JavaScript is disabled in your browser. Please enable JavaScript to view this website.
AB78421

Anti-TGF beta Receptor III/TGFBR3 antibody [MM0057-5G9]

Be the first to review this product! Submit a review

|

(8 Publications)

Mouse Monoclonal TGF beta Receptor III/TGFBR3 antibody. Carrier free. Suitable for Flow Cyt, IHC-P and reacts with Human samples. Cited in 8 publications.

View Alternative Names

Transforming growth factor beta receptor type 3, TGF-beta receptor type 3, TGFR-3, Betaglycan, Transforming growth factor beta receptor III, TGF-beta receptor type III, TGFBR3

2 Images
Flow Cytometry - Anti-TGF beta Receptor III/TGFBR3 antibody [MM0057-5G9] (AB78421)
  • Flow Cyt

Unknown

Flow Cytometry - Anti-TGF beta Receptor III/TGFBR3 antibody [MM0057-5G9] (AB78421)

Overlay histogram showing K562 cells stained with ab78421 (red line). The cells were fixed with 80% methanol (5 min) and incubated in 1x PBS / 10% normal goat serum / 0.3M glycine to block non-specific protein-protein interactions. The cells were then incubated with the antibody (ab78421, 1μg/1x106 cells) for 30 min at 22°C. The secondary antibody used was DyLight® 488 goat anti-mouse IgG (H+L) (ab96879) at 1/500 dilution for 30 min at 22°C. Isotype control antibody (black line) was mouse IgG1 [ICIGG1] (ab91353, 1μg/1x106 cells) used under the same conditions. Acquisition of >5,000 events was performed.

Please note that Abcam do not have any data for use of this antibody on non-fixed cells. We welcome any customer feedback.

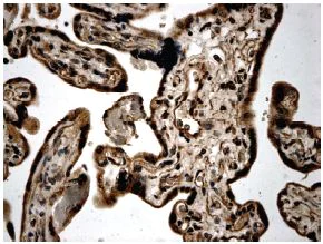
Immunohistochemistry (Formalin/PFA-fixed paraffin-embedded sections) - Anti-TGF beta Receptor III/TGFBR3 antibody [MM0057-5G9] (AB78421)
  • IHC-P

Unknown

Immunohistochemistry (Formalin/PFA-fixed paraffin-embedded sections) - Anti-TGF beta Receptor III/TGFBR3 antibody [MM0057-5G9] (AB78421)

ab78421 at 1/100 dilution, staining TGF beta Receptor III/TGFBR3 in human placental tissue section by Immunohistochemistry (Formalin/PFA fixed paraffin-embedded sections).

Key facts

Host species

Mouse

Clonality

Monoclonal

Clone number

MM0057-5G9

Isotype

IgG1

Carrier free

Yes

Reacts with

Human

Applications

Flow Cyt, IHC-P

applications

Immunogen

The exact immunogen used to generate this antibody is proprietary information.

Specificity

This antibody was selected for its ability to detect TGF beta Receptor III/TGFBR3. No cross reactivity was found to TGF beta Receptor I and Receptor II.

Reactivity data

{ "title": "Reactivity Data", "filters": { "stats": ["", "Species", "Dilution Info", "Notes"], "tabs": { "all-applications": {"fullname" : "All Applications", "shortname": "All Applications"}, "FlowCyt" : {"fullname" : "Flow Cytometry", "shortname":"Flow Cyt"}, "IHCP" : {"fullname" : "Immunohistochemistry (Formalin/PFA-fixed paraffin-embedded sections)", "shortname":"IHC-P"} }, "product-promise": { "all": "all", "testedAndGuaranteed": "tested", "guaranteed": "expected", "predicted": "predicted", "notRecommended": "not-recommended" } }, "values": { "Human": { "FlowCyt-species-checked": "testedAndGuaranteed", "FlowCyt-species-dilution-info": "1 µg for 10^6 Cells", "FlowCyt-species-notes": "<p><a href='/en-us/products/primary-antibodies/mouse-igg1-kappa-monoclonal-15-6e10a7-isotype-control-ab170190'>ab170190</a> - Mouse monoclonal IgG1, is suitable for use as an isotype control with this antibody.</p>", "IHCP-species-checked": "testedAndGuaranteed", "IHCP-species-dilution-info": "1/50 - 1/100", "IHCP-species-notes": "<p></p>" } } }

You may be interested in:

AB213837

Human TGFBR3 ELISA Kit

0

0 Reviews

View product

We recommend this product because it’s often used in the same experiment or related research.

We advise that you always check the datasheet to ensure it fits your experiments, or contact ourtechnical teamfor help.

Properties and storage information

Form
Liquid
Purification technique
Affinity purification Protein G
Purification notes
The IgG fraction of culture supernatant was purified by Protein G affinity chromatography and lyophilized from a 0.2 µm filtered solution inphosphate buffered saline (PBS).
Storage buffer
Constituents: PBS
Shipped at conditions
Blue Ice
Appropriate short-term storage conditions
+4°C
Appropriate long-term storage conditions
-20°C
Aliquoting information
Upon delivery aliquot
Storage information
Avoid freeze / thaw cycle

Product protocols

For this product, it's our understanding that no specific protocols are required. You can visit:

Target data

Cell surface receptor that regulates diverse cellular processes including cell proliferation, differentiation, migration, and apoptosis (PubMed : 12958365, PubMed : 19416857). Initiates BMP, inhibin, and TGF-beta signaling pathways by interacting with different ligands including TGFB1, BMP2, BMP5, BMP7 or GDF5 (PubMed : 18184661). Alternatively, acts as a cell surface coreceptor for BMP ligands, serving to enhance ligand binding by differentially regulating BMPR1A/ALK3 and BMPR1B/ALK6 receptor trafficking (PubMed : 19726563). Promotes epithelial cell adhesion, focal adhesion formation and integrin signaling during epithelial cell spreading on fibronectin (PubMed : 22562249). By interacting with the scaffolding protein beta-arrestin2/ARRB2, regulates migration or actin cytoskeleton and promotes the activation of CDC42 as well as the inhibition of NF-kappa-B (PubMed : 19416857, PubMed : 19325136). In gonadotrope cells, acts as an inhibin A coreceptor and regulates follicle-stimulating hormone (FSH) levels and female fertility (By similarity). Plays a role in the inhibition of directed and random cell migration in epithelial cells by altering the actin cytoskeletal organization (PubMed : 19416857). Participates in epithelial-mesenchymal transformation (EMT) upon binding to BMP2 or TGFB2, by activating the PAR6/SMURF1/RHOA pathway (By similarity).. (Microbial infection) May act as a receptor for human cytomegalovirus in different cell types by interacting with HCMV trimer composed of GO, GH and GL.
See full target information TGFBR3

Publications (8)

Recent publications for all applications. Explore the full list and refine your search

Journal of biochemical and molecular toxicology 35:e22866 PubMed34369033

2021

SNHG5 protects chondrocytes in interleukin-1β-stimulated osteoarthritis via regulating miR-181a-5p/TGFBR3 axis.

Applications

Unspecified application

Species

Unspecified reactive species

Yang Yue,Sun Zhibo,Liu Feng,Bai Yuanzhang,Wu Fei

Pflugers Archiv : European journal of physiology 473:287-311 PubMed33386991

2021

TGF-β1 increases permeability of ciliated airway epithelia via redistribution of claudin 3 from tight junction into cell nuclei.

Applications

Unspecified application

Species

Unspecified reactive species

Carolin Schilpp,Robin Lochbaum,Peter Braubach,Danny Jonigk,Manfred Frick,Paul Dietl,Oliver H Wittekindt

Cell reports 26:2667-2680.e7 PubMed30840889

2019

MicroRNA-Mediated Suppression of the TGF-β Pathway Confers Transmissible and Reversible CDK4/6 Inhibitor Resistance.

Applications

Unspecified application

Species

Unspecified reactive species

Liam Cornell,Seth A Wander,Tanvi Visal,Nikhil Wagle,Geoffrey I Shapiro

Medical science monitor : international medical jo 25:87-97 PubMed30606998

2019

Berberine, a Traditional Chinese Medicine, Reduces Inflammation in Adipose Tissue, Polarizes M2 Macrophages, and Increases Energy Expenditure in Mice Fed a High-Fat Diet.

Applications

Unspecified application

Species

Unspecified reactive species

Jiayu Lin,Qingyan Cai,Bo Liang,Lizhen Wu,Yong Zhuang,Yuanfang He,Wanrong Lin

Experimental and therapeutic medicine 15:4508-4514 PubMed29725386

2018

Downregulation of microRNA-193-3p inhibits the progression of intrahepatic cholangiocarcinoma cells by upregulating TGFBR3.

Applications

Unspecified application

Species

Unspecified reactive species

Yu-Long Han,Jia-Jun Yin,Jian-Jun Cong

Scientific reports 6:36520 PubMed27819283

2016

Axl is required for TGF-β2-induced dormancy of prostate cancer cells in the bone marrow.

Applications

Unspecified application

Species

Human

Kenji Yumoto,Matthew R Eber,Jingcheng Wang,Frank C Cackowski,Ann M Decker,Eunsohl Lee,Ana Rita Nobre,Julio A Aguirre-Ghiso,Younghun Jung,Russell S Taichman

Journal of immunology (Baltimore, Md. : 1950) 197:4344-4350 PubMed27793996

2016

Lin28b Regulates Fetal Regulatory T Cell Differentiation through Modulation of TGF-β Signaling.

Applications

Unspecified application

Species

Unspecified reactive species

Yelena Bronevetsky,Trevor D Burt,Joseph M McCune

Proceedings of the National Academy of Sciences of 112:E957-65 PubMed25730867

2015

Dendritic cell SIRT1-HIF1α axis programs the differentiation of CD4+ T cells through IL-12 and TGF-β1.

Applications

Unspecified application

Species

Unspecified reactive species

Guangwei Liu,Yujing Bi,Lixiang Xue,Yan Zhang,Hui Yang,Xi Chen,Yun Lu,Zhengguo Zhang,Huanrong Liu,Xiao Wang,Ruoning Wang,Yiwei Chu,Ruifu Yang
View all publications

Product promise

We are committed to supporting your work with high-quality reagents, and we're here for you every step of the way. In the unlikely event that one of our products does not perform as expected, you're protected by our Product Promise.
For full details, please see our Terms & Conditions

Associated Products

Select an associated product type
Alternative Product
Primary Antibodies

AB97459

Anti-TGF beta Receptor III/TGFBR3 antibody

primary-antibodies

tgf-beta-receptor-iii-tgfbr3-antibody-ab97459

4

(1 reviews)

Alternative Product
Primary Antibodies

AB166705

Anti-TGF beta Receptor III/TGFBR3 antibody [1C5H11]

primary-antibodies

tgf-beta-receptor-iii-tgfbr3-antibody-1c5h11-ab166705

0

(0 reviews)

Alternative Product
Primary Antibodies

AB224075

Anti-TGF beta Receptor III/TGFBR3 antibody

primary-antibodies

tgf-beta-receptor-iii-tgfbr3-antibody-ab224075

0

(0 reviews)

Please note: All products are 'FOR RESEARCH USE ONLY. NOT FOR USE IN DIAGNOSTIC OR THERAPEUTIC PROCEDURES'.

For licensing inquiries, please contact partnerships@abcam.com