JavaScript is disabled in your browser. Please enable JavaScript to view this website.
AB263898

Anti-THBS4 antibody [EPR22922-232]

Be the first to review this product! Submit a review

|

(4 Publications)

Rabbit Recombinant Monoclonal TSP4 antibody. Suitable for IP, WB, ICC/IF, Flow Cyt (Intra) and reacts with Mouse, Human, Rat samples. Cited in 4 publications.

View Alternative Names

TSP4, THBS4, Thrombospondin-4

8 Images
Western blot - Anti-THBS4 antibody [EPR22922-232] (AB263898)
  • WB

Lab

Western blot - Anti-THBS4 antibody [EPR22922-232] (AB263898)

Blocking and diluting buffer and concentration : 5% NFDM/TBST.

The expression profile & molecular weight observed is consistent with what has been described in the literature (PMID : 17182969, 27581066, 30669608, 7852353, 12663449).

Exposure times : Lane 1 : 48 secs; Lane 2 : 6 secs; Lane 3 : 1 sec.

All lanes:

Western blot - Anti-THBS4 antibody [EPR22922-232] (ab263898) at 1/1000 dilution

Lane 1:

Human skeletal muscle lysate at 20 µg

Lane 2:

Human serum lysate at 20 µg

Lane 3:

Mouse skeletal muscle lysate at 20 µg

Secondary

Lanes 1 - 2:

Western blot - VeriBlot for IP Detection Reagent (HRP) (<a href='/en-us/products/reagents/veriblot-for-ip-detection-reagent-hrp-ab131366'>ab131366</a>) at 1/1000 dilution

Lane 3:

Western blot - Goat Anti-Rabbit IgG H&L (HRP) (<a href='/en-us/products/secondary-antibodies/goat-rabbit-igg-h-l-hrp-ab97051'>ab97051</a>) at 1/20000 dilution

Predicted band size: 106 kDa

Observed band size: 100 kDa,120 kDa,140 kDa,75 kDa

false

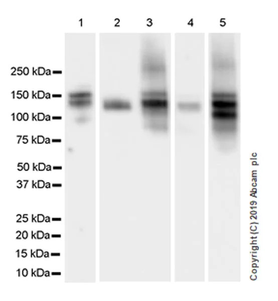
Western blot - Anti-THBS4 antibody [EPR22922-232] (AB263898)
  • WB

Lab

Western blot - Anti-THBS4 antibody [EPR22922-232] (AB263898)

The expression profile & molecular weight observed is consistent with what has been described in the literature (PMID : 17182969, 27581066, 30669608, 7852353, 12663449).

Exposure times : Lanes 1-4 : 15 seconds; Lane 5 : 6 seconds.

All lanes:

Western blot - Anti-THBS4 antibody [EPR22922-232] (ab263898) at 1/1000 dilution

Lane 1:

Human articular cartilage lysate at 20 µg

Lane 2:

Mouse kidney lysate at 20 µg

Lane 3:

Mouse articular cartilage lysate at 20 µg

Lane 4:

Rat heart lysate at 20 µg

Lane 5:

Rat articular cartilage lysate at 20 µg

Secondary

Lane 1:

Western blot - VeriBlot for IP Detection Reagent (HRP) (<a href='/en-us/products/reagents/veriblot-for-ip-detection-reagent-hrp-ab131366'>ab131366</a>) at 1/1000 dilution

Lanes 2 - 5:

Western blot - Goat Anti-Rabbit IgG H&L (HRP) (<a href='/en-us/products/secondary-antibodies/goat-rabbit-igg-h-l-hrp-ab97051'>ab97051</a>) at 1/20000 dilution

Predicted band size: 106 kDa

false

Flow Cytometry (Intracellular) - Anti-THBS4 antibody [EPR22922-232] (AB263898)
  • Flow Cyt (Intra)

Unknown

Flow Cytometry (Intracellular) - Anti-THBS4 antibody [EPR22922-232] (AB263898)

Intracellular flow cytometric analysis of 4% paraformaldehyde fixed 90% methanol permeabilized L6 (Rat skeletal muscle myoblast) cells labeling THBS4 with ab263898 at 1/700 (Red) compared with a Rabbit monoclonal IgG (ab172730) / Black isotype control and an unlabeled control (cells without incubation with primary antibody and secondary antibody) (Blue). A Goat anti rabbit IgG (Alexa Fluor® 488, ab150077) at 1/2000 dilution was used as the secondary antibody.

Flow Cytometry (Intracellular) - Anti-THBS4 antibody [EPR22922-232] (AB263898)
  • Flow Cyt (Intra)

Unknown

Flow Cytometry (Intracellular) - Anti-THBS4 antibody [EPR22922-232] (AB263898)

Intracellular flow cytometric analysis of 4% paraformaldehyde fixed 90% methanol permeabilized C2C12 (Mouse myoblasts myoblast) cells labeling THBS4 with ab263898 at 1/700 (Red) compared with a Rabbit monoclonal IgG (ab172730) / Black isotype control and an unlabeled control (cells without incubation with primary antibody and secondary antibody) (Blue). A Goat anti rabbit IgG (Alexa Fluor® 488, ab150077) at 1/2000 dilution was used as the secondary antibody.

Immunocytochemistry/ Immunofluorescence - Anti-THBS4 antibody [EPR22922-232] (AB263898)
  • ICC/IF

Unknown

Immunocytochemistry/ Immunofluorescence - Anti-THBS4 antibody [EPR22922-232] (AB263898)

Immunofluorescent analysis of 4% Paraformaldehyde-fixed, 0.1% Triton X-100 permeabilized C2C12 (Mouse myoblast) cells labeling THBS4 with ab263898 at 1/100 (6.9 μg/ml) dilution, followed by ab150077 AlexaFluor®488 Goat anti-Rabbit secondary antibody at 1/1000 (2 μg/ml) dilution (Green). Confocal image showing cytoplasmic staining in C2C12 cell line is observed. ab195889 Anti-alpha Tubulin antibody [DM1A] - Microtubule Marker (Alexa Fluor® 594) was used to counterstain tubulin at 1/200 dilution (Red). The nuclear counterstain was DAPI (Blue).

Secondary antibody only control : ab150077 AlexaFluor®488 Goat anti-Rabbit secondary at 1/1000 (2 μg/ml) dilution.

Immunocytochemistry/ Immunofluorescence - Anti-THBS4 antibody [EPR22922-232] (AB263898)
  • ICC/IF

Unknown

Immunocytochemistry/ Immunofluorescence - Anti-THBS4 antibody [EPR22922-232] (AB263898)

Immunofluorescent analysis of 4% Paraformaldehyde-fixed, 0.1% Triton X-100 permeabilized L6 (Rat skeletal muscle myoblast) cells labeling THBS4 with ab263898 at 1/100 (6.9 μg/ml) dilution, followed by ab150077 AlexaFluor®488 Goat anti-Rabbit secondary antibody at 1/1000 (2 μg/ml) dilution (Green). Confocal image showing cytoplasmic staining in L6 cell line is observed. ab195889 Anti-alpha Tubulin antibody [DM1A] - Microtubule Marker (Alexa Fluor® 594) was used to counterstain tubulin at 1/200 dilution (Red). The nuclear counterstain was DAPI (Blue).

Secondary antibody only control : ab150077 AlexaFluor®488 Goat anti-Rabbit secondary at 1/1000 (2 μg/ml) dilution.

Immunoprecipitation - Anti-THBS4 antibody [EPR22922-232] (AB263898)
  • IP

Unknown

Immunoprecipitation - Anti-THBS4 antibody [EPR22922-232] (AB263898)

THBS4 was immunoprecipitated from 0.35 mg mouse skeletal muscle lysate 10μg with ab263898 at 1/30 dilution (2μg in 0.35mg lysates). Western blot was performed on the immunoprecipitate using ab263898 at 1/500 dilution. VeriBlot for IP Detection Reagent (HRP) (ab131366) was used at 1/1000 dilution.

Lane 1 : Mouse skeletal muscle lysate 10μg

Lane 2 : ab263898 IP in mouse skeletal muscle lysate

Lane 3 : Rabbit monoclonal IgG (ab172730) instead of ab263868 in mouse skeletal muscle lysate

Blocking and dilution buffer and concentration : 5% NFDM/TBST.

Exposure time : 3 seconds.

The expression profile and molecular weight observed is consistent with what has been described in the literature (PMID : 30669608).

All lanes:

Immunoprecipitation - Anti-THBS4 antibody [EPR22922-232] (ab263898)

Predicted band size: 106 kDa

false

Immunoprecipitation - Anti-THBS4 antibody [EPR22922-232] (AB263898)
  • IP

Unknown

Immunoprecipitation - Anti-THBS4 antibody [EPR22922-232] (AB263898)

THBS4 was immunoprecipitated from 0.35 mg human skeletal muscle lysate 10μg with ab263898 at 1/30 dilution (2μg in 0.35mg lysates). Western blot was performed on the immunoprecipitate using ab263898 at 1/500 dilution. VeriBlot for IP Detection Reagent (HRP) (ab131366) was used at 1/1000 dilution.

Lane 1 : Human skeletal muscle lysate 10μg

Lane 2 : ab263898 IP in human skeletal muscle lysate

Lane 3 : Rabbit monoclonal IgG (ab172730) instead of ab263868 in human skeletal muscle lysate

Blocking and dilution buffer and concentration : 5% NFDM/TBST.

Exposure time : 3 seconds.

The expression profile and molecular weight observed is consistent with what has been described in the literature (PMID : 30669608).

All lanes:

Immunoprecipitation - Anti-THBS4 antibody [EPR22922-232] (ab263898)

Predicted band size: 106 kDa

false

  • Carrier free

    Anti-THBS4 antibody [EPR22922-232] - BSA and Azide free

Key facts

Host species

Rabbit

Clonality

Monoclonal

Clone number

EPR22922-232

Isotype

IgG

Carrier free

No

Reacts with

Mouse, Rat, Human

Applications

WB, ICC/IF, Flow Cyt (Intra), IP

applications

Immunogen

The exact immunogen used to generate this antibody is proprietary information.

Reactivity data

{ "title": "Reactivity Data", "filters": { "stats": ["", "Species", "Dilution Info", "Notes"], "tabs": { "all-applications": {"fullname" : "All Applications", "shortname": "All Applications"}, "IP" : {"fullname" : "Immunoprecipitation", "shortname":"IP"}, "WB" : {"fullname" : "Western blot", "shortname":"WB"}, "IHCP" : {"fullname" : "Immunohistochemistry (Formalin/PFA-fixed paraffin-embedded sections)", "shortname":"IHC-P"}, "ICCIF" : {"fullname" : "Immunocytochemistry/ Immunofluorescence", "shortname":"ICC/IF"}, "FlowCytIntra" : {"fullname" : "Flow Cytometry (Intracellular)", "shortname":"Flow Cyt (Intra)"} }, "product-promise": { "all": "all", "testedAndGuaranteed": "tested", "guaranteed": "expected", "predicted": "predicted", "notRecommended": "not-recommended" } }, "values": { "Human": { "IP-species-checked": "testedAndGuaranteed", "IP-species-dilution-info": "1/30", "IP-species-notes": "<p></p>", "WB-species-checked": "testedAndGuaranteed", "WB-species-dilution-info": "1/1000", "WB-species-notes": "<p></p>", "IHCP-species-checked": "notRecommended", "IHCP-species-dilution-info": "", "IHCP-species-notes": "<p></p>", "ICCIF-species-checked": "guaranteed", "ICCIF-species-dilution-info": "", "ICCIF-species-notes": "", "FlowCytIntra-species-checked": "guaranteed", "FlowCytIntra-species-dilution-info": "", "FlowCytIntra-species-notes": "" }, "Mouse": { "IP-species-checked": "testedAndGuaranteed", "IP-species-dilution-info": "1/30", "IP-species-notes": "<p></p>", "WB-species-checked": "testedAndGuaranteed", "WB-species-dilution-info": "1/1000", "WB-species-notes": "<p></p>", "IHCP-species-checked": "notRecommended", "IHCP-species-dilution-info": "", "IHCP-species-notes": "<p></p>", "ICCIF-species-checked": "testedAndGuaranteed", "ICCIF-species-dilution-info": "1/100", "ICCIF-species-notes": "<p></p>", "FlowCytIntra-species-checked": "testedAndGuaranteed", "FlowCytIntra-species-dilution-info": "1/700", "FlowCytIntra-species-notes": "<p></p>" }, "Rat": { "IP-species-checked": "guaranteed", "IP-species-dilution-info": "", "IP-species-notes": "", "WB-species-checked": "testedAndGuaranteed", "WB-species-dilution-info": "1/1000", "WB-species-notes": "<p></p>", "IHCP-species-checked": "notRecommended", "IHCP-species-dilution-info": "", "IHCP-species-notes": "<p></p>", "ICCIF-species-checked": "testedAndGuaranteed", "ICCIF-species-dilution-info": "1/100", "ICCIF-species-notes": "<p></p>", "FlowCytIntra-species-checked": "testedAndGuaranteed", "FlowCytIntra-species-dilution-info": "1/700", "FlowCytIntra-species-notes": "<p></p>" } } }

You may be interested in:

AB314715

Human THBS4 ELISA Kit

0

0 Reviews

View product

We recommend this product because it’s often used in the same experiment or related research.

We advise that you always check the datasheet to ensure it fits your experiments, or contact ourtechnical teamfor help.

Product details

Patented technology
Our RabMAb® technology is a patented hybridoma-based technology for making rabbit monoclonal antibodies. For details on our patents, please refer to RabMAb® patents.

What are the advantages of a recombinant monoclonal antibody?
This product is a recombinant monoclonal antibody, which offers several advantages including:

  • - High batch-to-batch consistency and reproducibility
  • - Improved sensitivity and specificity
  • - Long-term security of supply
  • - Animal-free batch production

For more information, read more on recombinant antibodies.

Properties and storage information

Form
Liquid
Purification technique
Affinity purification Protein A
Storage buffer
pH: 7.2 - 7.4 Preservative: 0.01% Sodium azide Constituents: PBS, 40% Glycerol (glycerin, glycerine), 0.05% BSA
Shipped at conditions
Blue Ice
Appropriate short-term storage duration
1-2 weeks
Appropriate short-term storage conditions
+4°C
Appropriate long-term storage conditions
-20°C
Aliquoting information
Upon delivery aliquot
Storage information
Avoid freeze / thaw cycle

Supplementary information

This supplementary information is collated from multiple sources and compiled automatically.

THBS4 also known as Thrombospondin-4 is a glycoprotein with a mass of approximately 105 kDa. It is part of the thrombospondin family which is known for binding to various cell surface receptors and components of the extracellular matrix. THBS4 is expressed in many tissues including the brain heart and skeletal muscle. Its structure allows it to interact with other proteins and play a role in cell-matrix communication.
Biological function summary

THBS4 interacts with molecules in the extracellular matrix to regulate cellular functions such as adhesion migration and proliferation. It often operates within a complex network of proteins modulating cell interactions and tissue remodeling. This protein contributes to synaptic functions in the nervous system and soft tissue repair. The presence of THBS4 in different tissue types suggests it has diverse roles across the body's systems.

Pathways

This protein is a component of the signaling pathways related to inflammatory and repair processes. THBS4 participates in the TGF-beta (Transforming Growth Factor-beta) signaling pathway which involves other proteins like TGF-beta itself and integrins. It influences wound healing and fibrosis through its effects on cellular behavior and signaling cascades.

Alterations in THBS4 levels can associate with conditions such as myocardial infarction and osteoarthritis. Abnormal expression or function of THBS4 can disrupt normal tissue repair and inflammation control contributing to disease progression. The protein's interaction with integrins and collagen is significant in understanding its role in these conditions highlighting its potential as a therapeutic target for modulating tissue repair and disease processes.

Product protocols

For this product, it's our understanding that no specific protocols are required. You can visit:

Target data

Adhesive glycoprotein that mediates cell-to-cell and cell-to-matrix interactions and is involved in various processes including cellular proliferation, migration, adhesion and attachment, inflammatory response to CNS injury, regulation of vascular inflammation and adaptive responses of the heart to pressure overload and in myocardial function and remodeling. Binds to structural extracellular matrix (ECM) proteins and modulates the ECM in response to tissue damage, contributing to cardioprotective and adaptive ECM remodeling. Plays a role in ER stress response, via its interaction with the activating transcription factor 6 alpha (ATF6) which produces adaptive ER stress response factors and protects myocardium from pressure overload. May contribute to spinal presynaptic hypersensitivity and neuropathic pain states after peripheral nerve injury. May play a role in regulating protective astrogenesis from the subventricular zone (SVZ) niche after injury in a NOTCH1-dependent manner (By similarity).
See full target information THBS4

Publications (4)

Recent publications for all applications. Explore the full list and refine your search

Clinical and translational medicine 13:e1193 PubMed36738110

2023

Intestinal fibrosis in aganglionic segment of Hirschsprung's disease revealed by single-cell RNA sequencing.

Applications

Unspecified application

Species

Unspecified reactive species

Shiwei He,Junfeng Wang,Yanlei Huang,Fanyang Kong,Ran Yang,Yong Zhan,Zifeng Li,Chunjing Ye,Lingdu Meng,Yankang Ren,Ying Zhou,Gong Chen,Zhen Shen,Song Sun,Shan Zheng,Rui Dong

Frontiers in cell and developmental biology 9:776884 PubMed35155445

2022

Segmentally Demineralized Cortical Bone With Stem Cell-Derived Matrix Promotes Proliferation, Migration and Differentiation of Stem Cells .

Applications

Unspecified application

Species

Unspecified reactive species

Shu-Kun He,Liang-Ju Ning,Ruo-Nan Hu,Xuan Yao,Jing Cui,Wei Ding,Jing-Cong Luo,Ting-Wu Qin

Frontiers in pharmacology 12:752734 PubMed34970140

2021

The Attenuating Effect of Low-Intensity Pulsed Ultrasound on Hypoxia-Induced Rat Chondrocyte Damage in TMJ Osteoarthritis Based on TMT Labeling Quantitative Proteomic Analysis.

Applications

Unspecified application

Species

Unspecified reactive species

Sa Du,Chao Liang,Yujie Sun,Bowen Ma,Wenmo Gao,Wei Geng

eLife 10: PubMed33480357

2021

Scleraxis-lineage cell depletion improves tendon healing and disrupts adult tendon homeostasis.

Applications

Unspecified application

Species

Unspecified reactive species

Katherine T Best,Antonion Korcari,Keshia E Mora,Anne Ec Nichols,Samantha N Muscat,Emma Knapp,Mark R Buckley,Alayna E Loiselle
View all publications

Product promise

We are committed to supporting your work with high-quality reagents, and we're here for you every step of the way. In the unlikely event that one of our products does not perform as expected, you're protected by our Product Promise.
For full details, please see our Terms & Conditions

Associated Products

Select an associated product type
Alternative Product
Primary Antibodies

AB211143

Anti-THBS4 antibody - N-terminal

primary-antibodies

thbs4-antibody-n-terminal-ab211143

5

(1 reviews)

Please note: All products are 'FOR RESEARCH USE ONLY. NOT FOR USE IN DIAGNOSTIC OR THERAPEUTIC PROCEDURES'.

For licensing inquiries, please contact partnerships@abcam.com