JavaScript is disabled in your browser. Please enable JavaScript to view this website.
AB185544

Anti-Thioredoxin 2 antibody [EPR15225]

Be the first to review this product! Submit a review

|

(31 Publications)

Rabbit Recombinant Monoclonal Thioredoxin 2 antibody. Suitable for WB, ICC/IF, Flow Cyt (Intra), IHC-P and reacts with Human, Mouse samples. Cited in 31 publications.

View Alternative Names

TRX2, TXN2, MTRX, Mt-Trx, Thioredoxin-2

5 Images
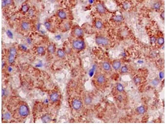
Immunohistochemistry (Formalin/PFA-fixed paraffin-embedded sections) - Anti-Thioredoxin 2 antibody [EPR15225] (AB185544)
  • IHC-P

Supplier Data

Immunohistochemistry (Formalin/PFA-fixed paraffin-embedded sections) - Anti-Thioredoxin 2 antibody [EPR15225] (AB185544)

Immunohistochemical analysis of paraffin-embedded Human liver tissue labeling Thioredoxin 2 with ab185544 at 1/500 dilution. Counter stain Hematoxylin.

Perform heat mediated antigen retrieval with EDTA buffer pH 9 before commencing with IHC staining protocol.

Immunocytochemistry/ Immunofluorescence - Anti-Thioredoxin 2 antibody [EPR15225] (AB185544)
  • ICC/IF

Supplier Data

Immunocytochemistry/ Immunofluorescence - Anti-Thioredoxin 2 antibody [EPR15225] (AB185544)

Immunofluorescent analysis of 4% paraformaldehyde fixed HeLa cells labeling Thioredoxin 2 with ab185544 at 1/250 dilution. Secondary antibody Goat anti rabbit IgG (Alexa Fluor®555) at a 1/200 dilution. Counterstained with Dapi blue.

Flow Cytometry (Intracellular) - Anti-Thioredoxin 2 antibody [EPR15225] (AB185544)
  • Flow Cyt (Intra)

Supplier Data

Flow Cytometry (Intracellular) - Anti-Thioredoxin 2 antibody [EPR15225] (AB185544)

Intracellular Flow Cytometry analysis of 2% paraformaldehyde fixed K562 cells labeling Thioredoxin 2 with ab185544 at 1/150 dilution (pink) or a rabbit IgG isotype control (green), followed by secondary Goat anti rabbit IgG (FITC) at 1/150 dilution.

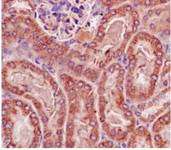
Immunohistochemistry (Formalin/PFA-fixed paraffin-embedded sections) - Anti-Thioredoxin 2 antibody [EPR15225] (AB185544)
  • IHC-P

Supplier Data

Immunohistochemistry (Formalin/PFA-fixed paraffin-embedded sections) - Anti-Thioredoxin 2 antibody [EPR15225] (AB185544)

Immunohistochemical analysis of paraffin-embedded Mouse kidney tissue labeling Thioredoxin 2 with ab185544 at 1/500 dilution. Counter stain Hematoxylin.

Perform heat mediated antigen retrieval with EDTA buffer pH 9 before commencing with IHC staining protocol.

Western blot - Anti-Thioredoxin 2 antibody [EPR15225] (AB185544)
  • WB

Supplier Data

Western blot - Anti-Thioredoxin 2 antibody [EPR15225] (AB185544)

All lanes:

Western blot - Anti-Thioredoxin 2 antibody [EPR15225] (ab185544) at 1/10000 dilution

Lane 1:

Raji cell lysate at 20 µg

Lane 2:

K562 cell lysate at 20 µg

Lane 3:

HeLa cell lysate at 20 µg

Secondary

All lanes:

Goat Anti-Rabbit IgG, (H+L), Peroxidase conjugated at 1/1000 dilution

Predicted band size: 18 kDa

Observed band size: 12 kDa

false

  • 775 Alexa Fluor® 750

    Alexa Fluor® 750 Anti-Thioredoxin 2 antibody [EPR15225]

  • Carrier free

    Anti-Thioredoxin 2 antibody [EPR15225] - BSA and Azide free

  • 578 PE

    PE Anti-Thioredoxin 2 antibody [EPR15225]

  • 660 APC

    APC Anti-Thioredoxin 2 antibody [EPR15225]

  • HRP

    HRP Anti-Thioredoxin 2 antibody [EPR15225]

  • 617 Alexa Fluor® 594

    Alexa Fluor® 594 Anti-Thioredoxin 2 antibody [EPR15225]

  • 519 Alexa Fluor® 488

    Alexa Fluor® 488 Anti-Thioredoxin 2 antibody [EPR15225]

  • 665 Alexa Fluor® 647

    Alexa Fluor® 647 Anti-Thioredoxin 2 antibody [EPR15225]

  • 603 Alexa Fluor® 568

    Alexa Fluor® 568 Anti-Thioredoxin 2 antibody [EPR15225]

  • 565 Alexa Fluor® 555

    Alexa Fluor® 555 Anti-Thioredoxin 2 antibody [EPR15225]

Key facts

Host species

Rabbit

Clonality

Monoclonal

Clone number

EPR15225

Isotype

IgG

Carrier free

No

Reacts with

Mouse, Human

Applications

ICC/IF, IHC-P, Flow Cyt (Intra), WB

applications

Immunogen

The exact immunogen used to generate this antibody is proprietary information.

Reactivity data

{ "title": "Reactivity Data", "filters": { "stats": ["", "Species", "Dilution Info", "Notes"], "tabs": { "all-applications": {"fullname" : "All Applications", "shortname": "All Applications"}, "WB" : {"fullname" : "Western blot", "shortname":"WB"}, "ICCIF" : {"fullname" : "Immunocytochemistry/ Immunofluorescence", "shortname":"ICC/IF"}, "FlowCytIntra" : {"fullname" : "Flow Cytometry (Intracellular)", "shortname":"Flow Cyt (Intra)"}, "IHCP" : {"fullname" : "Immunohistochemistry (Formalin/PFA-fixed paraffin-embedded sections)", "shortname":"IHC-P"} }, "product-promise": { "all": "all", "testedAndGuaranteed": "tested", "guaranteed": "expected", "predicted": "predicted", "notRecommended": "not-recommended" } }, "values": { "Human": { "WB-species-checked": "testedAndGuaranteed", "WB-species-dilution-info": "1/10000 - 1/50000", "WB-species-notes": "<p></p>", "ICCIF-species-checked": "testedAndGuaranteed", "ICCIF-species-dilution-info": "1/100 - 1/250", "ICCIF-species-notes": "<p></p>", "FlowCytIntra-species-checked": "testedAndGuaranteed", "FlowCytIntra-species-dilution-info": "1/150", "FlowCytIntra-species-notes": "<p><a href='/en-us/products/primary-antibodies/rabbit-igg-monoclonal-epr25a-isotype-control-ab172730'>ab172730</a> - Rabbit monoclonal IgG, is suitable for use as an isotype control with this antibody.</p>", "IHCP-species-checked": "testedAndGuaranteed", "IHCP-species-dilution-info": "1/250 - 1/500", "IHCP-species-notes": "<p></p>" }, "Mouse": { "WB-species-checked": "guaranteed", "WB-species-dilution-info": "", "WB-species-notes": "", "ICCIF-species-checked": "guaranteed", "ICCIF-species-dilution-info": "", "ICCIF-species-notes": "", "FlowCytIntra-species-checked": "guaranteed", "FlowCytIntra-species-dilution-info": "", "FlowCytIntra-species-notes": "", "IHCP-species-checked": "testedAndGuaranteed", "IHCP-species-dilution-info": "1/250 - 1/500", "IHCP-species-notes": "<p></p>" }, "Rat": { "WB-species-checked": "predicted", "WB-species-dilution-info": "", "WB-species-notes": "", "ICCIF-species-checked": "predicted", "ICCIF-species-dilution-info": "", "ICCIF-species-notes": "", "FlowCytIntra-species-checked": "predicted", "FlowCytIntra-species-dilution-info": "", "FlowCytIntra-species-notes": "", "IHCP-species-checked": "predicted", "IHCP-species-dilution-info": "", "IHCP-species-notes": "" } } }

Product details

Patented technology
Our RabMAb® technology is a patented hybridoma-based technology for making rabbit monoclonal antibodies. For details on our patents, please refer to RabMAb® patents.

What are the advantages of a recombinant monoclonal antibody?
This product is a recombinant monoclonal antibody, which offers several advantages including:

  • - High batch-to-batch consistency and reproducibility
  • - Improved sensitivity and specificity
  • - Long-term security of supply
  • - Animal-free batch production

For more information, read more on recombinant antibodies.

Properties and storage information

Form
Liquid
Purification technique
Affinity purification Protein A
Storage buffer
pH: 7.2 - 7.4 Preservative: 0.01% Sodium azide Constituents: PBS, 40% Glycerol (glycerin, glycerine), 0.05% BSA
Shipped at conditions
Blue Ice
Appropriate short-term storage duration
1-2 weeks
Appropriate short-term storage conditions
+4°C
Appropriate long-term storage conditions
-20°C
Aliquoting information
Upon delivery aliquot
Storage information
Avoid freeze / thaw cycle

Supplementary information

This supplementary information is collated from multiple sources and compiled automatically.

Thioredoxin 2 also known as TXN2 is a protein that functions mainly as an oxidoreductase. It facilitates the reduction of other proteins through cysteine thiol-disulfide exchange which is important for maintaining cellular redox balance. This protein exists in the mitochondria where it is expressed ubiquitously across tissues. Thioredoxin 2 has a molecular mass of approximately 18 kDa. The presence of TXN2 in all cellular compartments suggests its importance in various cellular processes involving oxidative stress response.
Biological function summary

Thioredoxin 2 participates in regulating mitochondrial redox homeostasis ensuring the protection of mitochondrial DNA against oxidative damage. It acts as a part of the mitochondrial thioredoxin system which includes thioredoxin reductase and NADPH as components. This system is important for the control of mitochondrial reactive oxygen species (ROS) and supports mitochondrial function by facilitating the synthesis of deoxyribonucleotides. The protein therefore plays an important role in cellular antioxidant defenses and in modulating mitochondrial apoptotic pathways.

Pathways

The involvement of Thioredoxin 2 is pivotal in several cellular signaling cascades including the antioxidant defense and apoptosis pathways. Within the redox signaling pathways TXN2 works in conjunction with cytochrome c and caspases to regulate apoptosis and prevent uncontrolled cell death. In pathways related to cellular oxidative stress Thioredoxin 2 interacts closely with glutathione to mediate cellular responses to oxidative damage maintaining balance between the production and removal of ROS.

The dysregulation of Thioredoxin 2 correlates with various human conditions such as cancer and neurodegenerative diseases. In cancer alterations in TXN2 levels can affect cell survival and proliferation often by interacting with other antioxidant proteins like peroxiredoxins. For neurodegenerative diseases an imbalance in Thioredoxin 2 activity contributes to neuronal damage through disrupted oxidative stress regulation. This highlights TXN2's potential as a therapeutic target for disorders connected to oxidative stress imbalances.

Product protocols

For this product, it's our understanding that no specific protocols are required. You can visit:

Target data

Important for the control of mitochondrial reactive oxygen species homeostasis, apoptosis regulation and cell viability. Possesses a dithiol-reducing activity.
See full target information TXN2

Publications (31)

Recent publications for all applications. Explore the full list and refine your search

International journal of molecular sciences 26: PubMed39940675

2025

Time Course of Mitochondrial Antioxidant Markers in a Preclinical Model of Severe Penetrating Traumatic Brain Injury.

Applications

Unspecified application

Species

Unspecified reactive species

Sudeep Musyaju,Hiren R Modi,Deborah A Shear,Anke H Scultetus,Jignesh D Pandya

Free radical biology & medicine 224:457-469 PubMed39245354

2024

Lifelong dietary protein restriction induces denervation and skeletal muscle atrophy in mice.

Applications

Unspecified application

Species

Unspecified reactive species

Ufuk Ersoy,Atilla Emre Altinpinar,Ioannis Kanakis,Moussira Alameddine,Anna Gioran,Niki Chondrogianni,Susan E Ozanne,Mandy Jayne Peffers,Malcolm J Jackson,Katarzyna Goljanek-Whysall,Aphrodite Vasilaki

International journal of molecular sciences 24: PubMed38003443

2023

scAAV2-Mediated Expression of Thioredoxin 2 and C3 Transferase Prevents Retinal Ganglion Cell Death and Lowers Intraocular Pressure in a Mouse Model of Glaucoma.

Applications

Unspecified application

Species

Unspecified reactive species

Hee Jong Kim,Seho Cha,Jun-Sub Choi,Joo Yong Lee,Ko Eun Kim,Jin Kwon Kim,Jin Kim,Seo Yun Moon,Steven Hyun Seung Lee,Keerang Park,So-Yoon Won

Nature communications 13:7637 PubMed36496409

2022

Mitochondrial dysfunction induces ALK5-SMAD2-mediated hypovascularization and arteriovenous malformations in mouse retinas.

Applications

Unspecified application

Species

Unspecified reactive species

Haifeng Zhang,Busu Li,Qunhua Huang,Francesc López-Giráldez,Yoshiaki Tanaka,Qun Lin,Sameet Mehta,Guilin Wang,Morven Graham,Xinran Liu,In-Hyun Park,Anne Eichmann,Wang Min,Jenny Huanjiao Zhou

The Journal of physiology 600:5215-5245 PubMed36326014

2022

Oral combined contraceptives induce liver mitochondrial reactive oxygen species and whole-body metabolic adaptations in female mice.

Applications

Unspecified application

Species

Unspecified reactive species

Kelly N Z Fuller,Colin S McCoin,Harrison Stierwalt,Julie Allen,Shivam Gandhi,Christopher G R Perry,Purevsuren Jambal,Kartik Shankar,John P Thyfault

Cancer research 82:3486-3498 PubMed35916672

2022

Selenium Modulates Cancer Cell Response to Pharmacologic Ascorbate.

Applications

Unspecified application

Species

Unspecified reactive species

Connor S R Jankowski,Joshua D Rabinowitz

Antioxidants (Basel, Switzerland) 11: PubMed35883870

2022

Inhibition of GCN2 Alleviates Cardiomyopathy in Type 2 Diabetic Mice via Attenuating Lipotoxicity and Oxidative Stress.

Applications

Unspecified application

Species

Unspecified reactive species

Juntao Yuan,Fang Li,Bingqing Cui,Junling Gao,Zhuoran Yu,Zhongbing Lu

Neural plasticity 2022:9682999 PubMed35719138

2022

Upregulation of PGC-1 Attenuates Oxygen-Glucose Deprivation-Induced Hippocampal Neuronal Injury.

Applications

Unspecified application

Species

Unspecified reactive species

Bin Han,Hui Zhao,Xingji Gong,Jinping Sun,Song Chi,Tao Liu,Anmu Xie

Stress (Amsterdam, Netherlands) 25:227-234 PubMed35666099

2022

Stress adaptation in rats associate with reduced expression of cerebrovascular K7.4 channels and biphasic neurovascular responses.

Applications

Unspecified application

Species

Unspecified reactive species

Christian Staehr,Elena V Bouzinova,Ove Wiborg,Vladimir V Matchkov

Oxidative medicine and cellular longevity 2022:4775645 PubMed35340203

2022

Paeoniflorin Upregulates Mitochondrial Thioredoxin of Schwann Cells to Improve Diabetic Peripheral Neuropathy Indicated by 4D Label-Free Quantitative Proteomics.

Applications

Unspecified application

Species

Unspecified reactive species

Xinwei Yang,Xiao Li,Yanbo Zhu,YingYing Gao,Liping Xu
View all publications

Product promise

We are committed to supporting your work with high-quality reagents, and we're here for you every step of the way. In the unlikely event that one of our products does not perform as expected, you're protected by our Product Promise.
For full details, please see our Terms & Conditions

Please note: All products are 'FOR RESEARCH USE ONLY. NOT FOR USE IN DIAGNOSTIC OR THERAPEUTIC PROCEDURES'.

For licensing inquiries, please contact partnerships@abcam.com