JavaScript is disabled in your browser. Please enable JavaScript to view this website.
AB174280

Anti-TGN46 antibody [EPR12676] - Golgi Marker

Be the first to review this product! Submit a review

|

(3 Publications)

Rabbit Recombinant Monoclonal TGN46 antibody. Suitable for IHC-P, ICC/IF, IP, WB and reacts with Human samples. Cited in 3 publications.

View Alternative Names

TGN46, TGN51, TGOLN2, Trans-Golgi network integral membrane protein 2, Trans-Golgi network glycoprotein 46, Trans-Golgi network glycoprotein 48, Trans-Golgi network glycoprotein 51, Trans-Golgi network protein 2, TGN38 homolog, hTGN46, hTGN48, hTGN51

7 Images
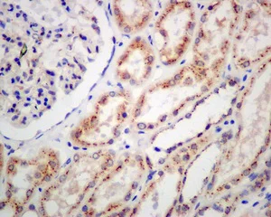
Immunohistochemistry (Formalin/PFA-fixed paraffin-embedded sections) - Anti-TGN46 antibody [EPR12676] - Golgi Marker (AB174280)
  • IHC-P

Supplier Data

Immunohistochemistry (Formalin/PFA-fixed paraffin-embedded sections) - Anti-TGN46 antibody [EPR12676] - Golgi Marker (AB174280)

Immunohistochemical analysis of paraffin embedded Human kidney tissue labeling TGN46 with ab174280 at 1/50.

Perform heat mediated antigen retrieval with citrate buffer pH 6 before commencing with IHC staining protocol.

Immunocytochemistry/ Immunofluorescence - Anti-TGN46 antibody [EPR12676] - Golgi Marker (AB174280)
  • ICC/IF

Lab

Immunocytochemistry/ Immunofluorescence - Anti-TGN46 antibody [EPR12676] - Golgi Marker (AB174280)

ab174280 staining TGN46 in HepG2 cells (top panel - positive control) and HeLa cells (bottom panel - negative control, low TGN46 expression). The cells were fixed with 100% methanol (5 min) then permeabilized with 0.1% Triton X-100 for 5 minutes and then blocked with 1% BSA/10% normal goat serum/0.3M glycine in 0.1% PBS-Tween for 1h. The cells were then incubated with ab174280 at 1μg/ml concentration and ab7291 (Mouse monoclonal to alpha Tubulin) at 1/1000 dilution overnight at 4°C followed by a further incubation at room temperature for 1h with a goat secondary antibody to rabbit IgG (Alexa Fluor® 488) (ab150081) at 2 μg/ml (shown in green) and a goat secondary antibody to mouse IgG (Alexa Fluor® 594) (ab150120) at 2 μg/ml (shown in red). Nuclear DNA was labelled in blue with DAPI.
Image was taken with a confocal microscope (Leica-Microsystems TCS SP8).

Immunocytochemistry/ Immunofluorescence - Anti-TGN46 antibody [EPR12676] - Golgi Marker (AB174280)
  • ICC/IF

Lab

Immunocytochemistry/ Immunofluorescence - Anti-TGN46 antibody [EPR12676] - Golgi Marker (AB174280)

ab174280 staining TGN46 in wild-type A549 cells (top panel) and TGOLN2 knockout A549 cells (bottom panel) (ab269510). The cells were fixed with 100% methanol (5 min) then permeabilized with 0.1% Triton X-100 for 5 minutes and then blocked with 1% BSA/10% normal goat serum/0.3M glycine in 0.1% PBS-Tween for 1h. The cells were then incubated with ab174280 at 1μg/ml concentration and ab7291 (Mouse monoclonal to alpha Tubulin) at 1/1000 dilution overnight at 4°C followed by a further incubation at room temperature for 1h with a goat secondary antibody to rabbit IgG (Alexa Fluor® 488) (ab150081) at 2 μg/ml (shown in green) and a goat secondary antibody to mouse IgG (Alexa Fluor® 594) (ab150120) at 2 μg/ml (shown in red). Nuclear DNA was labelled in blue with DAPI.
Image was taken with a confocal microscope (Leica-Microsystems TCS SP8).

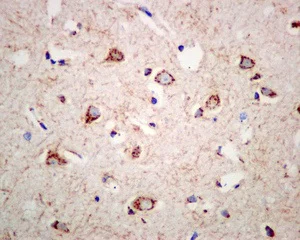
Immunohistochemistry (Formalin/PFA-fixed paraffin-embedded sections) - Anti-TGN46 antibody [EPR12676] - Golgi Marker (AB174280)
  • IHC-P

Supplier Data

Immunohistochemistry (Formalin/PFA-fixed paraffin-embedded sections) - Anti-TGN46 antibody [EPR12676] - Golgi Marker (AB174280)

Immunohistochemical analysis of paraffin embedded Human brain tissue labeling TGN46 with ab174280 at 1/50.

Perform heat mediated antigen retrieval with citrate buffer pH 6 before commencing with IHC staining protocol.

Immunoprecipitation - Anti-TGN46 antibody [EPR12676] - Golgi Marker (AB174280)
  • IP

Supplier Data

Immunoprecipitation - Anti-TGN46 antibody [EPR12676] - Golgi Marker (AB174280)

Immunoprecipitation. ab174280 at 1/1000 labeling TGN46 immunoprecipitated from Human fetal liver lysate using ab174280 at 1/10.

All lanes:

Immunoprecipitation - Anti-TGN46 antibody [EPR12676] - Golgi Marker (ab174280)

Predicted band size: 51 kDa

false

Western blot - Anti-TGN46 antibody [EPR12676] - Golgi Marker (AB174280)
  • WB

Lab

Western blot - Anti-TGN46 antibody [EPR12676] - Golgi Marker (AB174280)

Lanes 1 - 4 : Merged signal (red and green). Green - ab174280 observed at 80 kDa. Red - loading control ab8245 (Mouse anti-GAPDH antibody [6C5]) observed at 37 kDa.

ab174280 was shown to react with TGN46 in wild-type A549 cells in Western blot with loss of signal observed in TGOLN2 knockout cell line ab269510 (knockout cell lysate ab269672). Wild-type A549 and TGOLN2 knockout cell lysates were subjected to SDS-PAGE. Membranes were blocked in fluorescent western blot (TBS-based) blocking solution before incubation with ab174280 and ab8245 (Mouse anti-GAPDH antibody [6C5]) overnight at 4 °C at a 1 in 1000 dilution and a 1 in 20000 dilution respectively. Blots were incubated with Goat anti-Rabbit IgG H&L (IRDye® 800CW) preabsorbed (ab216773) and Goat anti-Mouse IgG H&L (IRDye® 680RD) preabsorbed (ab216776) secondary antibodies at 1 in 20000 dilution for 1 h at room temperature before imaging.

All lanes:

Western blot - Anti-TGN46 antibody [EPR12676] - Golgi Marker (ab174280) at 1/1000 dilution

Lane 1:

Wild-type A549 (Human lung carcinoma cell line) whole cell lysate at 20 µg

Lane 2:

TGOLN2 knockout A549 (Human lung carcinoma cell line) whole cell lysate at 20 µg

Lane 2:

Western blot - Human TGOLN2 (TGN46) knockout A549 cell line (<a href='/en-us/products/cell-lines/human-tgoln2-tgn46-knockout-a549-cell-line-ab269510'>ab269510</a>)

Lane 3:

HeLa (Human cervix adenocarcinoma epithelial cell) whole cell lysate at 20 µg

Lane 4:

Hep G2 (Human liver hepatocellular carcinoma cell line) whole cell lysate at 20 µg

Predicted band size: 51 kDa

Observed band size: 80 kDa

false

Western blot - Anti-TGN46 antibody [EPR12676] - Golgi Marker (AB174280)
  • WB

Lab

Western blot - Anti-TGN46 antibody [EPR12676] - Golgi Marker (AB174280)

Blocking buffer : 5% NFDM/TBST.

Exposure : 10 seconds, 100 seconds.

All lanes:

Western blot - Anti-TGN46 antibody [EPR12676] - Golgi Marker (ab174280) at 1/1000 dilution

Lane 1:

HeLa (Human cervix adenocarcinoma epithelial cell) whole cell lysate at 20 µg

Lane 2:

HepG2 (Human hepatocellular carcinoma epithelial cell) whole cell lysate at 20 µg

Secondary

All lanes:

Goat Anti-Rabbit IgG (HRP) with minimal cross-reactivity with human IgG at 1/2000 dilution

Predicted band size: 51 kDa

Observed band size: 75-100 kDa

false

  • Carrier free

    Anti-TGN46 antibody [EPR12676] - BSA and Azide free

Key facts

Host species

Rabbit

Clonality

Monoclonal

Clone number

EPR12676

Isotype

IgG

Carrier free

No

Reacts with

Human

Applications

ICC/IF, IP, WB, IHC-P

applications

Immunogen

The exact immunogen used to generate this antibody is proprietary information.

Reactivity data

{ "title": "Reactivity Data", "filters": { "stats": ["", "Species", "Dilution Info", "Notes"], "tabs": { "all-applications": {"fullname" : "All Applications", "shortname": "All Applications"}, "IHCP" : {"fullname" : "Immunohistochemistry (Formalin/PFA-fixed paraffin-embedded sections)", "shortname":"IHC-P"}, "ICCIF" : {"fullname" : "Immunocytochemistry/ Immunofluorescence", "shortname":"ICC/IF"}, "IP" : {"fullname" : "Immunoprecipitation", "shortname":"IP"}, "FlowCyt" : {"fullname" : "Flow Cytometry", "shortname":"Flow Cyt"}, "WB" : {"fullname" : "Western blot", "shortname":"WB"} }, "product-promise": { "all": "all", "testedAndGuaranteed": "tested", "guaranteed": "expected", "predicted": "predicted", "notRecommended": "not-recommended" } }, "values": { "Human": { "IHCP-species-checked": "testedAndGuaranteed", "IHCP-species-dilution-info": "1/50 - 1/100", "IHCP-species-notes": "<p></p>", "ICCIF-species-checked": "testedAndGuaranteed", "ICCIF-species-dilution-info": "1 µg/mL", "ICCIF-species-notes": "<p></p>", "IP-species-checked": "testedAndGuaranteed", "IP-species-dilution-info": "1/10 - 1/100", "IP-species-notes": "<p></p>", "FlowCyt-species-checked": "notRecommended", "FlowCyt-species-dilution-info": "", "FlowCyt-species-notes": "<p></p>", "WB-species-checked": "testedAndGuaranteed", "WB-species-dilution-info": "1/1000 - 1/5000", "WB-species-notes": "<p></p>" } } }

Product details

Species reactivity
Mouse, Rat: We have preliminary internal testing data to indicate this antibody may not react with these species.
Please contact us for more information.

Patented technology
Our RabMAb® technology is a patented hybridoma-based technology for making rabbit monoclonal antibodies. For details on our patents, please refer to RabMAb® patents.

What are the advantages of a recombinant monoclonal antibody?
This product is a recombinant monoclonal antibody, which offers several advantages including:

  • - High batch-to-batch consistency and reproducibility
  • - Improved sensitivity and specificity
  • - Long-term security of supply
  • - Animal-free batch production

For more information, read more on recombinant antibodies.

Properties and storage information

Form
Liquid
Purification technique
Affinity purification Protein A
Storage buffer
pH: 7.2 - 7.4 Preservative: 0.01% Sodium azide Constituents: PBS, 50% Tissue culture supernatant, 40% Glycerol (glycerin, glycerine), 0.05% BSA
Shipped at conditions
Blue Ice
Appropriate short-term storage duration
1-2 weeks
Appropriate short-term storage conditions
+4°C
Appropriate long-term storage conditions
-20°C
Aliquoting information
Upon delivery aliquot
Storage information
Avoid freeze / thaw cycle

Supplementary information

This supplementary information is collated from multiple sources and compiled automatically.

TGN46 also known as trans-Golgi network protein 46 is an important membrane protein associated with the trans-Golgi network. The protein has a mass of approximately 46 kDa and plays a role in the sorting and trafficking of proteins to their proper destinations within the cell. TGN46 is widely expressed in various cell types and is commonly used as a Golgi marker in cell biology studies helping to identify Golgi apparatus in cells.
Biological function summary

The protein TGN46 functions in the sorting and transport mechanisms within the cell. It does not function as a part of a large macromolecular complex but it interacts with several other proteins to facilitate the movement of proteins from the Golgi to other sites within the cell. The protein also associates with trafficking components to ensure the correct delivery of proteins to the plasma membrane or lysosomes.

Pathways

The role of TGN46 involves participation in intracellular transport and protein trafficking pathways. It interacts with clathrin-coated vesicles and works closely with proteins such as gamma-adaptin and epsin which are important for vesicle formation and transport. These interactions highlight its involvement in protein secretion and membrane transport pathways which are essential for maintaining cellular homeostasis.

TGN46 appears to have connections to neurodegenerative diseases and certain forms of cancer although the mechanisms are not fully understood. Alterations in TGN46 have been observed in Alzheimer's disease where it may intersect with proteins like amyloid precursor protein (APP) in protein misfolding and aggregation pathways. Additionally changes in TGN46 expression levels have been implicated in prostate cancer potentially due to its role in protein sorting and dysregulation of cellular trafficking processes.

Product protocols

For this product, it's our understanding that no specific protocols are required. You can visit:

Target data

May be involved in regulating membrane traffic to and from trans-Golgi network.
See full target information TGOLN2

Publications (3)

Recent publications for all applications. Explore the full list and refine your search

PLoS pathogens 21:e1012772 PubMed40522989

2025

Env from EIAV vaccine delicately regulates NLRP3 activation via attenuating NLRP3-NEK7 interaction.

Applications

Unspecified application

Species

Unspecified reactive species

Xing Guo,Cong Liu,Yuhong Wang,Hongxin Li,Saiwen Ma,Lei Na,Huiling Ren,Yuezhi Lin,Xiaojun Wang

Journal of virology 97:e0009323 PubMed37097176

2023

Interplay between Furin and Sialoglycans in Modulating Adeno-Associated Viral Cell Entry.

Applications

Unspecified application

Species

Unspecified reactive species

Timothy J Smith,Robert M Fusco,Zachary C Elmore,Aravind Asokan

Autophagy 14:958-971 PubMed29561705

2018

HSP90 inhibition targets autophagy and induces a CASP9-dependent resistance mechanism in NSCLC.

Applications

Unspecified application

Species

Unspecified reactive species

Jie Han,Leslie A Goldstein,Wen Hou,Suman Chatterjee,Timothy F Burns,Hannah Rabinowich
View all publications

Product promise

We are committed to supporting your work with high-quality reagents, and we're here for you every step of the way. In the unlikely event that one of our products does not perform as expected, you're protected by our Product Promise.
For full details, please see our Terms & Conditions

Please note: All products are 'FOR RESEARCH USE ONLY. NOT FOR USE IN DIAGNOSTIC OR THERAPEUTIC PROCEDURES'.

For licensing inquiries, please contact partnerships@abcam.com