JavaScript is disabled in your browser. Please enable JavaScript to view this website.
AB237626

Anti-Themis antibody

Be the first to review this product! Submit a review

|

(1 Publication)

Rabbit Polyclonal Themis antibody. Suitable for WB, IHC-P, ICC/IF and reacts with Human samples. Cited in 1 publication. Immunogen corresponding to Recombinant Fragment Protein within Human THEMIS aa 500 to C-terminus.

View Alternative Names

C6orf190, C6orf207, THEMIS, Protein THEMIS, Thymocyte-expressed molecule involved in selection

3 Images
Immunocytochemistry/ Immunofluorescence - Anti-Themis antibody (AB237626)
  • ICC/IF

Supplier Data

Immunocytochemistry/ Immunofluorescence - Anti-Themis antibody (AB237626)

HepG2 (human liver hepatocellular carcinoma cell line) cells stained for Themis using ab237626 at a dilution of 1/100 in ICC/IF.

The cells were fixed in 4% formaldehyde, permeabilized using 0.2% Triton X-100 and blocked in 10% normal goat serum. The cells were then incubated with the primary antibody overnight at 4°C. Secondary used is an Alexa-Fluor®488-conjugated Goat Anti-Rabbit IgG (H+L). Counterstained with DAPI.

Western blot - Anti-Themis antibody (AB237626)
  • WB

Supplier Data

Western blot - Anti-Themis antibody (AB237626)

All lanes:

Western blot - Anti-Themis antibody (ab237626) at 1/500 dilution

Lane 1:

Jurkat (human T cell leukemia cell line from peripheral blood) whole cell lysate

Lane 2:

K562 (human chronic myelogenous leukemia cell line from bone marrow) whole cell lysate

Secondary

All lanes:

Goat polyclonal to rabbit IgG at 1/50000 dilution

Predicted band size: 73 kDa

false

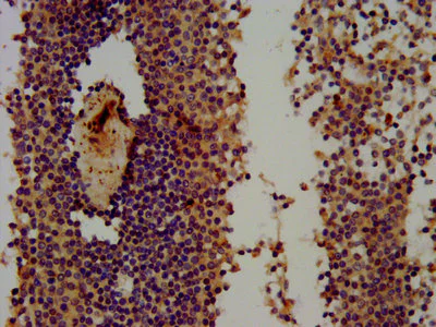
Immunohistochemistry (Formalin/PFA-fixed paraffin-embedded sections) - Anti-Themis antibody (AB237626)
  • IHC-P

Supplier Data

Immunohistochemistry (Formalin/PFA-fixed paraffin-embedded sections) - Anti-Themis antibody (AB237626)

Paraffin-embedded human spleen tissue stained for Themis with ab237626 at a 1/300 dilution in immunohistochemical analysis.

After dewaxing and hydration, antigen retrieval was mediated by high pressure in a citrate buffer (pH 6.0). Section was blocked with 10% normal goat serum 30 minutes at RT. Then primary antibody (1% BSA) was incubated at 4°C overnight. The primary is detected by a biotinylated secondary antibody and visualized using an HRP conjugated SP system.

Key facts

Host species

Rabbit

Clonality

Polyclonal

Isotype

IgG

Carrier free

No

Reacts with

Human

Applications

IHC-P, ICC/IF, WB

applications

Immunogen

Recombinant Fragment Protein within Human THEMIS aa 500 to C-terminus. The exact immunogen used to generate this antibody is proprietary information.

Q8N1K5

Reactivity data

{ "title": "Reactivity Data", "filters": { "stats": ["", "Species", "Dilution Info", "Notes"], "tabs": { "all-applications": {"fullname" : "All Applications", "shortname": "All Applications"}, "WB" : {"fullname" : "Western blot", "shortname":"WB"}, "IHCP" : {"fullname" : "Immunohistochemistry (Formalin/PFA-fixed paraffin-embedded sections)", "shortname":"IHC-P"}, "ICCIF" : {"fullname" : "Immunocytochemistry/ Immunofluorescence", "shortname":"ICC/IF"} }, "product-promise": { "all": "all", "testedAndGuaranteed": "tested", "guaranteed": "expected", "predicted": "predicted", "notRecommended": "not-recommended" } }, "values": { "Human": { "WB-species-checked": "testedAndGuaranteed", "WB-species-dilution-info": "1/500 - 1/5000", "WB-species-notes": "<p></p>", "IHCP-species-checked": "testedAndGuaranteed", "IHCP-species-dilution-info": "1/200 - 1/500", "IHCP-species-notes": "<p></p>", "ICCIF-species-checked": "testedAndGuaranteed", "ICCIF-species-dilution-info": "1/50 - 1/200", "ICCIF-species-notes": "<p></p>" } } }

Properties and storage information

Form
Liquid
Purification technique
Affinity purification Protein G
Purification notes
Purity greater than 95%.
Storage buffer
pH: 7.4 Preservative: 0.03% Proclin 300 Constituents: PBS, 50% Glycerol (glycerin, glycerine)
Shipped at conditions
Blue Ice
Appropriate short-term storage duration
1-2 weeks
Appropriate short-term storage conditions
+4°C
Appropriate long-term storage conditions
-20°C
Aliquoting information
Upon delivery aliquot
Storage information
Avoid freeze / thaw cycle

Supplementary information

This supplementary information is collated from multiple sources and compiled automatically.

Themis also known as thymocyte-expressed molecule involved in selection is a protein involved in T-cell development. Themis has a mass of approximately 64 kDa. Researchers have found it expressed specifically in thymocytes a type of immune cell found in the thymus. Mechanically Themis helps in signal transduction processes necessary for the proper development and selection of T-cells which are important components of the adaptive immune system. Themis functions by binding to and modulating various signaling molecules within the immune cells.
Biological function summary

Themis plays a significant role in T-cell receptor (TCR) signaling which is essential for the positive and negative selection of thymocytes. Themis functions as part of a complex that cooperates with other proteins to fine-tune the thresholds for TCR signaling. Through its action it ensures the proper development of functional and self-tolerant T-cells helping to distinguish self from non-self in immune responses. As cells progress through the thymus Themis regulates the strength and duration of signaling ensuring the appropriate intensity for T-cell maturation.

Pathways

T-cell development heavily relies on Themis for its contribution to the TCR signaling pathway. Themis interacts in this pathway with important proteins such as LAT (Linker for Activation of T cells) and SLP-76 which are key components for propagating downstream signaling that leads to T-cell activation. Additionally Themis is involved with the Ras-MAPK signaling pathway which further contributes to cell proliferation and differentiation. Both pathways are critical for maintaining the balance in the immune response allowing for the selection of T-cells that can combat infections while avoiding autoimmunity.

Disruptions in Themis function can link to autoimmune diseases and severe combined immunodeficiency (SCID). Mutations or misregulation of Themis can cause improper T-cell selection leading to the survival of self-reactive T-cells or failure in T-cell development. For example defective Themis activity has connections to autoimmune disorders where the body attacks its own tissues. In such cases proteins like LAT and SLP-76 can also show altered activity which contributes to the development and progression of these immune-related diseases.

Product protocols

For this product, it's our understanding that no specific protocols are required. You can visit:

Target data

Plays a central role in late thymocyte development by controlling both positive and negative T-cell selection. Required to sustain and/or integrate signals required for proper lineage commitment and maturation of T-cells. Regulates T-cell development through T-cell antigen receptor (TCR) signaling and in particular through the regulation of calcium influx and phosphorylation of Erk.
See full target information THEMIS

Publications (1)

Recent publications for all applications. Explore the full list and refine your search

Nature neuroscience 24:19-23 PubMed33318667

2020

Microglial G-dependent dynamics regulate brain network hyperexcitability.

Applications

Unspecified application

Species

Unspecified reactive species

Mario Merlini,Victoria A Rafalski,Keran Ma,Keun-Young Kim,Eric A Bushong,Pamela E Rios Coronado,Zhaoqi Yan,Andrew S Mendiola,Elif G Sozmen,Jae Kyu Ryu,Matthias G Haberl,Matthew Madany,Daniel Naranjo Sampson,Mark A Petersen,Sophia Bardehle,Reshmi Tognatta,Terry Dean,Rosa Meza Acevedo,Belinda Cabriga,Reuben Thomas,Shaun R Coughlin,Mark H Ellisman,Jorge J Palop,Katerina Akassoglou
View all publications

Product promise

We are committed to supporting your work with high-quality reagents, and we're here for you every step of the way. In the unlikely event that one of our products does not perform as expected, you're protected by our Product Promise.
For full details, please see our Terms & Conditions

Please note: All products are 'FOR RESEARCH USE ONLY. NOT FOR USE IN DIAGNOSTIC OR THERAPEUTIC PROCEDURES'.

For licensing inquiries, please contact partnerships@abcam.com