JavaScript is disabled in your browser. Please enable JavaScript to view this website.
AB273877

Anti-Thioredoxin / TRX antibody [EPR23843-48]

  • BOND RX™ Validated
  • Recombinant
  • Lab Essentials
  • RabMAb
  • What is this?

Be the first to review this product! Submit a review

|

(9 Publications)

Rabbit Recombinant Monoclonal Thioredoxin / TRX antibody. Suitable for ICC/IF, WB, Flow Cyt (Intra), IHC-P and reacts with Mouse, Rat samples. Cited in 9 publications.

View Alternative Names

Txn1, Txn, Thioredoxin, Trx, ATL-derived factor, ADF

10 Images
Immunocytochemistry/ Immunofluorescence - Anti-Thioredoxin / TRX antibody [EPR23843-48] (AB273877)
  • ICC/IF

Unknown

Immunocytochemistry/ Immunofluorescence - Anti-Thioredoxin / TRX antibody [EPR23843-48] (AB273877)

Immunofluorescent analysis of 4% Paraformaldehyde-fixed, 0.1% TritonX-100 permeabilized NIH/3T3 cells labelling Thioredoxin / TRX with ab273877 at 1/250 dilution, followed by ab150077 Goat Anti-Rabbit IgG H&L (Alexa Fluor® 488) antibody at 1/1000 (2 ug/ml) dilution (Green). Confocal image showing cytoplasmic and nuclear staining in NIH/3T3 cells. ab195889 Anti-alpha Tubulin mouse monoclonal antibody - Microtubule Marker (Alexa Fluor® 594) was used to counterstain tubulin at 1/200 dilution (Red). The Nuclear counterstain was DAPI (Blue).

Secondary antibody only control : Secondary antibody is ab150077 Goat Anti-Rabbit IgG H&L (Alexa Fluor® 488) at 1/1000 (2 ug/ml) dilution.

Immunohistochemistry (Formalin/PFA-fixed paraffin-embedded sections) - Anti-Thioredoxin / TRX antibody [EPR23843-48] (AB273877)
  • IHC-P

Unknown

Immunohistochemistry (Formalin/PFA-fixed paraffin-embedded sections) - Anti-Thioredoxin / TRX antibody [EPR23843-48] (AB273877)

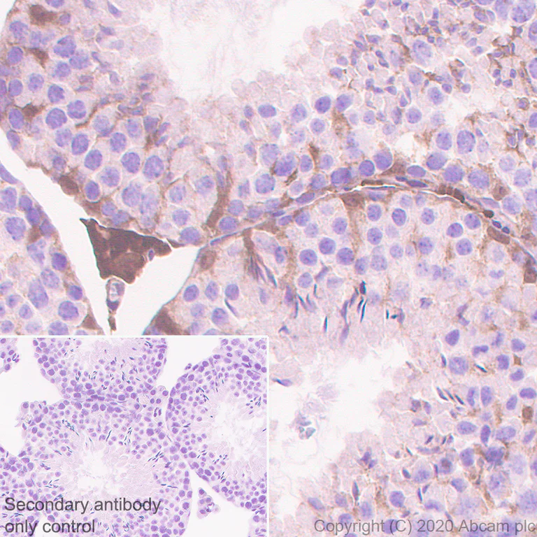
Immunohistochemical analysis of paraffin-embedded Mouse testis tissue labeling Thioredoxin / TRX with ab273877 at 1/2000 dilution followed by a ready to use Rabbit specific IHC polymer detection kit HRP/DAB (ab209101). Positive staining on sertoli and leydig cells of mouse testis. The section was incubated with ab273877 for 30 mins at room temperature. The immunostaining was performed on a Leica Biosystems BOND® RX instrument Counterstained with Hematoxylin.

Secondary antibody only control : Secondary antibody is a ready to use Rabbit specific IHC polymer detection kit HRP/DAB (ab209101).

Heat mediated antigen retrieval with Tris-EDTA buffer (pH 9.0, epitope retrieval solution2) for 20 mins.

Immunohistochemistry (Formalin/PFA-fixed paraffin-embedded sections) - Anti-Thioredoxin / TRX antibody [EPR23843-48] (AB273877)
  • IHC-P

Unknown

Immunohistochemistry (Formalin/PFA-fixed paraffin-embedded sections) - Anti-Thioredoxin / TRX antibody [EPR23843-48] (AB273877)

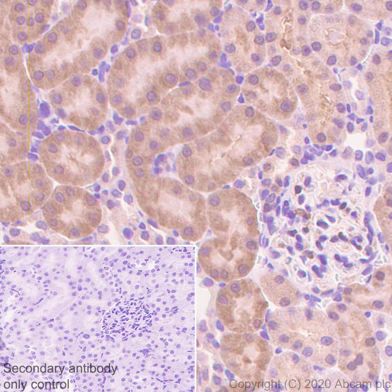
Immunohistochemical analysis of paraffin-embedded Mouse kidney tissue labeling Thioredoxin / TRX with ab273877 at 1/2000 dilution followed by a ready to use Rabbit specific IHC polymer detection kit HRP/DAB (ab209101). Positive staining on mouse kidney (PMID : 20682242). The section was incubated with ab273877 for 30 mins at room temperature. The immunostaining was performed on a Leica Biosystems BOND® RX instrument. Counterstained with Hematoxylin.

Secondary antibody only control : Secondary antibody is a ready to use Rabbit specific IHC polymer detection kit HRP/DAB (ab209101).

Heat mediated antigen retrieval with Tris-EDTA buffer (pH 9.0, epitope retrieval solution2) for 20 mins.

Immunohistochemistry (Formalin/PFA-fixed paraffin-embedded sections) - Anti-Thioredoxin / TRX antibody [EPR23843-48] (AB273877)
  • IHC-P

Unknown

Immunohistochemistry (Formalin/PFA-fixed paraffin-embedded sections) - Anti-Thioredoxin / TRX antibody [EPR23843-48] (AB273877)

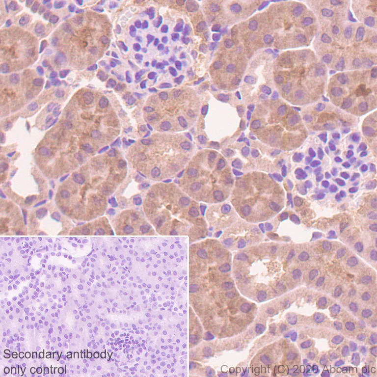
Immunohistochemical analysis of paraffin-embedded Rat kidney tissue labeling Thioredoxin / TRX with ab273877 at 1/2000 dilution followed by a ready to use Rabbit specific IHC polymer detection kit HRP/DAB (ab209101). Positive staining on rat kidney. The section was incubated with ab273877 for 30 mins at room temperature. The immunostaining was performed on a Leica Biosystems BOND® RX instrument. Counterstained with Hematoxylin.

Secondary antibody only control : Secondary antibody is a ready to use Rabbit specific IHC polymer detection kit HRP/DAB (ab209101).

Heat mediated antigen retrieval with Tris-EDTA buffer (pH 9.0, epitope retrieval solution2) for 20 mins.

Flow Cytometry (Intracellular) - Anti-Thioredoxin / TRX antibody [EPR23843-48] (AB273877)
  • Flow Cyt (Intra)

Unknown

Flow Cytometry (Intracellular) - Anti-Thioredoxin / TRX antibody [EPR23843-48] (AB273877)

Intracellular flow cytometric analysis of 4% paraformaldehyde fixed, 90% methanol permeabilized C6 (Rat glial tumor glial cell) cells labelling Thioredoxin / TRX with ab273877 at 1/500 dilution (0.1ug) (Red) compared with a Rabbit monoclonal IgG (ab172730) (Black) isotype control and an unlabelled control (cells without incubation with primary antibody and secondary antibody) (Blue).

A Goat anti rabbit IgG (Alexa Fluor® 488, ab150077) at 1/2000 dilution was used as the secondary antibody.

Flow Cytometry (Intracellular) - Anti-Thioredoxin / TRX antibody [EPR23843-48] (AB273877)
  • Flow Cyt (Intra)

Unknown

Flow Cytometry (Intracellular) - Anti-Thioredoxin / TRX antibody [EPR23843-48] (AB273877)

Intracellular flow cytometric analysis of 4% paraformaldehyde fixed, 90% methanol permeabilized NIH/3T3 (Mouse embryonic fibroblast) cells labelling Thioredoxin / TRX with ab273877 at 1/500 dilution (0.1ug) (Red) compared with a Rabbit monoclonal IgG (ab172730) (Black) isotype control and an unlabelled control (cells without incubation with primary antibody and secondary antibody) (Blue).

A Goat anti rabbit IgG (Alexa Fluor® 488, ab150077) at 1/2000 dilution was used as the secondary antibody.

Immunocytochemistry/ Immunofluorescence - Anti-Thioredoxin / TRX antibody [EPR23843-48] (AB273877)
  • ICC/IF

Unknown

Immunocytochemistry/ Immunofluorescence - Anti-Thioredoxin / TRX antibody [EPR23843-48] (AB273877)

Immunofluorescent analysis of 4% Paraformaldehyde-fixed, 0.1% TritonX-100 permeabilized C6 cells labelling Thioredoxin / TRX with ab273877 at 1/250 dilution, followed by ab150077 Goat Anti-Rabbit IgG H&L (Alexa Fluor® 488) antibody at 1/1000 (2 ug/ml) dilution (Green). Confocal image showing cytoplasmic and nuclear staining in C6 cells. ab195889 Anti-alpha Tubulin mouse monoclonal antibody - Microtubule Marker (Alexa Fluor® 594) was used to counterstain tubulin at 1/200 dilution (Red). The Nuclear counterstain was DAPI (Blue).

Secondary antibody only control : Secondary antibody is ab150077 Goat Anti-Rabbit IgG H&L (Alexa Fluor® 488) at 1/1000 (2 ug/ml) dilution.

Western blot - Anti-Thioredoxin / TRX antibody [EPR23843-48] (AB273877)
  • WB

Lab

Western blot - Anti-Thioredoxin / TRX antibody [EPR23843-48] (AB273877)

Blocking and diluting buffer and concentration : 5% NFDM/TBST.

Exposure time : 3 minutes.

All lanes:

Western blot - Anti-Thioredoxin / TRX antibody [EPR23843-48] (ab273877) at 1/1000 dilution

All lanes:

Rat kidney tissue lysate at 20 µg

Secondary

All lanes:

Goat Anti-Rabbit IgG, (H+L), Peroxidase conjugated (<a href='/en-us/products/secondary-antibodies/goat-rabbit-igg-h-l-hrp-ab97051'>ab97051</a>) at 1/100000 dilution

Predicted band size: 12 kDa

Observed band size: 11 kDa

false

Western blot - Anti-Thioredoxin / TRX antibody [EPR23843-48] (AB273877)
  • WB

Lab

Western blot - Anti-Thioredoxin / TRX antibody [EPR23843-48] (AB273877)

Blocking and diluting buffer and concentration : 5% NFDM/TBST.

Exposure time : Lane 1, 2 : 7.75 seconds Lane 3, 4 : 3 minutes.

All lanes:

Western blot - Anti-Thioredoxin / TRX antibody [EPR23843-48] (ab273877) at 1/1000 dilution

Lane 1:

NIH/3T3 (mouse embryonic fibroblast), whole cell lysate at 20 µg

Lane 2:

Neuro-2a (mouse neuroblastoma neuroblast), whole cell lysate at 20 µg

Lane 3:

C2C12 (mouse myoblasts myoblast), whole cell lysate at 20 µg

Lane 4:

PC-12 (rat adrenal gland pheochromocytoma), whole cell lysate at 20 µg

Secondary

All lanes:

Goat Anti-Rabbit IgG, (H+L), Peroxidase conjugated (<a href='/en-us/products/secondary-antibodies/goat-rabbit-igg-h-l-hrp-ab97051'>ab97051</a>) at 1/100000 dilution

Predicted band size: 12 kDa

Observed band size: 11 kDa

false

Western blot - Anti-Thioredoxin / TRX antibody [EPR23843-48] (AB273877)
  • WB

Lab

Western blot - Anti-Thioredoxin / TRX antibody [EPR23843-48] (AB273877)

Blocking and diluting buffer and concentration : 5% NFDM/TBST.

Exposure time : 3 minutes.

All lanes:

Western blot - Anti-Thioredoxin / TRX antibody [EPR23843-48] (ab273877) at 1/1000 dilution

Lane 1:

Mouse kidney tissue lysate at 20 µg

Lane 2:

Mouse liver tissue lysate at 20 µg

Lane 3:

Mouse testis tissue lysate at 20 µg

Secondary

All lanes:

Goat Anti-Rabbit IgG, (H+L), Peroxidase conjugated (<a href='/en-us/products/secondary-antibodies/goat-rabbit-igg-h-l-hrp-ab97051'>ab97051</a>) at 1/100000 dilution

Predicted band size: 12 kDa

Observed band size: 11 kDa

false

  • Carrier free

    Anti-Thioredoxin / TRX antibody [EPR23843-48] - BSA and Azide free

Key facts

Host species

Rabbit

Clonality

Monoclonal

Clone number

EPR23843-48

Isotype

IgG

Carrier free

No

Reacts with

Mouse, Rat

Applications

WB, ICC/IF, IHC-P, Flow Cyt (Intra)

applications

Immunogen

The exact immunogen used to generate this antibody is proprietary information.

Reactivity data

{ "title": "Reactivity Data", "filters": { "stats": ["", "Species", "Dilution Info", "Notes"], "tabs": { "all-applications": {"fullname" : "All Applications", "shortname": "All Applications"}, "ICCIF" : {"fullname" : "Immunocytochemistry/ Immunofluorescence", "shortname":"ICC/IF"}, "IP" : {"fullname" : "Immunoprecipitation", "shortname":"IP"}, "WB" : {"fullname" : "Western blot", "shortname":"WB"}, "FlowCytIntra" : {"fullname" : "Flow Cytometry (Intracellular)", "shortname":"Flow Cyt (Intra)"}, "IHCP" : {"fullname" : "Immunohistochemistry (Formalin/PFA-fixed paraffin-embedded sections)", "shortname":"IHC-P"} }, "product-promise": { "all": "all", "testedAndGuaranteed": "tested", "guaranteed": "expected", "predicted": "predicted", "notRecommended": "not-recommended" } }, "values": { "Human": { "ICCIF-species-checked": "notRecommended", "ICCIF-species-dilution-info": "", "ICCIF-species-notes": "", "IP-species-checked": "notRecommended", "IP-species-dilution-info": "", "IP-species-notes": "", "WB-species-checked": "notRecommended", "WB-species-dilution-info": "1/1000", "WB-species-notes": "<p></p>", "FlowCytIntra-species-checked": "notRecommended", "FlowCytIntra-species-dilution-info": "", "FlowCytIntra-species-notes": "", "IHCP-species-checked": "notRecommended", "IHCP-species-dilution-info": "1/2000", "IHCP-species-notes": "<p></p>" }, "Mouse": { "ICCIF-species-checked": "testedAndGuaranteed", "ICCIF-species-dilution-info": "1/250", "ICCIF-species-notes": "<p></p>", "IP-species-checked": "notRecommended", "IP-species-dilution-info": "", "IP-species-notes": "<p></p>", "WB-species-checked": "testedAndGuaranteed", "WB-species-dilution-info": "1/1000", "WB-species-notes": "<p></p>", "FlowCytIntra-species-checked": "testedAndGuaranteed", "FlowCytIntra-species-dilution-info": "1/500", "FlowCytIntra-species-notes": "<p></p>", "IHCP-species-checked": "testedAndGuaranteed", "IHCP-species-dilution-info": "1/2000", "IHCP-species-notes": "<p></p>" }, "Rat": { "ICCIF-species-checked": "testedAndGuaranteed", "ICCIF-species-dilution-info": "1/250", "ICCIF-species-notes": "<p></p>", "IP-species-checked": "notRecommended", "IP-species-dilution-info": "", "IP-species-notes": "<p></p>", "WB-species-checked": "testedAndGuaranteed", "WB-species-dilution-info": "1/1000", "WB-species-notes": "<p></p>", "FlowCytIntra-species-checked": "testedAndGuaranteed", "FlowCytIntra-species-dilution-info": "1/500", "FlowCytIntra-species-notes": "<p></p>", "IHCP-species-checked": "testedAndGuaranteed", "IHCP-species-dilution-info": "1/2000", "IHCP-species-notes": "<p></p>" } } }

Product details

Patented technology
Our RabMAb® technology is a patented hybridoma-based technology for making rabbit monoclonal antibodies. For details on our patents, please refer to RabMAb® patents.

What are the advantages of a recombinant monoclonal antibody?
This product is a recombinant monoclonal antibody, which offers several advantages including:

  • - High batch-to-batch consistency and reproducibility
  • - Improved sensitivity and specificity
  • - Long-term security of supply
  • - Animal-free batch production

For more information, read more on recombinant antibodies.

Properties and storage information

Form
Liquid
Purification technique
Affinity purification Protein A
Storage buffer
pH: 7.2 - 7.4 Preservative: 0.01% Sodium azide Constituents: PBS, 40% Glycerol (glycerin, glycerine), 0.05% BSA
Shipped at conditions
Blue Ice
Appropriate short-term storage duration
1-2 weeks
Appropriate short-term storage conditions
+4°C
Appropriate long-term storage conditions
-20°C
Aliquoting information
Upon delivery aliquot
Storage information
Avoid freeze / thaw cycle

Supplementary information

This supplementary information is collated from multiple sources and compiled automatically.

Thioredoxin (TRX) also known as TXN or Trx is a small redox protein with a molecular mass of approximately 12 kDa. It acts as an oxidoreductase enzyme facilitating the reduction of other proteins by cysteine thiol-disulfide exchange. Thioredoxin is ubiquitously expressed across various tissues indicating its function in a broad range of cellular activities. The protein comprises an active site with a conserved Cys-Gly-Pro-Cys sequence critical for its reducing activity.
Biological function summary

Thioredoxin influences cellular redox homeostasis and plays direct roles in regulating cell growth and apoptosis. It participates as a major reductant in cells influencing transcription factors and enzymatic activities that depend on thiol-disulfide exchanges. Thioredoxin can interact with other components like thioredoxin reductase and NADPH to form the thioredoxin system a powerful antioxidant defense mechanism. Diseases typically arise from abnormal regulation of this system highlighting its influence on cellular survival and proliferation.

Pathways

Thioredoxin integrates into significant signaling and metabolic processes. It is an important player in the cellular response to oxidative stress and participates in signaling pathways such as the MAPK and apoptosis pathways. In these pathways thioredoxin reduces the oxidative stress transcription factor AP-1 influencing cell fate decisions. Its interaction with thioredoxin-interacting protein (TXNIP) further modulates cellular responses to oxidative environments.

Altered thioredoxin activity associates with cancer and neurodegenerative diseases. Its overexpression links to tumor progression where it promotes survival and resistance to apoptosis. Additionally in the context of neurodegenerative disorders thioredoxin’s interaction with amyloid-beta peptides implicates it in Alzheimer’s disease by mitigating oxidative stress damage. Through these conditions its role as a protector against oxidative stress remains pivotal.

Product protocols

For this product, it's our understanding that no specific protocols are required. You can visit:

Target data

Participates in various redox reactions through the reversible oxidation of its active center dithiol to a disulfide and catalyzes dithiol-disulfide exchange reactions (By similarity). Plays a role in the reversible S-nitrosylation of cysteine residues in target proteins, and thereby contributes to the response to intracellular nitric oxide. Nitrosylates the active site Cys of CASP3 in response to nitric oxide (NO), and thereby inhibits caspase-3 activity. Induces the FOS/JUN AP-1 DNA binding activity in ionizing radiation (IR) cells through its oxidation/reduction status and stimulates AP-1 transcriptional activity (By similarity).. ADF augments the expression of the interleukin-2 receptor TAC (IL2R/P55).
See full target information Txn

Publications (9)

Recent publications for all applications. Explore the full list and refine your search

Journal of immunology research 2025:9987367 PubMed40727388

2025

Single-Cell Data and Weighted Correlation Network Analysis Revealed the Regulatory Mechanisms of Macrophages in Carotid Plaques.

Applications

Unspecified application

Species

Unspecified reactive species

Yakun Ding,Xiaoyang Niu,Peng Guo,Bing Wang

CytoJournal 21:80 PubMed39916997

2025

Geniposide alleviates post-myocardial infarction-induced pyroptosis by modulating the thioredoxin-interacting protein/NLRP3 signaling pathway.

Applications

Unspecified application

Species

Unspecified reactive species

Youqin Jiang,Yao Su,Chen Li,Weiwei Jiang,Yang Wei,Guanglei Chang,Ya Liu,Honghong He

The Journal of clinical investigation 135: PubMed39808494

2025

Impaired hydrogen sulfide biosynthesis underlies eccentric contraction-induced force loss in dystrophin-deficient skeletal muscle.

Applications

Unspecified application

Species

Unspecified reactive species

W Michael Southern,Erynn E Johnson,Elizabeth K Fasbender,Katherine S Fallon,Courtney L Cavazos,Dawn A Lowe,George G Rodney,James M Ervasti

Biological research 57:87 PubMed39574138

2024

Depression like-behavior and memory loss induced by methylglyoxal is associated with tryptophan depletion and oxidative stress: a new in vivo model of neurodegeneration.

Applications

Unspecified application

Species

Unspecified reactive species

Md Samsuzzaman,Seong-Min Hong,Jae Hyuk Lee,Hyunjun Park,Keun-A Chang,Hyun-Bum Kim,Myoung Gyu Park,Hyeyoon Eo,Myung Sook Oh,Sun Yeou Kim

Nature nanotechnology 18:86-97 PubMed36536041

2022

Targeting the activity of T cells by membrane surface redox regulation for cancer theranostics.

Applications

Unspecified application

Species

Unspecified reactive species

Changrong Shi,Qianyu Zhang,Yuying Yao,Fantian Zeng,Chao Du,Sureya Nijiati,Xuejun Wen,Xinyi Zhang,Hongzhang Yang,Haoting Chen,Zhide Guo,Xianzhong Zhang,Jinhao Gao,Weisheng Guo,Xiaoyuan Chen,Zijian Zhou

Oxidative medicine and cellular longevity 2022:5517648 PubMed35480871

2022

Bone Mesenchymal Stem Cell-Derived Extracellular Vesicles Containing Long Noncoding RNA NEAT1 Relieve Osteoarthritis.

Applications

Unspecified application

Species

Unspecified reactive species

Shuai Zhang,Zhe Jin

Molecules (Basel, Switzerland) 26: PubMed34500775

2021

A Fluorine-19 Magnetic Resonance Probe, Shiga-Y5, Downregulates Thioredoxin-Interacting Protein Expression in the Brain of a Mouse Model of Alzheimer's Disease.

Applications

Unspecified application

Species

Unspecified reactive species

Aslina Pahrudin Arrozi,Zulzikry Hafiz Abu Bakar,Hiroyasu Taguchi,Daijiro Yanagisawa,Ikuo Tooyama

The European journal of neuroscience 54:4827-4837 PubMed34132424

2021

Thioredoxin-1 regulates calcium homeostasis in MPP /MPTP-induced Parkinson's disease models.

Applications

Unspecified application

Species

Unspecified reactive species

Xianwen Zhang,Ruhua Deng,Se Zhang,Juan Deng,Jing Jing Jia,Bo Sun,Xiaoshuang Zhou,Jie Bai

BioMed research international 2021:5598869 PubMed33954183

2021

NaHS Alleviated Cell Apoptosis and Mitochondrial Dysfunction in Remote Lung Tissue after Renal Ischemia and Reperfusion via Nrf2 Activation-Mediated NLRP3 Pathway Inhibition.

Applications

Unspecified application

Species

Unspecified reactive species

Guangning Zhao,Long Yang,Liming Li,Zhongqiang Fan
View all publications

Product promise

We are committed to supporting your work with high-quality reagents, and we're here for you every step of the way. In the unlikely event that one of our products does not perform as expected, you're protected by our Product Promise.
For full details, please see our Terms & Conditions

Please note: All products are 'FOR RESEARCH USE ONLY. NOT FOR USE IN DIAGNOSTIC OR THERAPEUTIC PROCEDURES'.

For licensing inquiries, please contact partnerships@abcam.com