JavaScript is disabled in your browser. Please enable JavaScript to view this website.
AB249517

Anti-TGFBI antibody [EPR12079(B)] - BSA and Azide free

Be the first to review this product! Submit a review

|

(1 Publication)

Rabbit Recombinant Monoclonal TGFBI antibody. Carrier free. Suitable for IHC-P, WB and reacts with Human, Mouse, Rat samples. Cited in 1 publication.

View Alternative Names

BIGH3, TGFBI, Transforming growth factor-beta-induced protein ig-h3, Beta ig-h3, Kerato-epithelin, RGD-containing collagen-associated protein, RGD-CAP

3 Images
Immunohistochemistry (Formalin/PFA-fixed paraffin-embedded sections) - Anti-TGFBI antibody [EPR12079(B)] - BSA and Azide free (AB249517)
  • IHC-P

Unknown

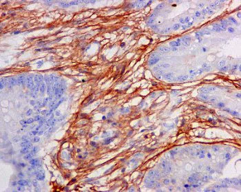
Immunohistochemistry (Formalin/PFA-fixed paraffin-embedded sections) - Anti-TGFBI antibody [EPR12079(B)] - BSA and Azide free (AB249517)

This data was developed using ab169771, the same antibody clone in a different buffer formulation.

Immunohistochemical analysis of paraffin-embedded Human uterus tissue labeling TGFBI with ab169771 at 1/250 dilution.

Perform heat mediated antigen retrieval with citrate buffer pH 6 before commencing with IHC staining protocol.

Immunohistochemistry (Formalin/PFA-fixed paraffin-embedded sections) - Anti-TGFBI antibody [EPR12079(B)] - BSA and Azide free (AB249517)
  • IHC-P

Unknown

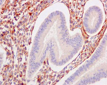
Immunohistochemistry (Formalin/PFA-fixed paraffin-embedded sections) - Anti-TGFBI antibody [EPR12079(B)] - BSA and Azide free (AB249517)

This data was developed using ab169771, the same antibody clone in a different buffer formulation.

Immunohistochemical analysis of paraffin-embedded Human colon adenocarcinoma tissue labeling TGFBI with ab169771 at 1/250 dilution.

Perform heat mediated antigen retrieval with citrate buffer pH 6 before commencing with IHC staining protocol.

Western blot - Anti-TGFBI antibody [EPR12079(B)] - BSA and Azide free (AB249517)
  • WB

Unknown

Western blot - Anti-TGFBI antibody [EPR12079(B)] - BSA and Azide free (AB249517)

This data was developed using ab169771, the same antibody clone in a different buffer formulation.

All lanes:

Western blot - Anti-TGFBI antibody [EPR12079(B)] (<a href='/en-us/products/primary-antibodies/tgfbi-antibody-epr12079b-ab169771'>ab169771</a>) at 1/1000 dilution

Lane 1:

Human fetal kidney tissue lysate at 10 µg

Lane 2:

Human small intestine lysate at 10 µg

Lane 3:

Mouse eyeball lysate at 10 µg

Lane 4:

Rat small intestine lysate at 10 µg

Secondary

All lanes:

HRP labeled goat anti-rabbit at 1/2000 dilution

Predicted band size: 75 kDa

false

Key facts

Host species

Rabbit

Clonality

Monoclonal

Clone number

EPR12079(B)

Isotype

IgG

Carrier free

Yes

Reacts with

Mouse, Rat, Human

Applications

IHC-P, WB

applications

Immunogen

The exact immunogen used to generate this antibody is proprietary information.

Reactivity data

{ "title": "Reactivity Data", "filters": { "stats": ["", "Species", "Dilution Info", "Notes"], "tabs": { "all-applications": {"fullname" : "All Applications", "shortname": "All Applications"}, "IHCP" : {"fullname" : "Immunohistochemistry (Formalin/PFA-fixed paraffin-embedded sections)", "shortname":"IHC-P"}, "ICCIF" : {"fullname" : "Immunocytochemistry/ Immunofluorescence", "shortname":"ICC/IF"}, "IP" : {"fullname" : "Immunoprecipitation", "shortname":"IP"}, "WB" : {"fullname" : "Western blot", "shortname":"WB"} }, "product-promise": { "all": "all", "testedAndGuaranteed": "tested", "guaranteed": "expected", "predicted": "predicted", "notRecommended": "not-recommended" } }, "values": { "Human": { "IHCP-species-checked": "testedAndGuaranteed", "IHCP-species-dilution-info": "", "IHCP-species-notes": "<p></p>", "ICCIF-species-checked": "notRecommended", "ICCIF-species-dilution-info": "", "ICCIF-species-notes": "<p></p>", "IP-species-checked": "notRecommended", "IP-species-dilution-info": "", "IP-species-notes": "<p></p>", "WB-species-checked": "testedAndGuaranteed", "WB-species-dilution-info": "", "WB-species-notes": "<p></p>" }, "Mouse": { "IHCP-species-checked": "guaranteed", "IHCP-species-dilution-info": "", "IHCP-species-notes": "", "ICCIF-species-checked": "notRecommended", "ICCIF-species-dilution-info": "", "ICCIF-species-notes": "<p></p>", "IP-species-checked": "notRecommended", "IP-species-dilution-info": "", "IP-species-notes": "<p></p>", "WB-species-checked": "testedAndGuaranteed", "WB-species-dilution-info": "", "WB-species-notes": "<p></p>" }, "Rat": { "IHCP-species-checked": "guaranteed", "IHCP-species-dilution-info": "", "IHCP-species-notes": "", "ICCIF-species-checked": "notRecommended", "ICCIF-species-dilution-info": "", "ICCIF-species-notes": "<p></p>", "IP-species-checked": "notRecommended", "IP-species-dilution-info": "", "IP-species-notes": "<p></p>", "WB-species-checked": "testedAndGuaranteed", "WB-species-dilution-info": "", "WB-species-notes": "<p></p>" } } }

Product details

ab249517 is the carrier-free version of ab169771.

Patented technology
Our RabMAb® technology is a patented hybridoma-based technology for making rabbit monoclonal antibodies. For details on our patents, please refer to RabMAb® patents.

What are the advantages of a recombinant monoclonal antibody?
This product is a recombinant monoclonal antibody, which offers several advantages including:

  • - High batch-to-batch consistency and reproducibility
  • - Improved sensitivity and specificity
  • - Long-term security of supply
  • - Animal-free batch production

For more information, read more on recombinant antibodies.

Conjugation ready
Our carrier-free antibodies are typically supplied in a PBS-only formulation, purified and free of BSA, sodium azide and glycerol. This conjugation-ready format is designed for use with fluorochromes, metal isotopes, oligonucleotides, and enzymes, which makes them ideal for antibody labelling, functional and cell-based assays, flow-based assays (e.g. mass cytometry) and Multiplex Imaging applications.

Use our conjugation kits for antibody conjugates that are ready-to-use in as little as 20 minutes with 1 minute hands-on-time and 100% antibody recovery: available for fluorescent dyes, HRP, biotin and gold.

Compatibility
This product is compatible with the Maxpar® Antibody Labeling Kit from Fluidigm, without the need for antibody preparation. Maxpar® is a trademark of Fluidigm Canada Inc.

Properties and storage information

Form
Liquid
Purification technique
Affinity purification Protein A
Storage buffer
pH: 7.2 - 7.4 Constituents: PBS
Shipped at conditions
Blue Ice
Appropriate short-term storage conditions
+4°C
Appropriate long-term storage conditions
+4°C
Storage information
Do Not Freeze

Product protocols

For this product, it's our understanding that no specific protocols are required. You can visit:

Target data

Plays a role in cell adhesion (PubMed : 8024701). May play a role in cell-collagen interactions (By similarity).
See full target information TGFBI

Publications (1)

Recent publications for all applications. Explore the full list and refine your search

mBio 15:e0259523 PubMed38095418

2023

Susceptibility of to autophagy in human cells relies on multiple interacting parasite loci.

Applications

Unspecified application

Species

Unspecified reactive species

Nicholas Rinkenberger,Alex Rosenberg,Joshua B Radke,Jaya Bhushan,Tadakimi Tomita,Louis M Weiss,L David Sibley
View all publications

Product promise

We are committed to supporting your work with high-quality reagents, and we're here for you every step of the way. In the unlikely event that one of our products does not perform as expected, you're protected by our Product Promise.
For full details, please see our Terms & Conditions

Please note: All products are 'FOR RESEARCH USE ONLY. NOT FOR USE IN DIAGNOSTIC OR THERAPEUTIC PROCEDURES'.

For licensing inquiries, please contact partnerships@abcam.com