JavaScript is disabled in your browser. Please enable JavaScript to view this website.
AB24595

Anti-Thrombomodulin antibody [Phx-01]

Be the first to review this product! Submit a review

|

(1 Publication)

Mouse Monoclonal Thrombomodulin antibody. Suitable for WB, IHC-Fr and reacts with Human samples. Cited in 1 publication. Immunogen corresponding to Recombinant Full Length Protein corresponding to Human THBD.

View Alternative Names

CD141, THRM, THBD, Thrombomodulin, TM, Fetomodulin

2 Images
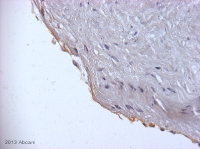
Immunohistochemistry (Frozen sections) - Anti-Thrombomodulin antibody [Phx-01] (AB24595)
  • IHC-Fr

Supplier Data

Immunohistochemistry (Frozen sections) - Anti-Thrombomodulin antibody [Phx-01] (AB24595)

Immunohistochemistry (Frzen sections) of human placenta useing ab24595 at 1/100.

Western blot - Anti-Thrombomodulin antibody [Phx-01] (AB24595)
  • WB

Supplier Data

Western blot - Anti-Thrombomodulin antibody [Phx-01] (AB24595)

All lanes:

Western blot - Anti-Thrombomodulin antibody [Phx-01] (ab24595) at 1 µg/mL

Lane 1:

HL-60 cell lysate at 15 µg

Lane 2:

HeLa cell lysate at 15 µg

Lane 3:

MCF-7 cell lysate at 15 µg

Secondary

All lanes:

HRP Goat anti-Mouse secondary antibody at 1/3000 dilution

Predicted band size: 60 kDa

false

Key facts

Host species

Mouse

Clonality

Monoclonal

Clone number

Phx-01

Isotype

IgG1

Carrier free

No

Reacts with

Human

Applications

WB, IHC-Fr

applications

Immunogen

Recombinant Full Length Protein corresponding to Human THBD.

P07204

Epitope

This antibody reacts with an epitope within the EGF 5 domain.

Reactivity data

{ "title": "Reactivity Data", "filters": { "stats": ["", "Species", "Dilution Info", "Notes"], "tabs": { "all-applications": {"fullname" : "All Applications", "shortname": "All Applications"}, "WB" : {"fullname" : "Western blot", "shortname":"WB"}, "IHCFr" : {"fullname" : "Immunohistochemistry (Frozen sections)", "shortname":"IHC-Fr"} }, "product-promise": { "all": "all", "testedAndGuaranteed": "tested", "guaranteed": "expected", "predicted": "predicted", "notRecommended": "not-recommended" } }, "values": { "Human": { "WB-species-checked": "testedAndGuaranteed", "WB-species-dilution-info": "1/500 - 1/1000", "WB-species-notes": "<p></p>", "IHCFr-species-checked": "testedAndGuaranteed", "IHCFr-species-dilution-info": "1/100", "IHCFr-species-notes": "<p></p>" }, "Mammals": { "WB-species-checked": "predicted", "WB-species-dilution-info": "", "WB-species-notes": "", "IHCFr-species-checked": "predicted", "IHCFr-species-dilution-info": "", "IHCFr-species-notes": "" } } }

Product details

ab24595 inhibits thrombin binding.

Properties and storage information

Form
Liquid
Purification technique
Affinity purification
Storage buffer
Preservative: 0.03% Thimerosal (merthiolate) Constituents: PBS, 0.09% Tris glycine
Shipped at conditions
Blue Ice
Appropriate short-term storage conditions
+4°C
Appropriate long-term storage conditions
-20°C
Aliquoting information
Upon delivery aliquot
Storage information
Avoid freeze / thaw cycle

Supplementary information

This supplementary information is collated from multiple sources and compiled automatically.

Thrombomodulin also known as CD141 is a glycoprotein with a mass of approximately 74 kDa. It is an integral membrane protein expressed on the surface of endothelial cells. Thrombomodulin acts mechanically by binding thrombin an enzyme involved in blood coagulation to modulate its activity. This binding substantially alters thrombin's substrate specificity turning it into an anticoagulant enzyme that activates protein C instead of a procoagulant enzyme.
Biological function summary

Thrombomodulin regulates blood coagulation and maintains hemostatic balance. It forms a complex with thrombin on endothelial cells facilitating the conversion of protein C to activated protein C (APC). Activated protein C plays a pivotal role in controlling blood clot formation by proteolytically inactivating Factors Va and VIIIa. This function is important for preventing excessive clotting while ensuring proper wound healing processes.

Pathways

Thrombomodulin works chiefly within the anticoagulation pathway. It interacts directly with the thrombin-protein C pathway to achieve the activation of protein C. Additionally it interfaces with other pathways sharing mutual components such as endothelial cell proliferation and inflammation modulation. Related proteins include thrombin and protein C along with protein S which serves as a cofactor for APC's anticoagulant actions.

Thrombomodulin dysregulation can lead to thrombosis and vascular inflammation. A deficiency or altered expression of thrombomodulin has been linked to thromboembolic disorders and atherosclerosis. In these conditions improper activation of protein C in the presence of decreased thrombomodulin function can exacerbate clot formation. Monitoring the levels of proteins like thrombin and protein C within these diseases can provide insights into endothelial dysfunction and potential therapeutic approaches.

Product protocols

For this product, it's our understanding that no specific protocols are required. You can visit:

Target data

Endothelial cell receptor that plays a critical role in regulating several physiological processes including hemostasis, coagulation, fibrinolysis, inflammation, and angiogenesis (PubMed : 10761923). Acts as a cofactor for thrombin activation of protein C/PROC on the surface of vascular endothelial cells leading to initiation of the activated protein C anticoagulant pathway (PubMed : 29323190, PubMed : 33836597, PubMed : 9395524). Also accelerates the activation of the plasma carboxypeptidase B2/CPB2, which catalyzes removal of C-terminal basic amino acids from its substrates including kinins or anaphylatoxins leading to fibrinolysis inhibition (PubMed : 26663133). Plays critical protective roles in changing the cleavage specificity of protease-activated receptor 1/PAR1, inhibiting endothelial cell permeability and inflammation (By similarity). Suppresses inflammation distinctly from its anticoagulant cofactor activity by sequestering HMGB1 thereby preventing it from engaging cellular receptors such as RAGE and contributing to the inflammatory response (PubMed : 15841214).
See full target information THBD

Publications (1)

Recent publications for all applications. Explore the full list and refine your search

Bone marrow transplantation 52:73-79 PubMed27427915

2016

The fifth epidermal growth factor-like region of thrombomodulin exerts cytoprotective function and prevents SOS in a murine model.

Applications

Unspecified application

Species

Unspecified reactive species

T Ikezoe,J Yang,C Nishioka,B Pan,K Xu,M Furihata,K Nakamura,H Yurimoto,Y Sakai,G Honda,A Yokoyama
View all publications

Product promise

We are committed to supporting your work with high-quality reagents, and we're here for you every step of the way. In the unlikely event that one of our products does not perform as expected, you're protected by our Product Promise.
For full details, please see our Terms & Conditions

Please note: All products are 'FOR RESEARCH USE ONLY. NOT FOR USE IN DIAGNOSTIC OR THERAPEUTIC PROCEDURES'.

For licensing inquiries, please contact partnerships@abcam.com