JavaScript is disabled in your browser. Please enable JavaScript to view this website.
AB273880

Anti-Thioredoxin / TRX antibody [EPR23843-48] - BSA and Azide free

Be the first to review this product! Submit a review

|

(0 Publication)

Rabbit Recombinant Monoclonal Thioredoxin / TRX antibody. Carrier free. Suitable for ICC/IF, WB, Flow Cyt (Intra), IHC-P and reacts with Mouse, Rat samples.

View Alternative Names

Txn1, Txn, Thioredoxin, Trx, ATL-derived factor, ADF

10 Images
Immunocytochemistry/ Immunofluorescence - Anti-Thioredoxin / TRX antibody [EPR23843-48] - BSA and Azide free (AB273880)
  • ICC/IF

Unknown

Immunocytochemistry/ Immunofluorescence - Anti-Thioredoxin / TRX antibody [EPR23843-48] - BSA and Azide free (AB273880)

Immunofluorescent analysis of 4% Paraformaldehyde-fixed, 0.1% TritonX-100 permeabilized NIH/3T3 cells labelling Thioredoxin / TRX with ab273877 at 1/250 dilution, followed by ab150077 Goat Anti-Rabbit IgG H&L (Alexa Fluor® 488) antibody at 1/1000 (2 ug/ml) dilution (Green). Confocal image showing cytoplasmic and nuclear staining in NIH/3T3 cells. ab195889 Anti-alpha Tubulin mouse monoclonal antibody - Microtubule Marker (Alexa Fluor® 594) was used to counterstain tubulin at 1/200 dilution (Red). The Nuclear counterstain was DAPI (Blue).

Secondary antibody only control : Secondary antibody is ab150077 Goat Anti-Rabbit IgG H&L (Alexa Fluor® 488) at 1/1000 (2 ug/ml) dilution.

This data was developed using the same antibody clone in a different buffer formulation containing PBS, BSA, glycerol, and sodium azide (ab273877).

Immunohistochemistry (Formalin/PFA-fixed paraffin-embedded sections) - Anti-Thioredoxin / TRX antibody [EPR23843-48] - BSA and Azide free (AB273880)
  • IHC-P

Unknown

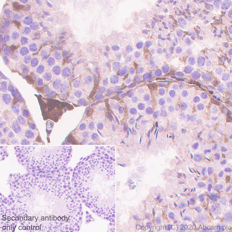
Immunohistochemistry (Formalin/PFA-fixed paraffin-embedded sections) - Anti-Thioredoxin / TRX antibody [EPR23843-48] - BSA and Azide free (AB273880)

Immunohistochemical analysis of paraffin-embedded Mouse testis tissue labeling Thioredoxin / TRX with ab273877 at 1/2000 dilution followed by a ready to use Rabbit specific IHC polymer detection kit HRP/DAB (ab209101). Positive staining on sertoli and leydig cells of mouse testis. The section was incubated with ab273877 for 30 mins at room temperature. The immunostaining was performed on a Leica Biosystems BOND® RX instrument Counterstained with Hematoxylin.

Secondary antibody only control : Secondary antibody is a ready to use Rabbit specific IHC polymer detection kit HRP/DAB (ab209101).

Heat mediated antigen retrieval with Tris-EDTA buffer (pH 9.0, epitope retrieval solution2) for 20 mins.

This data was developed using the same antibody clone in a different buffer formulation containing PBS, BSA, glycerol, and sodium azide (ab273877).

Immunohistochemistry (Formalin/PFA-fixed paraffin-embedded sections) - Anti-Thioredoxin / TRX antibody [EPR23843-48] - BSA and Azide free (AB273880)
  • IHC-P

Unknown

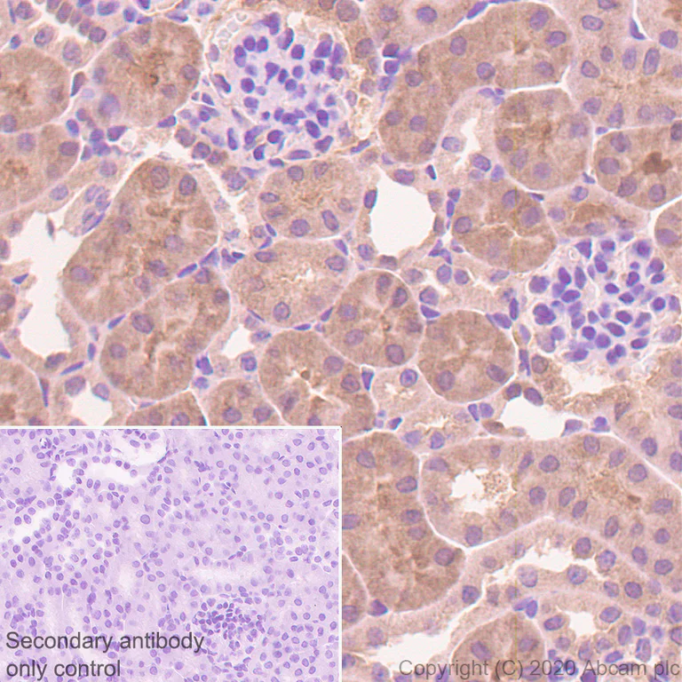
Immunohistochemistry (Formalin/PFA-fixed paraffin-embedded sections) - Anti-Thioredoxin / TRX antibody [EPR23843-48] - BSA and Azide free (AB273880)

Immunohistochemical analysis of paraffin-embedded Mouse kidney tissue labeling Thioredoxin / TRX with ab273877 at 1/2000 dilution followed by a ready to use Rabbit specific IHC polymer detection kit HRP/DAB (ab209101). Positive staining on mouse kidney (PMID : 20682242). The section was incubated with ab273877 for 30 mins at room temperature. The immunostaining was performed on a Leica Biosystems BOND® RX instrument. Counterstained with Hematoxylin.

Secondary antibody only control : Secondary antibody is a ready to use Rabbit specific IHC polymer detection kit HRP/DAB (ab209101).

Heat mediated antigen retrieval with Tris-EDTA buffer (pH 9.0, epitope retrieval solution2) for 20 mins.

This data was developed using the same antibody clone in a different buffer formulation containing PBS, BSA, glycerol, and sodium azide (ab273877).

Immunohistochemistry (Formalin/PFA-fixed paraffin-embedded sections) - Anti-Thioredoxin / TRX antibody [EPR23843-48] - BSA and Azide free (AB273880)
  • IHC-P

Unknown

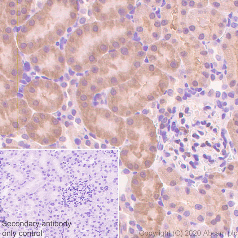
Immunohistochemistry (Formalin/PFA-fixed paraffin-embedded sections) - Anti-Thioredoxin / TRX antibody [EPR23843-48] - BSA and Azide free (AB273880)

Immunohistochemical analysis of paraffin-embedded Rat kidney tissue labeling Thioredoxin / TRX with ab273877 at 1/2000 dilution followed by a ready to use Rabbit specific IHC polymer detection kit HRP/DAB (ab209101). Positive staining on rat kidney. The section was incubated with ab273877 for 30 mins at room temperature. The immunostaining was performed on a Leica Biosystems BOND® RX instrument. Counterstained with Hematoxylin.

Secondary antibody only control : Secondary antibody is a ready to use Rabbit specific IHC polymer detection kit HRP/DAB (ab209101).

Heat mediated antigen retrieval with Tris-EDTA buffer (pH 9.0, epitope retrieval solution2) for 20 mins.

This data was developed using the same antibody clone in a different buffer formulation containing PBS, BSA, glycerol, and sodium azide (ab273877).

Flow Cytometry (Intracellular) - Anti-Thioredoxin / TRX antibody [EPR23843-48] - BSA and Azide free (AB273880)
  • Flow Cyt (Intra)

Unknown

Flow Cytometry (Intracellular) - Anti-Thioredoxin / TRX antibody [EPR23843-48] - BSA and Azide free (AB273880)

Intracellular flow cytometric analysis of 4% paraformaldehyde fixed, 90% methanol permeabilized C6 (Rat glial tumor glial cell) cells labelling Thioredoxin / TRX with ab273877 at 1/500 dilution (0.1ug) (Red) compared with a Rabbit monoclonal IgG (ab172730) (Black) isotype control and an unlabelled control (cells without incubation with primary antibody and secondary antibody) (Blue).

A Goat anti rabbit IgG (Alexa Fluor®488, ab150077) at 1/2000 dilution was used as the secondary antibody.

This data was developed using the same antibody clone in a different buffer formulation containing PBS, BSA, glycerol, and sodium azide (ab273877).

Flow Cytometry (Intracellular) - Anti-Thioredoxin / TRX antibody [EPR23843-48] - BSA and Azide free (AB273880)
  • Flow Cyt (Intra)

Unknown

Flow Cytometry (Intracellular) - Anti-Thioredoxin / TRX antibody [EPR23843-48] - BSA and Azide free (AB273880)

Intracellular flow cytometric analysis of 4% paraformaldehyde fixed, 90% methanol permeabilized NIH/3T3 (Mouse embryonic fibroblast) cells labelling Thioredoxin / TRX with ab273877 at 1/500 dilution (0.1ug) (Red) compared with a Rabbit monoclonal IgG (ab172730) (Black) isotype control and an unlabelled control (cells without incubation with primary antibody and secondary antibody) (Blue).

A Goat anti rabbit IgG (Alexa Fluor®488, ab150077) at 1/2000 dilution was used as the secondary antibody.

This data was developed using the same antibody clone in a different buffer formulation containing PBS, BSA, glycerol, and sodium azide (ab273877).

Immunocytochemistry/ Immunofluorescence - Anti-Thioredoxin / TRX antibody [EPR23843-48] - BSA and Azide free (AB273880)
  • ICC/IF

Unknown

Immunocytochemistry/ Immunofluorescence - Anti-Thioredoxin / TRX antibody [EPR23843-48] - BSA and Azide free (AB273880)

Immunofluorescent analysis of 4% Paraformaldehyde-fixed, 0.1% TritonX-100 permeabilized C6 cells labelling Thioredoxin / TRX with ab273877 at 1/250 dilution, followed by ab150077 Goat Anti-Rabbit IgG H&L (Alexa Fluor® 488) antibody at 1/1000 (2 ug/ml) dilution (Green). Confocal image showing cytoplasmic and nuclear staining in C6 cells. ab195889 Anti-alpha Tubulin mouse monoclonal antibody - Microtubule Marker (Alexa Fluor® 594) was used to counterstain tubulin at 1/200 dilution (Red). The Nuclear counterstain was DAPI (Blue).

Secondary antibody only control : Secondary antibody is ab150077 Goat Anti-Rabbit IgG H&L (Alexa Fluor® 488) at 1/1000 (2 ug/ml) dilution.

This data was developed using the same antibody clone in a different buffer formulation containing PBS, BSA, glycerol, and sodium azide (ab273877).

Western blot - Anti-Thioredoxin / TRX antibody [EPR23843-48] - BSA and Azide free (AB273880)
  • WB

Lab

Western blot - Anti-Thioredoxin / TRX antibody [EPR23843-48] - BSA and Azide free (AB273880)

Blocking and diluting buffer and concentration : 5% NFDM/TBST.

Exposure time : 3 minutes.

This data was developed using the same antibody clone in a different buffer formulation containing PBS, BSA, glycerol, and sodium azide (ab273877).

All lanes:

Western blot - Anti-Thioredoxin / TRX antibody [EPR23843-48] (<a href='/en-us/products/primary-antibodies/thioredoxin-trx-antibody-epr23843-48-ab273877'>ab273877</a>) at 1/1000 dilution

All lanes:

Rat kidney tissue lysate at 20 µg

Secondary

All lanes:

Goat Anti-Rabbit IgG, (H+L), Peroxidase conjugated (<a href='/en-us/products/secondary-antibodies/goat-rabbit-igg-h-l-hrp-ab97051'>ab97051</a>) at 1/100000 dilution

Predicted band size: 12 kDa

Observed band size: 11 kDa

false

Western blot - Anti-Thioredoxin / TRX antibody [EPR23843-48] - BSA and Azide free (AB273880)
  • WB

Lab

Western blot - Anti-Thioredoxin / TRX antibody [EPR23843-48] - BSA and Azide free (AB273880)

Blocking and diluting buffer and concentration : 5% NFDM/TBST.

Exposure time : Lane 1, 2 : 7.75 seconds Lane 3, 4 : 3 minutes.

This data was developed using the same antibody clone in a different buffer formulation containing PBS, BSA, glycerol, and sodium azide (ab273877).

All lanes:

Western blot - Anti-Thioredoxin / TRX antibody [EPR23843-48] (<a href='/en-us/products/primary-antibodies/thioredoxin-trx-antibody-epr23843-48-ab273877'>ab273877</a>) at 1/1000 dilution

Lane 1:

NIH/3T3 (mouse embryonic fibroblast), whole cell lysate at 20 µg

Lane 2:

Neuro-2a (mouse neuroblastoma neuroblast), whole cell lysate at 20 µg

Lane 3:

C2C12 (mouse myoblasts myoblast), whole cell lysate at 20 µg

Lane 4:

PC-12 (rat adrenal gland pheochromocytoma), whole cell lysate at 20 µg

Secondary

All lanes:

Goat Anti-Rabbit IgG, (H+L), Peroxidase conjugated (<a href='/en-us/products/secondary-antibodies/goat-rabbit-igg-h-l-hrp-ab97051'>ab97051</a>) at 1/100000 dilution

Predicted band size: 12 kDa

Observed band size: 11 kDa

false

Western blot - Anti-Thioredoxin / TRX antibody [EPR23843-48] - BSA and Azide free (AB273880)
  • WB

Lab

Western blot - Anti-Thioredoxin / TRX antibody [EPR23843-48] - BSA and Azide free (AB273880)

Blocking and diluting buffer and concentration : 5% NFDM/TBST.

Exposure time : 3 minutes.

This data was developed using the same antibody clone in a different buffer formulation containing PBS, BSA, glycerol, and sodium azide (ab273877).

All lanes:

Western blot - Anti-Thioredoxin / TRX antibody [EPR23843-48] (<a href='/en-us/products/primary-antibodies/thioredoxin-trx-antibody-epr23843-48-ab273877'>ab273877</a>) at 1/1000 dilution

Lane 1:

Mouse kidney tissue lysate at 20 µg

Lane 2:

Mouse liver tissue lysate at 20 µg

Lane 3:

Mouse testis tissue lysate at 20 µg

Secondary

All lanes:

Goat Anti-Rabbit IgG, (H+L), Peroxidase conjugated (<a href='/en-us/products/secondary-antibodies/goat-rabbit-igg-h-l-hrp-ab97051'>ab97051</a>) at 1/100000 dilution

Predicted band size: 12 kDa

Observed band size: 11 kDa

false

  • Unconjugated

    Anti-Thioredoxin / TRX antibody [EPR23843-48]

Key facts

Host species

Rabbit

Clonality

Monoclonal

Clone number

EPR23843-48

Isotype

IgG

Carrier free

Yes

Reacts with

Mouse, Rat

Applications

WB, IHC-P, Flow Cyt (Intra), ICC/IF

applications

Immunogen

The exact immunogen used to generate this antibody is proprietary information.

Reactivity data

{ "title": "Reactivity Data", "filters": { "stats": ["", "Species", "Dilution Info", "Notes"], "tabs": { "all-applications": {"fullname" : "All Applications", "shortname": "All Applications"}, "ICCIF" : {"fullname" : "Immunocytochemistry/ Immunofluorescence", "shortname":"ICC/IF"}, "IP" : {"fullname" : "Immunoprecipitation", "shortname":"IP"}, "WB" : {"fullname" : "Western blot", "shortname":"WB"}, "FlowCytIntra" : {"fullname" : "Flow Cytometry (Intracellular)", "shortname":"Flow Cyt (Intra)"}, "IHCP" : {"fullname" : "Immunohistochemistry (Formalin/PFA-fixed paraffin-embedded sections)", "shortname":"IHC-P"} }, "product-promise": { "all": "all", "testedAndGuaranteed": "tested", "guaranteed": "expected", "predicted": "predicted", "notRecommended": "not-recommended" } }, "values": { "Human": { "ICCIF-species-checked": "notRecommended", "ICCIF-species-dilution-info": "", "ICCIF-species-notes": "", "IP-species-checked": "notRecommended", "IP-species-dilution-info": "", "IP-species-notes": "", "WB-species-checked": "notRecommended", "WB-species-dilution-info": "", "WB-species-notes": "<p></p>", "FlowCytIntra-species-checked": "notRecommended", "FlowCytIntra-species-dilution-info": "", "FlowCytIntra-species-notes": "", "IHCP-species-checked": "notRecommended", "IHCP-species-dilution-info": "", "IHCP-species-notes": "<p></p>" }, "Mouse": { "ICCIF-species-checked": "testedAndGuaranteed", "ICCIF-species-dilution-info": "", "ICCIF-species-notes": "<p></p>", "IP-species-checked": "notRecommended", "IP-species-dilution-info": "", "IP-species-notes": "<p></p>", "WB-species-checked": "testedAndGuaranteed", "WB-species-dilution-info": "", "WB-species-notes": "<p></p>", "FlowCytIntra-species-checked": "testedAndGuaranteed", "FlowCytIntra-species-dilution-info": "", "FlowCytIntra-species-notes": "<p></p>", "IHCP-species-checked": "testedAndGuaranteed", "IHCP-species-dilution-info": "", "IHCP-species-notes": "<p></p>" }, "Rat": { "ICCIF-species-checked": "testedAndGuaranteed", "ICCIF-species-dilution-info": "", "ICCIF-species-notes": "<p></p>", "IP-species-checked": "notRecommended", "IP-species-dilution-info": "", "IP-species-notes": "<p></p>", "WB-species-checked": "testedAndGuaranteed", "WB-species-dilution-info": "", "WB-species-notes": "<p></p>", "FlowCytIntra-species-checked": "testedAndGuaranteed", "FlowCytIntra-species-dilution-info": "", "FlowCytIntra-species-notes": "<p></p>", "IHCP-species-checked": "testedAndGuaranteed", "IHCP-species-dilution-info": "", "IHCP-species-notes": "<p></p>" } } }

Product details

ab273880 is the carrier-free version of ab270449.

Patented technology
Our RabMAb® technology is a patented hybridoma-based technology for making rabbit monoclonal antibodies. For details on our patents, please refer to RabMAb® patents.

What are the advantages of a recombinant monoclonal antibody?
This product is a recombinant monoclonal antibody, which offers several advantages including:

  • - High batch-to-batch consistency and reproducibility
  • - Improved sensitivity and specificity
  • - Long-term security of supply
  • - Animal-free batch production

For more information, read more on recombinant antibodies.

Conjugation ready
Our carrier-free antibodies are typically supplied in a PBS-only formulation, purified and free of BSA, sodium azide and glycerol. This conjugation-ready format is designed for use with fluorochromes, metal isotopes, oligonucleotides, and enzymes, which makes them ideal for antibody labelling, functional and cell-based assays, flow-based assays (e.g. mass cytometry) and Multiplex Imaging applications.

Use our conjugation kits for antibody conjugates that are ready-to-use in as little as 20 minutes with 1 minute hands-on-time and 100% antibody recovery: available for fluorescent dyes, HRP, biotin and gold.

Compatibility
This product is compatible with the Maxpar® Antibody Labeling Kit from Fluidigm, without the need for antibody preparation. Maxpar® is a trademark of Fluidigm Canada Inc.

Properties and storage information

Form
Liquid
Purification technique
Affinity purification Protein A
Storage buffer
pH: 7.2 - 7.4 Constituents: PBS
Shipped at conditions
Blue Ice
Appropriate short-term storage conditions
+4°C
Appropriate long-term storage conditions
+4°C
Storage information
Do Not Freeze

Supplementary information

This supplementary information is collated from multiple sources and compiled automatically.

Thioredoxin (TRX) also known as TXN or Trx is a small redox protein with a molecular mass of approximately 12 kDa. It acts as an oxidoreductase enzyme facilitating the reduction of other proteins by cysteine thiol-disulfide exchange. Thioredoxin is ubiquitously expressed across various tissues indicating its function in a broad range of cellular activities. The protein comprises an active site with a conserved Cys-Gly-Pro-Cys sequence critical for its reducing activity.
Biological function summary

Thioredoxin influences cellular redox homeostasis and plays direct roles in regulating cell growth and apoptosis. It participates as a major reductant in cells influencing transcription factors and enzymatic activities that depend on thiol-disulfide exchanges. Thioredoxin can interact with other components like thioredoxin reductase and NADPH to form the thioredoxin system a powerful antioxidant defense mechanism. Diseases typically arise from abnormal regulation of this system highlighting its influence on cellular survival and proliferation.

Pathways

Thioredoxin integrates into significant signaling and metabolic processes. It is an important player in the cellular response to oxidative stress and participates in signaling pathways such as the MAPK and apoptosis pathways. In these pathways thioredoxin reduces the oxidative stress transcription factor AP-1 influencing cell fate decisions. Its interaction with thioredoxin-interacting protein (TXNIP) further modulates cellular responses to oxidative environments.

Altered thioredoxin activity associates with cancer and neurodegenerative diseases. Its overexpression links to tumor progression where it promotes survival and resistance to apoptosis. Additionally in the context of neurodegenerative disorders thioredoxin’s interaction with amyloid-beta peptides implicates it in Alzheimer’s disease by mitigating oxidative stress damage. Through these conditions its role as a protector against oxidative stress remains pivotal.

Product protocols

For this product, it's our understanding that no specific protocols are required. You can visit:

Target data

Participates in various redox reactions through the reversible oxidation of its active center dithiol to a disulfide and catalyzes dithiol-disulfide exchange reactions (By similarity). Plays a role in the reversible S-nitrosylation of cysteine residues in target proteins, and thereby contributes to the response to intracellular nitric oxide. Nitrosylates the active site Cys of CASP3 in response to nitric oxide (NO), and thereby inhibits caspase-3 activity. Induces the FOS/JUN AP-1 DNA binding activity in ionizing radiation (IR) cells through its oxidation/reduction status and stimulates AP-1 transcriptional activity (By similarity).. ADF augments the expression of the interleukin-2 receptor TAC (IL2R/P55).
See full target information Txn

Product promise

We are committed to supporting your work with high-quality reagents, and we're here for you every step of the way. In the unlikely event that one of our products does not perform as expected, you're protected by our Product Promise.
For full details, please see our Terms & Conditions

Please note: All products are 'FOR RESEARCH USE ONLY. NOT FOR USE IN DIAGNOSTIC OR THERAPEUTIC PROCEDURES'.

For licensing inquiries, please contact partnerships@abcam.com