JavaScript is disabled in your browser. Please enable JavaScript to view this website.
AB237912

Anti-Thrombomodulin antibody [rTHBD/1591] - BSA and Azide free

Be the first to review this product! Submit a review

|

(1 Publication)

Mouse Recombinant Monoclonal Thrombomodulin antibody. Carrier free. Suitable for Protein Array, IHC-P and reacts with Human samples. Cited in 1 publication. Immunogen corresponding to Recombinant Fragment Protein within Human THBD aa 50-200.

View Alternative Names

CD141, THRM, THBD, Thrombomodulin, TM, Fetomodulin

3 Images
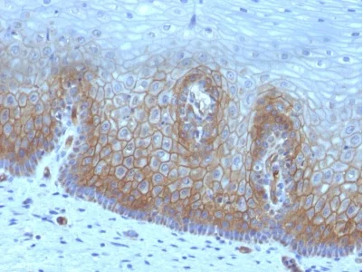
Immunohistochemistry (Formalin/PFA-fixed paraffin-embedded sections) - Anti-Thrombomodulin antibody [rTHBD/1591] - BSA and Azide free (AB237912)
  • IHC-P

Supplier Data

Immunohistochemistry (Formalin/PFA-fixed paraffin-embedded sections) - Anti-Thrombomodulin antibody [rTHBD/1591] - BSA and Azide free (AB237912)

Formalin-fixed, paraffin-embedded human cervical carcinoma tissue stained for Thrombomodulin using ab237912 at 2 μg/mL in immunohistochemical analysis.

Immunohistochemistry (Formalin/PFA-fixed paraffin-embedded sections) - Anti-Thrombomodulin antibody [rTHBD/1591] - BSA and Azide free (AB237912)
  • IHC-P

Supplier Data

Immunohistochemistry (Formalin/PFA-fixed paraffin-embedded sections) - Anti-Thrombomodulin antibody [rTHBD/1591] - BSA and Azide free (AB237912)

Formalin-fixed, paraffin-embedded human placenta tissue stained for Thrombomodulin using ab237912 at 2 μg/mL in immunohistochemical analysis.

Protein Array - Anti-Thrombomodulin antibody [rTHBD/1591] - BSA and Azide free (AB237912)
  • Protein Array

Unknown

Protein Array - Anti-Thrombomodulin antibody [rTHBD/1591] - BSA and Azide free (AB237912)

This data was produced with ab238061, the same antibody in a different formulation with BSA and Azide.
ab238061 was tested in protein array against over 19000 different full-length human proteins.
Z- and S- Score : The Z-score represents the strength of a signal that a monoclonal antibody (MAb) (in combination with a fluorescently-tagged anti-IgG secondary antibody) produces when binding to a particular protein on the HuProtTM array. Z-scores are described in units of standard deviations (SD's) above the mean value of all signals generated on that array. If targets on HuProtTM are arranged in descending order of the Z-score, the S-score is the difference (also in units of SD's) between the Z-score. S-score therefore represents the relative target specificity of a MAb to its intended target.
A MAb is specific to its intended target if the MAb has an S-score of at least 2.5. For example, if a MAb binds to protein X with a Z-score of 43 and to protein Y with a Z-score of 14, then the S-score for the binding of that MAb to protein X is equal to 29.

Key facts

Host species

Mouse

Clonality

Monoclonal

Clone number

rTHBD/1591

Isotype

IgG1

Carrier free

Yes

Reacts with

Human

Applications

Protein Array, IHC-P

applications

Immunogen

Recombinant Fragment Protein within Human THBD aa 50-200. The exact immunogen used to generate this antibody is proprietary information.

P07204

Reactivity data

{ "title": "Reactivity Data", "filters": { "stats": ["", "Species", "Dilution Info", "Notes"], "tabs": { "all-applications": {"fullname" : "All Applications", "shortname": "All Applications"}, "ProteinArray" : {"fullname" : "Protein Array", "shortname":"Protein Array"}, "IHCP" : {"fullname" : "Immunohistochemistry (Formalin/PFA-fixed paraffin-embedded sections)", "shortname":"IHC-P"} }, "product-promise": { "all": "all", "testedAndGuaranteed": "tested", "guaranteed": "expected", "predicted": "predicted", "notRecommended": "not-recommended" } }, "values": { "Human": { "ProteinArray-species-checked": "testedAndGuaranteed", "ProteinArray-species-dilution-info": "", "ProteinArray-species-notes": "<p></p>", "IHCP-species-checked": "testedAndGuaranteed", "IHCP-species-dilution-info": "1-2 µg/mL", "IHCP-species-notes": "<p>Incubate with primary ab for 30 minutes at RT</p>" } } }

Properties and storage information

Form
Liquid
Purification technique
Affinity purification Protein A/G
Purification notes
Ab purified from Bioreactor Concentrate by Protein A/G.
Storage buffer
pH: 7.2 - 7.4 Constituents: PBS
Shipped at conditions
Blue Ice
Appropriate short-term storage duration
1-2 weeks
Appropriate short-term storage conditions
+4°C
Appropriate long-term storage conditions
-20°C
Aliquoting information
Upon delivery aliquot
Storage information
Avoid freeze / thaw cycle

Supplementary information

This supplementary information is collated from multiple sources and compiled automatically.

Thrombomodulin also known as CD141 is a glycoprotein with a mass of approximately 74 kDa. It is an integral membrane protein expressed on the surface of endothelial cells. Thrombomodulin acts mechanically by binding thrombin an enzyme involved in blood coagulation to modulate its activity. This binding substantially alters thrombin's substrate specificity turning it into an anticoagulant enzyme that activates protein C instead of a procoagulant enzyme.
Biological function summary

Thrombomodulin regulates blood coagulation and maintains hemostatic balance. It forms a complex with thrombin on endothelial cells facilitating the conversion of protein C to activated protein C (APC). Activated protein C plays a pivotal role in controlling blood clot formation by proteolytically inactivating Factors Va and VIIIa. This function is important for preventing excessive clotting while ensuring proper wound healing processes.

Pathways

Thrombomodulin works chiefly within the anticoagulation pathway. It interacts directly with the thrombin-protein C pathway to achieve the activation of protein C. Additionally it interfaces with other pathways sharing mutual components such as endothelial cell proliferation and inflammation modulation. Related proteins include thrombin and protein C along with protein S which serves as a cofactor for APC's anticoagulant actions.

Thrombomodulin dysregulation can lead to thrombosis and vascular inflammation. A deficiency or altered expression of thrombomodulin has been linked to thromboembolic disorders and atherosclerosis. In these conditions improper activation of protein C in the presence of decreased thrombomodulin function can exacerbate clot formation. Monitoring the levels of proteins like thrombin and protein C within these diseases can provide insights into endothelial dysfunction and potential therapeutic approaches.

Product protocols

For this product, it's our understanding that no specific protocols are required. You can visit:

Target data

Endothelial cell receptor that plays a critical role in regulating several physiological processes including hemostasis, coagulation, fibrinolysis, inflammation, and angiogenesis (PubMed : 10761923). Acts as a cofactor for thrombin activation of protein C/PROC on the surface of vascular endothelial cells leading to initiation of the activated protein C anticoagulant pathway (PubMed : 29323190, PubMed : 33836597, PubMed : 9395524). Also accelerates the activation of the plasma carboxypeptidase B2/CPB2, which catalyzes removal of C-terminal basic amino acids from its substrates including kinins or anaphylatoxins leading to fibrinolysis inhibition (PubMed : 26663133). Plays critical protective roles in changing the cleavage specificity of protease-activated receptor 1/PAR1, inhibiting endothelial cell permeability and inflammation (By similarity). Suppresses inflammation distinctly from its anticoagulant cofactor activity by sequestering HMGB1 thereby preventing it from engaging cellular receptors such as RAGE and contributing to the inflammatory response (PubMed : 15841214).
See full target information THBD

Publications (1)

Recent publications for all applications. Explore the full list and refine your search

Veterinary sciences 8: PubMed34941853

2021

Gene Silencing Promotes Apoptosis and Suppresses Proliferation of Heat-Stressed Bovine Granulosa Cells via Induction of Oxidative Stress.

Applications

Unspecified application

Species

Unspecified reactive species

Adnan Khan,Muhammad Zahoor Khan,Jinhuan Dou,Huitao Xu,Lei Liu,Huabin Zhu,Yachun Wang
View all publications

Product promise

We are committed to supporting your work with high-quality reagents, and we're here for you every step of the way. In the unlikely event that one of our products does not perform as expected, you're protected by our Product Promise.
For full details, please see our Terms & Conditions

Please note: All products are 'FOR RESEARCH USE ONLY. NOT FOR USE IN DIAGNOSTIC OR THERAPEUTIC PROCEDURES'.

For licensing inquiries, please contact partnerships@abcam.com