JavaScript is disabled in your browser. Please enable JavaScript to view this website.
AB196026

Anti-Thrombopoietin antibody [EPR14948]

Be the first to review this product! Submit a review

|

(7 Publications)

Rabbit Recombinant Monoclonal Thrombopoietin antibody. Suitable for WB, ICC/IF, Flow Cyt (Intra), IHC-P and reacts with Human, Recombinant full length protein - Human samples. Cited in 7 publications.

View Alternative Names

MGDF, THPO, Thrombopoietin, C-mpl ligand, Megakaryocyte colony-stimulating factor, Megakaryocyte growth and development factor, Myeloproliferative leukemia virus oncogene ligand, ML

6 Images
Immunohistochemistry (Formalin/PFA-fixed paraffin-embedded sections) - Anti-Thrombopoietin antibody [EPR14948] (AB196026)
  • IHC-P

Supplier Data

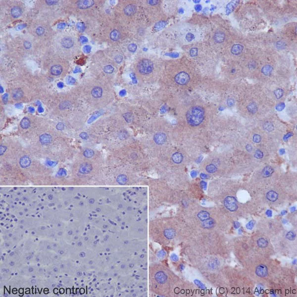
Immunohistochemistry (Formalin/PFA-fixed paraffin-embedded sections) - Anti-Thrombopoietin antibody [EPR14948] (AB196026)

Immunohistochemical analysis of paraffin-embedded Human liver tissue labeling Thrombopoietin with ab196026 at 1/4000 dilution followed by Goat Anti-Rabbit IgG H&L (HRP) (ab97051) at 1/500 dilution and counter-stained with Hematoxylin. (inset : negative control).

Note : Cytoplasm staining on human liver tissue was observed.

Perform heat mediated antigen retrieval with Tris/EDTA buffer pH 9.0 before commencing with IHC staining protocol.

Immunohistochemistry (Formalin/PFA-fixed paraffin-embedded sections) - Anti-Thrombopoietin antibody [EPR14948] (AB196026)
  • IHC-P

Supplier Data

Immunohistochemistry (Formalin/PFA-fixed paraffin-embedded sections) - Anti-Thrombopoietin antibody [EPR14948] (AB196026)

Immunohistochemical analysis of paraffin-embedded Human bone marrow tissue labeling Thrombopoietin with ab196026 at 1/4000 dilution followed by Goat Anti-Rabbit IgG H&L (HRP) (ab97051) at 1/500 dilution and counter-stained with Hematoxylin. (inset : negative control).

Note : Cytoplasm staining on human bone marrow tissue was observed.

Perform heat mediated antigen retrieval with Tris/EDTA buffer pH 9.0 before commencing with IHC staining protocol.

Flow Cytometry (Intracellular) - Anti-Thrombopoietin antibody [EPR14948] (AB196026)
  • Flow Cyt (Intra)

Unknown

Flow Cytometry (Intracellular) - Anti-Thrombopoietin antibody [EPR14948] (AB196026)

Intracellular Flow Cytometry analysis of Jurkat (human acute T cell leukemia) labelling Thrombopoietin with purified ab196026 at 1/40 (red). Cells were fixed with 4% paraformaldehyde and permeabilised with 90% methanol. Alexa Fluor® 488 goat anti-rabbit IgG (1/2000) was used as the secondary antibody. Black - Isotype control, rabbit monoclonal IgG. Blue - Unlabelled control, cells without incubation with primary and secondary antibodies.

Immunocytochemistry/ Immunofluorescence - Anti-Thrombopoietin antibody [EPR14948] (AB196026)
  • ICC/IF

Supplier Data

Immunocytochemistry/ Immunofluorescence - Anti-Thrombopoietin antibody [EPR14948] (AB196026)

Immunofluorescent analysis of Jurkat cells (4% Paraformaldehyde-fixed 0.1% tritonX-100 permeabilized) labeling Thrombopoietin with ab196026 at 1/50 dilution followed by Goat anti rabbit IgG (AlexaFluor® 488) (ab150077) secondary at 1/400 dilution and counter-stained with DAPI (blue).

Note : Cytoplasm staining on Jurkat cell line was observed.

Western blot - Anti-Thrombopoietin antibody [EPR14948] (AB196026)
  • WB

Supplier Data

Western blot - Anti-Thrombopoietin antibody [EPR14948] (AB196026)

All lanes:

Western blot - Anti-Thrombopoietin antibody [EPR14948] (ab196026) at 1/1000 dilution

All lanes:

Human fetal liver at 10 µg

Secondary

All lanes:

Anti-Rabbit IgG (HRP), specific to the non-reduced form of IgG at 1/1000 dilution

Predicted band size: 37 kDa

false

Western blot - Anti-Thrombopoietin antibody [EPR14948] (AB196026)
  • WB

Supplier Data

Western blot - Anti-Thrombopoietin antibody [EPR14948] (AB196026)

All lanes:

Western blot - Anti-Thrombopoietin antibody [EPR14948] (ab196026) at 1/5000 dilution

All lanes:

Thrombopoietin recombinant protein at 0.01 µg

Secondary

All lanes:

Goat Anti-Rabbit IgG, (H+L), Peroxidase conjugate at 1/1000 dilution

Predicted band size: 37 kDa

false

  • Carrier free

    Anti-Thrombopoietin antibody [EPR14948] - BSA and Azide free

Key facts

Host species

Rabbit

Clonality

Monoclonal

Clone number

EPR14948

Isotype

IgG

Carrier free

No

Reacts with

Human

Applications

ICC/IF, WB, Flow Cyt (Intra), IHC-P

applications

Immunogen

The exact immunogen used to generate this antibody is proprietary information.

Reactivity data

{ "title": "Reactivity Data", "filters": { "stats": ["", "Species", "Dilution Info", "Notes"], "tabs": { "all-applications": {"fullname" : "All Applications", "shortname": "All Applications"}, "WB" : {"fullname" : "Western blot", "shortname":"WB"}, "ICCIF" : {"fullname" : "Immunocytochemistry/ Immunofluorescence", "shortname":"ICC/IF"}, "FlowCytIntra" : {"fullname" : "Flow Cytometry (Intracellular)", "shortname":"Flow Cyt (Intra)"}, "IHCP" : {"fullname" : "Immunohistochemistry (Formalin/PFA-fixed paraffin-embedded sections)", "shortname":"IHC-P"} }, "product-promise": { "all": "all", "testedAndGuaranteed": "tested", "guaranteed": "expected", "predicted": "predicted", "notRecommended": "not-recommended" } }, "values": { "Human": { "WB-species-checked": "testedAndGuaranteed", "WB-species-dilution-info": "1/1000 - 1/5000", "WB-species-notes": "<p></p>", "ICCIF-species-checked": "testedAndGuaranteed", "ICCIF-species-dilution-info": "1/50", "ICCIF-species-notes": "<p></p>", "FlowCytIntra-species-checked": "testedAndGuaranteed", "FlowCytIntra-species-dilution-info": "1/40", "FlowCytIntra-species-notes": "<p></p>", "IHCP-species-checked": "testedAndGuaranteed", "IHCP-species-dilution-info": "1/4000", "IHCP-species-notes": "<p></p> Perform heat-mediated antigen retrieval with Tris/EDTA buffer pH 9.0 before commencing with IHC staining protocol." }, "Recombinant full length protein - Human": { "WB-species-checked": "testedAndGuaranteed", "WB-species-dilution-info": "1/1000 - 1/5000", "WB-species-notes": "<p></p>", "ICCIF-species-checked": "notRecommended", "ICCIF-species-dilution-info": "", "ICCIF-species-notes": "", "FlowCytIntra-species-checked": "notRecommended", "FlowCytIntra-species-dilution-info": "", "FlowCytIntra-species-notes": "", "IHCP-species-checked": "notRecommended", "IHCP-species-dilution-info": "", "IHCP-species-notes": "" } } }

Product details

Patented technology
Our RabMAb® technology is a patented hybridoma-based technology for making rabbit monoclonal antibodies. For details on our patents, please refer to RabMAb® patents.

What are the advantages of a recombinant monoclonal antibody?
This product is a recombinant monoclonal antibody, which offers several advantages including:

  • - High batch-to-batch consistency and reproducibility
  • - Improved sensitivity and specificity
  • - Long-term security of supply
  • - Animal-free batch production

For more information, read more on recombinant antibodies.

Properties and storage information

Form
Liquid
Purification technique
Affinity purification Protein A
Storage buffer
pH: 7.2 - 7.4 Preservative: 0.01% Sodium azide Constituents: PBS, 40% Glycerol (glycerin, glycerine), 0.05% BSA
Shipped at conditions
Blue Ice
Appropriate short-term storage duration
1-2 weeks
Appropriate short-term storage conditions
+4°C
Appropriate long-term storage conditions
-20°C
Aliquoting information
Upon delivery aliquot
Storage information
Avoid freeze / thaw cycle

Supplementary information

This supplementary information is collated from multiple sources and compiled automatically.

Thrombopoietin also known as TPO is an important glycoprotein hormone with a mass of about 70 kDa. It is primarily produced in the liver but can also be found in the kidneys and bone marrow stromal cells. Thrombopoietin binds to and activates its receptor c-Mpl which is present on hematopoietic progenitor cells. This protein has a significant role in regulating the production of blood platelets by stimulating the proliferation and differentiation of megakaryocytes the precursor cells for platelets.
Biological function summary

Thrombopoietin functions in hematopoiesis by supporting the maturation of megakaryocytes. It operates independently but can interact with other factors to optimize platelet production. Although it does not form a part of a large protein complex it is essential for the proper function of hematopoietic progenitors across several stages of differentiation. Its activity ensures the maintenance of platelet levels in the bloodstream therefore preventing conditions like thrombocytopenia.

Pathways

Thrombopoietin plays a critical role in the megakaryocyte/platelet lineage pathway. It directly influences the JAK-STAT (Janus kinase-signal transducer and activator of transcription) signaling pathway which is vital for driving the cell cycle and promoting cell survival. Thrombopoietin shares a functional connection with EPO (erythropoietin) which is involved in red blood cell production although they act on different lineage-specific progenitors.

Thrombopoietin is intricately linked to conditions like thrombocytopenia where there are abnormally low platelet counts and thrombocythemia characterized by elevated platelet levels. Dysregulation of Thrombopoietin production or its receptor activity can lead to these disorders. It has a relationship with other hematopoietic growth factors like GM-CSF (granulocyte-macrophage colony-stimulating factor) which can also influence the disorders of blood cell lines. Understanding its signaling pathways provides insights into therapeutic targets for diseases involving platelet imbalances.

Product protocols

For this product, it's our understanding that no specific protocols are required. You can visit:

Target data

Lineage-specific cytokine affecting the proliferation and maturation of megakaryocytes from their committed progenitor cells. It acts at a late stage of megakaryocyte development. It may be the major physiological regulator of circulating platelets.
See full target information THPO

Publications (7)

Recent publications for all applications. Explore the full list and refine your search

Cancer gene therapy 29:1742-1750 PubMed35768562

2022

Combination regimen of granulocyte colony-stimulating factor and recombinant human thrombopoietin improves the curative effect on elderly patients with leukemia through inducing pyroptosis and ferroptosis of leukemia cells.

Applications

Unspecified application

Species

Unspecified reactive species

Xiaobin Wang,Xiaoyu Liu,Huihan Wang

Journal of thrombosis and haemostasis : JTH 20:1900-1909 PubMed35622056

2022

Generation of a thrombopoietin-deficient thrombocytopenia model in zebrafish.

Applications

Unspecified application

Species

Unspecified reactive species

Lian Yang,Liangliang Wu,Panpan Meng,Xuebing Zhang,Dejian Zhao,Qing Lin,Yiyue Zhang

Wellcome open research 6:83 PubMed34286101

2021

Hematological consequences of malaria in mice previously treated for visceral leishmaniasis.

Applications

Unspecified application

Species

Unspecified reactive species

Gulab Fatima Rani,Helen Ashwin,Najmeeyah Brown,Ian S Hitchcock,Paul M Kaye

Revista da Associacao Medica Brasileira (1992) 66:590-595 PubMed32638965

2020

Thrombopoietin is associated with a prognosis of gastric adenocarcinoma.

Applications

Unspecified application

Species

Unspecified reactive species

Chang-Lin Zhou,Hai-Long Su,Hong-Wei Dai

Journal of cellular and molecular medicine 24:6644-6657 PubMed32337844

2020

Endogenous thrombopoietin promotes non-small-cell lung carcinoma cell proliferation and migration by regulating EGFR signalling.

Applications

Unspecified application

Species

Unspecified reactive species

Zifang Zou,Xiaoxi Fan,Yang Liu,Yanbin Sun,Xin Zhang,Guanghao Sun,Xuehao Li,Shun Xu

Journal of cancer research and clinical oncology 145:1147-1164 PubMed30770989

2019

CD110 promotes pancreatic cancer progression and its expression is correlated with poor prognosis.

Applications

Unspecified application

Species

Unspecified reactive species

Zilong Yan,Kenoki Ohuchida,Biao Zheng,Takashi Okumura,Shin Takesue,Hiromichi Nakayama,Chika Iwamoto,Koji Shindo,Taiki Moriyama,Kohei Nakata,Yoshihiro Miyasaka,Takao Ohtsuka,Kazuhiro Mizumoto,Yoshinao Oda,Makoto Hashizume,Masafumi Nakamura

EMBO molecular medicine 10:63-75 PubMed29191945

2017

Thrombopoietin mutation in congenital amegakaryocytic thrombocytopenia treatable with romiplostim.

Applications

Unspecified application

Species

Unspecified reactive species

Alessandro Pecci,Iman Ragab,Valeria Bozzi,Daniela De Rocco,Serena Barozzi,Tania Giangregorio,Heba Ali,Federica Melazzini,Mohamed Sallam,Caterina Alfano,Annalisa Pastore,Carlo L Balduini,Anna Savoia
View all publications

Product promise

We are committed to supporting your work with high-quality reagents, and we're here for you every step of the way. In the unlikely event that one of our products does not perform as expected, you're protected by our Product Promise.
For full details, please see our Terms & Conditions

Please note: All products are 'FOR RESEARCH USE ONLY. NOT FOR USE IN DIAGNOSTIC OR THERAPEUTIC PROCEDURES'.

For licensing inquiries, please contact partnerships@abcam.com