JavaScript is disabled in your browser. Please enable JavaScript to view this website.
AB259360

Anti-TGF beta Receptor II antibody [EPR24349-124]

  • 20ul selling size
  • KO Validated
  • RabMAb
  • Recombinant
  • What is this?

Be the first to review this product! Submit a review

|

(11 Publications)

Anti-TGF beta Receptor II antibody [EPR24349-124] (ab259360) is a rabbit monoclonal antibody detecting TGF beta Receptor II in Western Blot, IP. Suitable for Human, Mouse, Rat.

- KO validated for confirmed specificity
- Biophysical QC for unrivalled batch-batch consistency

View Alternative Names

TGF-beta receptor type-2, TGFR-2, TGF-beta type II receptor, Transforming growth factor-beta receptor type II, TGF-beta receptor type II, TbetaR-II, TGFBR2

7 Images
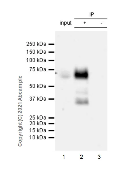
Immunoprecipitation - Anti-TGF beta Receptor II antibody [EPR24349-124] (AB259360)
  • IP

Supplier Data

Immunoprecipitation - Anti-TGF beta Receptor II antibody [EPR24349-124] (AB259360)

TGF beta Receptor II was immunoprecipitated from 0.35 mg HT-1080 (human fibrosarcoma epithelial cell) whole cell lysate 10 μg with ab259360 at 1/30 dilution (2μg in 0.35mg lysates). Western blot was performed on the immunoprecipitate using ab259360 at 1/1000 dilution. VeriBlot for IP secondary antibody (HRP) (ab131366) was used at 1/5000 dilution.

Lane 1 : HT-1080 (human fibrosarcoma epithelial cell) whole cell lysate 10 μg

Lane 2 : ab259360 IP in HT-1080 whole cell lysate

Lane 3 : Rabbit monoclonal IgG (ab172730) instead of ab259360 in HT-1080 whole cell lysate

Blocking and dilution buffer and concentration : 5% NFDM/TBST.

Exposure time : 76 seconds.

Bands below 50 kDa are caused by degradation as demonstrated by WB data.

All lanes:

Immunoprecipitation - Anti-TGF beta Receptor II antibody [EPR24349-124] (ab259360)

Predicted band size: 65 kDa

Observed band size: 70-80 kDa

false

Immunoprecipitation - Anti-TGF beta Receptor II antibody [EPR24349-124] (AB259360)
  • IP

Supplier Data

Immunoprecipitation - Anti-TGF beta Receptor II antibody [EPR24349-124] (AB259360)

TGF beta Receptor II was immunoprecipitated from 0.35 mg NIH/3T3 (mouse embryonic fibroblast) whole cell lysate 10 μg with ab259360 at 1/30 dilution (2μg in 0.35mg lysates). Western blot was performed on the immunoprecipitate using ab259360 at 1/1000 dilution. VeriBlot for IP secondary antibody(HRP)(ab131366) was used at 1/5000 dilution.

Lane 1 : NIH/3T3 (mouse embryonic fibroblast) whole cell lysate 10 μg

Lane 2 : ab259360 IP in NIH/3T3 whole cell lysate

Lane 3 : Rabbit monoclonal IgG (ab172730) instead of ab259360 in NIH/3T3 whole cell lysate

Blocking and dilution buffer and concentration : 5% NFDM/TBST.

Exposure time : 50 seconds.

Bands below 50 kDa are caused by degradation as demonstrated by WB data.

All lanes:

Immunoprecipitation - Anti-TGF beta Receptor II antibody [EPR24349-124] (ab259360)

Predicted band size: 65 kDa

Observed band size: 70-80 kDa

false

Western blot - Anti-TGF beta Receptor II antibody [EPR24349-124] (AB259360)
  • WB

Lab

Western blot - Anti-TGF beta Receptor II antibody [EPR24349-124] (AB259360)

Blocking and diluting buffer and concentration : 5% NFDM/TBST. The molecular weight observed is consistent with what has been described in the literature (PMID : 23468914).

Lysates were made freshly and used in WB immediately to minimize protein degradation.

Exposure time : Lanes 1-2 : 81 seconds; Lane 3 : 3 minutes.

All lanes:

Western blot - Anti-TGF beta Receptor II antibody [EPR24349-124] (ab259360) at 1/1000 dilution

Lane 1:

HT-1080 (human fibrosarcoma epithelial cell) whole cell lysate at 20 µg

Lane 2:

HepG2 (human hepatocellular carcinoma epithelial cell) whole cell lysate at 20 µg

Lane 3:

NIH/3T3 (mouse embryonic fibroblast) whole cell lysate at 20 µg

Secondary

All lanes:

Western blot - Goat Anti-Rabbit IgG H&L (HRP) (<a href='/en-us/products/secondary-antibodies/goat-rabbit-igg-h-l-hrp-ab97051'>ab97051</a>) at 1/100000 dilution

Predicted band size: 65 kDa

Observed band size: 70-80 kDa

false

Western blot - Anti-TGF beta Receptor II antibody [EPR24349-124] (AB259360)
  • WB

Lab

Western blot - Anti-TGF beta Receptor II antibody [EPR24349-124] (AB259360)

Western blot : Rabbit Monoclonal [EPR24349-124] to TGF beta Receptor II ab259360 staining at 1/1000 dilution, shown in green; Mouse anti GAPDH (ab8245) loading control staining at 1/20,000 dilution, shown in magenta.

A band was observed at 70 kDa in Wild-type A549 cell lysates with no signal observed at this size in TGFBR2 knockout A549 cell line.

To generate this image, samples were run on an SDS-PAGE gel then transferred onto a nitrocellulose membrane. Membranes were blocked in 3pc Milk in TBS-0.1 % Tween® 20 (TBS-T) before incubation with primary antibodies overnight at 4 °C. Blots were washed four times in TBS-T, incubated with secondary antibodies for 1 h at room temperature, washed again four times then imaged.

Secondary antibodies used were Goat anti-Rabbit 800CW & Goat anti-Mouse 680RD at 1/20,000 dilution.

All lanes:

Western blot - Anti-TGF beta Receptor II antibody [EPR24349-124] (ab259360) at 1/1000 dilution

Lane 1:

Wild-type A549 at 20 µg

Lane 2:

Western blot - Human TGFBR2 (TGF beta Receptor II) knockout A549 cell line (<a href='/en-us/products/cell-lines/human-tgfbr2-tgf-beta-receptor-ii-knockout-a549-cell-line-ab277895'>ab277895</a>) at 20 µg

Lane 2:

TGFBR2 knockout A549 at 20 µg

Secondary

All lanes:

Goat anti-Rabbit 800CW & Goat anti-Mouse 680RD at 1/20000 dilution

Predicted band size: 65 kDa

Observed band size: 70 kDa

false

Western blot - Anti-TGF beta Receptor II antibody [EPR24349-124] (AB259360)
  • WB

Lab

Western blot - Anti-TGF beta Receptor II antibody [EPR24349-124] (AB259360)

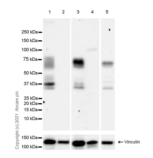
Blocking and diluting buffer and concentration : 5% NFDM/TBST.

Negative control : MCF7, PC-12 (PMID : 1310899).

Lysates used in this blot have experienced freeze-thaw cycles. Bands below 50 kDa are caused by degradation.

Exposure time : Lanes 1-4 : 81 seconds; Lane 5 : 3 minutes.

All lanes:

Western blot - Anti-TGF beta Receptor II antibody [EPR24349-124] (ab259360) at 1/1000 dilution

Lane 1:

HT-1080 (human fibrosarcoma epithelial cell) whole cell lysate at 20 µg

Lane 2:

MCF7 (human breast adenocarcinoma epithelial cell) whole cell lysate at 20 µg

Lane 3:

L6 (rat skeletal muscle myoblast) whole cell lysate at 20 µg

Lane 4:

PC-12 (rat adrenal gland pheochromocytoma) whole cell lysate at 20 µg

Lane 5:

Rat lung tissue lysate at 20 µg

Secondary

All lanes:

Western blot - Goat Anti-Rabbit IgG H&L (HRP) (<a href='/en-us/products/secondary-antibodies/goat-rabbit-igg-h-l-hrp-ab97051'>ab97051</a>) at 1/100000 dilution

Predicted band size: 65 kDa

Observed band size: 70-80 kDa

false

Western blot - Anti-TGF beta Receptor II antibody [EPR24349-124] (AB259360)
  • WB

Lab

Western blot - Anti-TGF beta Receptor II antibody [EPR24349-124] (AB259360)

Western blot : Anti-TGFBR2 antibody [EPR24349-124] (ab259360) staining at 1/1000 dilution, shown in green; Mouse anti-GAPDH antibody [6C5] (ab8245) loading control staining at 1/20000 dilution, shown in magenta. In Western blot, ab259360 was shown to bind specifically to TGFBR2. A band was observed at 65 kDa in wild-type A549 cell lysates with no signal observed at this size in TGFBR2 knockout cell line. To generate this image, wild-type and TGFBR2 knockout A549 cell lysates were analysed. First, samples were run on an SDS-PAGE gel then transferred onto a nitrocellulose membrane. Membranes were blocked in fluorescent western blot (TBS-based) blocking solution before incubation with primary antibodies overnight at 4 °C. Blots were washed four times in TBS-T, incubated with secondary antibodies for 1 h at room temperature, washed again four times then imaged. Secondary antibodies used were Goat anti-Rabbit IgG H&L 800CW and Goat anti-Mouse IgG H&L 680RD at 1/20000 dilution.

All lanes:

Western blot - Anti-TGF beta Receptor II antibody [EPR24349-124] (ab259360) at 1/1000 dilution

Lane 1:

Wild-type A549 cell lysate at 40 µg

Lane 2:

TGFBR2 knockout A549 cell lysate at 40 µg

Secondary

All lanes:

Goat anti-Rabbit IgG H&L 800CW and Goat anti-Mouse IgG H&L 680RD at 1/20000 dilution

Observed band size: 65 kDa

false

Western blot - Anti-TGF beta Receptor II antibody [EPR24349-124] (AB259360)
  • WB

Lab

Western blot - Anti-TGF beta Receptor II antibody [EPR24349-124] (AB259360)

Blocking and diluting buffer and concentration : 5% NFDM/TBST.

Negative control : Neuro-2a (PMID : 1310899).

Lysates used in this blot have experienced freeze-thaw cycles. Bands below 50 kDa are caused by degradation.

Exposure time : 81 seconds.

All lanes:

Western blot - Anti-TGF beta Receptor II antibody [EPR24349-124] (ab259360) at 1/1000 dilution

Lane 1:

Mouse lung tissue lysate at 20 µg

Lane 2:

NIH/3T3 (mouse embryonic fibroblast) whole cell lysate at 20 µg

Lane 3:

Hepa1-6 (mouse hepatoma epithelial cell) whole cell lysate at 20 µg

Lane 4:

Neuro-2a (mouse neuroblastoma neuroblast) whole cell lysate at 20 µg

Secondary

All lanes:

Western blot - Goat Anti-Rabbit IgG H&L (HRP) (<a href='/en-us/products/secondary-antibodies/goat-rabbit-igg-h-l-hrp-ab97051'>ab97051</a>) at 1/100000 dilution

Predicted band size: 65 kDa

Observed band size: 70-80 kDa

false

  • Carrier free

    Anti-TGF beta Receptor II antibody [EPR24349-124] - BSA and Azide free

Key facts

Host species

Rabbit

Clonality

Monoclonal

Clone number

EPR24349-124

Isotype

IgG

Carrier free

No

Reacts with

Mouse, Rat, Human

Applications

WB, IP

applications

Immunogen

The exact immunogen used to generate this antibody is proprietary information.

Reactivity data

{ "title": "Reactivity Data", "filters": { "stats": ["", "Species", "Dilution Info", "Notes"], "tabs": { "all-applications": {"fullname" : "All Applications", "shortname": "All Applications"}, "IP" : {"fullname" : "Immunoprecipitation", "shortname":"IP"}, "WB" : {"fullname" : "Western blot", "shortname":"WB"}, "IHCP" : {"fullname" : "Immunohistochemistry (Formalin/PFA-fixed paraffin-embedded sections)", "shortname":"IHC-P"}, "ICCIF" : {"fullname" : "Immunocytochemistry/ Immunofluorescence", "shortname":"ICC/IF"}, "IHCFr" : {"fullname" : "Immunohistochemistry (Frozen sections)", "shortname":"IHC-Fr"}, "FlowCytIntra" : {"fullname" : "Flow Cytometry (Intracellular)", "shortname":"Flow Cyt (Intra)"} }, "product-promise": { "all": "all", "testedAndGuaranteed": "tested", "guaranteed": "expected", "predicted": "predicted", "notRecommended": "not-recommended" } }, "values": { "Human": { "IP-species-checked": "testedAndGuaranteed", "IP-species-dilution-info": "1/30", "IP-species-notes": "<p></p>", "WB-species-checked": "testedAndGuaranteed", "WB-species-dilution-info": "1/1000", "WB-species-notes": "<p></p>", "IHCP-species-checked": "notRecommended", "IHCP-species-dilution-info": "", "IHCP-species-notes": "<p></p>", "ICCIF-species-checked": "notRecommended", "ICCIF-species-dilution-info": "", "ICCIF-species-notes": "<p></p>", "IHCFr-species-checked": "notRecommended", "IHCFr-species-dilution-info": "", "IHCFr-species-notes": "", "FlowCytIntra-species-checked": "notRecommended", "FlowCytIntra-species-dilution-info": "", "FlowCytIntra-species-notes": "<p></p>" }, "Mouse": { "IP-species-checked": "testedAndGuaranteed", "IP-species-dilution-info": "1/30", "IP-species-notes": "<p></p>", "WB-species-checked": "testedAndGuaranteed", "WB-species-dilution-info": "1/1000", "WB-species-notes": "<p></p>", "IHCP-species-checked": "notRecommended", "IHCP-species-dilution-info": "", "IHCP-species-notes": "<p></p>", "ICCIF-species-checked": "notRecommended", "ICCIF-species-dilution-info": "", "ICCIF-species-notes": "<p></p>", "IHCFr-species-checked": "notRecommended", "IHCFr-species-dilution-info": "", "IHCFr-species-notes": "<p></p>", "FlowCytIntra-species-checked": "notRecommended", "FlowCytIntra-species-dilution-info": "", "FlowCytIntra-species-notes": "<p></p>" }, "Rat": { "IP-species-checked": "guaranteed", "IP-species-dilution-info": "", "IP-species-notes": "", "WB-species-checked": "testedAndGuaranteed", "WB-species-dilution-info": "1/1000", "WB-species-notes": "<p></p>", "IHCP-species-checked": "notRecommended", "IHCP-species-dilution-info": "", "IHCP-species-notes": "<p></p>", "ICCIF-species-checked": "notRecommended", "ICCIF-species-dilution-info": "", "ICCIF-species-notes": "<p></p>", "IHCFr-species-checked": "notRecommended", "IHCFr-species-dilution-info": "", "IHCFr-species-notes": "<p></p>", "FlowCytIntra-species-checked": "notRecommended", "FlowCytIntra-species-dilution-info": "", "FlowCytIntra-species-notes": "<p></p>" } } }

Product details

What is this antibody validated in?
Anti-TGF beta Receptor II antibody [EPR24349-124] (ab259360) is a rabbit recombinant monoclonal antibody and is validated for use in Western Blot (WB), Immunoprecipitation (IP) in Human, Mouse, Rat samples.

What is the molecular weight of TGF beta Receptor II?
Anti-TGF beta Receptor II [EPR24349-124] (ab259360) specifically detects a band for TGF beta Receptor II (UniProt: P37173) at a molecular weight of 65kDa.

Trial sizes available!
Test your antibody or perform pre-screening before committing to a larger quantity. Sold in 10µl. Discover our selection of trial-size antibodies.

Specificity confirmed
The specificity of Anti-TGF beta Receptor II antibody [EPR24349-124] (ab259360) has been confirmed by Western blot testing in TGFBR2 Knockout A549 cells.

Other related products
We have a range of other formats of antibody clone [EPR24349-124] also available for your convenience: ab259360, Carrier free - ab283230

Patented technology
Our RabMAb® technology is a patented hybridoma-based technology for making rabbit monoclonal antibodies. For details on our patents, please refer to RabMAb® patents.

What are the advantages of a recombinant monoclonal antibody?
This product is a recombinant monoclonal antibody, which offers several advantages including:

  • - High batch-to-batch consistency and reproducibility
  • - Improved sensitivity and specificity
  • - Long-term security of supply
  • - Animal-free batch production

For more information, read more on recombinant antibodies.

Properties and storage information

Form
Liquid
Purification technique
Affinity purification Protein A
Storage buffer
pH: 7.2 - 7.4 Preservative: 0.01% Sodium azide Constituents: PBS, 40% Glycerol (glycerin, glycerine), 0.05% BSA
Shipped at conditions
Blue Ice
Appropriate short-term storage duration
1-2 weeks
Appropriate short-term storage conditions
+4°C
Appropriate long-term storage conditions
-20°C
Aliquoting information
Upon delivery aliquot
Storage information
Avoid freeze / thaw cycle

Product protocols

For this product, it's our understanding that no specific protocols are required. You can visit:

Target data

Transmembrane serine/threonine kinase forming with the TGF-beta type I serine/threonine kinase receptor, TGFBR1, the non-promiscuous receptor for the TGF-beta cytokines TGFB1, TGFB2 and TGFB3. Transduces the TGFB1, TGFB2 and TGFB3 signal from the cell surface to the cytoplasm and thus regulates a plethora of physiological and pathological processes including cell cycle arrest in epithelial and hematopoietic cells, control of mesenchymal cell proliferation and differentiation, wound healing, extracellular matrix production, immunosuppression and carcinogenesis. The formation of the receptor complex composed of 2 TGFBR1 and 2 TGFBR2 molecules symmetrically bound to the cytokine dimer results in the phosphorylation and activation of TGFBR1 by the constitutively active TGFBR2. Activated TGFBR1 phosphorylates SMAD2 which dissociates from the receptor and interacts with SMAD4. The SMAD2-SMAD4 complex is subsequently translocated to the nucleus where it modulates the transcription of the TGF-beta-regulated genes. This constitutes the canonical SMAD-dependent TGF-beta signaling cascade. Also involved in non-canonical, SMAD-independent TGF-beta signaling pathways.. Isoform 1. Has transforming growth factor beta-activated receptor activity.. Isoform 2. Has transforming growth factor beta-activated receptor activity.. Isoform 3. Binds TGFB1, TGFB2 and TGFB3 in the picomolar affinity range without the participation of additional receptors. Blocks activation of SMAD2 and SMAD3 by TGFB1.
See full target information TGFBR2

Publications (11)

Recent publications for all applications. Explore the full list and refine your search

Frontiers in molecular biosciences 12:1571593 PubMed40656894

2025

Inhibition of USP11 attenuates sepsis-associated acute kidney injury by downregulating TGFBR2/Smad3 signaling.

Applications

Unspecified application

Species

Unspecified reactive species

Lu Wang,Wen Tang,Long Jiang,Daquan Zhang,Zhigao Wang,Rennan Guo,Jingjing Wang,Dong Xiao

International journal of ophthalmology 18:779-791 PubMed40385123

2025

Nintedanib regulates miR-23b-3p/TGFBR2 axis and competitively binds to TGFBR2 protein, inhibiting EMT process in human pterygium cells.

Applications

Unspecified application

Species

Unspecified reactive species

Ke-Ke Zhang,Meng Li,Yan-Hong Liao,Xiao-Tian Liu,Yong-Bo Bao,Yan Gong

Investigative ophthalmology & visual science 66:56 PubMed39982392

2025

Oridonin Preserves Retinal Pigmented Epithelial Cell Tight Junctions and Ameliorates Choroidal Neovascularization.

Applications

Unspecified application

Species

Unspecified reactive species

Juming Zhu,Dongmei Ding,Tao Sun,Yuting Zhang,Huizi Miao,Yunjie Gu,Ming Dai,Manhui Zhu

Biochemistry and biophysics reports 40:101864 PubMed39619656

2024

Kinome-wide CRISPR-Cas9 screens revealed as a positive regulator of TGF-β signaling.

Applications

Unspecified application

Species

Unspecified reactive species

Dingding Wang,Xinhao Zhang,Jianxun Guo,Weijia Liu,Yanchi Zhou,Renxian Wang

Journal of nanobiotechnology 22:580 PubMed39304875

2024

Apoptotic vesicles rescue impaired mesenchymal stem cells and their therapeutic capacity for osteoporosis by restoring miR-145a-5p deficiency.

Applications

Unspecified application

Species

Unspecified reactive species

Rong Zhang,Xiaodan Mu,Dawei Liu,Chider Chen,Bowen Meng,Yan Qu,Jin Liu,Runci Wang,Chuanjie Li,Xueli Mao,Qintao Wang,Qingbin Zhang

Journal of experimental & clinical cancer research : CR 43:208 PubMed39061061

2024

SLC14A1 and TGF-β signaling: a feedback loop driving EMT and colorectal cancer metachronous liver metastasis.

Applications

Unspecified application

Species

Unspecified reactive species

Yixun Zhang,Yumeng Yang,Xuan Qi,Peng Cui,Yi Kang,Haiyi Liu,Zhigang Wei,Haibo Wang

Photochemistry and photobiology 100:1874-1893 PubMed38504445

2024

Compound collagen peptide powder improves skin photoaging by reducing oxidative stress and activating TGF-β1/Smad pathway.

Applications

Unspecified application

Species

Unspecified reactive species

Kaien Guo,Linxin Zheng,Xin Zeng,Guangchun Huang,Lingling Meng,Yuting Yin

Biomolecules 14: PubMed38254638

2024

GDF-15 Inhibits ADP-Induced Human Platelet Aggregation through the GFRAL/RET Signaling Complex.

Applications

Unspecified application

Species

Unspecified reactive species

Baikang Xie,Wenjing Tang,Shuang Wen,Fen Chen,Chao Yang,Min Wang,Yong Yang,Wei Liang

Frontiers in bioengineering and biotechnology 11:1124944 PubMed36777248

2023

Gallium-modified gelatin nanoparticles loaded with quercetin promote skin wound healing the regulation of bacterial proliferation and macrophage polarization.

Applications

Unspecified application

Species

Unspecified reactive species

Ning Yang,Nianyuan Shi,Zhou Yao,Hang Liu,Weinan Guo

International journal of biological sciences 18:5724-5739 PubMed36263180

2022

HDAC5-mediated Smad7 silencing through MEF2A is critical for fibroblast activation and hypertrophic scar formation.

Applications

Unspecified application

Species

Unspecified reactive species

Ya Gao,Yangdan Liu,Danning Zheng,Chiakang Ho,Dongsheng Wen,Jiaming Sun,Lu Huang,Yuxin Liu,Qingfeng Li,Yifan Zhang
View all publications

Product promise

We are committed to supporting your work with high-quality reagents, and we're here for you every step of the way. In the unlikely event that one of our products does not perform as expected, you're protected by our Product Promise.
For full details, please see our Terms & Conditions

Please note: All products are 'FOR RESEARCH USE ONLY. NOT FOR USE IN DIAGNOSTIC OR THERAPEUTIC PROCEDURES'.

For licensing inquiries, please contact partnerships@abcam.com