JavaScript is disabled in your browser. Please enable JavaScript to view this website.
AB321791

Anti-TGN38 antibody [EPR28143-541]

  • BOND RX™ Validated
  • 20ul selling size
  • Recombinant
  • RabMAb
  • What is this?

Be the first to review this product! Submit a review

|

(0 Publication)

Rabbit Recombinant Monoclonal TGON3 antibody. Suitable for ICC/IF, WB, IHC-P and reacts with Rat samples.

View Alternative Names

Trans-Golgi network integral membrane protein TGN38

6 Images
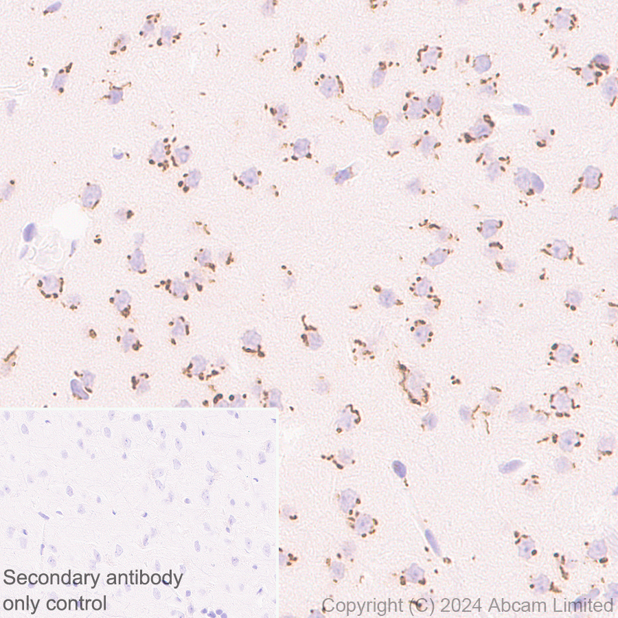
Immunohistochemistry (Formalin/PFA-fixed paraffin-embedded sections) - Anti-TGN38 antibody [EPR28143-541] (AB321791)
  • IHC-P

Supplier Data

Immunohistochemistry (Formalin/PFA-fixed paraffin-embedded sections) - Anti-TGN38 antibody [EPR28143-541] (AB321791)

Immunohistochemical analysis of paraffin-embedded Rat cerebrum tissue labeling TGN38 with ab321791 at 1/5000 (0.101 ug/ml) dilution, followed by a ready to use LeicaDS9800 (Bond™ Polymer Refine Detection).

Positive staining on rat cerebrum. The section was incubated with ab321791 for 30 mins at room temperature.
The immunostaining was performed on a Leica Biosystems BOND® RX instrument

Counterstained with Hematoxylin.

Secondary antibody only control : Secondary antibody is a ready to use LeicaDS9800 (Bond™ Polymer Refine Detection).

Heat mediated antigen retrieval was performed with Citrate buffer (pH 6.0, Epitope Retrieval Solution 1) for 20 mins

Immunohistochemistry (Formalin/PFA-fixed paraffin-embedded sections) - Anti-TGN38 antibody [EPR28143-541] (AB321791)
  • IHC-P

Supplier Data

Immunohistochemistry (Formalin/PFA-fixed paraffin-embedded sections) - Anti-TGN38 antibody [EPR28143-541] (AB321791)

Immunohistochemical analysis of paraffin-embedded Rat kidney tissue labeling TGN38 with ab321791 at 1/5000 (0.101 ug/ml) dilution, followed by a ready to use LeicaDS9800 (Bond™ Polymer Refine Detection).

Positive staining on rat kidney. The section was incubated with ab321791 for 30 mins at room temperature.
The immunostaining was performed on a Leica Biosystems BOND® RX instrument

Counterstained with Hematoxylin.

Secondary antibody only control : Secondary antibody is a ready to use LeicaDS9800 (Bond™ Polymer Refine Detection).

Heat mediated antigen retrieval was performed with Citrate buffer (pH 6.0, Epitope Retrieval Solution 1) for 20 mins

Immunohistochemistry (Formalin/PFA-fixed paraffin-embedded sections) - Anti-TGN38 antibody [EPR28143-541] (AB321791)
  • IHC-P

Supplier Data

Immunohistochemistry (Formalin/PFA-fixed paraffin-embedded sections) - Anti-TGN38 antibody [EPR28143-541] (AB321791)

Immunohistochemical analysis of paraffin-embedded Rat spleen tissue labeling TGN38 with ab321791 at 1/5000 (0.101 ug/ml) dilution, followed by a ready to use LeicaDS9800 (Bond™ Polymer Refine Detection).

Positive staining on rat spleen. The section was incubated with ab321791 for 30 mins at room temperature.
The immunostaining was performed on a Leica Biosystems BOND® RX instrument

Counterstained with Hematoxylin.

Secondary antibody only control : Secondary antibody is a ready to use LeicaDS9800 (Bond™ Polymer Refine Detection).

Heat mediated antigen retrieval was performed with Citrate buffer (pH 6.0, Epitope Retrieval Solution 1) for 20 mins

Immunocytochemistry/ Immunofluorescence - Anti-TGN38 antibody [EPR28143-541] (AB321791)
  • ICC/IF

Supplier Data

Immunocytochemistry/ Immunofluorescence - Anti-TGN38 antibody [EPR28143-541] (AB321791)

Immunofluorescent analysis of 4% Paraformaldehyde-fixed, 0.1% TritonX-100 permeabilized RBL-2H3 (rat Peripheral blood basophil) cells labelling TGN38 with ab321791 at 1/50 (10.1 ug/ml) dilution, followed by ab150081 Goat Anti-Rabbit IgG H&L (Alexa Fluor® 488) preadsorbed antibody at 1/1000 2 ug/ml dilution (Green).

Confocal image showing golgi staining in RBL-2H3 cell line (shown in green). The counterstain was observed in magenta. Nuclear DNA was labelled with DAPI (shown in blue). Image was taken with a confocal microscope (Leica-Microsystems, TCS SP8).

ab169276 Anti-GM130 mouse polyclonal antibody - cis-Golgi Marker was used to counterstain tubulin at 1/200 5ug/ml dilution (Magenta). The Nuclear counterstain was DAPI (Blue).

Secondary antibody only control : Secondary antibody is ab150081 Goat Anti-Rabbit IgG H&L (Alexa Fluor® 488) preadsorbed at 1/1000 2 ug/ml dilution.

-ve control 1 : ab321791 at 1/50 dilution, followed by ab150120 Goat Anti-Mouse IgG H&L (Alexa Fluor® 594) antibody at 1/1000 dilution. -ve control 2 : ab169276 at 1/200 dilution, followed by ab150081 Goat Anti-Rabbit IgG H&L (Alexa Fluor® 488) preadsorbed antibody at 1/1000 dilution.

Western blot - Anti-TGN38 antibody [EPR28143-541] (AB321791)
  • WB

Supplier Data

Western blot - Anti-TGN38 antibody [EPR28143-541] (AB321791)

Blocking and diluting buffer and concentration : 5% NFDM/TBST.

The expression profiles/observed MW are consistent with what has been described in the literature (PMID : 12494998).

The identity of the lower MW band at approximately 60kDa is unknown.

The lysates are suggested freshly made and used for Western Blotting immediately to minimize protein degradation

All lanes:

Western blot - Anti-TGN38 antibody [EPR28143-541] (ab321791) at 1/1000 dilution

Lane 1:

Rat testis tissue lysate at 20 µg

Lane 2:

Rat spleen tissue lysate at 20 µg

Secondary

All lanes:

Western blot - Goat Anti-Rabbit IgG H&L (HRP) (<a href='/en-us/products/secondary-antibodies/goat-rabbit-igg-h-l-hrp-ab97051'>ab97051</a>) at 1/100000 dilution

Observed band size: 90 kDa

false

Exposure time: 37s

Western blot - Anti-TGN38 antibody [EPR28143-541] (AB321791)
  • WB

Supplier Data

Western blot - Anti-TGN38 antibody [EPR28143-541] (AB321791)

Blocking and diluting buffer and concentration : 5% NFDM/TBST.

The expression profiles/observed MW are consistent with what has been described in the literature (PMID : 12494998).

In Western blot, Anti-GAPDH antibody [EPR16891] - Loading Control (ab181602) staining at 1/200000 dilution.

Exposure time : Lanes 1-2 : 91 seconds; Lane 3 : 136 seconds

All lanes:

Western blot - Anti-TGN38 antibody [EPR28143-541] (ab321791) at 1/1000 dilution

Lane 1:

RBL-2H3 (rat Peripheral blood basophil) transfected with scrambled siRNA control whole cell lysate at 20 µg

Lane 2:

RBL-2H3 transfected with siRNA specifically targeting TGN38 whole cell lysate at 20 µg

Lane 3:

PC-12 (rat adrenal gland pheochromocytoma cell) whole cell lysate at 20 µg

Secondary

All lanes:

Western blot - Goat Anti-Rabbit IgG H&L (HRP) (<a href='/en-us/products/secondary-antibodies/goat-rabbit-igg-h-l-hrp-ab97051'>ab97051</a>) at 1/100000 dilution

Observed band size: 90 kDa,36 kDa

false

  • Carrier free

    Anti-TGN38 antibody [EPR28143-541] - BSA and Azide free

Key facts

Host species

Rabbit

Clonality

Monoclonal

Clone number

EPR28143-541

Isotype

IgG

Carrier free

No

Reacts with

Rat

Applications

IHC-P, WB, ICC/IF

applications

Immunogen

The exact immunogen used to generate this antibody is proprietary information.

Reactivity data

{ "title": "Reactivity Data", "filters": { "stats": ["", "Species", "Dilution Info", "Notes"], "tabs": { "all-applications": {"fullname" : "All Applications", "shortname": "All Applications"}, "ICCIF" : {"fullname" : "Immunocytochemistry/ Immunofluorescence", "shortname":"ICC/IF"}, "WB" : {"fullname" : "Western blot", "shortname":"WB"}, "IHCP" : {"fullname" : "Immunohistochemistry (Formalin/PFA-fixed paraffin-embedded sections)", "shortname":"IHC-P"}, "IP" : {"fullname" : "Immunoprecipitation", "shortname":"IP"} }, "product-promise": { "all": "all", "testedAndGuaranteed": "tested", "guaranteed": "expected", "predicted": "predicted", "notRecommended": "not-recommended" } }, "values": { "Mouse": { "ICCIF-species-checked": "notRecommended", "ICCIF-species-dilution-info": "", "ICCIF-species-notes": "<p></p>", "WB-species-checked": "notRecommended", "WB-species-dilution-info": "", "WB-species-notes": "<p></p>", "IHCP-species-checked": "notRecommended", "IHCP-species-dilution-info": "", "IHCP-species-notes": "<p></p>", "IP-species-checked": "notRecommended", "IP-species-dilution-info": "", "IP-species-notes": "<p></p>" }, "Rat": { "ICCIF-species-checked": "testedAndGuaranteed", "ICCIF-species-dilution-info": "1/50", "ICCIF-species-notes": "<p></p>", "WB-species-checked": "testedAndGuaranteed", "WB-species-dilution-info": "1/1000", "WB-species-notes": "<p></p>", "IHCP-species-checked": "testedAndGuaranteed", "IHCP-species-dilution-info": "1/5000", "IHCP-species-notes": "<p></p> Perform heat-mediated antigen retrieval with citrate buffer pH 6 before commencing with IHC staining protocol.", "IP-species-checked": "notRecommended", "IP-species-dilution-info": "", "IP-species-notes": "<p></p>" } } }

Product details

Patented technology
Our RabMAb® technology is a patented hybridoma-based technology for making rabbit monoclonal antibodies. For details on our patents, please refer to RabMAb® patents.

What are the advantages of a recombinant monoclonal antibody?
This product is a recombinant monoclonal antibody, which offers several advantages including:

  • - High batch-to-batch consistency and reproducibility
  • - Improved sensitivity and specificity
  • - Long-term security of supply
  • - Animal-free batch production

For more information, read more on recombinant antibodies.

Properties and storage information

Form
Liquid
Purification technique
Affinity purification Protein A
Storage buffer
pH: 7.2 - 7.4 Preservative: 0.01% Sodium azide Constituents: PBS, 40% Glycerol (glycerin, glycerine), 0.05% BSA
Shipped at conditions
Blue Ice
Appropriate short-term storage duration
1-2 weeks
Appropriate short-term storage conditions
+4°C
Appropriate long-term storage conditions
-20°C
Aliquoting information
Upon delivery aliquot
Storage information
Avoid freeze / thaw cycle

Supplementary information

This supplementary information is collated from multiple sources and compiled automatically.

TGN38 also known as trans-Golgi network integral membrane protein 2 is a protein with a mass of approximately 38 kDa. It plays a role in the sorting and trafficking of proteins within the trans-Golgi network which acts as a hub for protein sorting and distribution in cells. It gets expressed mostly in the trans-Golgi network of various mammalian cells. TGN38 serves as a receptor that helps in the selection and distribution of proteins to their respective destinations maintaining intracellular protein transport efficiency.
Biological function summary

TGN38 contributes to the transport and stability of proteins within the Golgi apparatus though it does not form any known complex. The protein is involved in the retention and recycling of resident Golgi proteins helping maintain the functionality of the Golgi network. TGN38 coordinates with other cellular components to regulate the movement of proteins through secretory pathways which is essential for proper cellular function and protein distribution processes.

Pathways

TGN38 participates in the vesicular transport pathway and cisternal maturation models. It links to proteins like coated vesicle proteins and SNAREs that assist in the formation and movement of vesicles carrying proteins through cellular compartments. TGN38 helps ensure that proteins reach their correct destination interacting with these pathways to maintain efficient transport and secretion within the cell.

TGN38 shows connections with conditions related to protein trafficking and secretion defects such as hereditary spastic paraplegia. Aberrant function or expression of TGN38 can disrupt normal protein sorting contributing to these disorders. In particular it interacts with proteins like atlastin-1 which are also involved in maintaining the integrity of intracellular trafficking and are implicated in the pathogenesis of some neurological disorders.

Product protocols

For this product, it's our understanding that no specific protocols are required. You can visit:

Product promise

We are committed to supporting your work with high-quality reagents, and we're here for you every step of the way. In the unlikely event that one of our products does not perform as expected, you're protected by our Product Promise.
For full details, please see our Terms & Conditions

Please note: All products are 'FOR RESEARCH USE ONLY. NOT FOR USE IN DIAGNOSTIC OR THERAPEUTIC PROCEDURES'.

For licensing inquiries, please contact partnerships@abcam.com