JavaScript is disabled in your browser. Please enable JavaScript to view this website.
AB16059

Anti-TGN46 antibody - Golgi Marker

4

(8 Reviews)

|

(50 Publications)

Rabbit Polyclonal TGN46 antibody. Golgi marker. Suitable for IHC-P, ICC, ICC/IF and reacts with Mouse, Chinese hamster, Rat samples. Cited in 50 publications.

View Alternative Names

Ttgn2, Tgoln2, Trans-Golgi network integral membrane protein 2, TGN38B

4 Images
Immunocytochemistry - Anti-TGN46 antibody - Golgi Marker (AB16059)
  • ICC

AbReview13480****

Immunocytochemistry - Anti-TGN46 antibody - Golgi Marker (AB16059)

Paraformaldehyde-fixed, Triton-X 100-permeabilised mouse keratinocytes stained for TGN46 at 1/200 dilution in ICC.

Immunocytochemistry - Anti-TGN46 antibody - Golgi Marker (AB16059)
  • ICC

Lab

Immunocytochemistry - Anti-TGN46 antibody - Golgi Marker (AB16059)

ab16059 staining TGN46 in MEF1 cells. The cells were fixed with 100% methanol (5 min), permeabilized with 0.1% PBS-Tween for 5 minutes and then blocked with 1% BSA/10% normal goat serum/0.3M glycine in 0.1% PBS-Tween for 1h. The cells were then incubated overnight at 4°C with ab16059 at 1µg/ml and ab7291, Mouse monoclonal [DM1A] to alpha Tubulin - Loading Control. Cells were then incubated with ab150081, Goat polyclonal Secondary Antibody to Rabbit IgG - H&L (Alexa Fluor® 488), pre-adsorbed at 1/1000 dilution (shown in green) and ab150120, Goat polyclonal Secondary Antibody to Mouse IgG - H&L (Alexa Fluor® 594), pre-adsorbed at 1/1000 dilution (shown in pseudocolour red). Nuclear DNA was labelled with DAPI (shown in blue).

Also suitable in cells fixed with 4% paraformaldehyde (10 min).

Image was acquired with a high-content analyser (Operetta CLS, Perkin Elmer) and a maximum intensity projection of confocal sections is shown.

Immunohistochemistry (Formalin/PFA-fixed paraffin-embedded sections) - Anti-TGN46 antibody - Golgi Marker (AB16059)
  • IHC-P

Unknown

Immunohistochemistry (Formalin/PFA-fixed paraffin-embedded sections) - Anti-TGN46 antibody - Golgi Marker (AB16059)

IHC image of ab16059 staining in mouse e14 whole foetus formalin fixed paraffin embedded tissue section, performed on a Leica BondTM system using the standard protocol B. The section was pre-treated using heat mediated antigen retrieval with sodium citrate buffer (pH6, epitope retrieval solution 1) for 20 mins. The section was then incubated with ab16059, 5µg/ml, for 15 mins at room temperature. A goat anti-rabbit biotinylated secondary antibody was used to detect the primary, and visualized using an HRP conjugated ABC system. DAB was used as the chromogen. The section was then counterstained with haematoxylin and mounted with DPX.

For other IHC staining systems (automated and non-automated) customers should optimize variable parameters such as antigen retrieval conditions, primary antibody concentration and antibody incubation times.

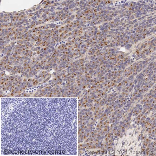
Immunohistochemistry (Formalin/PFA-fixed paraffin-embedded sections) - Anti-TGN46 antibody - Golgi Marker (AB16059)
  • IHC-P

Lab

Immunohistochemistry (Formalin/PFA-fixed paraffin-embedded sections) - Anti-TGN46 antibody - Golgi Marker (AB16059)

IHC image of TGN46 staining in a section of formalin-fixed paraffin-embedded normal mouse E14 embryo performed on a Leica BOND™ system using the standard protocol F. The section was pre-treated using heat mediated antigen retrieval with sodium citrate buffer (pH6, epitope retrieval solution 1) for 20mins. The section was then incubated with ab16059, 1μg/ml, for 15 mins at room temperature and detected using an HRP conjugated compact polymer system. DAB was used as the chromogen. The section was then counterstained with haematoxylin and mounted with DPX. The inset secondary-only control image is taken from an identical assay without primary antibody.

For other IHC staining systems (automated and non-automated) customers should optimize variable parameters such as antigen retrieval conditions, primary antibody concentration and antibody incubation times.

Key facts

Host species

Rabbit

Clonality

Polyclonal

Isotype

IgG

Carrier free

No

Reacts with

Mouse, Rat, Chinese hamster

Applications

IHC-P, ICC, ICC/IF

applications

Immunogen

The exact immunogen used to generate this antibody is proprietary information.

Specificity

This antibody does not cross react with TGN46 - the human homologue of TGN46. A Rabbit polyclonal to human TGN46 is available (ab16052).

Reactivity data

{ "title": "Reactivity Data", "filters": { "stats": ["", "Species", "Dilution Info", "Notes"], "tabs": { "all-applications": {"fullname" : "All Applications", "shortname": "All Applications"}, "IHCP" : {"fullname" : "Immunohistochemistry (Formalin/PFA-fixed paraffin-embedded sections)", "shortname":"IHC-P"}, "ICC" : {"fullname" : "Immunocytochemistry", "shortname":"ICC"}, "WB" : {"fullname" : "Western blot", "shortname":"WB"}, "ICCIF" : {"fullname" : "Immunocytochemistry/ Immunofluorescence", "shortname":"ICC/IF"} }, "product-promise": { "all": "all", "testedAndGuaranteed": "tested", "guaranteed": "expected", "predicted": "predicted", "notRecommended": "not-recommended" } }, "values": { "Human": { "IHCP-species-checked": "notRecommended", "IHCP-species-dilution-info": "", "IHCP-species-notes": "<p></p>", "ICC-species-checked": "notRecommended", "ICC-species-dilution-info": "", "ICC-species-notes": "<p></p>", "WB-species-checked": "notRecommended", "WB-species-dilution-info": "", "WB-species-notes": "<p>Rodent TGN46 is extensively glycosylated and as a result has a mass of 97 kDa on an SDS-PAGE gel.</p>", "ICCIF-species-checked": "notRecommended", "ICCIF-species-dilution-info": "", "ICCIF-species-notes": "<p></p>" }, "Mouse": { "IHCP-species-checked": "testedAndGuaranteed", "IHCP-species-dilution-info": "5 µg/mL", "IHCP-species-notes": "<p></p>", "ICC-species-checked": "testedAndGuaranteed", "ICC-species-dilution-info": "1 µg/mL", "ICC-species-notes": "<p></p>", "WB-species-checked": "notRecommended", "WB-species-dilution-info": "1 µg/mL", "WB-species-notes": "<p>Rodent TGN46 is extensively glycosylated and as a result has a mass of 97 kDa on an SDS-PAGE gel.</p>", "ICCIF-species-checked": "guaranteed", "ICCIF-species-dilution-info": "", "ICCIF-species-notes": "<p></p>" }, "Rat": { "IHCP-species-checked": "notRecommended", "IHCP-species-dilution-info": "", "IHCP-species-notes": "", "ICC-species-checked": "notRecommended", "ICC-species-dilution-info": "", "ICC-species-notes": "", "WB-species-checked": "notRecommended", "WB-species-dilution-info": "1 µg/mL", "WB-species-notes": "<p>Rodent TGN46 is extensively glycosylated and as a result has a mass of 97 kDa on an SDS-PAGE gel.</p>", "ICCIF-species-checked": "guaranteed", "ICCIF-species-dilution-info": "", "ICCIF-species-notes": "<p></p>" }, "Chinese hamster": { "IHCP-species-checked": "notRecommended", "IHCP-species-dilution-info": "", "IHCP-species-notes": "", "ICC-species-checked": "notRecommended", "ICC-species-dilution-info": "", "ICC-species-notes": "", "WB-species-checked": "notRecommended", "WB-species-dilution-info": "", "WB-species-notes": "", "ICCIF-species-checked": "guaranteed", "ICCIF-species-dilution-info": "", "ICCIF-species-notes": "<p></p>" } } }

Properties and storage information

Form
Liquid
Purification technique
Affinity purification Immunogen
Storage buffer
pH: 7.4 Preservative: 0.02% Sodium azide Constituents: PBS, 1% BSA
Shipped at conditions
Blue Ice
Appropriate short-term storage duration
1-2 weeks
Appropriate short-term storage conditions
+4°C
Appropriate long-term storage conditions
-20°C
Aliquoting information
Upon delivery aliquot
Storage information
Avoid freeze / thaw cycle

Supplementary information

This supplementary information is collated from multiple sources and compiled automatically.

TGN46 also known as trans-Golgi network protein 46 is an important membrane protein associated with the trans-Golgi network. The protein has a mass of approximately 46 kDa and plays a role in the sorting and trafficking of proteins to their proper destinations within the cell. TGN46 is widely expressed in various cell types and is commonly used as a Golgi marker in cell biology studies helping to identify Golgi apparatus in cells.
Biological function summary

The protein TGN46 functions in the sorting and transport mechanisms within the cell. It does not function as a part of a large macromolecular complex but it interacts with several other proteins to facilitate the movement of proteins from the Golgi to other sites within the cell. The protein also associates with trafficking components to ensure the correct delivery of proteins to the plasma membrane or lysosomes.

Pathways

The role of TGN46 involves participation in intracellular transport and protein trafficking pathways. It interacts with clathrin-coated vesicles and works closely with proteins such as gamma-adaptin and epsin which are important for vesicle formation and transport. These interactions highlight its involvement in protein secretion and membrane transport pathways which are essential for maintaining cellular homeostasis.

TGN46 appears to have connections to neurodegenerative diseases and certain forms of cancer although the mechanisms are not fully understood. Alterations in TGN46 have been observed in Alzheimer's disease where it may intersect with proteins like amyloid precursor protein (APP) in protein misfolding and aggregation pathways. Additionally changes in TGN46 expression levels have been implicated in prostate cancer potentially due to its role in protein sorting and dysregulation of cellular trafficking processes.

Product protocols

For this product, it's our understanding that no specific protocols are required. You can visit:

Target data

May be involved in regulating membrane traffic to and from trans-Golgi network.
See full target information Tgoln2

Publications (50)

Recent publications for all applications. Explore the full list and refine your search

Alzheimer's research & therapy 17:203 PubMed40954504

2025

Ap1s1 reduction in the aging brain heightens neuronal vulnerability to amyloid-β and oxidative stress in Alzheimer's pathogenesis.

Applications

Unspecified application

Species

Unspecified reactive species

Xuehan Yang,Xinru Geng,Zhuoyan Xu,Yang Xu,Hao Han,Qiang Zhang,Honglian Jin,Yuxin Wang,Bin Sun,Ming Zhang,Siwei Zhang,Li Chen

Nature communications 16:2535 PubMed40087276

2025

ER O-glycosylation in synovial fibroblasts drives cartilage degradation.

Applications

Unspecified application

Species

Unspecified reactive species

Le Son Tran,Joanne Chia,Xavier Le Guezennec,Keit Min Tham,Anh Tuan Nguyen,Virginie Sandrin,Way Cherng Chen,Tan Tong Leng,Sreedharan Sechachalam,Khai Pang Leong,Frederic A Bard

Science advances 11:eadu7985 PubMed40020060

2025

Norovirus co-opts NINJ1 for selective protein secretion.

Applications

Unspecified application

Species

Unspecified reactive species

Jaewon Song,Li Zhang,Seokoh Moon,Ariana Fang,Guoxun Wang,Newsha Gheshm,Skylar A Loeb,Paul Cao,Joselynn R Wallace,Mia Madel Alfajaro,Madison S Strine,Wandy L Beatty,Amanda M Jamieson,Robert C Orchard,Bridget A Robinson,Timothy J Nice,Craig B Wilen,Anthony Orvedahl,Tiffany A Reese,Sanghyun Lee

Cellular and molecular life sciences : CMLS 82:4 PubMed39680136

2024

Golgi pH elevation due to loss of V-ATPase subunit V0a2 function correlates with tissue-specific glycosylation changes and globozoospermia.

Applications

Unspecified application

Species

Unspecified reactive species

Johannes Kopp,Denise Jahn,Guido Vogt,Anthi Psoma,Edoardo Ratto,Willy Morelle,Nina Stelzer,Ingrid Hausser,Anne Hoffmann,Miguel Rodriguez de Los Santos,Leonard A Koch,Björn Fischer-Zirnsak,Christian Thiel,Wilhelm Palm,David Meierhofer,Geert van den Bogaart,François Foulquier,Andreas Meinhardt,Uwe Kornak

Acta pharmaceutica Sinica. B 14:3983-4000 PubMed39309491

2024

Heme oxygenase 1-mediated ferroptosis in Kupffer cells initiates liver injury during heat stroke.

Applications

Unspecified application

Species

Unspecified reactive species

Ru Li,Riqing Wei,Chenxin Liu,Keying Zhang,Sixiao He,Zhifeng Liu,Junhao Huang,Youyong Tang,Qiyuan An,Ligen Lin,Lishe Gan,Liying Zhao,Xiaoming Zou,Fudi Wang,Yuan Ping,Qiang Ma

Autophagy 20:1537-1558 PubMed38591519

2024

Alcohol-induced Golgiphagy is triggered by the downregulation of Golgi GTPase RAB3D.

Applications

Unspecified application

Species

Unspecified reactive species

Amanda J Macke,Taylor E Divita,Artem N Pachikov,Sundararajan Mahalingam,Ramesh Bellamkonda,Karuna Rasineni,Carol A Casey,Armen Petrosyan

Journal of cellular and molecular medicine 28:e18215 PubMed38509755

2024

CCDC157 is essential for sperm differentiation and shows oligoasthenoteratozoospermia-related mutations in men.

Applications

Unspecified application

Species

Unspecified reactive species

Huimei Zheng,Chenjia Gong,Jingping Li,Jiaru Hou,Xinhan Gong,Xinhai Zhu,Huan Deng,Haoyue Wu,Fengbin Zhang,Qinghua Shi,Jianteng Zhou,Baolu Shi,Xiaohang Yang,Yongmei Xi

Journal of cell science 136: PubMed38126809

2023

Regulated dynamic subcellular GLUT4 localization revealed by proximal proteome mapping in human muscle cells.

Applications

Unspecified application

Species

Unspecified reactive species

Anuttoma Ray,Jennifer Wen,Lucie Yammine,Jeff Culver,Isabella Supardi Parida,Jeonifer Garren,Liang Xue,Katherine Hales,Qing Xiang,Morris J Birnbaum,Bei B Zhang,Mara Monetti,Timothy E McGraw

The Journal of biological chemistry 300:105564 PubMed38103644

2023

Identification of a buried β-strand as a novel disease-related motif in the human polysialyltransferases.

Applications

Unspecified application

Species

Unspecified reactive species

Rina Hatanaka,Masaya Hane,Kaito Hayakawa,Sayo Morishita,Shiho Ohno,Yoshiki Yamaguchi,Di Wu,Ken Kitajima,Chihiro Sato

Cell death & disease 14:297 PubMed37120609

2023

Perturbation of the host cell Ca homeostasis and ER-mitochondria contact sites by the SARS-CoV-2 structural proteins E and M.

Applications

Unspecified application

Species

Unspecified reactive species

Elena Poggio,Francesca Vallese,Andreas J W Hartel,Travis J Morgenstern,Scott A Kanner,Oliver Rauh,Flavia Giamogante,Lucia Barazzuol,Kenneth L Shepard,Henry M Colecraft,Oliver Biggs Clarke,Marisa Brini,Tito Calì
View all publications

Product promise

We are committed to supporting your work with high-quality reagents, and we're here for you every step of the way. In the unlikely event that one of our products does not perform as expected, you're protected by our Product Promise.
For full details, please see our Terms & Conditions

Please note: All products are 'FOR RESEARCH USE ONLY. NOT FOR USE IN DIAGNOSTIC OR THERAPEUTIC PROCEDURES'.

For licensing inquiries, please contact partnerships@abcam.com