JavaScript is disabled in your browser. Please enable JavaScript to view this website.
AB170874

Anti-TGFBI antibody [EPR12078(B)]

5

(5 Reviews)

|

(48 Publications)

Anti-TGFBI antibody [EPR12078(B)] (ab170874) is a rabbit monoclonal antibody detecting TGFBI in Western Blot, IHC-P, ICC/IF. Suitable for Human.

- Biophysical QC for unrivalled batch-batch consistency
- Over 30 publications

View Alternative Names

BIGH3, TGFBI, Transforming growth factor-beta-induced protein ig-h3, Beta ig-h3, Kerato-epithelin, RGD-containing collagen-associated protein, RGD-CAP

4 Images
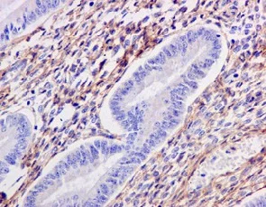
Immunohistochemistry (Formalin/PFA-fixed paraffin-embedded sections) - Anti-TGFBI antibody [EPR12078(B)] (AB170874)
  • IHC-P

Supplier Data

Immunohistochemistry (Formalin/PFA-fixed paraffin-embedded sections) - Anti-TGFBI antibody [EPR12078(B)] (AB170874)

Immunohistochemical analysis of paraffin-embedded Human colon tissue labeling TGFBI using ab170874 at a 1/100 dilution

Perform heat mediated antigen retrieval with citrate buffer pH 6 before commencing with IHC staining protocol.

Immunocytochemistry/ Immunofluorescence - Anti-TGFBI antibody [EPR12078(B)] (AB170874)
  • ICC/IF

Supplier Data

Immunocytochemistry/ Immunofluorescence - Anti-TGFBI antibody [EPR12078(B)] (AB170874)

Immunofluorescent staining of Y79 cells labeling TGFBI using ab170874 at a 1/50 dilution (green) and DAPI nuclear staining (blue).

Immunohistochemistry (Formalin/PFA-fixed paraffin-embedded sections) - Anti-TGFBI antibody [EPR12078(B)] (AB170874)
  • IHC-P

Supplier Data

Immunohistochemistry (Formalin/PFA-fixed paraffin-embedded sections) - Anti-TGFBI antibody [EPR12078(B)] (AB170874)

Immunohistochemical analysis of paraffin-embedded Human uterus tissue labeling TGFBI using ab170874 at a 1/100 dilution

Perform heat mediated antigen retrieval with citrate buffer pH 6 before commencing with IHC staining protocol.

Western blot - Anti-TGFBI antibody [EPR12078(B)] (AB170874)
  • WB

Supplier Data

Western blot - Anti-TGFBI antibody [EPR12078(B)] (AB170874)

All lanes:

Western blot - Anti-TGFBI antibody [EPR12078(B)] (ab170874) at 1/1000 dilution

Lane 1:

Human fetal kidney lysate at 10 µg

Lane 2:

Human fetal liver lysate at 10 µg

Secondary

All lanes:

HRP labeled goat anti-rabbit IgG at 1/2000 dilution

Predicted band size: 75 kDa

false

  • Carrier free

    Anti-TGFBI antibody [EPR12078(B)] - BSA and Azide free

Key facts

Host species

Rabbit

Clonality

Monoclonal

Clone number

EPR12078(B)

Isotype

IgG

Carrier free

No

Reacts with

Human

Applications

ICC/IF, WB, IHC-P

applications

Immunogen

The exact immunogen used to generate this antibody is proprietary information.

Reactivity data

{ "title": "Reactivity Data", "filters": { "stats": ["", "Species", "Dilution Info", "Notes"], "tabs": { "all-applications": {"fullname" : "All Applications", "shortname": "All Applications"}, "IHCP" : {"fullname" : "Immunohistochemistry (Formalin/PFA-fixed paraffin-embedded sections)", "shortname":"IHC-P"}, "IP" : {"fullname" : "Immunoprecipitation", "shortname":"IP"}, "WB" : {"fullname" : "Western blot", "shortname":"WB"}, "ICCIF" : {"fullname" : "Immunocytochemistry/ Immunofluorescence", "shortname":"ICC/IF"} }, "product-promise": { "all": "all", "testedAndGuaranteed": "tested", "guaranteed": "expected", "predicted": "predicted", "notRecommended": "not-recommended" } }, "values": { "Human": { "IHCP-species-checked": "testedAndGuaranteed", "IHCP-species-dilution-info": "1/100 - 1/250", "IHCP-species-notes": "<p></p>", "IP-species-checked": "notRecommended", "IP-species-dilution-info": "", "IP-species-notes": "<p></p>", "WB-species-checked": "testedAndGuaranteed", "WB-species-dilution-info": "1/1000 - 1/5000", "WB-species-notes": "<p></p>", "ICCIF-species-checked": "testedAndGuaranteed", "ICCIF-species-dilution-info": "1/50 - 1/100", "ICCIF-species-notes": "<p></p>" }, "Mouse": { "IHCP-species-checked": "predicted", "IHCP-species-dilution-info": "", "IHCP-species-notes": "", "IP-species-checked": "notRecommended", "IP-species-dilution-info": "", "IP-species-notes": "", "WB-species-checked": "guaranteed", "WB-species-dilution-info": "", "WB-species-notes": "<p></p>", "ICCIF-species-checked": "predicted", "ICCIF-species-dilution-info": "", "ICCIF-species-notes": "" }, "Rat": { "IHCP-species-checked": "predicted", "IHCP-species-dilution-info": "", "IHCP-species-notes": "", "IP-species-checked": "notRecommended", "IP-species-dilution-info": "", "IP-species-notes": "", "WB-species-checked": "guaranteed", "WB-species-dilution-info": "", "WB-species-notes": "<p></p>", "ICCIF-species-checked": "predicted", "ICCIF-species-dilution-info": "", "ICCIF-species-notes": "" } } }

Product details

What is this antibody validated in?
Anti-TGFBI antibody [EPR12078(B)] (ab170874) is a rabbit recombinant monoclonal antibody and is validated for use in Western Blot (WB), Immunohistochemistry (IHC-P), Immunocytochemistry/immunofluorescence (ICC/IF) in Human samples.

What is the molecular weight of TGFBI?
Anti-TGFBI [EPR12078(B)] (ab170874) specifically detects a band for TGFBI (UniProt: Q15582) at a molecular weight of 75kDa.

Trusted by the scientific community
Anti-TGFBI [EPR12078(B)] (ab170874) was first used in a scientific publication in 2013 and has been cited over 30 times in peer-reviewed journals.

Reviewed by scientists
Anti-TGFBI [EPR12078(B)] (ab170874) has over 5 independent reviews from customers.

Trial sizes available!
Test your antibody or perform pre-screening before committing to a larger quantity. Sold in 10µl. Discover our selection of trial-size antibodies.

Other related products
We have a range of other formats of antibody clone [EPR12078(B)] also available for your convenience: ab170874, Carrier free - ab240162

Patented technology
Our RabMAb® technology is a patented hybridoma-based technology for making rabbit monoclonal antibodies. For details on our patents, please refer to RabMAb® patents.

What are the advantages of a recombinant monoclonal antibody?
This product is a recombinant monoclonal antibody, which offers several advantages including:

  • - High batch-to-batch consistency and reproducibility
  • - Improved sensitivity and specificity
  • - Long-term security of supply
  • - Animal-free batch production

For more information, read more on recombinant antibodies.

Properties and storage information

Form
Liquid
Purification technique
Affinity purification Protein A
Storage buffer
pH: 7.2 - 7.4 Preservative: 0.01% Sodium azide Constituents: PBS, 50% Tissue culture supernatant, 40% Glycerol (glycerin, glycerine), 0.05% BSA
Shipped at conditions
Blue Ice
Appropriate short-term storage duration
1-2 weeks
Appropriate short-term storage conditions
+4°C
Appropriate long-term storage conditions
-20°C
Aliquoting information
Upon delivery aliquot
Storage information
Avoid freeze / thaw cycle

Product protocols

For this product, it's our understanding that no specific protocols are required. You can visit:

Target data

Plays a role in cell adhesion (PubMed : 8024701). May play a role in cell-collagen interactions (By similarity).
See full target information TGFBI

Publications (48)

Recent publications for all applications. Explore the full list and refine your search

Iranian journal of biotechnology 23:e4098 PubMed40860053

2025

Eicosapentaenoic Acid Modulates TGF-β1/Smad3/ILK Pathway to Attenuate Renal Fibrosis: A Biotechnological Approach.

Applications

Unspecified application

Species

Unspecified reactive species

Zhiqiang Wei,Hao Ding,Haitao Li,Di Yin,Juan Cao

Journal of ovarian research 18:137 PubMed40605104

2025

Identification of parthanatos-related molecular subtypes and development of prognostic risk models in ovarian cancer based on multi-omics analysis.

Applications

Unspecified application

Species

Unspecified reactive species

Xiaoying Qi,Changqing Jiang,Ning Wang,Yi Han,Tingting Liu,Liying Huang,Guangjie Yin

Cancer cell international 25:127 PubMed40181415

2025

STAT3/TGFBI signaling promotes the temozolomide resistance of glioblastoma through upregulating glycolysis by inducing cellular senescence.

Applications

Unspecified application

Species

Unspecified reactive species

Yanbin Zhang,Xiaohua Xiao,Ge Yang,Xiaobing Jiang,Shujie Jiao,Yingli Nie,Tao Zhang

Analytical cellular pathology (Amsterdam) 2024:6624283 PubMed39624161

2024

N-Acetylcysteine Treats Spinal Cord Injury by Inhibiting Astrocyte Proliferation.

Applications

Unspecified application

Species

Unspecified reactive species

Dong Zhang,Chaoxi Qin,Fei Meng,Xiaopeng Han,Xing Guo

International dental journal 75:1338-1347 PubMed39394033

2024

Anti-Radiofibrosis Effect of Dicliptera chinensis Polysaccharide on Rat Dermal Fibroblasts Via The TGF-β1/Smads/CTGF Signaling Pathway.

Applications

Unspecified application

Species

Unspecified reactive species

Yude Huang,Lixiang Zhao,Yanfei Zhao,Yiyang Fan,Linjing Gao,Haoyu Lu,Xian Wang,Dongqin Mo,Daiyou Wang

Allergy, asthma & immunology research 16:422-433 PubMed39155740

2024

LincR-PPP2R5C Deficiency Alleviates Airway Remodeling by Inhibiting Epithelial-Mesenchymal Transition Through the PP2A/TGF-β1 Signaling Pathway in Chronic Experimental Allergic Asthma.

Applications

Unspecified application

Species

Unspecified reactive species

Qi Yuan,Xinyu Jia,Min Wang,Zhongqi Chen,Tingting Xu,Xijie Zhang,Yanan Liu,Zhengxia Wang,Chen Yang,Mingshun Zhang,Wei Zhang,Mao Huang,Ningfei Ji

FEBS open bio 14:1455-1470 PubMed38946049

2024

Phenotypical and biochemical characterization of murine psoriasiform and fibrotic skin disease models in Stabilin-deficient mice.

Applications

Unspecified application

Species

Unspecified reactive species

Jessica Krzistetzko,Cyrill Géraud,Christof Dormann,Anna Riedel,Thomas Leibing

Cancers 16: PubMed38275881

2024

Deficiency of Stabilin-1 in the Context of Hepatic Melanoma Metastasis.

Applications

Unspecified application

Species

Unspecified reactive species

Sebastian A Wohlfeil,Ana Olsavszky,Anna Lena Irkens,Verena Häfele,Bianca Dietsch,Niklas Straub,Sergij Goerdt,Cyrill Géraud

Chemical biology & drug design 103:e14424 PubMed38230774

2024

LINC00460 knockdown sensitizes cervical cancer to cisplatin by downregulating TGFBI.

Applications

Unspecified application

Species

Unspecified reactive species

Ping Tian,Yuanyuan Feng,Ling Tao

International journal of biological sciences 20:367-386 PubMed38164187

2024

Rebalancing TGF-β/PGE breaks RT-induced immunosuppressive barriers by enhancing tumor-infiltrated dendritic cell homing.

Applications

Unspecified application

Species

Unspecified reactive species

Ziqi Zhou,Qianqian Zhou,Jing Zhao,Xiaorong Hou,Junfang Yan,Xiansong Sun,Zhiwei Yang,Jiabin Ma,Fuquan Zhang,Linsheng Zhan,Ke Hu
View all publications

Product promise

We are committed to supporting your work with high-quality reagents, and we're here for you every step of the way. In the unlikely event that one of our products does not perform as expected, you're protected by our Product Promise.
For full details, please see our Terms & Conditions

Please note: All products are 'FOR RESEARCH USE ONLY. NOT FOR USE IN DIAGNOSTIC OR THERAPEUTIC PROCEDURES'.

For licensing inquiries, please contact partnerships@abcam.com