": "expected", "predicted": "predicted", "notRecommended": "not-recommended" } }, "values": { "Human": { "WB-species-checked": "guaranteed", "WB-species-dilution-info": "", "WB-species-notes": "", "IHCP-species-checked": "testedAndGuaranteed", "IHCP-species-dilution-info": "", "IHCP-species-notes": "<p></p>", "ICCIF-species-checked": "testedAndGuaranteed", "ICCIF-species-dilution-info": "1/100 - 1/500", "ICCIF-species-notes": "<p></p>" }, "Mouse": { "WB-species-checked": "testedAndGuaranteed", "WB-species-dilution-info": "", "WB-species-notes": "<p></p>", "IHCP-species-checked": "guaranteed", "IHCP-species-dilution-info": "", "IHCP-species-notes": "", "ICCIF-species-checked": "guaranteed", "ICCIF-species-dilution-info": "", "ICCIF-species-notes": "" }, "Rat": { "WB-species-checked": "guaranteed", "WB-species-dilution-info": "", "WB-species-notes": "", "IHCP-species-checked": "testedAndGuaranteed", "IHCP-species-dilution-info": "", "IHCP-species-notes": "<p></p>", "ICCIF-species-checked": "guaranteed", "ICCIF-species-dilution-info": "", "ICCIF-species-notes": "" } } }

Properties and storage information

Form
Liquid
Purification technique
Affinity purification Immunogen
Purification notes
ab112095 is affinity-purified from rabbit antiserum by affinity-chromatography using an epitope-specific phosphopeptide. The antibody against non-phosphopeptide was removed by chromatography using non-phosphopeptide corresponding to the phosphorylation site.
Storage buffer
pH: 7.4 Preservative: 0.02% Sodium azide Constituents: PBS, 50% Glycerol (glycerin, glycerine), 0.88% Sodium chloride
Shipped at conditions
Blue Ice
Appropriate short-term storage conditions
+4°C
Appropriate long-term storage conditions
-20°C
Storage information
Stable for 12 months at -20°C

Product protocols

For this product, it's our understanding that no specific protocols are required. You can visit:

Target data

Transmembrane serine/threonine kinase forming with the TGF-beta type II serine/threonine kinase receptor, TGFBR2, the non-promiscuous receptor for the TGF-beta cytokines TGFB1, TGFB2 and TGFB3. Transduces the TGFB1, TGFB2 and TGFB3 signal from the cell surface to the cytoplasm and is thus regulating a plethora of physiological and pathological processes including cell cycle arrest in epithelial and hematopoietic cells, control of mesenchymal cell proliferation and differentiation, wound healing, extracellular matrix production, immunosuppression and carcinogenesis. The formation of the receptor complex composed of 2 TGFBR1 and 2 TGFBR2 molecules symmetrically bound to the cytokine dimer results in the phosphorylation and the activation of TGFBR1 by the constitutively active TGFBR2. Activated TGFBR1 phosphorylates SMAD2 which dissociates from the receptor and interacts with SMAD4. The SMAD2-SMAD4 complex is subsequently translocated to the nucleus where it modulates the transcription of the TGF-beta-regulated genes. This constitutes the canonical SMAD-dependent TGF-beta signaling cascade. Also involved in non-canonical, SMAD-independent TGF-beta signaling pathways. For instance, TGFBR1 induces TRAF6 autoubiquitination which in turn results in MAP3K7 ubiquitination and activation to trigger apoptosis. Also regulates epithelial to mesenchymal transition through a SMAD-independent signaling pathway through PARD6A phosphorylation and activation.
See full target information TGFBR1 phospho S165

Publications (11)

Recent publications for all applications. Explore the full list and refine your search

Research (Washington, D.C.) 8:0619 PubMed39975575

2025

Regulating Integrin β1 to Restore Gonadotropin-Releasing Hormone-Tanycyte Unit Function in Polycystic Ovary Syndrome-Related Hypothalamic Dysregulation.

Applications

Unspecified application

Species

Unspecified reactive species

Yu Wang,Xiaoyu Tong,Yan Xiao,Yicong Wang,Wei Hu,Wenhan Lu,Yuning Chen,Jiajia Li,Wenhao Gao,Hongru Gao,Yicheng Tian,Sizhe Dai,Yi Feng

Chinese medicine 20:18 PubMed39910658

2025

Distinct mechanisms of electroacupuncture and manual acupuncture in modulating hypothalamic GnRH-tanycyte unit function of polycystic ovary syndrome.

Applications

Unspecified application

Species

Unspecified reactive species

Yu Wang,Yicong Wang,Yuning Chen,Wenhan Lu,Xiaoyu Tong,Jiajia Li,Wenhao Gao,Rui Huang,Wei Hu,Yi Feng

The Journal of biological chemistry 300:108011 PubMed39571651

2024

Reduced S-nitrosylation of TGFβ1 elevates its binding affinity toward the receptor and promotes fibrogenic signaling in the breast.

Applications

Unspecified application

Species

Unspecified reactive species

Joshua Letson,Gang Ren,Xunzhen Zheng,Osama Sweef,Yalitza Lopes Corcino,Saori Furuta

Phytotherapy research : PTR 33:214-223 PubMed30375049

2018

(+)-Isobicyclogermacrenal and spathulenol from Aristolochia yunnanensis alleviate cardiac fibrosis by inhibiting transforming growth factor β/small mother against decapentaplegic signaling pathway.

Applications

Unspecified application

Species

Unspecified reactive species

Lan-Lan Lou,Wei Li,Bin-Hua Zhou,Lin Chen,Han-Zhuang Weng,Yi-Hong Zou,Gui-Hua Tang,Xian-Zhang Bu,Sheng Yin

Nature communications 9:1216 PubMed29572483

2018

The orphan GPR50 receptor promotes constitutive TGFβ receptor signaling and protects against cancer development.

Applications

Unspecified application

Species

Unspecified reactive species

Stefanie Wojciech,Raise Ahmad,Zakia Belaid-Choucair,Anne-Sophie Journé,Sarah Gallet,Julie Dam,Avais Daulat,Delphine Ndiaye-Lobry,Olivier Lahuna,Angeliki Karamitri,Jean-Luc Guillaume,Marcio Do Cruzeiro,François Guillonneau,Anastasia Saade,Nathalie Clément,Thomas Courivaud,Nawel Kaabi,Kenjiro Tadagaki,Philippe Delagrange,Vincent Prévot,Olivier Hermine,Céline Prunier,Ralf Jockers

Scientific reports 7:10433 PubMed28874783

2017

Hyperactive TGF-β Signaling in Smooth Muscle Cells Exposed to HIV-protein(s) and Cocaine: Role in Pulmonary Vasculopathy.

Applications

WB

Species

Unspecified reactive species

Pranjali Dalvi,Himanshu Sharma,Tomara Konstantinova,Miles Sanderson,Amy O' Brien-Ladner,Navneet K Dhillon

Experimental and therapeutic medicine 12:2191-2195 PubMed27698710

2016

Decorin inhibits the proliferation of HepG2 cells by elevating the expression of transforming growth factor-β receptor II.

Applications

WB

Species

Human

Yanfeng Liu,Xuesong Wang,Zhaohui Wang,Wenbo Ju,Dawei Wang

Cancer prevention research (Philadelphia, Pa.) 9:324-34 PubMed26851235

2016

Hepatic Premalignant Alterations Triggered by Human Nephrotoxin Aristolochic Acid I in Canines.

Applications

Unspecified application

Species

Unspecified reactive species

Ke Jin,Kun-kai Su,Tong Li,Xia-qing Zhu,Qi Wang,Ren-shan Ge,Zong-fu Pan,Bo-wen Wu,Li-jun Ge,Yi-han Zhang,Yi-fan Wang,Guo-fang Shen,Dan-yan Zhu,Chun-sheng Xiang,Lan-juan Li,Yi-jia Lou

Human molecular genetics 24:4024-36 PubMed25882708

2015

Latent transforming growth factor binding protein 4 regulates transforming growth factor beta receptor stability.

Applications

Unspecified application

Species

Unspecified reactive species

Chi-Ting Su,Jenq-Wen Huang,Chih-Kang Chiang,Elizabeth C Lawrence,Kara L Levine,Branka Dabovic,Christine Jung,Elaine C Davis,Suneeta Madan-Khetarpal,Zsolt Urban

Nature medicine 20:1138-46 PubMed25216638

2014

In vivo RNAi screening identifies a mechanism of sorafenib resistance in liver cancer.

Applications

Unspecified application

Species

Unspecified reactive species

Ramona Rudalska,Daniel Dauch,Thomas Longerich,Katherine McJunkin,Torsten Wuestefeld,Tae-Won Kang,Anja Hohmeyer,Marina Pesic,Josef Leibold,Anne von Thun,Peter Schirmacher,Johannes Zuber,Karl-Heinz Weiss,Scott Powers,Nisar P Malek,Martin Eilers,Bence Sipos,Scott W Lowe,Robert Geffers,Stefan Laufer,Lars Zender
View all publications

Product promise

We are committed to supporting your work with high-quality reagents, and we're here for you every step of the way. In the unlikely event that one of our products does not perform as expected, you're protected by our Product Promise.
For full details, please see our Terms & Conditions

Please note: All products are 'FOR RESEARCH USE ONLY. NOT FOR USE IN DIAGNOSTIC OR THERAPEUTIC PROCEDURES'.

For licensing inquiries, please contact partnerships@abcam.com